הערכת זרימת הדם במוח העובר - Fetal brain blood flow assessment
הופניתם מהדף הערכת זרימת הדם במוח העובר - Fetal brain blood flow asses לדף הנוכחי.
| הערכת זרימת הדם במוח העובר | ||
|---|---|---|
| Fetal brain blood flow assessment | ||
| יוצר הערך | פרופ' שמעון דגני |
|
לערכים נוספים הקשורים לנושא זה, ראו את דפי הפירושים: – הידרוצפלוס, מעקב היריון ובדיקות סקר טרום היריון
הכרה והערכה של המבנה והתפקוד הייחודיים של זרימת הדם במערכת העצבים המרכזית בעובר חיוניים להבנה ולזיהוי תהליכים פיזיולוגיים ופתולוגיים.
המידע שעומד לרשותנו להבנת הפיזיולוגיה של זרימת הדם המוחית בעובר מקורו בבדיקות בתינוקות ובמבוגרים ובניסויים בבעלי חיים - עבודות בתכשירים (Preparats) כרוניים של כבשים במהלך היריון - כדי להתקרב ככל האפשר לתנאים פיזיולוגיים. המידע שנצבר והמחקר הנמשך נמצאים בבסיס פיתוח אמצעי אבחון ומעקב קליני.
בדיקות במבוגרים
צנתור - חסרון השיטה בביצועה שלא בתנאים לא-פיזיולוגיים. אזורים פעילים במוח זקוקים ליותר חמצן וגלוקוז, המסופקים על ידי עלייה בזרימת הדם
טומוגרפיית פליטת פוזיטרונים [PET (Positron Emission Tomography) Scan] - בדיקה על ידי חומרים מסומנים. אזורי נזק מוחי, כִּפְיוֹן (Epilepsy), אלצהיימר (Alzheimer's disease) וגידולים - זיהוי מוקדם מבדיקות אחרות. חסרון השיטה: בדיקה יקרה וממושכת
הדמיה בתהודה מגנטית תפקודית (fMRI, functional Magnetic Resonance Imaging) - מזהה הבדלים ברקמות על פי תכולת החמצן. בדיקה זולה ורגישה יותר
גירוי מגנטי דרך הגולגולת (TMS, Transcranial Magnetic Stimulation) - בשיטה זו נעשה שימוש בטכניקה של גירוי מגנטי של מרכזים במוח להדגמת פעילות של מרכזים בשילוב עם טכניקות נוספות (טומוגרפיית פליטת פוזיטרונים, הדמיה בתהודה מגנטית תפקודית). מתבצע בעזרת טבעת מגנטית מעל ראש הנבדק עם שדות מגנטיים המשתנים במהירות
בעוברי כבשים ללא הרדמה - חוסר חמצן בדם (Hypoxemia) מביא לשמירת זרימה במוח, לב, יותרת הכליה (Adrenal), סרעפת, ולירידה בזרימה במעי, כליות וטחול
מהשלכת נתוני המחקרים בשיטות הללו נשאלות שאלות לגבי תקפות מוחלטת של הקבלת ניסויים בכבשים לעוברים, לגבי זהות המערכת בעובר לזו במבוגר, ולגבי קיום של מקבילה עוברית לאיסכמיה קדמית ואחורית בהתאם לאספקת הדם למעגל וויליס (Circle of Willis).
מחזור הדם (Circulation) בעובר אדם דומה לזו שבחיות מעבדה[1]: ירידת התנגודת המוחית בתגובה לעומס יתר של מחזור הדם, חוסר חמצן בדם ועלייה בחומציות הדם (Acidemia) מקבילה למתרחש במחקרים בבעלי חיים.
היבטים אמבריולוגיים ואנטומיים
ההתפתחות הטרום לידתית של כלי הדם המוחיים נחקרה בצנתור כלי דם (Angiography) לאחר המוות בעוברי חיה ועוברים אנושיים[2]. התמיינות של קשתות אבי העורקים (Aorta) לעורקים הגולגולתיים העיקריים ויצירת מערכת הניקוז הוורידי המוחית תועדו בצנתור עורקים (Arteriography) וצנתור ורידים (Phlebography) בשלבים שונים של ההיריון.
המערכת העורקית - קשתות אבי העורקים עוברות התמרה (Transformation) למארג העורקים הבוגר בין השבוע השישי לשמיני של התפתחות העובר[3]. צמד הקשתות השלישי תורם לחלק הקריבני (Proximal) של עורקי התרדמה הפנימיים (ICA, Internal Carotid Arteries), ואילו העורקים החולייתיים (Vertebral arteries) נובעים מהשקות (Anastomosis) של שישיית העורקים הגביים (Dorsal intersegmental arteries) ומתאחדים ליצירת העורק הבזילרי (Basilar artery). ענפי עורק התרדמה הפנימי מתאחדים עם העורק הבזילרי ליצירת המעגל העורקי - מעגל וויליס. זהו מבנה ייחודי שבו השקות של עורקי המוח העיקריים (תמונה 1) מחוברות על ידי עורקים מקשרים וממלאות תפקיד בוויסות לחצים במערכת כלי הדם המוחית. במערכת המתוארת ישנה שכיחות גבוהה של שונות אנטומית[4], והשונות הזו במארג עורקי המוח יכולה להשתקף במצבים פיזיולוגיים ופתולוגיים ברחם ומחוץ לו.
מחקרים אנטומיים מבדילים בין הצורה העוברית הקלאסית של מעגל וויליס שבה השקות מאוזנות בקוטר כלי הדם שבהן, לעומת הצורה של מצולע דמוי לב במבוגר. ההבדלים האנטומיים קשורים לתרומה היחסית של המערכת החולייתית-בזילרית (Vertebro-basilar), לעומת מערכת עורקי התרדמה, באספקת הדם לאזורי מוח שונים[5]. במבוגרים נמצא קשר בין שונות אנטומית וחֲרִיגוּת (Anomaly) של עורקים במעגל וויליס ובין מפרצות (Aneurysm), אירועים איסכמיים ודימומים (Hemorrhage). המשמעות של שונות כזו בעובר אינה ידועה[6], אבל הפרעה לזרימת הדם ההשקתית בין המערכת החולייתית למערכת עורקי התרדמה יכולה להשפיע על זילוח (Perfusion) אזורי במוח.
הענף הארוך ביותר של מעגל וויליס הוא עורק המוח התיכון (MCA, Middle Cerebral Artery) המוביל מהחלק התוך גולגלתי של עורק התרדמה הפנימי דרך חריץ סילביאן (Sylvian fissure), מורכב מארבעה ענפים ובמהלכו מספק 80% מזרימת הדם להמיספרה (Hemisphere).
המערכת הוורידית - הייחוד האנטומי של המערכת הוורידית במוח העובר קשור להתפתחות האמבריולוגית של המערכת העורקית. מדידות של הסינוסים הוורידיים הדורליים (Dural venous sinuses), בהשוואה לנפחי המוח, מגלות שבהתפתחות העובר קצב הגדילה של הסינוסים יורד במקביל לירידת אספקת הדם העורקי. ירידה המשכית דומה נצפית בקצב גדילת המוח בחיים עובריים. כך למשל, מערכת הניקוז הוורידי בגומה האחורית קשורה להתפתחות המוח, מַעבר למחזור הדם שלאחר הלידה ושינויים המודינמיים (Hemodynamic) תנוחתיים[7]. עלייה משמעותית בזרימה ורידית כתוצאה מגדילה מהירה של ההמיספרות כרוכה בהתנפחות הסינוסים הוורידיים הרוחביים ויצירת סינוסים היקפיים (Peripheral) נוספים.
שיטות והיבטים טכניים של בדיקות על-שמע (Ultrasound) ודופלר (Doppler) מוחי
ערך מורחב – בדיקת דופלר במהלך ההיריון - Doppler test during pregnancy
על-שמע היה ונותר האמצעי הזמין והזול לבדיקת המוח ומחזור הדם המוחי בעובר. הגולגולת, המוקפת בנוזל השפיר, מאפשרת מעבר אותות מהירות-זרימה מעורקי המוח, ללא צורך בחלון מיוחד כמו בבדיקות דופלר דרך הגולגולת במבוגר. מדידות דופלר נאספו לראשונה על ידי וולדימירוף וחברים[8] מעורק התרדמה הפנימי בחתך צירי (Axial) של גזע המוח. קדמית לו, משני צידי קו האמצע, ניתן לזהות חתך אלכסוני של העורק הפועם. אולם, בשל אפשרות שהרישום אינו תמיד מהעורק בחדירתו לקופסת הגולגולת אלא מהחלק הקריבני של עורק המוח התיכון, עברו רוב החוקרים לרישום דופלר מעורק המוח התיכון. כך הוצע מישור אנטומי נמוך יותר מגזע המוח בגובה המוח המוארך (Medulla) וכנפי עצם היתד (Sphenoid) לניטור תבנית גלי הזרימה בדופלר[9]. ניתן לצפות בו בצידי רגליות המוחון (Cerebral peduncles) במהלכו לכיוון הגבול הצידי של ארובת העין. אותות דופלר מעורקי המוח הקדמי והאחורי ניתנים לרישום בבסיס הגולגולת בגובה עצמות הרקה (Temporal bones) ועצמות היתד. גלי הזרימה מהעורק הקדמי נרשמים קדמית לפעימות עורק התרדמה הפנימי, במחצית המרחק בין מוח הביניים (Diencephalon) ועצם המצח (Frontal bone). מעורק המוח האחורי, הרישום בגובה החריץ (Fissure) הרוחבי בצידי מוח הביניים. ביילודים מבוצעת בדיקת הדופלר דרך המרפס. הרישום נעשה מענף (Pericallosal artery) של עורק המוח הקדמי במהלכו סביב כפיס המוח (Corpus callosum).
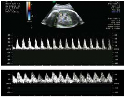
זיהוי כלי הדם נעשה על ידי הדגמת זרימה פועמת במערכת דופלקס (Duplex) או על ידי הדמיית צבע. המתמרים שבשימוש הם בתדירויות שבין 2.5 עד 5 מגה-הרץ (Mega-Hertz) עם מפתח דגימה שאינו מעבר ל-3-4 מילימטר (מ"מ). כך מתקבלים אותות מהירות-זרימה ברורים ללא הפרעה מכלי דם שכנים, יחד עם מסנן תדירויות נמוכות שבין 50 ל-150 הרץ, המסיר אותות מרקמות עם תנועה איטית במסלול קרן הדופלר. עוצמת הפלט של קרן הדופלר והזווית עם מסלול הזרימה נשמרים במִזְעָר (Minimum) האפשרי. התנאים הבסיסיים (Standards) לביצוע הבדיקה הם בשכיבת חצי-פרקדן בזמן העדר תנועות נשימה עוברית שיכולות לשנות את הזרימה.
ניתוח תבניות גלי הזרימה נעשה על 3-5 גלים רצופים ומיצוע התוצאות. לחישוב המדדים האיכותיים נמדדים מהירות השיא הסיסטולית (Systolic), הסוף דיאסטולית (End-diastolic) והמהירות הממוצעת. משתנים אלה משמשים לחישוב מדד הפעימתיות (PI, Pulsatility Index) המוגדר כהבדל בין המהירויות הסיסטולית והדיאסטולית מחולק במהירות הממוצעת המירבית[10]. משתנים איכותיים אחרים ניתנים לקביעה אך הם בשימוש פחות שכיח למעקב זרימה בכלי הדם במוח: יחס בין מהירות סיסטולית לדיאסטולית [Systolic/Diastolic (S/D) ratio], מדד התנגודת (RI, Resistance Index), שהוא ההפרש בין המהירויות הסיסטולית והדיאסטולית מחולק בסיסטולית; ומדד המוח (Cerebral index)[11], שהוא ההפרש בין המהירות הסיסטולית ליחס בין המהירות הסיסטולית לדיאסטולית. למדדים אלה נוספו גם יחסים למדדים בכלי דם עובריים ושלייתיים אחרים (למשל, יחס בין מדד התנגודת בעורק מוחי למדד התנגודת בעורק טבורי)[12].
הדמיית זרימה בצבע מסייעת למדידה מדויקת של זווית ההקרנה לשם קביעה מוחלטת של מהירות הזרימה הממוצעת בכלי דם תוך גולגולתיים. דופלר צבע מסייע גם לזיהוי הזרימה הוורידית המוחית[13].
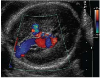
דופלר עוצמה (PD, Power Doppler) משפר את רגישות הזיהוי של קיום זרימה בהשוואה להדמיית דופלר צבע. שימוש בו בבדיקה בטנית או נרתיקית (Vaginal) מאפשר הדמיה מפורטת של המערכת העורקית והוורידית במוח העובר (תמונה 2). דופלר עוצמה יכול לשמש גם להערכת זילוח רקמתי אזורי במוח על ידי הערכת נפח הדם החלקי שבתנועה [14] (Fractional moving blood volume). בשיטה זו זוהו הבדלי אספקת דם לאזורים שונים במוח.
העל-שמע התלת ממדי הוא שיטת הדמיה יעילה להערכת המוח: מתמרים בטניים ונרתיקיים משמשים לאיסוף חתכים מרובים ויצירת נפח עם דופלר תלת ממדי, המדגים את המבנה המרחבי של כלי הדם התוך גולגולתיים[15].
גלי הזרימה בעוברים נורמליים: שינויים פיזיולוגיים בזרימת הדם
זרימת הדם התוך גולגולתית ניתנת להדגמה מהשבוע השמיני להיריון: פעימה עורקית בחתך צירי של ראש העובר נראית באמצעות מתמר נרתיקי ברוב המקרים, ומשבוע 11 ואילך מודגמת הזרימה בכל עובר[16]. בשלב זה קשה לזהות את העורקים השונים ותבנית גלי הזרימה חסרה את המרכיב הסוף דיאסטולי. עם התקדמות ההיריון, נוכחות הזרימה הדיאסטולית גוברת בעורקי המוח השונים יחד עם הזרימה הפעימתית (Pulsatile). בשליש האחרון להיריון קיימת זרימה חיובית לאורך המחזור הלבבי המוכיחה תנגודת נמוכה במוח העוברי[17]. ירידה משמעותית במדד הפעימתיות נצפית בעורק המוח התיכון, במיוחד לאחר שבוע 36. בכך יש עדות לחלוקה מחודשת של זרימת הדם העוברית יחד עם ירידה בתנגודת היקפית במוח, כפי הנראה כדי לפצות על הירידה ההמשכית בלחץ החלקי של חמצן (PO2) בדם העוברי. אחרים ייחסו ירידת מדד הפעימתיות לעלייה בדרישה המטבולית וכתוצאה ממנה ירידת תנגודת לזרימת הדם[18].
היריונות תאומים ללא הפרעות גדילה אינם נבדלים מהיריונות עם עובר יחיד במדגם זרימת הדם כפי שנמדד במחקרי דופלר[19].
המעבר לשלב הינקות (Neonatal) מתבטא בשינויי זרימה במוח העובר: מהירויות הזרימה עולות משבוע 36 ואילך כעדות לעלייה בזרימת הדם, גם אם אין שינוי משמעותי במדדים. מיד לאחר הלידה נראית ירידה במהירויות, שנמשכת בחמשת הימים הראשונים, לעומת הערכים שנמדדו בעובר. המדדים יורדים ביום הראשון ולאחר מכן מתייצבים[20]. שינויים אלה משקפים בעיקר שינויים מקומיים של השפעת חמצן על כלי הדם ההיקפיים.
שורה של משתנים פיזיולוגיים משתקפים בבדיקות הדופלר של כלי הדם המוחיים:
- תנועות נשימה עוברית משפיעות על תבנית גלי הזרימה ולכן מתבצעת הבדיקה בזמן הפסקת נשימה (Apnea) של העובר
- קצב לב העובר נמצא ביחס הפוך למדד הפעימתיות במצבי קצב לב מהיר (Tachycardia) או קצב לב איטי (Bradycardia), בעוד שבטווח הרגיל אין שינוי במדדים
- מצבי התנהגות עובריים מלווים שינויים במדדי הדופלר, לא רק בקשר לקצב הלב. עליית צריכת החמצן בזמן פעילות העובר מובילה לעלייה בזרימת הדם המוחית ומשקפת בקרה עצמית (Autoregulation). ההתפתחות הנוירולוגית העוברית, המתבטאת בהופעת מצבי התנהגות מוגדרים, קשורה בהסתגלות ובהתאמה המודינמית
- ריכוז גלוקוז בנסיוב (Serum) קשור לשינויי תנגודת ועליית זרימה[21], ובמצב של תת-סוכר בדם (Hypoglycemia) ישנו מנגנון פיצוי של הגברת זרימה לשמירה על אספקת גלוקוז למוח
לחץ על ראש העובר המשני לריבוי או מיעוט מי שפיר, לחץ מתמר או צירים, כרוך בעליית מדדים, בירידת מהירויות ואפילו בזרימה דיאסטולית הפוכה. צירים ולידה קשורים בשינויי תנגודת וזרימה, המשקפים לחץ חיצוני בזמן התכווצויות, וירידת לחץ ביניהן או בחילוץ ראש העובר.
זרימת דם במערכת הוורידית
בבדיקות על-שמע המשלבות דופלר עוצמה ניתן להדגים את המערכת הוורידית הכוללת את הסינוסים השונים, וריד המוח הפנימי והווריד על שם גאלן (Galen). המדד הוורידי - שהוגדר כהפרש בין המהירות המירבית למזערית, מחולק במהירות המירבית[22] - משתנה בין הסינוסים שבהם זרימה פעימתית. בווריד על שם גאלן, הפעימתיות נמוכה או חסרה והיא גוברת במצבים פתולוגיים.
תבנית זרימה שטוחה ללא פעימות בסינוס הסגיטלי העליון (Superior sagittal sinus) תוארה במקרים של עליית לחץ תוך-גולגולתי והִידְרוֹקַן הראש (Hydrocephaly). בעזרת דופלר צבע תוארה הזרימה הוורידית במוח. כך למשל נרשמה תבנית תלת שלבית בסינוס הרוחבי: זרימה סיסטולית קדימה, זרימה דיאסטולית מוקדמת קדימה וזרימה נמוכה יותר בסוף הדיאסטולה. הפעימתיות ומדדי התנגודת יורדים בסינוס זה יחד עם עליית מהירות הזרימה עם התקדמות ההיריון.
מצבים פתולוגיים בזרימת הדם במוח בעובר
שימוש קליני בתבניות גלי הזרימה - המחקר הענף של זרימת הדם המוחית במצבים פתולוגיים בעובר הניב שימוש קליני לשני משתנים תפקודיים: מדדים של חלוקה מחדש (Redistribution) באספקת הדם ומהירויות זרימה חריגות כעדות לשינוי בהרכב הדם ומערכת הלב וכלי הדם.
מצבים הקשורים בחלוקה מחדש של זרימת הדם
- תנגודת שלייתית מוגברת והאטה בגדילה תוך רחמית
העלאה מכאנית של התנגודת השלייתית בחיות ניסוי (הידוק הדרגתי של חבל הטבור בכבשים)[23] הראתה את מהלך השינויים המתרחשים בזרימת הדם הדיאסטולית: היפוך זרימה בעורק הטבור ובאבי העורקים היורד וזרימה קדימה בכלי הדם המובילים לראש. היפוך הזרימה הדיאסטולית בעורקי הטבור מצביע על כך שתנגודת כלי הדם הנמוכה במערכת עובר-שליה אינה עוד בשליה, אלא ברמת המוח. דם בעל תכולת חמצן נמוכה הנמצא בדרכו לשליה מופנה למערכת העצבים המרכזית. בתנאי ניסוי, החלוקה מחדש של תפוקת הלב והגדלת התנגודת ההיקפית, במטרה לשמור על רמת זרימת הדם המוחית, מובילה לתוצא שימור המוח (Brain sparing effect)[24].
תגובת המרכוז של זרימת הדם הודגמה בתת-חמצון (Hypoxia) עוברי, כאשר הירידה המירבית במדד הפעימתיות הודגמה בעת ירידת הלחץ החלקי של החמצן בין 2 ל-4 סטיות תקן. ברמות גבוהות יותר, מדד הפעימתיות נוטה לעלות, כנראה בגלל התפתחות בצקת מוחית[25]. בהיריונות עם האטת גדילה מודגמת פעימתיות ירודה בכל העורקים התוך גולגולתיים בהשוואה להיריונות תקינים, עדות לתוצא שימור המוח (תמונה 3). עם זאת, למרות התגובה הכוללנית של חלוקה מחדש, יש חילוקי דעות לגבי השימוש במדד הפעימתיות המוחי כאמצעי בלעדי לניבוי האטת גדילה. כמדד בודד, מדד הפעימתיות בעורקי הטבור נשאר המדד היעיל לצורך זה[26].
- היריונות תאומים עם הפרעת גדילה בררנית (Selective) או הבדלי גדילה
היריונות כאלה מלווים בשינויי זרימה בדופלר על פי הבעיה שברקע. תאומים זהים (Monozygotic) מראים שכיחות גדולה יותר של חלוקה מחדש ומרכוז זרימת הדם לעומת תאומים לא זהים (Dizygotic)[27]. דלפים (Shunts) בכלי דם שלייתיים ושינויים המודינמיים אחראים כנראה להבדל זה. השתנות ניכרת במהירויות זרימה ובמדד הפעימתיות מרמזת על חוסר יציבות של מחזור הדם בכלי דם מוחיים עם מקרים של יתר זילוח (Hyperperfusion) בתאומים חַד-עֲטִיפִיִּים (Monochorionic) עם תסמונת מעבר דם בין עוברים (TTTS, Twin to Twin Transfusion Syndrome)[28].
- אנמיה עוברית
מהירות זרימת הדם הממוצעת בעורק המוח התיכון עולה במצבי חסר דם[29]. בהיריונות עם איזואימוניזציה (Isoimmunisation) של כדוריות דם אדומות (Erythrocytes), מהירות הזרימה מראה קשר לירידת צמיגות הדם ואינה קשורה לרמות החמצן ושינויי תנגודת מוחית (מדד הפעימתיות). מארי וחברים[30] מצאו ששיא המהירות הסיסטולית בעורק המוח התיכון הוא מדד אמין יותר מהמהירות הממוצעת לזיהוי אנמיה במצבי איזואימוניזציה. זהו אמצעי רגיש, המחליף בצורה יעילה בדיקות חודרניות לצורך מעקב במהלך טיפול בהיריונות אלה. בדיקת דופלר שבועית היא מֵיטָבִית (Optimal) לצורך מעקב כזה[31].
מצבים הקשורים בשינויי נפח ולחץ תוך גולגולתיים
- הרחבת חדרי המוח ועליית לחץ תוך גולגולתי
במבוגר, נפח תוכן הגולגולת (רקמת מוח, דם ונוזל שדרה) הוא קבוע יחסית. בחיים העובריים מאפשרים תפרי הגולגולת הפתוחים והמרפסים התאמה טובה יותר לשינויי נפח. בחלק מהעבודות נצפו שינויי תנגודת במוח[32] אך הפרוגנוזה המוחית במקרים אלה תלויה בבעיית הרקע ובנוכחות מומים נוספים, יותר מאשר בשינויי הזרימה.
- דימום תוך גולגולתי
תופעת שימור המוח בעובר לא נמצאה כגורם סיכון לדימום מוחי בפגים. דופלר צבע ועוצמה מועיל באבחנת דימום תוך גולגולתי ובהדגמת חוסר זרימה בתוך פגמים עם הדיות מוגברת, לעומת התפתחות כלי דם (Vascularization) תקינה במערכת החדרית שבצד הנגדי. זרימה הפוכה בעורק המוח התיכון תוארה במקרה של דימום תת-קשיתי (Subdural hematoma), אבל בדרך כלל השינויים בזרימת הדם המוחית אינם קבועים[33].
- פגם עורקי-ורידי (AVM, Arterio-Venous Malformation)
מבנה כיסתי (Cystic) מוחי בקו האמצע עם מדגם זרימה מערבולית (Turbulent flow), מלווה בירידת תנגודת כלי דם במוח, טיפוסי למום זה (תמונה 4). מפרצת (Aneurysm) של וריד גאלן יכולה להביא לאי ספיקת לב והידרופס עוברי (Hydrops fetalis) יחד עם נזק מוחי מקומי של התרככות (Encephalomalacia). דופלר צבע ותלת ממדי מסייעים בהגדרת מבנה כלי הדם והאזור המוחי הפגוע[34].
העובר במצוקה
לזיהוי ומעקב אחרי עוברים במצוקה הוצעו שילובים שונים של בדיקות דופלר מכלי דם שונים. כך למשל, היחס בין מדד הפעימתיות בעורק המוח התיכון לזה של עורק הטבור נמצא יעיל יותר בניבוי פרוגנוסטי מאשר כל מדד בנפרד. שינויים בניטור לב העובר נצפו במקרים עם אובדן זרימה דיאסטולית בעורקי הטבור כאשר עורק המוח התיכון מתחיל לאבד את יכולת ההתרחבות כפיצוי[35]. עם זאת, עד כה לא הוכחה יעילות בדיקת דופלר בזיהוי מצוקה עוברית חריפה (Acute).
מוות עוברי - עליית תנגודת לזרימה והיפוך זרימה בעורק המוח התיכון תוארו כסימנים מאיימים ומקדימים מות עובר ברחם. תבנית זו משקפת אובדן הבקרה העצמית, שלב של דה-קומפנסציה (Decompensation) ואובדן שימור המוח עד התפתחות בצקת מוחית[36]. תופעות אלו מלוות את המדגם החמור של ניטור הלב, שבו אובדן שונות לטווח קצר וארוך, עם או בלי האטות.
ביבליוגרפיה
- ↑ Kiserud T, Acharya G. The fetal circulation. Prenat Diagn 2004; 30; 24:1049-59.
- ↑ Stoeter P and Voigt K. Prenatal neuroradiology: Comparative radiological investiga¬tions of the embryonal and fetal brain. Neuroradiology 1978; 16:54-7.
- ↑ Neas JF. Cardiovascular System: Development of Vessels and Circulation. Embryology Atlas, Pearson Education Inc. 2003.
- ↑ Alpers BJ, Berry RG, Paddison RM. Anatomical studies of the circle of Willis in normal brain. Arch Neurol Psychiatr 1959; 81: 409-18.
- ↑ Van Overbeeke JJ, Hillen B, Tulleken CA. A comparative study of the circle of Willis in fetal and adult life. The configuration of the posterior bifurcation of the posterior com¬municating artery. J Anat 1991; 176: 45-54.
- ↑ Gailloud P, Albayram S, Fasel JH, Beauchamp NJ, Murphy KJ. Angiographic and embryologic considerations in five cases of middle cerebral artery fenestration. Am J Neuroradiol 2002; 23:585-7.
- ↑ Okudera T, Huang YP, Ohta T, Yokota A, Nakamura Y, Maehara F, Utsunomiya H, Uemura K,Fukasawa H. Development of posterior fossa dural sinuses, emissary veins, and jugular bulb: morphological and radiologic study. Am J Neuroradiol 1994;15:1871-83.
- ↑ Wladimiroff JW, Tonge HM, Stewart PA. Doppler ultrasound assessment of cerebral blood flow in the human fetus. Br J Obstet Gynaecol 1986; 93: 471-5.
- ↑ Mari G, Moise KJ, Deter RL, et al. Doppler assessment of the pulsatility index in cere¬bral circulation of the human fetus. Am J Obstet Gynecol 1989;160: 698-703.
- ↑ Gosling RG King, DH. Ultrasound angiology. In Marcus AW, Adamson L, eds. Arter¬ies and veins. Edinburgh: Churchill-Livingstone; 1975:61-75.
- ↑ Arbeille P, Body G, Saliba E, et al. Fetal cerebral circulation assessment by Doppler ultrasound in normal and pathological pregnancies. Eur J Obstet Gynecol Reprod Biol 1988;29: 261-73.
- ↑ Arabin B, Mohnhaupt A, Becker R, et al. Comparison of the prognostic value of pulsed Doppler blood flow parameters to predict SGA and fetal distress. Ultrasound Obstet Gynecol 1992; 2: 272-8.
- ↑ Laurichesse-Delmass H, Grimaud O, Moscoso G, et al. Color Doppler study of the venous circulation in the fetal brain and hemodynamic study of the cerebral transverse sinus. Ultrasound Obstet Gynecol 1999;13:34-42.
- ↑ Hernandez-Andrade E, Jansson T, Figueroa-Diesel H et al. Evaluation of fetal regional cerebral blood perfusion using power Doppler ultrasound and the estimation of fractional moving blood volume. Ultrasound Obstet Gynecol 2007;29:556-561.
- ↑ Pooh RK & Pooh KH. The assessment of fetal brain morphology and circulation by transvaginal 3D sonography and power Doppler. J Perinat Med 2002;30:48-56.
- ↑ Kurjak A, Predonic M, Kupesic S, et al. Transvaginal color Doppler study of middle cerebral blood flow in early normal and abnormal pregnancy. Ultrasound Obstet Gynecol 1992; 2: 424-8.
- ↑ Wladimiroff JW, vd Wijngaard JAGW, Degani S, et al. Cerebral and umbilical arte¬rial blood flow velocity waveforms in normal and growth-retarded pregnancies. Obstet Gynecol 1987;69: 705-9.
- ↑ Mari G, Deter RL. Middle cerebral artery flow velocity waveforms in normal and small-for-gestational-age fetuses. Am J Obstet Gynecol 1992;166:1262-70.
- ↑ Degani S, Gonen R, Shapiro I, et al. Doppler flow velocity waveform analysis in fetal surveillance of twins: a prospective longitudinal study. J Ultrasound Med 1992;11: 537 - 41.
- ↑ Meerman RJ, Van Bel F, Van Zuiten PH, et al. Fetal and neonatal cerebral blood velocity in the normal fetus and neonate. Early Hum Dev 1990; 24: 209-17.
- ↑ Degani S, Paltiely Y, Gonen R, et al. Fetal internal carotid artery pulsed Doppler velocity waveforms and maternal plasma glucose levels. Obstet Gynecol 1991; 7: 379-81.
- ↑ Pooh RK, Pooh KH, Nakagawa Y, Maeda K, Fukui R, Aono T. Transvaginal Doppler assessment of fetal intracranial venous flow. Obstet Gynecol 1999;93:697-701.
- ↑ Fouron JC, Teyssier G, Maroto E, et al. Diastolic circulatory dynamics in the presence of elevated placental resistance and retrograde diastolic flow in the umbilical artery: a Doppler echographic study in lambs. Am J Obstet Gynecol 1991;164: 195-203.
- ↑ Peeters LLH, Sheldon RE, Jones MD, et al. Blood flow to fetal organs as a function of arterial oxygen content. Am J Obstet Gynecol 1979;135: 637-46.
- ↑ Vyas S, Nicolaides KH, Bower S, et al. Middle Cerebral artery flow velocity wave¬forms in fetal hypoxaemia. Br J Obstet Gynaecol 1990;97: 797-803.
- ↑ Noordam MJ, Heydanus R, Hop WC, et al.. Doppler color flow imaging of fetal intrac-erebral arteries and umbilical artery in the small for gestational age fetus. Br J Obstet Gynaecol 1994; 101:504-8.
- ↑ Gaziano E, Gaziano C, Brandt D, et al. Doppler velocimetry determined redistribution of fetal blood flow: correlation with growth retardation in diamniotic monochorionic and dizygotic twins. Am J Obstet Gynecol 1998;178:1359-1367.
- ↑ Degani S, Leibovitz Z, Shapiro I, Gonen R, Ohel G. Instability of Doppler cerebral blood flow in monochorionic twins. J Ultrasound Med 2006;25(4):449-54.
- ↑ Vyas S, Nicolaides KH, Campbell S. Doppler examination of the middle cerebral artery in anemic fetuses. Am J Obstet Gynecol 1990;162: 1066-8.
- ↑ Mari G, Adrignolo A, Abuhamed AZ, et al. Diagnosis of fetal anemia with Doppler ultrasound in the pregnancy complicated by maternal blood group immunization. Ultra¬sound Obstet Gynecol 1995;5:400-405.
- ↑ Bartha JL, Abdel-Fattah SA, Hunter A, Denbow M, Kyle P, Soothill PW. Optimal interval between middle cerebral artery velocity measurements when monitoring preg¬nancies complicated by red cell alloimmunization. Fetal Diagn Ther 2006;21:22-5.
- ↑ Degani S, Lewinsky R, Shapiro I, et al. Decrease in pulsatile flow in the internal carotid artery in fetal hydrocephalus. Br J Obstet Gynaecol 1988; 95: 138-41.
- ↑ Sibony O, Fondacci C, Oury JF, et al. In utero fetal cerebral intraparenchymal hemor¬rhage associated with an abnormal cerebral Doppler. Fetal Diagn Ther 1993;8:126-8.
- ↑ Ruano R, Benachi A, Aubry MC, Brunelle F, Dumez Y, Dommergues M. Perinatal three-dimensional color power Doppler ultrasonography of vein of Galen aneurysms. J Ultrasound Med 2003;22:1357-62.
- ↑ Weiner Z, Farmakides G, Schulman H, et al. Central and peripheral hemodynamic changes in fetuses with absent end-diastolic velocity in umbilical artery: correlation with computerized fetal heart rate pattern. Am J Obstet Gynecol 1994;170:509-15.
- ↑ Degani S, Lewinsky RM, Shapiro I. Doppler studies in fetal cerebral blood flow. Ultrasound Obstet Gynecol 1994;4:158-165.
קישורים חיצוניים
המידע שבדף זה נכתב על ידי פרופ׳ שמעון דגני, יחידת האולטרסאונד, מחלקת נשים ויולדות, מרכז רפואי בני ציון, הפקולטה לרפואה, טכניון, חיפה

כניסה
עקבו אחרינו בפייסבוק