חסימות מכניות של המעי הדק - היבטים כירורגיים - Mechanical obstruction of small bowel
עקרונות בכירורגיה
מאת ד"ר צבי קויפמן
| עקרונות בכירורגיה | ||
|---|---|---|
| שם המחבר | ד"ר צבי קויפמן | |
| שם הפרק | כירורגיה של המעי הדק | |
סוגי חסימות
| הידבקויות | malrotation |
| בקע כלוא | bands |
| לחץ חיצוני (שאתות, annular pancrease וכו') | vascular obstruction |
| בקע פנימי |
| פוליפים | |
| שאתות | |
| סעיפי Meckel | |
| היפרפלזיה לימפתית | |
| הקרנות | |
| מחלות דלקתיות של המעי: | |
| קרוהן | |
| שחפת | |
| פטריות | |
| אנטריטיס אאוזינופילית | |
| דופליקציות | |
| איטמויות (atresia) | |
| היצרויות: | |
| חבלות כירורגיות או חבלות חיצוניות (המטומה) | |
| היצרויות מולדות או נרכשות (K+ Induced, איסכמיה) | |
| דיאפרגמות (בקיבה, תריסריון, מעי) |
| gallstone | Bezoar |
| מוניליה | גופים זרים |
| מקוניום | תולעים |
| לאחר ניתוח | היפומגנזמיה |
| דלקת הצפק | תרדמת דיאבטית |
| המטומה אחור-צפקית | תרופות |
| עווית של דרכי השתן | תת-תריסיות (היפותירואידיזם) |
| עווית של דרכי המרה | שברים בחוליות |
| היפוקלמיה | פגיעה בחוט השדרה |
פתוגנזה
החסימה גורמת להצטברות של מים וגז בנהור המעי, ועקב כך להתרחבות המעי. הנוזל המצטבר מקורו במזון, ברוק הנבלע, בתוכן הקיבה, בלבלב ובמרה, וכן בהפרשות של המעי עצמו. במצב תקין, הגז במעי בדרך כלל מעורב במזון ומופרש דרך פי הטבעת. כשהמעי חסום, הגז מצטבר בגלל:
- בליעת אוויר
- שחרור של דו-תחמוצת הפחמן, עקב פעולת הנטרול של החומצות
- יצירת גז על-ידי חיידקים במעי הדק
70% מהגז במעי החסום מקורו באוויר הנבלע. ההוכחה לכך היא שהגז המצוי במעי החסום מורכב מ-70% חנקן, וזה - מקורו רק באוויר. דו- תחמוצת הפחמן נספגת ברובה מהמעי לדם, ומופרשת דרך הריאות.
אחת התוצאות הנלוות לחסימת המעי היא איבוד של מים ואלקטרוליטים לתוך נהור המעי המורחב, וזאת מלבד איבוד האלקטרוליטים בהקאות. האיבוד הוא בעיקר של נתרן, אשלגן וביקרבונט. ההקאות המלוות את חסימת המעי הן רפלקטוריות להרחבת המעי. מעי חסום מורחב מפריש כמות גדולה של נוזלים, ואילו כושר הספיגה שלו יורד. הנוזלים המצטברים בכמות גדולה במעי חודרים לקיבה, מנפחים אותה וגורמים לניע הפוך המתבטא בהקאה. ברור שככל שהחסימה רחוקה יותר מהקיבה, ההקאות יופיעו מאוחר יותר.
השינויים המטבוליים קשורים בגובה החסימה. בחסימות קריבניות (גבוהות), שבנוכחותן רווחות ההקאות ואילו הרחבת המעי אינה ניכרת במיוחד, נמצא איבוד של כלור, מימן ואשלגן, מלווה בדהידרציה, בהיפוקלמיה ובחמצת מטבולית. בחסימות רחיקניות התמונה הבולטת היא של הרחבת המעי ומיעוט הקאות. הרחבת המעי גורמת לאיבוד מים, נתרן, אשלגן וביקרבונט. עקב איבוד המים מתמעט השתן (אוליגאוריה), וניכרים אזוטמיה, טכיקרדיה, ירידה בלחץ הדם והלם תת-נפחי.
הרחבת המעי גורמת לתפיחות הבטן ולעלייה בלחץ התוך-בטני, ואלה גורמות להגבלת תנועות הסרעפת, ועקב כך לירידה באוורור הריאתי. עליית הלחץ התוך-בטני גורמת ללחץ על הוורידים בבטן, ולכן להקטנת ההחזר הוורידי, המחמיר את ההלם.
חיידקים, שלרוב אינם מצויים במעי הדק, מתחילים להתרבות ומקנים לתוכן המעי ריח צואתי. בניגוד למקובל בעבר, חשיבותם של החיידקים בפתוגנזה של חסימת המעי קטנה, מכיוון שהתברר שהם אינם עוברים את רירית המעי.
אחד הסיבוכים החמורים של החסימה הוא הפרעה באספקת הדם למעי, הגורמת לאיסכמיה ולנמק של הדופן. אם החסימה היא בעיקרה ורידית, יהיה איבוד ניכר של פלזמה ודם לחלל המעי, המלווה בהלם. התנקבות המעי עקב נמק הדופן היא סיבוך קשה, ובבחינת סכנה לחיי החולה; היא נובעת מחסימה של אספקת הדם העורקית, עקב בצקת בדופן המעי הגוברת והולכת, וגורמת לעלייה בלחץ התוך-דופני, ועקב כך ללחץ על עורקי הדופן ולהפרעה בזרימת הדם העורקי עד לחסימה מוחלטת של אספקת הדם (סטרנגולציה של המעי). חומרים טוקסיים המופרשים למקטע הנמקי - שמקורם בחיידקים במעי המתרבים בקצב גובר, ובנמק הדופן - חודרים לדם דרך החלל הצפקי, וגורמים לסימנים טוקסיים מערכתיים.
בחסימות הכרכשת ההפרעות במשק המים ובאלקטרוליטים בולטות פחות. הכרכשת מתרחבת עקב הצטברות גז בתוכה. המקום השכיח להתנקבות הוא הצקום, שהוא גוף מעוגל בעל הקוטר הגדול ביותר בכרכשת, ולכן כל שינוי בלחץ מעלה במידה ניכרת את מתח הפנים בו. אם המסתם האילאוצקלי (Ileocecal valve) אינו פועל, תיראה הרחבה גם של המעי הדק.
תסמינים קליניים
בסיפור המחלה חשוב לקבל מידע על ניתוחי בטן בעבר ועל קיום בקעים. בחולים לאחר ניתוחי כיב חשוב לוודא אם המזון שאכלו הכיל תפוזים או אפרסמונים. התסמינים הקליניים כוללים:
- כאבי בטן: כאבים עוויתיים, שלרוב מתחילים פתאום, ממוקמים באזור הפריאומביליקלי, או לפעמים אינם ניתנים למיקום במדויק. הכאבים מופיעים בהפוגות של 5-4 דקות, הם הולכים וגוברים עד לנקודת שיא, ולאחר מכן הולכים ונחלשים. הכאבים נובעים מהתכווצות מוגברת של המעי כנגד החסימה. עם התרחבות המעי עוצמת ההתכווצויות פוחתת, הכאב הולך ונחלש או נעשה עמום, ובד בבד מופיעה תפיחות של הבטן (תמונה 1.4).
כאשר החסימה מתקדמת ובבני אדם רזים ניתן לראות לולאות מעי תפוחות הבולטות דרך דופן הבטן (תמונה 2.4) כאבי בטן חדים תמידיים, המופיעים לאחר מכן, נובעים מאיסכמיה של המעי והתנקבותו ומדלקת הצפק הנלווית לתהליך זה. בחסימות קריבניות החולים מתלוננים על אי-נוחות בבטן ולא על כאבים עוויתיים.
- הקאות: בחולים הלוקים בחסימה קריבנית התסמין הבולט הוא ההקאות, בלא תפיחות של הבטן. בחסימות רחיקניות הבטן תפוחה, ההקאות בהתחלה הן רפלקטוריות, ובשלבים מאוחרים יותר צואתיות מסריחות, ומקורן בריבוי החיידקים במעי ובפירוק תוכן המעי.
- עצירות: לצאייה (Defecation) ולגזים. תחילה ייתכנו עדיין צאייה או פליטת גזים עד התרוקנות החלק הנמצא מעבר לחסימה. צאייה זו נגרמת עקב ניע מעי מוגבר גם בחלק שמעבר לחסימה.
- סימני דהידרציה: דופק מהיר וירידה בלחץ הדם, מלווים חסימות מעי ממושכות.
- חום וכאבי בטן שאינם עוויתיים: עלולים להעיד על התפתחות דלקת הצפק.
בדיקה
בבדיקה ניתן למצוא:
- בטן תפוחה, לא תמיד רגישה, ולעתים קרובות בלא עדות לגירוי צפקי (בתנאי שהחולה לא פיתח דלקת צפק). יש להבדיל בין תפיחות הבטן עקב מיימת, לבין תפיחות עקב חסימת מעי. בחולים שאובחנה בהם מיימת, בניקוש תישמע עמימות של הבטן, ואילו בחולים הלוקים בחסימה תישמע טימפניות של הבטן. תפיחות הבטן בולטת פחות בחסימות קריבניות, והיא בבחינת ממצא בולט בחסימות רחיקניות (תמונות 1.4 - 2.4).
- בהאזנה יישמע ניע ער, בעל גוון מתכתי וממושך, אך עם התרחבות המעי הניע הולך ונחלש.
- בבדיקה חלחולתית האמפולה לרוב ריקה. סימני דם על הכפפה מצביעים על פגיעה ברירית, המאפיינת חולים הלוקים בשאתות, בהתפשלות או באוטם בדופן המעי.
- בבדיקה יש לחפש היטב עדות לאטיולוגיה של החסימה. יש לחפש בקעים במפשעות או בדופן הבטן. בקע רגיש שאינו אפשרי להחזרה הוא בקע כלוא הכרוך בנזק לדופן, ויש לנתח אותו בדחיפות. צלקות בדופן הבטן מעידות על ניתוחי בטן קודמים, ויש בהן כדי להצביע על אפשרות של הידבקויות כגורם לחסימה.
אבחנה רנטגנית
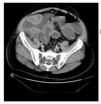
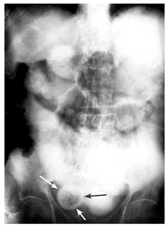
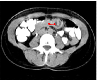
בצילום בטן סקירה ניתן לראות חסימות דינמיות, התרחבות של המעי הדק (תצלום 1.4), ופלסי אוויר נוזל במרכז הבטן המסודרים בצורת מדרגות (תצלום 2.4). הוולבולה קוניובנטס מודגשים לרוחב הרירית (תצלום 3.4).
בחסימות של המעי הדק לא תהיה עדות לאוויר בכרכשת (תצלום 4.4 - 5.4). בצילום צדדי של החלחולת לא ניתן לראות אוויר בחלחולת. לעומת זאת, בחסימות של הכרכשת יש הרחבה של הכרכשת והדגשה של ההאוסטרות בהיקף הבטן. בחולים שאובחנה בהם חסימה של הכרכשת, שבהם מסתם אילאוצקלי בלתי פעיל, תיראה הרחבה של הכרכשת והמעי הדק.
בחסימת מעי אדינמית (פראליטית) תיראה הרחבה של כל המעי, מהקיבה ועד לחלחולת, לעתים עם פלסי אוויר נוזל.
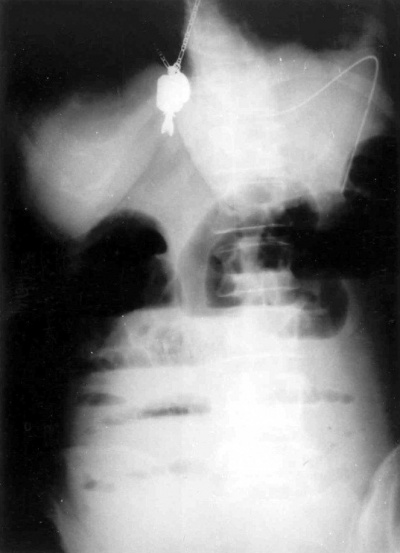
לעתים רחוקות, כדי לקבוע את גובה החסימה ואת מידתה בחולים הלוקים בחסימה דינמית, או כדי להבדיל בין שתי צורות החסימה, יש לצלם את החולה לאחר בליעת חומר ניגוד נספג מסוג גסטרוגרפין. בחסימה דינמית ניתן למצוא התקדמות של חומר הניגוד עד לחסימה (תצלום 6.4), ואילו בחסימה אדינמית ניתן למצוא אמנם מעבר לכל אורך המעי, אך מעבר איטי ביותר. לחולים שבהם יש חשד לחסימת הכרכשת, אין לתת בריום דרך הפה אלא לבצע חוקן בריום תחילה. ב- CT בטן עם חומר ניגוד ניתן לראות לולאות מורחבות שלאחריהן לולאות התמט, בצקת של הלולאות ונוזל ביניהם (תצלום 7.4).
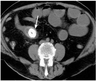
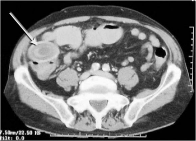
בחולים הלוקים בחסימת מעי על-ידי אבן מרה החודרת למערכת העיכול אפשר להדגים את החסימה בעזרת חומר ניגוד (תצלומים 8.4 ו-9.4) או ב-CT (תצלום 10.4). בחולים הלוקים בחסימת מעי על-ידי פיטובזואר להדגים את החסימה בעזרת חומר ניגוד (תצלום 11.4) או ב-CT. התפשלות של המעי ניתנת להדגמה בצילום בריום או בטומוגרפיה ממוחשבת (CT) (תצלום 12.4 - 13.4)
טיפול
טיפול שמרני
לאחר האבחנה, אם אין עדות לגירוי צפקי, יש לטפל בחולה באופן שמרני על-ידי:
- מתן נוזלים, בעיקר נוזלים איזוטוניים עם אלקטרוליטים, להשלמת נפח הנוזלים שאבד במעי. בחולים מבוגרים או הלוקים במחלות לב יש לבצע מעקב קפדני הכולל החדרה של צנתר לווריד מרכזי
(CVP). - תיקון השינויים ברמות האלקטרוליטים.
- החדרת זונדה לקיבה כדי לנקזה. יש מנתחים הממליצים להחדיר זונדה ארוכה שבקצה בלון או משקולת מתכתית, הנדחפת על-ידי כוחות הניע לתריסריון ומשם למעי הדק עד גובה החסימה. בדרכה היא מנקזת את הנוזלים מקטע המעי שלפני החסימה. ניקוז זה מקטין את הלחץ בקטע החסום, משפר את אספקת הדם ומאפשר לניע המעי לשחרר את המעי מהחסימה. זונדה זו נקראת – Miller Abott tube או Cantor tube. אחת הסכנות של השימוש בזונדה הארוכה היא טשטוש התמונה הקלינית והרנטגנית, ולכן עיכוב בקביעת ההוריות לניתוח, ועקב כך נזק למעי עד כדי נמק.
- מומלץ לטפל באנטיביוטיקה בכל החולים הלוקים בחסימת מעי, בעיקר אם יש חשד לנזק למעי עקב הפרעות באספקת הדם.
- בחולים הלוקים במחלת קרוהן, שבהם החסימה היא עקב דלקת ובצקת של המעי, יש לטפל שמרנית על-ידי מתן הזנת-על, עירוי נוזלים, זונדה, אנטיביוטיקה וסטרואידים. הבצקת חולפת ומצב החולים משתפר בתוך ימים ספורים מתחילת הטיפול, לכן אין למהר לנתחם.
טיפול ניתוחי - הוראות לניתוח
- אם מצבו של החולה אינו משתפר בתוך 24 שעות, יש לשקול ניתוח כטיפול. המועד לניתוח ייקבע על פי:
- משך החסימה: ככל שהחסימה ממושכת יותר יש להקדים את הניתוח.
- מספר האירועים של חסימת מעי בעבר: אם היה לפחות אירוע אחד בעבר, או שניים, יש לנתח את החולה. אם היו אירועים חוזרים של חסימה וניתוחים עקב כך בעבר, יש לטפל בחולה בצורה שמרנית תקופה ארוכה יותר. אירועים חוזרים של חסימה באותו אשפוז מחייבים ניתוח.
- מידת ההפרעות האלקטרוליטריות וההפרעות במאזן חומצה-בסיס: אם החסימה גורמת להפרעות אלקטרוליטריות קשות יש לתקנן תחילה ורק לאחר מכן, אם החסימה לא הוסרה, יש לנתח את החולה.
- הפרעות במערכות אחרות, כגון המערכת הקרדיו-וסקולרית.
- סימנים המעידים על נזק למעי: חשד להתפתחות סימנים אלה מחייב ניתוח דחוף.
- בילדים הלוקים בהתפשלות המעי הטיפול מתבצע על-ידי שחרור הידרוסטטי של ההתפשלות (על-ידי חוקן בריום בלחץ). מבוגרים הלוקים בהתפשלות יש לנתח בדחיפות, עקב הסיכון לנמק המעי.
- חולים הלוקים בחסימות מעי חדות בלא רקע קודם, כגון ניתוח, בקע כלוא ועוד, יש לנתח בדחיפות. לעומת זאת אין למהר לנתח חולים הלוקים בחסימות חוזרות, לדוגמה, עקב הידבקויות.
- חולים הלוקים במחלות דלקתיות של המעי, ומצבם אינו משתפר דיו בטיפול שמרני, או שהם זקוקים למנות גדולות של סטרואידים כמנות אחזקה, יש לנתח.
- חולים שבהם ניתן לחכות יותר מאשר 24 שעות הם
- חולים הלוקים בחסימות השוער.
- חולים לאחר ניתוח (Postoperative ileus).
- חולים הלוקים בשאתות מפושטות בחלל הצפקי.
בחולים אלה אפשר לטפל באותה תקופה על-ידי זונדה ארוכה.
גישה ניתוחית
כל הניתוחים המתבצעים עקב חסימת מעי חייבים להתבצע בהרדמה כללית. יש להביא בחשבון סכנה של הקאות ושאיפת תוכן קיבה לריאות בזמן השראת ההרדמה (Induction). לכן, בחולים אלו חובה להחדיר זונדה לפני הניתוח, ולוודא שהיא אכן מנקזת.
בכל החולים שאובחנה בהם חסימת מעי הדורשת התערבות כירורגית, יש לגשת לניתוח בחתך אמצעי, למעט חולים הלוקים בחסימות עקב בקעים כלואים, בהם הגישה היא דרך החתכים המקובלים לטיפול בבקעים.
הטיפול הניתוחי תלוי באטיולוגיה:
- חסימות הנגרמות על-ידי הידבקויות יש לנתק את ההידבקות ולשחרר את לולאות המעי (Adhesiolysis). לעתים ההידבקויות הן כה קשות, שאין אפשרות לנתקן, ואין למנתח ברירה אלא לכרות את קטע המעי הנגוע. ברוב החולים ההידבקויות הן מרובות ולכן, כדי לאתר את ההידבקות החוסמת, על המנתח לזהות את אזור המעבר בין המעי המורחב שלפני החסימה לבין המעי הצר והריק מתוכן שלאחר החסימה. נקודת מעבר זו חשובה ביותר, מכיוון שבה נמצא גורם החסימה. בזמן שחרור ההידבקויות יש לוודא שלא נגרם נזק למעי עקב החסימה. אם אין ודאות שהמעי אכן לא ניזוק, יש להרטיבו במגבונים לחים וחמים במשך כ-15-10 דקות, ואז לבצע הערכה מחודשת. בדרך כלל קטע מעי שבו יש ניע, ושבו אפשר למשש היטב את הדפקים בסמוך לדופן, הוא קטע שהתאושש, ולכן אין צורך לכרות אותו; לעומתו, קטע מעי שחור-ירוק מצחין הוא קטע מעי נמקי שחובה לכרות.
- חסימות הנגרמות על-ידי בקע כלוא יש לנתח בדחיפות כדי להקטין את הסבל והנזק שנגרמים עקב המעי הכלוא. בניתוח יש לשחרר את הבקע על-ידי הרחבת הפתח שדרכו הוא חודר, ולאחר מכן לבדוק את מצב המעי הכלוא. אם המעי תקין, אפשר להחזירו לבטן ולתקן את הפגם בדופן באחת השיטות הניתוחיות לתיקון בקעים (ראה הפרק "בקעים"). תחילה יש לטפל בשק ובתוכנו, ולאחר מכן בפגם בדופן. יש להיזהר שלא לאפשר למעי הכלוא לחמוק חזרה לחלל הבטן לפני שנבדק. בחולים שבהם לא נמצא מעי בשק בזמן הניתוח, אך השק מכיל תוכן דמי, יש לחפש לולאת מעי נמקית. לעתים, אם היא לא תימצא, עקב קשיים טכניים בהוצאת המעי, חובה לבצע פתיחת בטן חוקרת.
- במחלות דלקתיות של המעי כורתים את הקטע הנגוע, או עוקפים אותו.
- המעקף מתבצע על-ידי פיום קטע המעי הקריבני לחסימה לכרכשת הרוחבית (Ileotransversostomy).
- אפשרות אחרת היא להפריד בין הקטע הקריבני לבין הקטע הנגוע, להשאיר את הקטע הנגוע בבטן מחובר למעי האטום (צקום), המתנקז אליו, ואילו הקטע הקריבני מושק לכרכשת הרוחבית.
- אפשרות אחרת היא לכרות את הקטע הנגוע ולבצע השקה קצה לקצה בין לולאות המעי הנותרות.
- לעתים מצב החולה ומצב המעי אינם מאפשרים לבצע השקות ואז יש לבצע Enterocutaneous fistula-ileostomy, אותה יש לסגור במועד אחר, כאשר מצב החולה יאפשר זאת.
הטיפול באילאוס אדינמי הוא תסמיני. החולה זקוק להידרציה טובה כדי להחזיר לו את הנוזלים שאיבד במעי המורחב. יש לדאוג לתיקון מאזן האלקטרוליטים ולהכניס זונדה לקיבה לניקוז. במקרים של אילאוס אדינמי מתמיד אפשר לנסות גם תרופות פאראסימפטומטיות, כגון Neostigmine וProstigmin בתנאי שברור כי אין מדובר בחסימה דינמית.
ראו גם
- לנושא הקודם: חסימת מעיים - Bowel obstruction
- לנושא הבא: חסימת מעיים בחולה סרטן - Bowel obstruction in cancer patients
- לתוכן העניינים של הפרק
- לתוכן העניינים של הספר
- לפרק הקודם: כירורגיה של הקיבה והתריסריון
- לפרק הבא: כירורגיה של התוספתן
המידע שבדף זה נכתב על ידי ד"ר צבי קויפמן, מומחה בכירורגיה, מנהל היחידה לבריאות השד, מרכז רפואי מאיר, כפר סבא

כניסה
עקבו אחרינו בפייסבוק 









