יותרת הכליה - היבטים כירורגיים - Adrenal - surgical aspects
עקרונות בכירורגיה
מאת ד"ר צבי קויפמן
| עקרונות בכירורגיה | ||
|---|---|---|
| שם המחבר | ד"ר צבי קויפמן | |
| שם הפרק | כירורגיה של הבלוטות האנדוקריניות | |
לערכים נוספים הקשורים לנושא זה, ראו את דף הפירושים – יותרת הכליה
אנטומיה של יותרת-הכליה
שתי בלוטות יותרת-הכליה (אדרנל, טוחה) יושבות על הקוטב העליון של הכליות (איור 7.14). בלוטת יותרת-הכליה הימנית היא בצורת משולש (איור 8.14), חלקה הקדמי-מדיאלי נוגע בווריד החלול התחתון. גבולה הלטרלי גובל בכבד ומתחתיה מצויה הכליה. בלוטת יותרת-הכליה השמאלית היא בצורת כישור ונמצאת בין הגבול הקדמי-מדיאלי של הכליה לבין אבי העורקים. הבלוטות הן בצבע צהוב כהה, קשות יותר מהשומן הסובב אותן. הבלוטות מוקפות על- ידי החיתולית על-שם ג'רוטה (Gerota's fascia) ומוחזקות במקומן על-ידי מספר סיבים פיברווסקולרים. כאשר הכליות נמוכות ונמצאות באגן - בלוטות יותרת-הכליה נשארות במקומן. בלוטת יותרת-הכליה שוקלת כ-3-5 גרם בזכרים, וכ-30% פחות בנקבות. בלוטת יותרת-הכליה עשויה מקליפה חיצונית — קורטיקלית, ומשכבה פנימית - מדולרית. הקליפה (Cortex) היא צהובה, קשה וכבדה יותר מאשר הליבה (Medulla) האדומה (איור 7.14).
| איור 8.14: מראה האדרנל. למעלה -מבט מלפנים. למטה- מבט מאחור. |
אספקת הדם
מספר רב של כלי דם מספקים דם ליותרת-הכליה: מלמעלה - ענפים מעורק הסרעפת התחתון, מדיאלית - ענפים מאבי העורקים, מלמטה - ענפים מעורק הכליה. בנוסף, משמאל - נכנסים לבלוטת יותרת-הכליה ענפים מהעורק הספרמטי או מהעורק השחלתי וענפים מהעורקים האנטרקוסטליים. כ-60-50 כלי דם אדרנליים נספרו. אלה מספקים דם לסינוסואידים בקצב של 7-6 מ"ל לגרם לדקה. משם הדם עובר אל הליבה ומשם אל הוורידים הגדולים והקטנים. הוורידים הקצרים מימין מתנקזים ישירות אל הווריד החלול, לעומת זאת משמאל הם מתנקזים בעיקר לווריד הכליה ומקצתם לווריד החלול. הוורידים הקטנים מתנקזים אל וריד הסרעפת התחתון. משמאל, בנוסף לניקוז הרגיל, חלק קטן של הוורידים מתנקזים אל וריד הטחול ומשם למערכת הפורטלית (איור 9.14).
ניקוז לימפתי
הניקוז הלימפתי הוא דרך מערכת כפולה: האחת מתחת לקפסולה והשנייה בליבה. מימין הניקוז הוא לבלוטות סביב אבי העורקים ומשמאל - לבלוטות סביב עורק הכליה.
עצבוב
העצבוב הוא דרך המערכת הספלנכנית, שמקורה בגנגליון הצליאק. הגירויים העצביים משפיעים רק על הליבה ואין להם כלל השפעה על הקליפה (איור 9.14).
היסטולוגיה
קליפת יותרת-הכליה (Cortex) מורכבת מ-3 שכבות (איור 10.14):
- ה-Zona glomerulosa - שכבה חיצונית דקה, המפרישה את האלדוסטרון.
- ה-Zona fasciculata - שכבה אמצעית עבה, המפרישה את הסטרואידים הקטבוליים.
- ה-Zona reticularis - שכבה פנימית המפרישה את ההורמונים האנדרוגניים והאסטרוגניים.
הליבה (Medulla) היא בעלת מבנה אחיד, ומורכבת מתאים פוליגונלים המייצרים את הקטכולאמינים ודופאמין. האפינפרין מהווה כ-70% מהפרשת הליבה. הורמון זה הוא בעל אפקט אינוטרופי המגדיל את תפוקת הלב, בעוד שהנוראפינפרין גורם לאפקט פרסורי המתבטא בעלייה בתנגודת הפריפרית, הנגרמת על-ידי כיווץ כלי דם. מבחינה אמבריונלית מקור הליבה הוא ברכס העצבי (בנויראל קרסט), בעוד שהקליפה מקורה מהמזודרם הספלנכני , כאשר שכבה אחת מקורה בתאי המזודרם, ממנו נוצרת הקפסולה על-שם באומן ושתי השכבות האחרות מקורן בצלומיק-מזודרם. מבנה הליבה העוברית דומה לזה של המבוגר, אולם הקליפה שונה ומורכבת ממבנה אשר דומה ל-Zona reticularis, העוברת דלדול (אטרופיה) לאחר הלידה. בחולים המיצפאליים, בעלי מיימת הראש (Hydrocephalus) וחולים הלוקים בצפלומנינגוצלה (Cephalomeningocele), בלוטות יותרת-הכליה קטנות מאוד; בתינוקות הלוקים בעגבת מולדת, בלייפת לבלבית, בהיצרות השוער ובמחלות לב מולדות - יותרת-הכליה העוברית נשארת זמן ממושך יותר.
פיזיולוגיה
קליפת יותרת-הכליה היא בעלת יכולת לקלוט ולייצר כולסטרול. הכולסטרול מצוי בטיפות השומן בתוך הציטופלזמה וממנו התאים מסוגלים לייצר את הסטרואידים (איור 11.14). באופן רגיל רק מעט מהכולסטרול מנוצל, אולם בזמן גירוי נעשה שימוש רב יותר בכולסטרול. התהליך האיטי ביותר בתהליך ייצור הסטרואידים הוא הפיכת הכולסטרול לפרגננולון (Pregnenolone). חומר זה, על-ידי טיפול אנזימטי מתאים, יכול להפוך לסטרואיד המתאים. לתאים השונים אנזימים שונים, ולכן הם מייצרים הורמונים שונים.
גירוי פריפרי כמו: סטרס, חבלה, היפוגליקמיה, הפרשת היסטמין, שוק חשמלי וכו' מועברים דרך סיבים כולינרגיים-מגרים, וסיבים אדרנרגיים-מעכבים. הגירוי מועבר דרך המסילות במוח לתת הרמה (היפותלמוס), המפריש את ה-CRF (Corticotropin releasing factor), המגרה את בלוטת יותרת המוח (היפופיזה). כתוצאה מגירוי זה ההיפופיזה מפרישה את ה-ACTH (Adrenocorticotropic hormone) הגורם להגברת הפעילות המטבולית בקליפת יותרת-הכליה ולהפרשת-יתר של הורמוני הקליפה. רמת ה-ACTH בדם משתנה בהתאם לשעות היממה, ולכן גם רמת הסטרואידים בדם שונה בשעות היום השונות. שיא ההפרשה הוא בבוקר, ואילו בערב ההפרשה יורדת עד מחצית. רמה גבוהה של קורטיזול בדם מדכאת את הפרשת ה-ACTH (מנגנון המשוב - Feedback). זמן מחצית החיים של הקורטיזול הוא 90 דקות והוא מתפרק בכבד ומופרש בשתן.
הסטרואידים נבדלים ביניהם באפקט הפיזיולוגי. הגלוקוקורטיקואידים הם קטבוליים בעוד שהאנדרוגנים הם אנבוליים, ואילו למינרלוקרטיקואידים השפעה מועטה בלבד על חילוף החומרים, אבל השפעה בולטת על שימור הנתרן (פי 500 מאשר הגלוקוקורטיקואידים). לגלוקוקורטיקואידים יש גם השפעה מינרלוקורטיקואידית, אולם רק כאשר הם מופרשים בכמות רבה (20 מ"ג ליממה לעומת 150 מיקרוגרם אלדוסטרון). עודף של גלוקוקורטיקואידים גורם ל:
- שריפת חלבון.
- סוכרת.
- יתר שומנים בדם (היפרליפידמיה).
- יתר כולסטרול בדם (היפרכולסטרולמיה).
- זירוז הפרשת מים.
- מניעת חדירה של מים מהמרווח הבין-תאי לתוך התאים.
- מעלה את מספר הכדוריות האדומות, הטסיות והנויטרופילים.
- הורדת רמת האאוזונופילים, הבזופילים והלימפוציטים.
הפרשת-יתר של קורטיזול מלווה בשכיחות-יתר של כיבים עיכוליים (פפטיים), על רקע של הפרשת-יתר של חומצה, או הפרעה בהפרשת הריר ברירית הקיבה. עיכוב ביצירת העצם נובע מהפרעות ביצירת משקע החלבון, מהפרעות בספיגת הסידן במעי והגדלת הפרשתו בשתן, תוך גרימת דלדול עצם (אוסטאופורוזיס).
הקורטיזול, באופן פיזיולוגי, מגדיל את הרגישות של העורקיקים לאפקט המכווץ של נוראפינפרין. בכמויות גדולות הוא גורם להאצת תהליך טרשת העורקים (ארטריוסקלרוזיס). הקורטיזול מדכא את התגובה הדלקתית, את תגובת רגישות היתר, את יצירת הקומפלקס אנטיגן-נוגדן ואת יצירת הנוגדנים; הוא גורם לליזיס של תאי פלזמה ולימפוציטים, ולסיכום - מדכא את התגובה החיסונית.
ברמות פיזיולוגיות הקורטיזול משמר את שווי המשקל של חלבוני השריר ובהעדרו ניתן למצוא:
- ירידה ניכרת במסה השרירית.
- חולשה.
- הפרעות במערכת העצבים המרכזית.
- הפרעות במערכת העיכול.
האנדרוגנים האנבוליים מעודדים יצירת חלבון. בהפרשת יתר ניתן לראות הגדלת המסה השרירית, ויריליזציה, שיעור יתר (הירסוטיזם), חטטת (אקנה) והעמקת הקול. תוצרי הפירוק של האנדרוגנים מופרשים דרך השתן בצורת 17-קטוסטרואידים.
המינרלוקורטיקואידים גורמים לאצירה של נתרן בנסיוב ולאיבוד מוגבר של אשלגן ומימן. האיבוד המוגבר של אשלגן ומימן מתרחש בכליה, בבלוטות הזיעה, בבלוטות הרוק ובמעי. האלדוסטרון, המופרש על-ידי ה-Zona glumeruloza, מווסת על-ידי מערכת הרנין-אנגיוטנסין.
ליבת יותרת-הכליה מייצרת מהטירוזין את הדופמין, האפינפרין ונוראפינפרין. אלה מיוצרים על-ידי שני סוגי התאים הכרומפינים. תאים המייצרים נוראפינפרין לא מסוגלים לייצר אפינפרין עקב חסרונו של האנזים המסייע למתילציה של קטכולאמינים. תאים כרומפינים חוץ-אדרנלים מצויים בגנגליונים סימפטטיים, בקצות העצבים ולאורך אבי העורקים וכלי הדם של הכליה. רקמה זו מייצרת בעיקר נוראפינפרין ודופמין. תוצרי המטבוליזם של הקטכולאמינים מופרשים בשתן, כאשר 40% מהם מופרשים כחומצה וניליל מנדלית (VMA, Vanillylmandelic acid).
אבחון רדיולוגי של בלוטות יותרת-הכליה
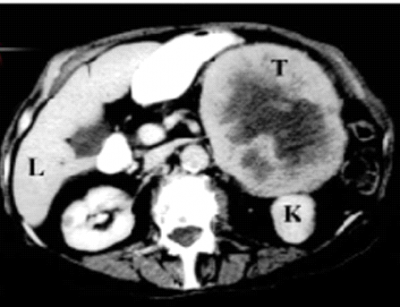
- הסריקה הטומוגרפית מאפשרת הדגמה מהימנה ומדויקת של בלוטות יותרת-הכליה והפתולוגיות שלהן. זו בדיקת הבחירה לבירור גוש בבלוטת יותרת-הכליה (תצלום 5.14).
השאת רוכבת על הקוטב העליון של הכליה. מרכזה נמקי. T - הגוש בבלוטת יותרת-הכליה; L - כבד; K - כליה
- דימות תהודה מגנטית (MRI) - ב-MRI ניתן להדגים היטב את בלוטות יותרת-הכליה והפתולוגיות שלהן.
- בצילום דרכי השתן, לאחר הזרקת חומר ניגוד, ניתן לראות דחיקה של הכליה. הגדלת בלוטות יותרת-הכליה גורמת דחיקת הכליות כלפי מטה ולטרלית. ממצא זה מופיע בעיקר בשאתות ונדיר בהיפרפלזיה.
- ארטריוגרפיה סלקטיבית של עורקי הכליה ופלבוגרפיה הן שיטות מקובלות לאבחון, אולם הסכנה של אוטם ביותרת-הכליה מצמצמת את השימוש בם.
מחלות בלוטת יותרת הכליה
ניתן לסווג את המחלות הקשורות לאדרנל למספר קטגוריות:
- הפרעות תפקוד: לעיתים, מסיבה בלתי ידועה, מפסיק האדרנל להגיב למנגנוני הבקרה ההורמונליים ומתחיל לייצר הורמונים בעודף מבלי שיהיה בכך צורך. מצבים אלו הם נדירים, ובמקרים קיצוניים דורשים כריתת שני האדרנלים.
- גידולים שפירים של יותרת הכליה עשויים להיווצר מכל תא מפריש הקיים באדרנל. במקרים רבים, גם גידול שפיר של האדרנל לא מגיב למנגנוני הבקרה ותתפתח תסמונת הקשורה להפרשת יתר של הורמון מסויים. התסמונות שונות זו מזו וקשורות להורמון המסוים המופרש בעודף. התסמונות השכיחות הן תסמונת על שם קושינג, הקשורה להפרשת יתר של קורטיזול, היפראלדוסטרוניזם (הפרשת יתר של אלדוסטרון), ופאוכרומציטומה, גידול המפריש ביתר אדרנלין (אפינפרין) או נגזרותיו. לכל אחת מהתסמונות קשורה קשת של תלונות וממצאים, ובמקרים רבים עובר זמן רב עד שנעשית האבחנה הנכונה. גידולים שפירים עשויים לגרום לתלונות וממצאים בבדיקות גם כשהם קטנים, והטיפול בהם הוא כמעט תמיד ניתוחי. למרות זאת, במרבית המקרים עד שמבוצעת האבחנה הנכונה נמצא שאת של לפחות 2-3 ס"מ בקוטרה. יש לציין כי כאשר התסמונת קלה וניתנת לאיזון תרופתי, ניתן לשקול אם הטיפול הניתוחי הכרחי, במיוחד כשמדובר בחולים מבוגרים או חולים עם מחלות רקע קשות. כאשר גידול שפיר גדל מהר או שגדלו מתקרב לקוטר של 5 ס"מ, מומלץ להרחיק את הבלוטה מחשש להתפתחות גידול ממאיר.
- בדומה לגידולים השפירים מפרישי ההורמון, עשויים להתפתח באדרנל גידולים שפירים שאינם מפרישים. גידולים אלו מתגלים באקראי וברוב המכריע של המקרים כאשר מבוצעת בדיקת הדמיה כמו טומוגרפיה ממוחשבת (CT) או בדיקת על-שמע (אולטרסאונד) של הבטן מסיבות שונות. בניגוד לגידולים המפרישים, כאן השיקול להרחיק את האדרנל קשור רק לגודלו של הגידול והחשש שיהפוך לממאיר. גידול הגדל מהר או המתקרב לקוטר של 5 ס"מ מומלץ להרחיק בניתוח. גוש כזה יש לברר באם הוא פעיל מבחינה הורמונלית. בגוש פעיל יש לטפל כפי שיפורט. כאשר מדובר בגוש כיסייתי (ציסטי), יש לנקר את הגוש. במידה והנוזל צלול יש לעקוב אחריו פעם בשנה. אם הנוזל דמי, יש להתייחס אליו כגוש סולידי. בגוש סולידי לא פעיל יש לבצע מעקב על-ידי טומוגרפיה ממוחשבת אחת ל-3, 6 ו-18 חודשים. אם הממצא לא השתנה, אפשר להפסיק את המעקב. אם השאת גדלה, יש לנתח.
- גידול ממאיר באדרנל יכול להיות ראשוני או משני, כלומר גרורה ממקור אחר. גידולים אלו הם גידולים שהטיפול היחיד המתאים להם הוא כריתה נרחבת (רדיקלית) של הגידול עם הרקמות הצמודות אליו, אם ניתן לעשות זאת. כאמור, האדרנל הוא אתר לא נדיר לגרורות של גידולים ממקור אחר כשהשכיחים מביניהם הם: סרטן הריאה ומלנומה. בשני גידולים אלו, אם הגרורה היחידה המודגמת היא באדרנל, מוצדק לכרות אותה בניסיון למגר את המחלה.
גישות כירורגיות לבלוטות יותרת-הכליה
הגישה לכריתת בלוטת האדרנל יכולה להיות פתוחה או לפרוסקופית.
- קיימות 4 גישות כירורגיות לחשיפת יותרת-הכליה בגישה הפתוחה:
- גישה בטנית, המאפשרת חשיפה דו-צדדית של יותרת-הכליה. גישה זו נחשבת לגישה קשה וכרוכה בתחלואה גבוהה. גישה זו נוחה לביצוע בחולים רזים, או כאשר קיים חשד לפיאוכרומוציטומה.
- הגישה השנייה, החזית-בטנית (תורקואבדומינלית), תחילתה כמו הגישה הבטנית - על-ידי חתך תת-צלעי, והרחבה של החתך לבית החזה בגובה צלע 8. חתך זה מתאים לחולים בעלי שאתות גדולות חד-צדדיות.
- השיטה המקובלת ביותר היא זו המתוארת על-ידי Young. גישה זו היא אחורית, לפעמים דו-צדדית, אורכית, תוך הוצאת הצלע ה- 11 וה-12. גישה זו היא חוץ-צפקית, חוץ-צדרית, מאפשרת זיהוי טוב של בלוטת יותרת-הכליה, אולם מוגבלת בחשיפה שלה.
- הגישה הרביעית היא האחורית-צידית (פוסטרולטרלית) (כמו לכליה). שיטה זו מתאימה להוצאת שאתות גדולות מחולים שמנים, אולם מאפשרת חשיפה של צד אחד בלבד.
- בגישה הניתוחית התוך-צפקית, קיימת עדיפות לביצוע חתך תת-צלעי. כאשר נדרשת כריתת שאת גדולה במיוחד, או כזו המערבת איברים נוספים, וכאשר נדרשת שליטה על הווריד החלול התחתון מעל לאזור הכריתה, מתחתיו ובחלקו מאחורי הכבד, יש מקום לביצוע חתך בבטן ובבית החזה למניעת דמם קטלני. חתך זה מאפשר חשיפה רחבה של השאת והאיברים הצמודים לה, ושליטה מרבית על כלי הדם הגדולים. היבט טכני מיוחד בגישה הניתוחית הוא דחיית ניתוק החיבור בין הכליה ליותרת הכליה לשלב סופי. זהו קו ההפרדה הניתוחי הקל ביותר, ולכן נוטים להתפתות להתחיל דווקא בפעולה זו. קשר זה בין הכליה ליותרת הכליה, מאפשר למעשה למשוך את יותרת הכליה לשדה הניתוח על-ידי דחיקת הכליה כלפי מטה, כשהמאמץ הניתוחי ממוקד במניעת אחיזה ישירה של יותרת הכליה, עקב פריכותה, נטייתה לדמם וחשש להפרשה חדה של הורמונים.
- ברובם המכריע של המקרים, הניתוח המומלץ לכריתת יותרת הכליה הוא ניתוח לפרוסקופי.
- יתרונות הניתוח הלפרוסקופי הם: גישה בטוחה, ראות מצוינת של מקום שקשה להגיע אליו בניתוח מסורתי, חתכים קטנים ולכן החלמה מהירה מאד בהשוואה לניתוח המסורתי. הניתוח מתבצע בהרדמה כללית, כשהמטופל מושכב על צדו לאחר ההרדמה. המנתח מבצע חתך קטן בבטן ומחדיר דרכו את הלפרוסקופ ובו מערכת וידאו וכבל אופטי המחדיר אור לחלל הבטן. דרך שלושה חתכים קטנים נוספים מוחדרים מכשירי הניתוח, והאדרנל מופרד מהרקמות סביבו, מכלי דם שונים, ואז מוצא דרך אחד הפתחים כשהוא נתון בשקית אטומה המוכנסת לבטן.
- באחוז קטן של המטופלים, הגישה הלפרוסקופיה אינה ישימה וזאת בשל: קושי בזיהוי מספק של האנטומיה, קושי בהפרדת האיבר או סיבוך תוך ניתוחי כמו דמם שלא ניתן לטיפול לפרוסקופית. כאשר המנתח מחליט כי לצורך שמירה על בטיחותו של החולה יש לעבור לניתוח "פתוח", זהו אינו סיבוך ניתוחי, אלא שיפוט רפואי נכון ושקול. מצבים כמו ניתוחי בטן עליונה קודמים, גידול גדול במיוחד או דמם עשויים להגדיל את הסיכוי לעבור לניתוח "פתוח". ההחלטה על ניתוח מסורתי, בין אם היא נעשית לפני הניתוח או במהלכו, היא החלטה של הצוות המטפל הנעשית אך ורק לשמירה על ביטחונו של המנותח.
- מרבית המנותחים יכולים לחזור לפעילות רגילה תוך שבוע מהניתוח, כמובן בהתחשב בעיסוקם. אין מגבלה על מאמץ גופני או הרמת משאות, ופרט לכאבים בתקופה הקצרה לאחר הניתוח, אין בדרך כלל בעיות. זאת, לעומת החלמה של כשישה שבועות לאחר ניתוח מסורתי. דיווחים בספרות הרפואית הראו כי לניתוח הלפרוסקופי שיעור נמוך משמעותית של סיבוכים מאשר לניתוח הפתוח, אם הוא מבוצע על-ידי צוות מיומן. סיבוכים של כריתת האדרנל הם נדירים, וביניהם: דמם, זיהום, דלקת ריאות, בעיות בלב, פגיעה באברי בטן שכנים כמו הכבד, הסרעפת, הכליה או התריסריון, ועשויים גם להצריך ניתוח או פעולה לתיקון המצב.
ראו גם
- לנושא הקודם: פעילות-יתר חדה של יותרת-התריס - Parathyroid crisis
- לנושא הבא: אי-ספיקה חריפה של יותרת-הכליה - Addisonian crisis
- לתוכן העניינים של הפרק
- לתוכן העניינים של הספר
- לפרק הקודם: בקעים
- לפרק הבא: כירורגיה של המערכת הוורידית
המידע שבדף זה נכתב על ידי ד"ר צבי קויפמן, מומחה בכירורגיה, מנהל היחידה לבריאות השד, מרכז רפואי מאיר, כפר סבא

כניסה
עקבו אחרינו בפייסבוק 