מחלת אלצהיימר - טיפול בגירוי מוח עמוק - Alzheimer's disease - treatment with deep brain stimulation
| מחלת אלצהיימר - טיפול בגירוי מוח עמוק | ||
|---|---|---|
| Alzheimer's disease - treatment with deep brain stimulation | ||
| 250px | ||
| יוצר הערך | ד"ר ציון זיבלי, ד"ר עומר זרחי, ד"ר שגיא הרנוף | |
לערכים נוספים הקשורים לנושא זה, ראו את דף הפירושים – שטיון
מחלת האלצהיימר (Alzheimer's disease) היא המחלה השכיחה ביותר מבין המחלות הגורמות ללקות קוגניטיבית (Cognitive) ושיטיון (Dementia). אמצעי הטיפול הקיימים, נכון לשנת 2013, הם תרופתיים, קוגניטיביים והתנהגותיים. עם זאת, אמצעים אלה טרם הדגימו שיפור קליני מספק. גירוי מוח עמוק (Deep brain stimulation) הוא טיפול התערבותי מבטיח הנמצא כעת בשלבי מחקר קליניים. באם תוכח יעילותו, הוא עשוי לשפר את איכות חיי החולים הלוקים במחלת האלצהיימר ושיטיון מתקדם.
שכיחותה של מחלת האלצהיימר באוכלוסייה הכללית של ארצות הברית מוערכת בכ-1.6 אחוזים ועולה עם הגיל לכ-2.3 אחוזים, 18.1 אחוזים ו-29.7 אחוזים בעשור השביעי, השמיני והתשיעי ומעלה, בהתאמה[1]. הארכת תוחלת החיים לצד התבגרות דור ה-“Baby boom”, גוזרות עליה ניכרת במספר החולים במחלת האלצהיימר. לפי הערכות, עד לשנת 2050, מעל ל-100 מיליון איש בעולם יאובחנו כלוקים במחלת האלצהיימר.
תהליכים פתולוגיים (Pathologic) שונים נקשרו למחלת האלצהיימר, ביניהם: הצטברות משקעי חלבון Amyloid beta (Aβ), ניוון עצבי, אבדן סינפסות (Synapses), הפרעה בתמסורת העצבית והפרעה בפעילות רשתות עצביות. מחקרים הדגימו כי מחלת האלצהיימר מאופיינת בפגיעה נרחבת באזורי המוח, ונוטה לערב רשתות עצביות הקשורות בתהליכי זיכרון. כך, פגיעה במורפולוגיה ובנפח של ה-Entorhinal cortex וה-Hippocampus מקדימה את הופעת התסמינים הקוגניטיביים ומתקדמת עם התפתחות המחלה. לצד הפגיעות המבניות, נרשמים שינויים בפעילות המוח ובפרט שינויים בצריכת ה-Glucose והחמצן באונה ה-Temporal וב-Cingulate.
הטיפול התרופתי הקיים נחלק לשני צירי התבטאות עיקריים של מחלת האלצהיימר: שינויים קוגניטיביים והפרעות התנהגות. תרופות המנסות להתמודד עם השינויים הקוגניטיביים כוללות מעכבי Cholinesterase enzyme במינונים גבוהים וחסמי NMDA (N-Methyl-D-Aspartate). נוגדי חמצון (Antioxidants) כמו Vitamin E, מצויים גם כן בשימוש. הטיפול בהפרעות ההתנהגות המלוות את חולי האלצהיימר הוא תסמיני, ונשען על נוגדי דיכאון (Antidepressants), תרופות אנטי-פסיכוטיות (Antipsychotics) ומייצבי מצב רוח (Mood stabilizers), בהתאם למצב המטופל. עם זאת, הטיפול הקיים במחלת האלצהיימר הוכיח יעילות מוגבלת עד שולית בכל הנוגע לשיפור קוגניטיבי והתנהגותי, לשיפור בזיכרון ולתפקוד היומיומי בקרב החולים. אף תרופות חדשות יותר, כגון קושרי חלבון Amyloid beta, טרם הדגימו תוצאות משביעות רצון.
כאמור, על פי הערכות, צפויה עליה בשיעור ההימצאות של מחלת האלצהיימר בעולם. התפתחות עתידית זו חשובה גם בהיבט הכלכלי. איגוד האלצהיימר האמריקני מעריך כי בארצות הברית עומדת ההוצאה הלאומית על כ-100 מיליארד דולר בשנה. שילוב זה גוזר צורך בטיפול חדש ויעיל, המסוגל הן לשנות את מהלך המחלה והן לצמצם את הנטל על מערכת הבריאות ומשפחות המטופלים.
גירוי מוח עמוק - Deep brain stimulation
בחינת הפתופיזיולוגיה של מחלת האלצהיימר מעלה כי לא מדובר במחלה ניוונית בלבד, אלא בהפרעה מערכתית. ניתן לראות פגיעה במסלולים המקשרים אזורים Cortical ו-Subcortical הפועלים בתיאום ומתווכים תפקודים קוגניטיביים ותפקודי זיכרון. לכן, קיים עניין רב בניסיון לאפנן (Modulate) את הפעילות הלקויה של אותן רשתות עצביות, במטרה להשיבן לתפקוד תקין. התפתחות שיטות נוירוכירורגיות (Neurosurgical) חדישות לצד חדירת גרייה מוחית עמוקה, מאפשרות לבחון בפועל את הפוטנציאל הטיפולי של Neuromodulation במחלת האלצהיימר.
השיטה הטיפולית של גירוי מוח עמוק התפתחה ב-25 השנים האחרונות, עם למעלה מ-100,000 שתלים ברחבי העולם. הליך השתלת אלקטרודות (Electrodes) גירוי מוח עמוק מאושר על ידי ה-FDA (Food and Drug Administration) לטיפול במחלת פרקינסון (Parkinson's disease), רעד, Dystonia, והפרעה טורדנית כפייתית (Obsessive compulsive disorder). במטופלים שנותחו בהתוויות אלו נרשם שיפור משמעותי הן בתפקוד הכללי, עצמאות, איכות חיים, חזרה לעבודה, יכולת לבצע פעולות יומיומיות והן בתסמיני מחלתם הבסיסית כמו רעד, טונוס (Muscle tone) מוגבר, נוקשות ואיטיות תנועה[2]. מחקרים קליניים בשלבים שונים בוחנים את התועלת של גירוי מוח עמוק לטיפול במצבים כמו אפילפסיה (Epilepsy), דיכאון, הפרעת אכילה, כאב ראש וחבלות ראש קשות[3] [4], [5],
מספר מחקרים הדגימו כי בקרב אוכלוסייה מבוגרת ובקרב חולי אלצהיימר קיימים חסרים בסיבי התקשורת בקליפת המוח (Cortex). בנבדקים בריאים קיימת פעילות ותקשורת מתואמת במצב ערנות, בעוד שבעת ביצוע מטלות קוגניטיביות מורכבות מנוטרלת הפעילות. בניגוד לכך, בחולי אלצהיימר ובאוכלוסייה המבוגרת, אשר אצלם נמצאה הצטברות משקעי Amyloid beta במוח, יש ליקוי בנטרול פעילות זו בקליפת המוח. שינויים אלה עשויים להסביר את הליקויים הקוגניטיביים וההתנהגותיים במחלת האלצהיימר. מכאן התהוותה התיאוריה לפיה ויסות ושינוי בפעילות רשתות תקשורת אלו בקליפת המוח, אל קליפת המוח וממנה לאזורים אחרים במוח, עשויים לשפר את הזיכרון והתפקוד הקוגניטיבי של חולי האלצהיימר.
יתרונות הטיפול הן רמת הבטיחות הגבוהה וסיבוכי ניתוח נמוכים, כאשר הוא מבוצע על ידי מנתח מומחה בנוירוכירורגיה תפקודית (Functional neurosurgery). כמו כן, גירוי מוח עמוק מאפשר לווסת מעגלים שונים במוח באופן הפיך, כך שהפסקת הגירוי מביאה למעשה להפסקת ההשפעה. לאחר הוכחת יעילות מחקרית, תבחר מטרה לגירוי מוח עמוק שתותאם לכל חולה על פי תסמיני מחלתו.
שתי גישות עיקריות בדבר מיקום האלקטרודות של גירוי מוח עמוק נחקרות בהקשר של מחלת האלצהיימר, מתוך ההבנה כי מיקום האלקטרודה בעומק המוח משנה את התגובה לגירוי:
- בשנת 2008 דיווח Hammid על הופעת זיכרון אוטוביוגרפי (Autobiographical memory) במהלך ניתוח בו בוצע גירוי של ה-Hypothalamus. בבדיקות הדמיה שבוצעו לאחר הניתוח התברר כי הגירוי היה באזור ה-Fornix. ממצאים אלה הביאו להתחלת מחקר קליני 1 Phase בחולים הלוקים באלצהיימר. כך, בשנת 2010 פורסמו תוצאות מחקר גירוי מוח עמוק בקבוצה של שישה חולי אלצהיימר[6]. כל ששת החולים עברו השתלה דו-צדדית של אלקטרודות לגירוי מוח עמוק ב-Fornix. הגירוי ניתן בתדירות קבועה של 130 Hz (Hertz), ברוחב פעימה של 90 אלפיות השנייה ובמתח של עד 10 V (Volt). קבוצת החוקרים דיווחה כי לאחר מעקב של 12 חודשים, שניים מששת החולים הדגימו הרעה מתונה מהצפוי במדד ה-ADAS (Alzheimer's Disease Assessment Scale) וחולה אחד מהקבוצה אף הראה שיפור במדד זה, קרי עיכוב בהידרדרות ואף שיפור בתפקוד הקוגניטיבי. בתום השנה, בדקו גם החוקרים את דפוס חילוף החומרים (Metabolism) של סוכר באמצעות PET-CT (Positron Emission Tomography-Computed Tomography) והראו כי קיימת עלייה בדפוס זה, ממצא המדגים עלייה בפעילות העצבית באזורים שונים בקליפת המוח באונה הרקתית (Temporal lobe) ובאונה המצחית (Frontal lobe). בהקשר זה ראוי לבחון ממצא חשוב אחר, מעולם האפילפסיה. מחקר שפורסם בשנת 2012 העלה ממצאים התומכים ביעילות ה-Neuromodulation של רשת זו. במסגרת המחקר הושתלו אלקטרודות עומק לזיהוי פעילות Epileptogenic. החוקרים ניצלו את מערך האלקטרודות המושתלות בכדי לבחון את השפעתה של גרייה מוחית חשמלית על תהליכי למידה וזיכרון חזותיים-מרחביים (Visuospatial). ממצאי המחקר הדגימו כי גירוי בררני (Selective) של אונת הריח (Entorhinal cortex) בזמן למידה של נקודות ציון מרחביות, מאפשר לנבדקים לחזור אל נקודות אלו ביעילות ובזריזות גבוהות יותר בהשוואה לנקודות ציון שבעת למידתן לא בוצעה גרייה מוחית. כמו כן, גריית אונת הריח הדגימה שינויים בפעילות של מקצב Theta (θ) (Theta rhythm) שנרשם ב-Hippocampus. ממצא זה בחולים ללא הפרעות זיכרון, מדגיש את יעילות הגירוי של אזורים באונת הריח לאפנון פעילות הרשת Entorhinal-hippocampus ולשיפור תהליכי למידה וזיכרון מרחביים[7]
- גישה ניתוחית שנייה, שנמצאת בשלבי מחקר קליני מתקדם, תומכת בגירוי ה-Ventral striatum, ה-Nucleus accumbens וה-Anterior limb of internal capsule. לאזורים אלה השפעה על רשתות התקשורת של האונה המצחית (Frontal Lobe) בשל התכנסות משמעותית של סיבי חומר לבן מקליפת המוח המצחית והמדיאלית (Medial temporal lobe), מגרעיני הבסיס (Basal ganglia), מגזע המוח (Brainstem) וה-Hippocampus. בנוסף, ל-Ventral striatum יש השפעה מכרעת על מעגלי הנעה (Motivation) ותגמול. לכן, גירוי עמוק של אזורים אלה יכול להביא לשינוי (Modulation) של תפקודים קוגניטיביים והתנהגותיים בחולי אלצהיימר. גירוי מוח עמוק של ה-Nucleus accumbens בוצע בלמעלה מ-100 חולים לטיפול בהפרעות התנהגות שונות כגון דיכאון, הפרעה טורדנית כפייתית, חרדה והתמכרות[8]. תוצאות מחקר זה טרם פורסמו, אך תוצאות ראשוניות מראות שיפור ניכר ביכולת עיבוד הנתונים, זיכרון והתנהגות
תהליך השתלת הקוצב
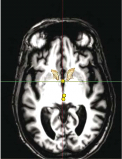
ההליך הניתוחי להשתלת קוצב לגירוי מוח עמוק בחולי אלצהיימר, דומה לזה המבוצע ביתר ההתוויות, כגון הפרעות תנועה, כאב כרוני והפרעות נפשיות, ומבוצע בשני שלבים: בשלב הראשון מושתלים הקוצבים המוחיים. ראשית, עוברים החולים הדמיה מוחית בתהודה מגנטית (Magnetic Resonance Imaging, MRI) (ראו איור 1) על מנת לשלול פתולוגיה העלולה לסכן את החולה במהלך הניתוח, כמו מפרצת (Aneurysm) מוחית, עיוות (Malformation) בכלי הדם או גידול. ביום הניתוח מונחת על ראש החולה מסגרת Stereotactic ובהמשך מבוצעת טומוגרפיה ממוחשבת (CT ,Computer Tomography) של המוח עם המסגרת (ראו איור 2). בגוף המסגרת ה-Stereotactic קיימים סמנים קבועים המהווים נקודות יחוס ומאפשרים למעשה להלביש את תמונת ה-MRI על גבי תמונת ה-CT. מהלך הניתוח מבוצע בערות מלאה של המטופל, ומתחיל בקידוח חור קטן בגולגולת דרכו תוחדרנה האלקטרודות למוח. השתל יוחדר תמיד קדמית לקליפת המוח האחראית על תנועה (Motor cortex). לאחר קדיחת החור, מוחדרות אלקטרודות למוח שתפקידן לבצע רישום מוחי אלקטרופיזיולוגי. רישום זה נותן לצוות המנתח התוויה בנוגע למיקום האלקטרודה, בעזרת זיהוי דפוסי הפעילות המאפיינים את אתרי המוח השונים ומהווים מעין חותמת שלהם. לאחר מיקום האלקטרודה בגרעין העמוק, מבוצע גירוי-מבחן במסגרתו מתבקש המטופל לבצע מטלות התנהגותיות המאתגרות את התפקוד הפגוע, כמו זיכרון בחולי אלצהיימר או רעד בלוקים בהפרעות תנועה. מטרת הבדיקה ההתנהגותית היא לוודא את מיקומה של האלקטרודה ולשלול תופעות לוואי מהגירוי, שיחייבו מיקום מחדש של האלקטרודה. הליך זה מבוצע בשני צדי המוח.
השלב השני של הניתוח מבוצע כשהחולה מורדם. בשלב זה מייצר האותות (Pulse generator) מושתל בקדמת בית החזה ומחובר לאלקטרודות המוחיות (ראו איור 3). המערכת מופעלת כ-5 שבועות לאחר ההשתלה, במטרה להימנע מבצקת סביב האלקטרודה בשבועות הראשונים. תכנות הקיצוב מתבצע בשיתוף פעולה בין המנתח והנוירולוג (Neurologist) המתמחה בהפרעות תנועה.
סיכום
גירוי המוח העמוק נתפש כטיפול מבטיח בחולים עם מחלת אלצהיימר ושיטיון מתקדם. הטיפול אמור לגרום להאטת התקדמות המחלה, לשיפור תפקודי ולשיפור בזיכרון. יתרונותיו הם רמת הבטיחות הגבוהה וסיבוכי ניתוח נמוכים (כשמבוצע על ידי מנתח מומחה בנוירוכירורגיה תפקודית). כמו כן גירוי מוח עמוק מציג אפשרות לוויסות מעגלים שונים במוח באופן הפיך (הפסקת הגירוי מביאה להפסקת ההשפעה). כל אלה יכולים להביא לשיפור ניכר באיכות חיי החולה ולהורדת הנטל ממשפחות החולים וממערכת הבריאות. בשנים הקרובות יתפרסמו תוצאותיהם של מספר מחקרים קליניים ולאחריהם, תבחר מטרה לגירוי מוח עמוק שתותאם לכל חולה על פי תסמיני מחלתו.
ביבליוגרפיה
- ↑ Plassman BL, Langa KM, Fisher GG et al., Neuroepidemiology 2007: 29,125
- ↑ Rezai AR, Machado AG, Deogaonkar M et al., Neurosurgery, 2008: 62:SHC-809- SHC-839
- ↑ Hamani C, Andrade D, Hodaie M et al., J Neural Syst, 2009: 19,213
- ↑ Hamani C, Mayberg H, Snyder B et al., J Neurosurge, 2009: 111,1209
- ↑ Langevin JP, De Salles AAF, Kosoyan HP et al., J Psychiat Res, 2010: 44,1241
- ↑ Laxton AW, Tang Wai DF, McAndrews MP et al., Ann Neurol, 2010: 68,521
- ↑ Suthana N, Haneef Z , Stern J et al.,N Engl J Med, 2012: 366,1945
- ↑ Nuttin B, Cosyns P, Demeulemeester H et al., Lancet, 1999: 354,1526
קישורים חיצוניים
המידע שבדף זה נכתב על ידי ד"ר ציון זיבלי, המחלקה לנוירוכירורגיה, ביה"ח האוניברסיטאי Ohio State University, ארה"ב
ד"ר עומר זרחי, התוכנית הבין תחומית לחקר המוח, אוניברסיטת ת"א
ד"ר שגיא הרנוף, המחלקה לנוירוכירורגיה, המרכז הרפואי ע"ש שיבא, תל השומר

כניסה
עקבו אחרינו בפייסבוק