שן אנקילוטית - טיפול ב-Treatment of ankylosed teeth by distraction osteogenesis - Distraction osteogenesis
| שן אנקילוטית - טיפול ב-Distraction osteogenesis | ||
|---|---|---|
| Treatment of ankylosed teeth by distraction osteogenesis | ||
| 250px | ||
| שמות נוספים | שן אנקילוטית -שיטת טיפול חדשה | |
| יוצר הערך | ד"ר שריף עראידי, ד"ר צבי לסטר, ד"ר ליאון ארדקיאן |
|
לערכים נוספים הקשורים לנושא זה, ראו את דף הפירושים – בריאות השן וחלל הפה
השימוש בשיטת Distraction Osteogenesis לעקירת שן אנקילוטית מניב תוצאות יציבות וארוכות טווח
שן אנקילוטית (Tooth ankylosis) מהווה מצב רציני הדורש התייחסות מיוחדת, במיוחד בשיניים הקדמיות.
הסיבה ל-Ankylosis של השן עדיין אינה ידועה. מחקרים רבים ניסו ללמוד מהי, אך עד היום אין תשובה ברורה וחד משמעית. בין הגורמים ניתן למנות שינויים מטבוליים מקומיים בעצמות הלסת, כשל מקומי בבניית עצם, חבלה דנטאלית, גירוי כימי או תרמי ויתר לחץ שנגרם על ידי הלשון.
ברוב המקרים אין אפשרות למשיכה אורתודונטית של השן. קיימות מספר דרכים טיפוליות, החל מעקירה ושמירת המרווח, שיקום המשנן תוך השארת השן האנקילוטית וכלה בעקירת השן והשתלה מיידית[1].
Distraction Osteogenesis
Distraction Osteogenesis (DO) הנקראת גם Callus distraction, היא טכניקה לשיקום פגמים או חסרים גרמיים שהותאמה לאתרים רבים בשלד. השיטה תוארה לראשונה על ידי Ilizarov[2]. התהליך כולל העתקה הדרגתית ומבוקרת של מקטעי עצם שהופרדו על ידי חיתוך העצם (Osteotomy) או יצירת שבר כירורגי מבוקר. הפער הנוצר עקב העתקת החלקים הגרמיים מתרפא על ידי מילוי בעצם חדשה.
סקירה היסטורית
הראשון שתיאר את שיטת ה-Distraction Osteogenesis היה Codvilla בשנת 1905[3] אך בשנת 1940 היה זה Llizamv שיישם את עיקרון ה-DO להארכת עצמות ארוכות בשלד, והצליח להאריכן ללא צורך בשתלי עצם[2][4][5],,
ב-1973 נעשה בפעם הראשונה שימוש בעיקרון של Ilizarov להארכת הלסת התחתונה של כלבים[6].
בשנות ה-90 של המאה ה-20 פורסמו מחקרים רבים אודות השימוש ב-Distraction Osteogenesis באזור הפנים והלסתות. המובילים בתחום נחשבו Friedman ו-Constantino, אשר בעבודתם על כלבים הדגימו סגירת פגמים גרמיים בלסת התחתונה[7].
ב-1992 היה McCarthy הראשון שהצליח להאריך מנדיבולה היפופלסטית (Mandibular hypoplasia) בבני אדם, פרסום אשר היווה פריצת דרך בתחום.
בשנות ה־90 פורסמו גם עבודות בישראל, החשובה שבהן היא עבודתו של פרופ' רחמיאלי, שהצליח לעשות דיסטרקציה (Distraction osteogenesis) בעצם ה-Maxilla ובמרכז הפנים.
התהליך הטיפולי
שבר כירורגי מבוצע באופן מכוון באזור בו השן האנקילוטית נמצאת. אופן ביצוע חתכי העצם הוא כזה אשר מכיל את מכלול האזור שחפצים בשינועו. בהמשך, מתקינים את התקן ה-Distraction Osteogenesis המתאים. זמן ההמתנה הבתר ניתוחי הוא 5–7 ימים (נקרא "תקופת ההמתנה - Latency Phase"). לאחר המתנה ראשונית זו מתחילה "תקופת המשיכה" ("Distraction Phase"). בתקופה זו התקן ה-Distraction Osteogenesis מופעל על ידי המטופל באופן עצמאי באמצעות סיבוב בורג פשוט. באופן זה, קצוות השבר הכירורגי מורחקים זה מזה באופן איטי והדרגתי.
בתקופה זו ניתן למצוא, ברמה המיקרוסקופית, התארגנות של הרקמה באזור הפער שבין קצוות העצם. נצפה לאזור פיברוטי מרכזי (Fibrous central zone) שמשני עבריו ניתן למצוא Mineralization zone. סיבים זעירים של קולגן מתארגנים במקביל לכיוון ה-Distraction Osteogenesis ומהווים שלד/פיגום לבניית עצם (איור 1).
תהליך ההפעלה נמשך כשבוע ולאחריו יש תקופת המתנה נוספת - "Consolidation phase". בתקופה זו העצם הראשונית שנוצרה משוחלפת לעצם בוגרת ותוך כשנה עד שנתיים היא תבשיל ותשווה באיכותה לעצם הסובבת אותה.
היתרון הברור בשיטה המערבת את עיקרון ה-Distraction Osteogenesis הוא בניית העצם תוך כדי תנועת האזור הנבחר ויציבותה של התוצאה הסופית.
תיאור מקרה
ילד בן 12, לאחר טיפול אורתודנטי ממושך. במהלך תאונת דרכים בה היה מעורב נפגע בפניו ושן מרכזית עליונה (שן מספר 11) עברה חדירה (אינטרוזיה, Intrusion). הילד הופנה לאורתודנט רק בחלוף ארבעה שבועות, לצורך משיכת השן. בבדיקת האורתודונט המטפל נמצא כי שן 11 עברה Ankylosis. ניסיונות ביצוע משיכה אורתודונטית כמקובל נכשלו. אי לכך, הופנה לייעוץ וטיפול במחלקה לכירורגיית פה ולסת. בבדיקה נמצא כי שן 11 באנטרוזיה מלאה, עם עדות לסגר קדמי פתוח עקב ניסיונות האורתודונט למשיכת השן. צילום פנורמי הדגים את הסגר הקדמי הפתוח וגם את השן האנקילוטית עם הסמכים האורתודונטים (תמונה 1).
נקבעה תוכנית טיפול שכללה שלב כירורגי ושלב אורתודונטי: שימוש בעיקרון DO ומשיכה אורתודונטית.
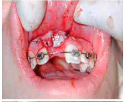
קורטיקוטומיה (Corticotomy): בהרדמה כללית בוצעה חשיפה של השן האנקילוטית באופן כירורגי, וכן יצירת חלון גרמי (כאשר בהיקף הושארו 2–3 מילימטרים של עצם ובחוד השן הושארו 5 מילימטרים), על מנת לשמור על חיוניות כמתואר כצילום[2] - כך שהתקבלה קובייה/En-block המכילה את השן והעצם (איור 2 ותמונות 5-2).
הקוביה לא הופרדה ובוצעה רק קורטיקוטומיה. לאחר החשיפה והקורטיקוטומיה הודבק סמך על השן האנקילוטית.
לאחר תקופת המתנה של 5 ימים - הוחל שלב הדיסטרקציה (Distraction) שבוצע על ידי גומיות אלסטיות שמשכו את השן בכיוון קו הסגר, Wire (תמונות 7,6).
הגומיות הוחלפו באופן יומיומי ולאחר ארבעה שבועות השן הועתקה למקומה המקורי (תמונות 8–11).
לאחר תקופת המתנה של חודשיים בוצע תיקון הסגר הקדמי הפתוח.
דיון
Distraction Osteogenesis בהגדרתו הוא תהליך העתקת עצמות על ידי מכשור מוקטן המסוגל להזיז אותן. במקרה זה, עצם אלביאולרית (Alveolar bone) ושן בתוכה. המכשור מורכב מבורג הפעלה ופלטות עיגון המקובעות לשני צידי השבר הכירורגי ומופעלות בקצב של 0.8-0.4 מילימטרים ליום.
שימוש בדיסטרקציה מהווה יתרון עקב בניה הדרגתית של העצם והתאמה בו-זמנית (Simultaneous) של הרקמות הסובבות ללא צורך בשתל עצם. החסרונות בשיטה זו הם אורך התהליך, היכול להימשך 3–4 חודשים, והתוצאה שאיננה מיידית. בנוסף לכך יש צורך בהוצאת פלטות העיגון בשלב מאוחר יותר .
במקרה שלפנינו בוצעה התאמה (Modification) של שיטת Distraction Osteogenesis. נעשה שימוש בפוטנציאל הדיסטרקציה ללא שימוש במכשור מיוחד. "מכשיר הדיסטרקציה" בו השתמשו היה גומיות אלסטיות, שבעזרתן משכו את השן למקומה. אף על פי שלא מדובר בדיסטרקציה רגילה, שיטה זו מהווה פתרון מצוין לטיפול בשן אנקילוטית אשר אינו מצריך שלב ניתוחי נוסף להוצאת המכשור ומספק תוצאה מוצלחת ויציבה.
לסיכום, השימוש במשיכה אלסטית המבוססת על עקרונות המתיחה הגרמית של Ilizarov, יכולה להניב תוצאות יציבות וארוכות טווח.
ביבליוגרפיה
- ↑ Neville, Brad W.Oral and Maxillofacial Pathology .W.B Saunders Company 1995.
- ↑ 2.0 2.1 2.2 IlizarovGA, Deviatov A A: Surgical lengthening of the shin with simultaneous cor¬rection of deformities. Ortop Travmatol Protez. 30(3):32-37,1969.
- ↑ Codvilla A: On the means of lengthening in the lower limbs, the muscles and tissues which are shortened through deformity. Am J Orthop Surg 2:353,1905.
- ↑ Ilizarov GA:The principles of the llizarov method. Bull Hosp Joint Dis Orthop Inst 48:1,1988.
- ↑ llizarov, G.A.., and Ledyaev, VI.: The replacement of long tubular bone defects by lengthening distraction of one of the fragments. Clin Orthop Rel Res 280:7-10,1992
- ↑ Snyder CC, Levine GA, Swanson HM, Browne EZ: Mandibular lengthening by gradual distraction: Preliminary report. Plast Reconstr Surg 5:506-508.1973
- ↑ CostantinoPD, Friedman CD, ShindoML, etal: Experimental mandibular regrowth by distraction osteogenesis. Long-term results. Arch Otolaryngol Head Neck Surg 1993 May; 119(5): 511-6
קישורים חיצוניים
המידע שבדף זה נכתב על ידי ד"ר שריף עראידי, רופא בכיר, המחלקה לכירורגית פה ולסתות, המרכז הרפואי ע"ש פדה, פוריה, טבריה
ד"ר צבי לסטר, מנהל המחלקה לכירורגית פה ולסתות, המרכז הרפואי ע"ש פדה, פוריה, טבריה.
ד"ר ליאון ארדקיאן, רופא בכיר, המחלקה לכירורגית פה ולסתות, מנהל השירות לכירורגיה אנדוסקופית וזעיר פולשנית, רמב"ם - הקריה הרפואית לבריאות האדם, חיפה

כניסה
עקבו אחרינו בפייסבוק 
