שאתות ממאירות לא פולשניות - (Non-invasive breast cancer - (LCIS ,DCIS
עקרונות בכירורגיה
מאת ד"ר צבי קויפמן
| עקרונות בכירורגיה | ||
|---|---|---|
| שם המחבר | ד"ר צבי קויפמן | |
| שם הפרק | כירורגיה של השד | |
לערכים נוספים הקשורים לנושא זה, ראו את דף הפירושים – סרטן שד לא פולשני
שאת ממארת לא פולשנית תוארה לראשונה על-ידי Broders ב-1932. השאת מאופיינת על-ידי ריבוי תאים ממאירים המוגבלים לצינורות החלב, ללא עדות מיקרוסקופית לפריצה מעבר לקרום הבסיס (Basement membrane) תוך שימור התאים המיואפיתליאלים סביב הצינורית (אלה נעלמים בשאת פולשנית). שכיחות השאתות הללו היא 5% באוכלוסייה הרגילה ו-20% באוכלוסייה שבה קיימת מדיניות סיקור לסרטן השד.
שאת לא פולשנית תוך-צינורית - (DCIS) Ductal carcinoma in situ
שיעורי האבחון של DCIS עלו משמעותית מאז נכנסה הממוגרפיה ככלי סיקור בהרבה ממדינות בעולם המערבי (גרף 11.12).
בארצות הברית מתוך 203,000 חולות מאובחנות חדשות עם סרטן שד ב- 53,000 האבחנה היתה של שאת לא פולשנית. מתוך 100 נתיחות מתים (Autopsy) שבוצעו מסיבות מוות שאינן קשורות במחלות השד נמצאו ב-20% מהנשים שאת לא פולשנית. שאת לא פולשנית אינה בהכרח הופכת לפולשנית. Page הראה שבמעקב של 15 שנה ב-32% מהחולות עם מחלה לא פולשנית שלא טופלה התפתחה מחלה פולשנית. יותר בחולות עם סוג של קומדו (Comedocarcinoma) ופחות בחולות עם סוג של קריבריפורם (Cribriform Carcinoma).
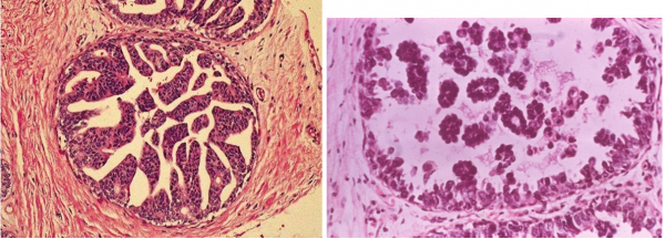
בהיסטולוגיה מבדילים בין 4 צורות שונות של שאת ממארת לא פולשנית דוקטלית (DCIS - Intraductal carcinoma in situ):
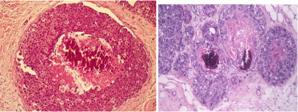
- ה- Comedo type, המתאפיינת ברקמה נמקית סמיכה במרכז הצינורית, לעתים עם הסתיידויות בתוכו (תמונה 55.12).
- ה- Papillary type, שבה השאת נראית כמו זרועות בתוך הצינורית (תמונה 56.12).
- ה- Solid type, שבה השאת נראית כגוש הממלא את הצינורית (תמונה 57.12).
- ה- Cribriform type, שבה השאת ממלאת את הצינורית בצורת מצבורי תאים וחללים ביניהם (תמונה 58.12).
ה-Comedo type, היא הצורה השכיחה ביותר והיא גם זו העשירה בהסתיידויות ולכן קיים מתאם טוב בין גודלה לפיזור ההסתיידויות בממוגרפיה; וזאת בניגוד לצורות האחרות, אשר גודלן גדול יותר ביחס לשטח הפיזור של ההסתיידויות בממוגרפיה. קיימים חילוקי דעות לגבי מידת הממאירות של ה-Comedo type carcinoma. מקובל לחשוב שהשאת היא ממארת יותר, ושיעור החזרות שלה גבוה יותר לאחר כריתה.
יש לציין שה-DCIS נוטות להיות רב מוקדיות. לפי מספר עבודות, ב-60% מהשאתות הללו נמצא יותר ממוקד אחד, ב-6% נמצא מוקד נוסף ברביע אחר של השד. יש המדווחים על Occult invasion או Micro-invasion ב-21% מהחולות שאובחנו כבעלות DCIS, כאשר ממצא זה שכיח יותר בשאתות נמושות מאשר בשאתות שנתגלו בממוגרפיה. Alpers, ב-1985 , מדווח שמצא ב-48% מהחולות בעלות DCIS ממצא דומה בשד השני, אבל רק 12.5% מהן פיתחו שאת פולשנית בשד השני. בדרך כלל השאתות הבלתי פולשניות נוטות לתפוס שטח ניכר בשד. ב-50% מהחולות נמצאו מוקדים במרחק של כ-5 ס"מ מהמוקד הראשוני.
Page פיתח את התיאוריה התלת-ממדית ביחס להתפשטות השאת התוך דוקטלית (DCIS). לטענתו הרב-מוקדיות היא בעצם ביטוי להתפשטות של השאת בתוך צינוריות האונה ולכן כאשר חותכים את האונה לרוחב ניתן לראות מספר רב של מוקדים ללא קשר ביניהם; אבל זו טעות אופטית, מכיוון שאם היו חותכים את האונה לאורך הצינוריות ניתן היה לראות שהשאת היא המשכית, ולכן מדובר באונה חולה, ולפי דעתו יש לכורתה בשלמותה.
הדרך היחידה ללמוד על המהלך הטבעי של המחלה היא לעקוב אחר חולים שעברו ביופסיה של הנגע בלבד. העבודות בנושא זה הן מועטות ומספר החולים בהן קטן. בעבודות הללו מדווחים Page וחבריו על חזרה של המחלה ב-28% מהחולות שהיו במעקב במשך 15 שנה. רוזן וחבריו מדווחים על הישנות המחלה באזור הביופסיה ב-27% מהחולות לאחר 10 שנות מעקב. הקושי בהערכה של העבודות הללו נובע מחוסר קריטריונים לקביעת האבחנה של שאת בלתי פולשנית, ולכן ייתכן שלחלק מהחולות היתה שאת פולשנית בזמן האבחנה.
אבחנה
בממוגרפיה ניתן לראות הסתיידויות זעירות במרבית החולות, כאשר המאפיין את השאתות הללו הן הסתיידויות קוויות (ליניאריות), או קבוצות גדולות של 20 הסתיידויות ויותר בקבוצה. ההסתיידויות הן בגדלים שונים ובסמיכות שונה (תצלום 35.12). לעתים ניתן לראות סמיכות רקמתית או גוש זעיר. רק בחלק קטן מהחולות ניתן למשש גוש בשד בנוסף לממצא הממוגרפי.
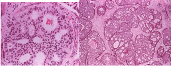
באבחנה המבדלת של שאת לא פולשנית יש לחשוב על Benign highly atypical hyperplasia (ADH) ו-Small foci of stromal invasion (תמונה 59.12).
שתי האבחנות הללו הן חשובות מכיוון שהראשונה היא מחלה שפירה המחייבת מעקב ואילו השנייה היא מחלה ממארת פולשנית המחייבת טיפול מתאים.
טיפול
מכיוון שמדובר בשאת מקומית בעלת פוטנציאל ממאירות נמוך, נשאלת השאלה האם יש להתייחס אליה כאל שאת ממארת פולשנית או לא?
בדיון על הטיפול יש להתייחס לטיפול בשד, לטיפול בבלוטות הלימפה ולטיפול המשלים (Adjuvant). קיימות 3 גישות לטיפול כירורגי בשד בחולות בעלות DCIS:
- כריתת שד שלמה (Simple mastectomy)
- המצדדים בגישה זו טוענים שמכיוון שהשאת היא רב-מוקדית (מולטיצנטרית, מולטי-פוקלית) באחוז גבוה של החולות מחד גיסא, והיא בעלת פוטנציאל ממאירות נמוך מאידך גיסא, הרי שהסיכוי הטוב ביותר להחלים מהמחלה הוא על-ידי כריתת שד שלמה. בעבודות שבדקו את שיעור החזרות המקומיות בחולות שעברו כריתת שד שלמה מדווח על 2%-0% הישנות מקומית. בתמורה לשד הכרות ניתן להציע לחולות אלה החלמה מהמחלה. את הפגם האסתטי ניתן לתקן על-ידי שחזור שד מידי של השד (ראה פרק שחזור השד).
- חולות עם DCIS, שבהן נעדיף כריתת שד מלאה, הן חולות עם: מרחב גדול של DCIS בשד שאינו ניתן לכריתה שמרנית ללא עיוות השד, מספר מוקדים בשד ברביעים שונים, אי-כשירות לקבלת טיפול קרינתי, חולות הבוחרות לעבור כריתת שד.
- כריתה מקומית נרחבת
- המצדדים בגישה זו טוענים שמכיוון שממליצים כיום במקרה של שאת ממארת פולשנית בשד על כריתה משמרת של השד, הרי אין היגיון להמליץ על כריתה שלמה של השד במחלה שהיא פחות ממארת, בשל הנזק הגופני והנפשי הכרוך בכך. מכיוון ששיעור ההישנות ל-15 שנים הוא כ-30%, יכרתו ל-70% מהנשים בעלות DCIS את שדיהן, ללא סיבה מספקת. והשאלה המוסרית היא האם יש מקום לכריתה זו בטענה כי על-ידי כריתת שד ב-100% מהחולות בעלות DCIS ניתן יהיה למנוע הישנות המחלה ב-30% מהן לאחר 15 שנה, או לבצע מעקב מדוקדק אחר כולן ולבצע כריתת שד רק לאלה שיגלו בהן שאת ממארת נוספת באותו השד? על שאלה זו אין כיום תשובה מדעית, אולם היא נבדקת במספר מקומות בעולם במסגרת של עבודות מחקר פרוספקטיביות אקראיות. בעבודות שבדקו את שיעורי ההישנות המקומית לאחר כריתה רחבה מדווחים המחברים על 15%-10% לאחר 10-5 שנים. פישר טוען שמתן קרינה מקטין את השיעורים הללו ל-6% במעקב של 10 שנים. Logios טוען שלחולות בעלות DCIS הגדולה מ-2.5 ס"מ שיעור ההישנות המקומית עולה. הוא מציע לכל החולות שלהן שאת הגדולה מ-2.5 ס"מ, שד נודולרי המקשה על המעקב הקליני, סיפור משפחתי של סרטן השד והסתיידויות מרובות בשד, לעבור כריתת שד שלמה. אם הקריטריונים הללו לא קיימים אפשר להסתפק בכריתה משמרת שד (Lumpectomy). בספרות קיים דיון נוקב על רוחב השולים הרצוי בכריתה משמרת שד בחולות DCIS.
- קיימת הסכמה גורפת ששוליים מעורבים אין להשאיר ויש לבצע כריתה משמרת שד חוזרת. את הכריתה החוזרת רצוי לא לבצע מיד לאחר הניתוח הראשון, אלא לאחר טווח זמן של 6-4 שבועות. בזמן הזה, החלל הניתוחי בשד מתכווץ ולכן אפשר יהיה להוציא קטע שד נוסף עם נזק קוסמטי מיקטי (מינימלי). לגבי השוליים הרצויים, קיימות מספר גישות: הגישה של ה-NSABP המגדירה שוליים חופשים כשוליים ללא תאי שאת בקו החתך, קבוצה אחרת המסתפקת בלפחות מילימטר אחד סביב הנגע ואילו הקיצוניים דורשים 1 ס"מ לפחות סביב השאת. אין שום הוכחה בספרות להעדפה של אחת הגישות, מלבד העובדה ששיעור החזרות המקומיות בחולות עם שולים של 1 ס"מ ללא קרינה דומה לאלה של פחות מ-1 ס"מ עם קרינה.
- ביופסיה של הנגע בלבד עם או ללא הקרנות
- טיפול זה אינו מקובל כיום אלא במסגרת מחקרית בלבד.
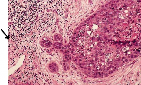
EIC (Extensive intraductal component) - כאשר מוצאים שאת ממארת פולשנית קטנה המוקפת ב-DCIS, כפי שתוארה לראשונה על-ידי קבוצת חוקרים מבוסטון, הרי ששיעור החזרות המקומיות עולה בצורה בולטת גם לאחר כריתה נרחבת והקרנות, ולכן במצב זה יש הממליצים לבצע כריתת שד שלמה ללא תלות בגודל השאת.
סילברשטיין פיתח שיטה לניקוד הממצאים על מנת לנבא את שיעור החזרות המקומיות לאחר כריתת ה-DCIS. המשתנים שנמצאו חשובים בעבודתו היו:
- מרחב השאת (מרחק מנגע קיצוני אחד למשנהו);
- נוכחות נמק מרכזי וכמותו (Comedo);
- דירוג לפי גרעין התא (Nuclear grade)- המתחלק לדרגה נמוכה (Low grade) כאשר בגרעין לא נראים גרעינונים והגרעין קטן, דרגה גבוהה (High grade) כאשר הגרעין גדול ויש הרבה גרעינונים בחלוקה, וביניהם דרגת הביניים (Intermediate);
- המרחק של השאת משולי הכריתה. הוא מצא שככל שהשאת רחוקה יותר כך שיעור החזרות קטן יותר.
הוא ניקד כל מצב והסכום המתקבל קובע את רמת הסיכון לחזרת השאת. נקודה אחת קיבלו שאתות שקוטרן פחות מ-15 מ"מ, כאשר הגבולות היו שווים ל-10 מ"מ ויותר והצורה הפתולוגית הייתה non high grade without necrosis, 2 נקודות קיבלו שאתות בקוטר של 40-16 מ"מ, או כאשר השוליים החופשיים היו 9-1 מ"מ והמראה הפתולוגי תאם non high grade with necrosis, 3 נקודות קיבלו שאתות שקוטרן 41 מ"מ ויותר, שוליים קטנים מ-1 מ"מ או שהן High grade.
שיעורי החזרות שהתקבלו היו כדלקמן:
- בשאתות שצברו עד 5 נקודות - קרוב ל-0%.
- בשאתות שצברו 7-5 נקודות - 20%.
- בשאתות שצברו 7 נקודות ויותר - 80% ללא קרינה ו-30% עם קרינה.
כאשר הניקוד היה עד 4 נקודות שיעור החזרה המקומית היה אפסי ולכן כריתה מקומית מהווה את טיפול הבחירה. לעומת זאת כאשר הניקוד היה גבוה מ-7 נקודות שיעור החזרות היה גבוה מאוד ולכן מומלץ על כריתה מלאה של השד. בדרגת הביניים אם אפשר להקטין את הניקוד על-ידי כריתת שוליים רחבים יותר בחולה עם Nuclear grade נמוך, יש לבצע כריתה מקומית; אולם אם אין זה אפשרי - יש לבצע כריתה שלמה.
כריתת בלוטות הלימפה
שיעור הבלוטות הנגועות בחולות בעלות DCIS הוא נמוך ונע בדיווחים השונים בין 0% ל-4%. בחולות שה-DCIS שלהן נמצאו במסגרת סיקור ממוגרפי ולא כגוש בשד, השיעור הוא פחות מ-1%, ולכן לא מומלץ לבצע כריתה של בלוטות הלימפה בבית השחי לשם הגדרת שלב המחלה.
בחולות שלהן מרחב של יותר מ-25 מ"מ של DCIS בשד או גוש שאובחן כ- DCIS בשד, הסיכוי למצוא Microinvasion סביב צינוריות החלב הנגועות עולה משמעותית. ממצא זה מעלה את שיעור החולות עם בלוטות חיוביות לכדי 10%, ולכן מומלץ במקרים אלה לבדוק את בלוטת הזקיף. בחולות DCIS שעברו כריתת בלוטת הזקיף, נמצא בעד 7% מהחולות מעורבות בלוטות, ברוב החולות נמצאו מיקרו-גרורות או תאים בודדים בבלוטה שהודגמו בצביעות מיוחדות של אימונו-היסטוכימיה (IHC). משמעות תאים בודדים אלה, הנמצאים לרוב בשולי הבלוטה, איננו ברור. תאים אלה יכולים להיות: גרורות, תאים מתים או תאים המהווים חלק מהבלוטה. ממצאים כאלה לרוב אינם בעלי משמעות מעשית בטיפול בשד.
טיפול קרינתי
ערך מורחב – טיפול קרינתי בסרטן השד - Radiation therapy for breast cancer
במסגרת הטיפול ב- DCIS נהוג ברוב היחידות האונקולוגיות לתת תוספת קרינה לשד וזאת על בסיס עבודתו של פישר ואחרים שהראו הפחתה בשיעור החזרות המקומיות לאחר מתן קרינה.
מתן תרופתי מונע - Chemoprevention
במונח זה אנו מתכוונים למתן טיפול תרופתי למניעת התפתחות של סרטן השד. בספרות מתוארים מספר חומרים כאלה: ה-Tamoxifen, הרטינואידים (Vitamin A), Vitamin E (Tocopherols) ואחרים. תרופות אלה נמצאות כרגע בשלב מחקרי ולכן השימוש בהן הוא במסגרת מחקר מבוקר בלבד. מעבודות ראשוניות בנושא נראות התרופות הללו מבטיחות. סיכום ניסוי העוסק במתן תרופתי מונע שנערך בארה"ב, נמצאה הפחתה משמעותית בשיעור סרטן השד בקבוצה שקיבלה Tamoxifen 20 מ"ג לעומת קבוצת הפלצבו.
שאת לא פולשנית לובולרית – (LCIS) Lobular carcinoma in situ
נגע זה מהווה כיום סימן להתפתחות עתידית של שאת ממארת בשד. הוא אינו נחשב כיום לכשעצמו לשאת ממארת. הסיכון לפתח שאת ממארת בחולות אלה גדול פי 12-9 מאשר באוכלוסייה הרגילה. השאת הממארת המופיעה מאוחר יותר בשד בנשים הללו, בדרך כלל אינה ממוקמת במקום שבו היה ה-LCIS אלא ברביע אחר של השד.
הנגע אינו מאופיין בסימנים קליניים וממוגרפיים כל שהם, ובדרך כלל הוא מתגלה באופן אקראי בזמן ביצוע ביופסיה בשד עקב נגע אחר. שאת זו נמצאת רק בנשים כאשר גיל האבחנה הממוצע הוא 44, הוא נמוך ב-10 שנים מהגיל שבו מוצאים שאתות פולשניות. השכיחות של הנגעים הללו בבדיקות השד לאחר כריתות שד היא 8%-0.8%, ובביופסיות 2.5%. סיפור משפחתי של שאת ממארת בשד ניתן למצוא בכ-20% מהנשים. הנגע נוטה להיות רב-מוקדי ב-75% מהנשים הנגועות כאשר רק ב-4% מהן ניתן למצוא אלמנט של פולשניות בשאת לאחר בדיקה מדוקדקת. ב-25% ועד 65% מהנשים הללו ניתן למצוא שאת דומה בשד השני, כאשר שאתות ממאירות ניתן למצוא ב-17%-10% מהנשים.
טיפול ב-LCIS
החלופות הטיפוליות הן:
- ביופסיה של הנגע בלבד. מכיוון שהנגע הוא סמן טרום-סרטני, יש להתייחס אליו בהתאם ולהסתפק בביופסיה ובמעקב קפדני.
- כריתה מקומית נרחבת. כריתה זו נעשית במטרה לסלק כמה שיותר מהשאת. יש לציין שמכיוון שהשאת יכולה להיות מפוזרת בכל הרבעים בשד אין הרבה היגיון בכריתה הנרחבת.
- כריתת שד שלמה. מכיוון שהשינויים הם מפושטים ממליצים חוקרים שונים על כריתת שד שלמה במטרה למנוע הופעת שאת ממארת בעתיד.
- כריתה דו-צדדית של השד. העיקרון המנחה בגישה זו הוא שהשאת היא רב מוקדית עם נגיעות של השד השני בחלק מהחולות. אם המטרה היא למנוע התפתחות שאת ממארת בשד יש לכרות את שני הצדדים. אלה הממליצים על כריתה דו-צדדית מציעים שחזור מיידי או ביצוע כריתת שד תת עורית ושחזור.
הגישה המקובלת כיום היא לכרות את הממצא עצמו ולעקוב אחר החולות הללו לעתים קרובות, על מנת לגלות את השאת הממארת לכשתופיע בשלבי התפתחותה המוקדמים.
חולות בעלות בלוטות נגועות וללא שאת בשד
בעיה טיפולית אחרת הן החולות עם T0, ללא שאת בשד, אולם בלוטות הלימפה שלהן נגועות בשאת אפיתליאלית. בעבודה המדווחת על 20 חולות בעלות שאת, שאובחנו עקב בלוטות לימפה נגועות בבית השחי מבלי שניתן לאתר את השאת הראשונית. 11 חולות עברו מסטקטומיה והשאר כריתת בלוטות בבית השחי. לא נמצא הבדל בהיוותרות בחיים בין שתי הקבוצות, ולכן המחברים אינם ממליצים על מסטקטומיה בחולות הללו.
ראו גם
- לנושא הקודם: כריתת בלוטות הלימפה בסרטן השד - Lymph node dissection in breast cancer
- לנושא הבא: טיפול קרינתי בסרטן השד - Radiation therapy for breast cancer
- לתוכן העניינים של הפרק
- לתוכן העניינים של הספר
- לפרק הקודם: כירורגיה של הטחול
- לפרק הבא: בקעים
המידע שבדף זה נכתב על ידי ד"ר צבי קויפמן, מומחה בכירורגיה, מנהל היחידה לבריאות השד, מרכז רפואי מאיר, כפר סבא

כניסה
עקבו אחרינו בפייסבוק