כלים לקביעת מין העובר בבדיקות על-קול במהלך ההיריון - Tools to determine the fetal sex on ultra sound tests during pregnancy
ערך זה נמצא בבדיקה ועריכה על ידי מערכת ויקירפואה, וייתכן כי הוא לא ערוך ומוגה.
| כלים לקביעת מין העובר בבדיקות על-קול במהלך ההיריון | ||
|---|---|---|
| Tools to determine the fetal sex on Ultra Sound tests during pregnancy | ||
| יוצר הערך | ד"ר עודה מרואן, פרופ' יעקב בורנשטיין | |
לערכים נוספים הקשורים לנושא זה, ראו את דף הפירושים – מעקב היריון ובדיקות סקר טרום היריון
קביעת מין העובר על ידי אולטרסאונד אפשרית ברוב ההריונות, אם כי בחלק מהמקרים ייתכנו קשיים בקביעת המין. אין לנסות לקבוע את המין לפני שבוע 12 מאחר שאחוז הטעויות אז גבוה מאוד. אחרי שבוע 13, קביעת מין העובר מדויקת ב-99 אחוז עד 100 אחוז מההריונות במידה שאין מומים של איברי המין החיצוניים.
אבחון מין העובר בטרימסטר השלישי ואמצע עד סוף טרימסטר שני מתבסס על הדגמה ישירה של איברי המין החיצוניים, הן זכריים והן נקביים, בעוד שבסוף הטרימסטר הראשון והטרימסטר השני המוקדם, אבחון מין העובר מבוסס על Sagittal sign שהוא כיוון ה-Genital Tubercle - כיוון כלפי מעלה מצביע על עובר ממין זכר וכיוון כלפי מטה מצביע על עובר ממין נקבה.
ממצאים סונוגרפיים אחרים יכולים לעזור בקביעת מין העובר, במיוחד במקרים שבהם מתעורר ספק או חשד לקיום מומים, כגון נוכחות שק האשכים, קו האמצע של איבר המין הזכרי, הקווים שמבטאים את השפתיים הנקביות, ירידת האשכים לתוך שק האשכים, הדגמת הרחם וכיוון ומקור זרם השתן. אולטרסאונד תלת ממדי יכול לעזור באבחנה ובהדגמת מומים באיברי המין החיצוניים אך כשלעצמו בעל ערך נמוך באבחון מין העובר.
לקביעת מין העובר חשיבות רבה, מעבר לסיפוק סקרנות ההורים, כגון במקרים של מחלות הקשורות לכרומוזומי המין, קביעת סוג התאומים (מונו או דיזוגיטיים) ואבחון טרום לידתי של Testicular feminzation syndrome[1], שלילת זיהום בתאים אימהיים בזמן ביצוע דיקור מי השפיר או דגימת סיסי שליה ובבירור Ambiguous genitalia[2].
ב-1977, stocker & Evens[3] היו הראשונים שדיווחו על אבחון מין העובר בשימוש באולטרסאונד. בדיווח זה, החל משבוע 30 להיריון, ניתן היה לאבחן מין העובר ב-124 מתוך 229 (54 אחוז) הריונות עובר יחיד, בדיוק של 95.2 אחוז (100 אחוז בזכרים ו-89.7 אחוז בנקבות). מין עובר זכר נקבע על סמך הדגמת שק האשכים ו/או איבר המין הזכרי, בעוד מין נקבה נקבע כאשר לא הודגמו איברי מין זכריים(!). קביעה מוצלחת של מין העובר היתה תלויה במנח, במצג, במצב ובכמות מי השפיר, כאשר התנאים הטובים ביותר לקביעת המין היו: מנח אורכי, מצג ראש, גב העובר מונח לטרלית עם פלקסיה של הירכיים וכמות מי שפיר תקינה. עם התקדמות טכנולוגיית האולטרסאונד ושיפור הרזולוציה, מין העובר ניתן לקביעה לעתים החל משבוע 11. בסקירה זו נדון בקביעת מין העובר על ידי אולטרסאונד בסוף הטרימסטר הראשון ובטרימסטר השני המוקדם והמאוחר, בגישה הנרתיקית או הבטנית. כמו כן נדון בממצאים סונוגרפיים אחרים שיכולים לעזור ולהעלות דיוק אבחון מין העובר. בכל המאמרים המצוטטים, מין העובר הסופי נקבע על ידי בדיקה אחרי לידה או קריוטיפ בזמן ההיריון ולכולם לא היו מומים באיברי המין החיצוניים אלא אם צוין אחרת.
קביעת מין העובר בסוף הטרימסטר הראשון ותחילת הטרימסטר השני
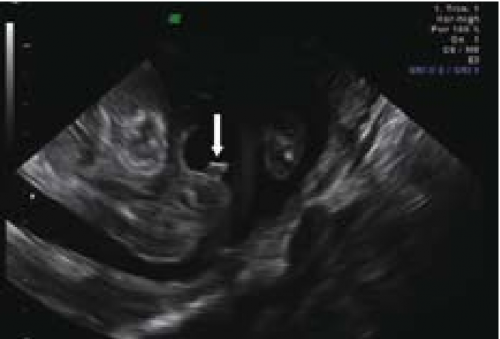
sagittal sign שתואר לראשונה על ידי Emerson וחב'[4] הוא הסמן הסונוגרפי המקובל ביותר לקביעת מין העובר בשלבי ההיריון המוקדמים. העובר נסרק בחתכים סגיטליים בקו האמצע. באזור העכוז הנסרק בחתך זה, ניתן לזהות בליטה שמייצגת את הדגדגן או את איבר המין הזכרי. כאשר כיוון הבליטה כלפי מעלה, מין העובר זכר (תמונה 1) וכיוון כלפי מטה מבטא מין נקבה (תמונה 2). שימוש בסמן סונוגרפי זה אפשר לזהות מין העובר ב-71 אחוז (5\7) מהעוברים בשבוע 10 עד 11.9, אך האבחנה היתה נכונה ב-60 אחוז (3\5) בלבד. דיוק האבחנה עלה עם התקדמות גיל ההיריון ל-75 אחוז, 100 אחוז, 98 אחוז ו-100 אחוז בשבועות 12-13.9, 14-15.9, 16-17.0 ו-18-20.4, בהתאמה[4]. דיווחים רבים אחרים דיווחו על אבחון מין העובר בסוף הטרימסטר הראשון ותחילת השני (14-4) (ראו טבלה 1).
Dunn & Cunat[5] לא הצליחו לאבחן מין העובר בהתבסס על הדמיה בחתכים אקסיאליים של הפרינאום בין השבועות 14-10, ב-16 מתוך 16 עוברים, בעוד Natsuyama[6]} דיווח על קביעת נכונה של מין העובר ב-85 אחוז (452\386) מהעוברים בשבועות 12 עד 14, בהתבסס על סמנים סונוגרפיים אחרים כגון המרחק anoperineogenital-m anogenitaW. בכל אופן, שיטת מדידה זו לא דווחה בעבודות אחרות.
ברונשטיין וחב׳[7] דיווחו שדיוק אבחון מין העובר על ידי אולטרסאונד נרתיקי עולה עם הניסיון, כך שבשנתיים הראשונות לשימוש באולטרסאונד נרתיקי, המין אובחן בדיוק של 76 אחוז ועלה ל-80 אחוז בשנתיים לאחר מכן בין השבועות 14-13 להיריון, ובשבוע 16-15 הדיוק עלה מ-88 אחוז בשנתיים הראשונות לנסיונם ל-96.7 אחוז בשנתיים לאחר מכן. בעבודה זו, מין זכר נקבע על סמך הדגמת מבנה דמוי כיפה (dome sign) המייצג שק אשכים (תמונה 3) בעוד מין נקבה נקבע על סמך הדגמת שניים או ארבעה קווים מקבילים (parallel lines) המייצגים את השפתיים הקטנות והגדולות (תמונה 4) . סימנים סונוגרפיים נוספים בעבודה זו[7] היו הדגמת קו אקוגיני הנמשך מבסיס ועד קצה איבר המין הזכרי ומייצג קו האמצע של הפניס (תמונה 5) וכיוון הפאלוס העוברי (כלפי מעלה מייצג זכר וכלפי מטה נקבה).
Mieike וחב׳[8] דיווחו על 100 אחוז דיוק באבחון המין העוברי בין השבועות 11 עד 16 על ידי אולטרסאונד בגישה הבטנית. Benoit's[9], בבדיקה רטרוספקטיבית של הנתונים שלו, דיווח שב-53.8 אחוז (210\390) מהעוברים בשבוע 12 ניתן להבחין באזור איברי המין החיצוניים וב-79.8 אחוז (150\188) מהעוברים בשבוע 13. הדיוק בקביעת המין היה 98.5 אחוז ו-100 אחוז בשבוע 12 ו-13, בהתאמה.
Whitlow וחב׳[10] השתמשו בגישה הבטנית לאבחון מין העובר בין השבוע 11 עד 14 אך ב-26 אחוז מהמקרים שבהם לא הצליחו לאבחן מין העובר, השתמשו בגישה הנרתיקית.
אפרת וחב׳[11], בשימוש בגישה הבטנית בלבד, הצליחו לקבוע מין העובר בדיוק של 70.3 אחוז מהמקרים בשבוע 11, שיעור זה עלה ל-98.7 אחוז ו-100 אחוז בשבועות 12 ו-13, בהתאמה. בעבודה זו[11], מין העובר נקבע בהסתמך על הזווית בין ה-genital tubercle ובין קו העובר בעור הלומבוסקרלי, כך שאם הזווית היתה מעל 30 מעלות, מין העובר נקבע כזכר ופחות מ-30 מעלות, המין נקבע כנקבה. יש לציין בעוברים ממין זכר הזווית עלתה עם התקדם גיל ההיריון[11]. תוצאות דומות דווחו על ידי אפרת וחב׳[12] לאחר שינוי קל בקריטריונים לקביעת המין, כך שכאשר הזווית היתה מעל ל-30, המין נקבע כזכר ובערך זווית פחות מ-10 מעלות, המין נקבע כנקבה, בעוד בערכים בין 10 ל-30 מעלות המין לא נקבע.
דיוק קביעת המין עלה עם העלייה בקוטר הדו קודקודי (BPD) והגיע ל-100 אחוז בקוטר מעל 23 מ״מ בעוברים ממין נקבה ול-22 מ״מ בעוברים ממין זכר13. בעבודה זו השתמשו באולטרסאונד בגישה הבטנית או הנרתיקית כדי להגיע לחתכים סגיטליים מתאימים .
בעבודה לאורך זמן בהריונות לאחר הפריית מבחנה, מין העובר נקבע בדיוק של 100 אחוז החל מיום 69 לאחר ההפריה שמתאים לשבוע 11 ושישה ימים, המתאים לתאריך מחזור אחרון14. מין העובר נקבע בהסתמך על ^sagittal sign על ידי אולטרסאונד בטני או נרתיקי. המין נקבע בדיוק של 100 אחוז בנקבות בגיל 65 עד 69 יום לאחר ההפריה ורק ב-46 אחוז בעוברים ממין זכר באותו גיל. עבודה זו כללה מספר נמוך יחסית של עוברים: 18 נקבות ו-14 זכרים.
קביעת מין העובר בטרימסטר השני בניגוד לקביעת המין בטרימסטר הראשון, קביעת המין בטרימסטר השני מבוססת על הדגמה ישירה של איברי המין: שק האשכים והפין אצל זכרים והשפתיים אצל נקבות. טבלה 2 מראה שהדיוק בקביעת מין העובר בטרימסטר השני נע בין 92 אחוז ל-100 אחוז23-15,5. בחלק מעבודות אלו, הדיוק בקביעת המין היה יותר גדול בנקבות23,20 ובחלקן בזכרים16,5. עבודתו של 6Natsuyama אינה מופיעה בטבלה 2 מאחר שהוא השתמש בקריטריונים אחרים לקביעת המין כגון מדידת המרחק anogenitaM והזווית ischiogenitaW והצליח לאבחן מין העובר ב-99.9 אחוז מהעוברים, אך מדדים אלה לא דווחו בעבודות אחרות. בנוסף להדגמה ישירה של איברי המין, ניתן להיעזר בממצאים סונוגרפיים אחרים במיוחד במקרים שבהם קיים ספק לגבי המין. ממצאים אלה כוללים ירידת האשכים לתוך שק האשכים, גודל שק האשכים ואיבר המין הזכרי, הדגמת מקור וכיוון זרם השתן בעיקר בזכרים והדגמת הרחם בנקבות. ירידת האשכים לשק האשכים - 71Brinholz דיווח שלפני שבוע 26 לא ניתן להדגים אשכים בתוך השק בעוד שאשכים הודגמו בשק ב-12.5 אחוז מהעוברים בשבועות 27.9-26 וב-60 אחוז בין השבועות 31.6-28 וב-85.7 אחוז בין השבועות 33.6-32 וב-94.7 אחוז לאחר מכן. אחירון וחב׳24 לא הצליחו להדגים
טבלה 2. קביעת מין העובר בטרימסטר שני
Study Year Gestational Age Sex Not Assigned Accuracy Male Female Total 5 1983 15-19 23/25 (92%) 3/3 (100%) 1/1 (100%) 4/4 (100%) 20-24 21/70 (30%) 25/25 (100%) 21/24 (87.5%) 46/49 (93.9%) 15 1980 25> 40/112(35.7%) 72/72 (100%) 16 1981 20> 17/393 (4.3%) 174/179 (97.2%) 197/197 (100%) 371/376 (98.7%) 17 1983 15> 258/855 (30%) NS NS (99%) 18 1983 16> 101/367(27%) NS (92%) NS( 93%) 248/266 (93.2%) 19 1983 16-18 0 NS NS 100/100 (100%) 20 1987 16-20 19/115 (16.5%) 63/70 (90%) 26/26 (100%) 89/96 (92.7%) 21 1996 20 50/472 (10.6%) NS NS 408/422 (96.7%) 22 1996 14-20 73/843 (8.7%) 354/357 (99.2%) 417/418(99.8%) 765/770 (99.3%) 23 1990 13-19 9/100(9%) 51/57(89.5%) 33/34(97.1%) 84/91 (92.3%)
אשכים בשק לפני שבוע 25. בשבוע 25 ל-30 אחוז מהעוברים היה לפחות אשך אחד בשק, בעשרה אחוזים שני האשכים היו בשק ובשבוע 26 ל-70 אחוז היה לפחות אשך אחד בשק ול-20 אחוז שני אשכים. החל משבוע 32 שני האשכים נראו בשק ב-97 אחוז מהעוברים.
גודל שק האשכים ואיבר המין הזכרי - אחירון וחב׳24 בנו עקומות נורמה לגודל שק האשכים והראו שהוא גדל עם גיל היריון. גם אורך איבר המין הזכרי גדל עם גיל ההיריון מ-6 מ״מ בשבוע 16 ועד 26.4 מ״מ בממוצע בשבוע 38 לפי עבודה אחת25 ומ-3.9 מ״מ בשבוע 14 עד 23.8 מ״מ בשבוע 38 לפי עבודה אחרת26. הרחם העוברי: סוריאנו וחב׳ (27) דיווחו את הערכים הנורמליים של הקוטר הרוחבי והיקף הרחם בין השבועות 38-19 ומצאו שהקוטר הרוחבי של הרחם גדל מ-6 מ״מ בשבוע 19 ל-20 מ״מ בשבוע 38 בעוד היקף הרחם גדל מ-20.5 מ״מ בשבוע 19 ל-58.2 מ״מ בשבוע 38. בעבודה זו ל-40 מתוך 180 עוברים ממין נקבה לא הצליחו למדוד את הרחם כלל. jounnic וחב׳28 הראו ששימוש בטכניקת volume contrast imaging) VCM) מעלה את היכולת להדגמת הרחם כך שבאולטרה סאונד רגיל 47-42 אחוז מהעוברים בשבוע 22-20 ניתן להדגים את הרחם ושיעור זה עלה ל-87-82 אחוז בשימוש בטכניקת VCM ובין השבועות 34-32 שיעור זה עלה מ-84-79 אחוז ל-100-95 אחוז בהתאמה. Glanc וחב׳29 דיווחו על איבחון מדויק של מין העובר ב-98.8 אחוז מהעוברים בין השבועות 40-14 על ידי מדידת המרחק בין הדופן האחורי לשלפוחית השתן והקיר הקדמי של הרקטום. אנליזה לינארית הראתה ששימוש בנוסחה: מ״מ=0.26* שבוע ההיריון - 2.17 עוזר לאבחן 100 אחוז מהזכרים (מתחת לקו) ו-99 אחוז מהנקבות (מעל לקו).
השתנה עוברית - 30 Vijayaraghavn דיווח על הדגמת השתנה עוברית גם בזכרים וגם בנקבות בשימוש באולטרסאונד רגיל וגם על ידי דופלר צבע. הדגמת מקור ההשתנה שימשה לאבחון שני עוברים עם היפוספאדיאס. שימוש Power Dopplerf עזר לנו לאבחן שלושה עוברים עם היפוספאדיאס, בשניים מהם הודגם מקור השתן מבסיס הפין ובשלישי מאמצע הפין. אולטרסאונד תלת מימדי - מנסיוננו, שימוש באולטרסאונד תלת מימדי אינו מוסיף משמעותית לאבחון מין העובר, במיוחד בטרימסטר הראשון ותחילת הטרימסטר השני ולעתים יכול אפילו להטעות (תמונה 6). 9Benoit ואחרים31,32 הגיעו למסקנה שאכן התלת מימד אינו עוזר לאבחון מין העובר אך השימוש בחתכים (sectional planes) לעתים יכול לעזור על ידי הצגת החתך הסגיטלי האמצעי ביתר קלות ובכך לעזור לאבחון מין העובר. בטרימסטר השני והשלישי התלת מימד יכול לעזור בהצגת איברי המין להורים בצורה יותר משכנעת (תמונות 7 ו-8). בחלק מהמקרים עם מומים באיברי המין החיצוניים, התלת מימד יכול להדגים את המום ולעזור להגיע לאבחנה, כפי שנדון בהמשך.
בעיות באבחון מין העובר בעוברים בריאים ללא מומים באיברי המין החיצוניים ועל ידי שימוש בכלי העזר שצוינו לעיל, ניתן להגיע לאבחנה נכונה של מין העובר לאחר שבוע 13 כמעט ב-100 אחוז מהמקרים. אך עוברים עם מומים באיברי המין החיצוניים מהווים אתגר אבחנתי קשה. רמזים לנוכחות מומים באיברי המין החיצוניים כוללים: אי יכולת להדגים את שלפוחית השתן33, אבחון מין העובר כנקבה בטרימסטר הראשון או השני המוקדם בהתבסס על ^sagittal sign ובשלב יותר מאוחר, הדגמת איברי מין זכריים34, פער בגודל הפאלוס יחסית לגיל ההיריון, עיקום או כיפוף של הפאלוס, יחסים אנטומיים לא תקינים בין שק האשכים לפלוס (phallus), העדר אשכים בשק בטרימסטר השלישי והעדר מבנה אנטומי תקין של השפתיים או שק האשכים35. יש לחשוד במומים באיברי המין החיצוניים במקרים בהם אין התאמה במין העובר הסונוגרפי לעומת המין כפי שנקבע לפי הקריוטייפ במי השפיר או סיסי שליה37,36. Hypospadias - לעתים הרמז היחיד לקיום היפוספאדיאס הוא הדגמת genital tubercle מכוון כלפי מטה, מה שמעיד על עובר ממין נקבה בשבועות 16-13 ובשלב יותר מאוחר הדגמת איברי מין של זכר38,34. הכיוון כלפי מטה של איבר המין הזכרי במקרים של היפוספאדיאס הוא כתוצאה מהיווצרות ״chordee״, שהוא בעצם אטרזיה של הגוף הספוגי (corpus spongiosum) דיסטלית להיפוספאדיאס. ממצאים סונוגרפיים אחרים שיכולים לרמוז על קיום היפוספאדיאס כוללים: מורפולוגיה לא תקינה של של החלק הדיסטלי של הפין, שני קווים אקוגיניים אורכיים שמייצגים שני הקפלים הלטרליים של שארית העורלה, כיפוף קדמי של הפין, זרם שתן שמקורו מהחלק הונטרלי של הפין39,30 m-״tulip sign" כפי שתואר על ידי מייזנר וחב׳40 שמייצג בעצם את הכיפוף הפנימי של הפין עם שק האשכים החצוי. אולטרסאונד תלת מימדי יכול להדגים את הכיפוף הפנימי של הפין והיחס שלו לשק האשכים (תמונה 9). אישור סופי לקיום ההיפוספאדיאס ומיקומו ניתן להשגה על ידי הדגמת מקור זרם השתן (תמונה 10) בהשוואה להשתנה תקינה (תמונה 11 ו-12).
Epispadias, Bladder and Cloacal extrophy - במום מסוג אפיספאדיאס הפתח של האורטרה נמצא בצד הדורסלי של הפין ובמקרים קשים יותר, שני הצדדים של ^genital tubercle לא מתאחים והפין למעשה חצוי לשניים. למום זה מתלווה לעתים bladder extrophy ובחלק מהמקרים ניתן לצפות בשתי בליטות מכוונות קרניאלית במקום מבנה פין תקין41. שכיחות ^bladder extrophy הינה כ-1 מתוך 30,000 לידות חי. יש לחשוד במום זה כאשר נצפה בלט של מסה מהבטן התחתונה יחד עם אי יכולת להדגים שלפוחית שתן תוך בטנית בנוכחות כמות מים רגילה43,42,34,33. Gerhart וחב׳44 בסקירה רטרוספקטיבית הגיעו למסקנה שהאבחנה היתה נכונה בשלושה מתוך 17 מקרים
תמונה 7. איברי מין חיצוניים של זכר בשבוע 34 בתלת מימד
תמונה 8. איברי מין חיצוניים של נקבה בשבוע תמונה 9. תלת מימד של עובר עם היפוספאדיאס 32 בתלת מימד בשבוע 22. החץ מדגים הפין הזכרי המשוך כלפי מטה. S מדגים שק האשכים
תמונה 10 . השתנה של עובר עם היפוספאדיאס בדופלר תמונה 11 . השתנה תקינה בעובר ממין זכר. זרם תמונה 12 . השתנה תקינה בעובר צבע. הצבע מראה מקור זרם השתן מבסיס הפין השתן מודגם ללא צורך בשימוש בדופלר צבע ממין נקבה בדופלר צבע
חשודים. בעבודה זו44 בליטה בבטן התחתונה נצפתה בשמונה מקרים, ופין קטן או משוך קדמית בשמונה מתוך 14 זכרים והרחבה של iliac crests בשלושה מקרים44. Cloacal extrrophy היא המקרה הקיצוני של ספקטרום זה ומייצגת בעצם אומפלוצלה עם שלפוחית שתן פתוחה כלפי חוץ יחד עם מומים של מערכת העיכול ואיברי המין33. נדירותו של מום זה (1 ל-200,000 עד 400,000 לידות) גורמת לקושי רב באבחון טרום לידתי אך יש לחשוד בו כאשר לא ניתן להדגים את השלפוחית בתוך הבטן בנוכחות חסר בדופן הבטן מתחת לטבור עם בקע טבורי או מבנים ציסטיים בדופן הבטן כאשר האחרון מייצג הישארות של ^46,45 cloacal membrane. למצב זה מתלווים בדרך כלל מומים של הגפיים התחתונות, מנינגומיאלוצה ומומי כליות46.
Ambiguous genitalia - ניתן לחלק את האבחנה המבדלת של מצב זה לשלוש קבוצות גדולות:
מומים של איברי המין. במידה שקיים ספק לגבי מין העובר, יש לבצע בדיקה נוספת כעבור שבועיים-שלושה על ידי בודק מנוסה באולטרסאונד. מין העובר בטרימסטר השני והשלישי נקבע על סמך הדגמה ישירה של איברי המין החיצוניים ואין לקבוע מין עובר ממין נקבה על סמך היעדרות או אי יכולת להדגים איברי מין זכריים כגון שק האשכים אלא על סמך הדגמת מבנה השפתיים. הסמנים הסונוגרפיים שהוזכרו כגון: מדדי שק האשכים והפין, איברי האגן, ירידת האשכים לתוך השק ומקור זרם השתן בדופלר צבע יכולים לעזור בקביעת המין הנכון של העובר. במידה שגם לאחר בדיקה על ידי בודק מנוסה לא ניתן לקבוע מין העובר, או במצבים בהם מתוכננת הפסקת היריון על סמך מין העובר בלבד, כגון במחלות גנטיות הקשורות לכרומוזומי המין, יש לאשר את מין העובר על ידי בדיקה פולשנית כגון דיקור מי השפיר.
13. Mazza V, Contu G, Falcinelli C et al. Biometrical threshold of biparietal diameter for certain fetal sex assignment by ultrasound. Ultrasound Obstet Gynecol 1999:13:308-311. 14. Mazza V, Falcinelli C, Paganelli S et al. Sonographic early fetal gender assignment: a longitudinal study in pregnancies after in vitro fertilization. Ultrasound Obstet Gynecol 2001: 17:513-516. 15. Scholly TA, Sutphen JH, Hitchcock DA et al. Sonographic determination of fetal gender. AJR 1980:135:1161-1165. 16. Shalev E, Weiner E, Zukerman H. Ultrasound determination of fetal sex. Am J Obstet Gynecol 1981:141:582-583. 17. Brinholz JC. Determination of fetal sex. N Engl J Med 1983: 309:942-944. 18. Plattner G, Renner W, John W et al. Fetal sex determination by ultrasound scan in the second and third trimesters.Obstet Gynecol 1983:61:454-458. 19. Stephens JD, Sherman S. Determination of fetal sex by ultrasound. N Eng J Med 1983:309:984. 20. Reece EA, Winn HN, Wan M et al. Can ultrasonography replace amniocentesis in fetal gender determination during the early second trimester? Am J Obstet Gynecol 1987:156:579-581. 21. Harrington K, Armstrong V, Freeman J et al. Fetal sexing in the second trimester: maternal preference and professional ability. Ultrasound Obstet Gynecol 1996:8:318-321. 22. Meagher S, Davison G. Early second-trimester determination of fetal gender by ultrasound. Ultrasound Obstet Gynecol 1996:8:322-324. 23. Watson WJ.Early-second trimester fetal sex determination with ultrasound.J Reprod Med 1990:35:247-249. 24. Achiron R, Pinhas-Hamiel O, Zalel Y et al. Development of fetal male gender: prenatal sonographic measurement of the scrotum and evaluation of testicular descent.Ultrasound Obstet Gynecol 1998:11:242-245. 25. Jhonson P, Maxwell D. Fetal penile length. Ultrasound Obstet Gynecol 2000:15:308-310. 26. Zalel Y, Pinhas-Hamiel O, Lipitz S et al. The development of the fetal penis - an in uteru sonographic evaluation. Ultrasound Obstet Gynecol 2001:17:129-131. Female pseudohermaphroditisim, male pseudohermaphroditisim ובעיות בהתמיינות של הגונדות47. אבחון מצבים אלה קשה ולעתים איברי מין שנחשדו :-ambiguous מתבררים לאחר הלידה כתקינים או כהיפוספאדיאס או ^49,48concealed penis. האבחנה המבדלת של מצבים אלה היא מעבר למטרת סקירה זו, אך שימוש מושכל בסמנים הסונגרפיים שהוזכרו לעיל יכול להוביל לאבחנה הנכונה ברוב המקרים לפני הלידה. לעתים גם במצבים אלה החשד עולה רק עקב אי התאמה במין העובר הסונוגרפי לעומת הקריוטייפ51,50. לסיכום, אין לנסות לאבחן מין העובר לפני שבוע 11. קביעת מין העובר מוטעית ב-30 עד 40 אחוז מהמקרים בין השבועות 12-11 בעוד שלאחר שבוע 13 קביעת מין העובר מדויקת בכ-100 אחוז מהמקרים בהעדר מומים באיברי המין. ניתן להשתמש באולטרסאונד בגישה הנרתיקית או הבטנית אך במקרים קשים הגישה הנרתיקית יכולה להיות קלה יותר. במידה שמין העובר נקבע בהתבסס על ^sagittal sign בלבד, יש לאשר מין העובר בשבוע מאוחר יותר כדי לשלול
27. Soriano D, Lipitz S, Seidman DS et al. Development of the fetal uterus between 19 and 38 weeks of gestation: in utero ultrasonographic measurements. Human Rep
1998:14:215-218.
28. Jouannic JM, Rosenblat J, Jacobs R et al. Contribution of three dimensional volume contrast imaging to the sonographic assessment of the fetal uterus. Ultrasound Obstet Gynecol 2005:26:567-570.
29. GlancP. Umranikar S. Koff D et al.Fetal sex assignment by sonographic evaluation of the pelvic organs in the second and third trimester of pregnancy. J Ultrasound
Med 2007:26:563-569.
30. Vijayaraghavn SB. Sonography of fetal micturition. Ultrasound Obstet Gynecol
2004:24:659-663.
31. Michalides GD, Papageorgiou P, Morris RW et al. The use of three-dimensional ultrasound for fetal gender determination in the first trimester. Br J Radiol 2003:76:481-451.
32. Lev-Toaf AS, Ozhan S, Pertorius D et al. Three-dimensional multiplanar ultrasound for fetal gender assignment: value of the mid-sagittal plane. Ultrasound Obstet Gynecol 2000:16:345-350.
33. Wilcox DT, Chitty LS. Non visualization of the fetal bladder: aetiology and management. Prenat Diagn 2001:21:977-983.
34. Borneshtien M, Riechler A, Zimmer EZ. Prenatal sonographic signs of possible fetal genital anomalies. Prenat Diagn 1995:15:215-219.
35. Mandell J, Bromley B, Peters CA et al. Prenatal sonographic detection of genital malformations. J Urol 1995:153:1994-1996.
36. Cheikhelard A, Luton D, Philippe-Chomette P et al. How accurate is the prenatal diagnosis of abnormal genitalia? J Urol 2000:164-984-987.
37.Stephens JD. Prenatal diagnosis of testicular feminization. Lancet 1984:310:1038.
38. Odeh M, Ofir E. Bronstein J. Hypospadias mimicking female genitalia on early second trimester sonographic examination: a case report . J Clinic Ultrasound 2008: 36:581-583
39. Devesa R, Munoz A, Torrents M et al. Prenatal diagnosis of isolated hypospadias. Prenat Diag 1998: 18:779.
40. Meizner I, Mashiach R, Shalev J et al. The "tulip sign": a sonographic clue for in-utero diagnosis of severe hypospadias. Ultrasound Obstet Gynecol 2002: 19:250.
41. Zimmer E.Z, Bronshtein M. Fetal genitalia.In: Bronshtein M. Zimmer E, eds. transvaginal sonography of the normal and abnormal fetus. Parthenon publishing group. New York 2001, pp187-194.
42. Mirk P, Calisti A, Fileni A. Prenatal sonographic diagnosis of bladder extrophy. J Ultrasound Med 1986: 5:291-293.
43. Jaffe R, Schoenfeld A, Ovadia J. Sonographic findings in the prenatal diagnosis of bladder extrophy . Am J Obstet Gynecol 1990: 162:675-678.
44. Gearhart JP, Ben CJ, Jeffs RD. Criteria for prenatal diagnosis of classical bladder extrophy. Obstet Gynecol 1995: 85:961-964. 45. Meizner I, Levy A, Barnhard Y. Cloacal exstrophy sequence: an exceptional ultrasound diagnosis. Obstet Gynecol 1995: 86:446-450. 46. Austin PF, Homsy YL, Gearhart JP et al. The prenatal diagnosis of cloacal extrophy. J Urol 1998: 160:1179-1181. 47. Meyers-Seifer CH, Charest N. Diagnosis and management of patients with ambiguous genitalia. Semin Perinatol 1992: 16:332-339. 48.Smith DP, Felker RE, Noe HN et al. Prenatal diagnosis of genital anomalies. Urology 1996: 47:114-117. 49. Naylor CS, Carlson DE, Santulli T et al.Use of three-dimensional ultrasonographyfor prenatal diagnosis of ambiguous genitalia. J Ultrasound Med 2001: 20:1365-1367. 50. Bretelle F, Salomon L, Senat MV et al. Fetal gender: antenatal discrepancy between phenotype and genotype. Ultrasound Obstet Gynecol 2002:20:286-289. 51. Ginsberg NA, Cadkin A, Storm C et al. Prenatal diagnosis of 46,XX male fetuses. Am J Obstet Gynecol 1999: 180:1006-1007
ביבליוגרפיה
- ↑ Stephens JD, Sherman S. Prenatal diagnosis of testicular feminization. Lancet 1984:2:1038
- ↑ Cooper C, Mahony BS, Bowie JD, Pope II. Prenatal ultrasound diagnosis of ambiguous genitalia. J Ultrasound Med 1985:4:433-436
- ↑ Stocker J, Evens L. fetal sex determination by ultrasound. Obstet Gynecol 1977: 50:462-466.
- ↑ 4.0 4.1 Emerson DS, Felker RE, Brown DL. The sagital sign: an early second trimester sonographic indicator of fetal gender. J Ultrasond Med 1989:8:293-297.
- ↑ Dunne GM, Cunat JS. Sonographic determination of fetal gender before 25 weeks gestation. AJR 1983:741-743.
- ↑ Natsuyama E. Sonograpic determination of fetal sex from twelve weeks of gestation. Am J Obstet Gynecol 1984:149:748-757.
- ↑ 7.0 7.1 Bronshtein M, Rottem S, Yoffe N et al.. Early determination of fetal sex using transvaginal sonography: Technique and pitfalls. J Clin Ultrasound 1990:18:302-306.
- ↑ Mielkke G, Kiesel L, Backsch C et al.Fetal sex determination by high resolution ultrasound in early pregnancy. Eur J Ultrasound 1998: 7:109-114.
- ↑ Benoit B. Early fetal gender determination. Ultrasound Obstet Gynecol 1999: 13:299-300.
- ↑ Whitlow BJ, Lazanakis MS, Economides DI. The sonographic identification of fetal gender from 11 to 14 weeks of gestation. Ultrasound Obstet Gynecol 1999: 13:301-304.
- ↑ 11.0 11.1 11.2 Efrat Z, Akinfenwa O, Nicolaides KH First-trimester determination of fetal gender by ultrasound. Ultrasound Obstet Gynecol 1999:13:305-307.
- ↑ Efrat Z, Perri T, Ramati E et al. Fetal gender assignment by first-trimester ultrasound. Ultrasound Obstet Gynecol 2006:27:619-621.
קישורים חיצוניים
- בן או בת, Themedical
המידע שבדף זה נכתב על ידי ד"ר עודה מרואן פרופ' יעקב בורנשטיין, האגף לבריאות האישה, בית החולים האזורי לגליל המערבי, נהריה

כניסה
עקבו אחרינו בפייסבוק