האיגוד הישראלי לרפואת משפחה

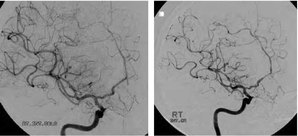
קובץ:התכווצות הפיכה 5.png

מתוך ויקירפואה

גרסה מ־08:45, 14 בנובמבר 2014 מאת Motyk (שיחה | תרומות)
(הבדל) → הגרסה הקודמת | הגרסה האחרונה (הבדל) | הגרסה הבאה ← (הבדל)

לקובץ המקורי(975 × 446 פיקסלים, גודל הקובץ: 204 קילו־בייטים, סוג MIME‏: image/png)

היסטוריית הקובץ

ניתן ללחוץ על תאריך/שעה כדי לראות את הקובץ כפי שנראה באותו זמן.

תאריך/שעהתמונה ממוזערתממדיםמשתמשהערה
נוכחית08:45, 14 בנובמבר 2014תמונה ממוזערת לגרסה מ־08:45, 14 בנובמבר 2014975 × 446 (204 קילו־בייטים)Motyk (שיחה | תרומות)