סרקומות רקמות רכות - Soft-tissue sarcomas
| סרקומות רקמות רכות | ||
|---|---|---|
| soft-tissue sarcomas | ||
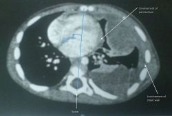
תמונת CT מסומנת של סרקומה של רקמות רכות לא מובחנת בריאה השמאלית של ילד צעיר, המראה מעורבות של קרום הלב ודופן החזה, ותזוזה מדיאסטינלית
| ||
| ICD-10 | 171 | |
| MeSH | D018204 | |
| יוצר הערך | ד"ר מהדי עאסלה, פרופסור יוסי קפילושניק | |
לערכים נוספים הקשורים לנושא זה, ראו את דף הפירושים – סרקומה
סרקומות של הרקמות הרכות הן קבוצה הטרוגנית של ממאירויות ממקור התאים המזנכימיליים. ארגון הבריאות העולמי (WHO - World Health Organization) מחלק את הסרקומות של הרקמות הרכות על פי רקמת המקור של הגידול, דוגמת רבדומיוסרקומה, ליפוסרקומה, פיברוסרקומה, אנגיוסרקומה, ליומיוסרקומה וסרקומה סינוביאלית. אף על פי שסרקומות של רקמות רכות מהוות פחות מ-1 אחוז מכלל הממאירויות באוכלוסייה הכללית, הן שכיחות הרבה יותר בילדים, ומהוות כ-7 אחוזים מכלל הממאירויות בחולים בני 20 ומטה[1]. רבדומיוסרקומה מהווה כ-40 אחוזים מכלל הסרקומות של הרקמות הרכות בבני 15 שנים ומטה, ואילו סרקומות אחרות של רקמות רכות (Non-Rhabdomyosarcoma Soft Tissue Sarcoma - NRSTSs) שכיחות יותר במתבגרים וצעירים[2].
היסטופתולוגיה ואבחון מולקולרי
על פי הסיווג של ארגון הבריאות העולמי, קיימים כ-100 סוגים היסטולוגיים של סרקומות, ומכאן חשיבות האבחון המדויק לבחירת הטיפול המתאים[3]. מבחינה היסטולוגית, האבחנה של סרקומה של רקמות רכות נעשית על בסיס המראה המורפולוגי. צביעות אימונוהיסטוכימיות עוזרות בזיהוי הרקמה ממנה יצא הגידול. איתור היתוך בגנים בשיטת FISH (Fluorescent In Situ Hybridization) או בשיטת RT-PCR (Reverse Transcriptase - Polymerase Chain Reaction) על RNA של תאי גידול יכולה לאשר את האבחנה של גידולים אלה, ולפעמים מהווה גם סימן פרוגנוסטי.
רבדומיוסרקומה, המחלה השכיחה ביותר בקבוצת הסרקומות של הרקמות הרכות, מחולקת לשני סוגים עיקריים מבחינה היסטופתולוגית: אמבריונלי (כ-60 אחוזים מהמקרים), ואלביולארי (כ-40 אחוזים). צביעות אימונוהסיטוכימיות חיוביות לדיזמין, מיוזין, מיוגלובין, חלבון Z-BAND ו-MyoD יכולות להבדיל רבדומיוסרקומה מגידולים אחרים עם מורפולוגיה של תאים כחולים עגולים קטנים. מבחינה גנטית, ניתן למצוא טרנסלוקציה בין כרומוזום 2 וכרומוזום 13 ב-55 אחוזים מהרבדומיוסרקומה האלביולארית, וב-22 אחוזים מהמקרים ניתן למצוא טרנסלוקציה בין כרומוזום 1 וכרומוזום 13 אשר יוצרים היתוך בין הגנים PAX3-FOXO1 ו--PAX7 FOXO1, בהתאם[4]. החלוקה של רבדומיוסרקומה על פי נוכחות או היעדר מוטציה בגן PAX נמצאה כמשקפת בצורה יותר אמינה את הביולוגיה ואת המראה הגנומי האמיתי של הגידול מאשר החלוקה ההיסטורית המבוססת על ההיסטולוגיה[4]. יתר על כן, המהלך הקליני של רבדומיוסרקומה אלביולארית שלא נמצא בה היתוך כזה הוא דומה יותר לרבדומיוסרקומה אמבריונלית[5].
השינויים הגנטיים האופייניים בסרקומות שונות מסוכמים בטבלה הבאה[2]:
התייצגות קלינית
התלונה השכיחה ביותר בחולים עם סרקומה של רקמות רכות היא מסה לא כואבת שהולכת וגדלה. בחלק מהמקרים, החולים מתלוננים על כאבים כאשר המסה גדולה ולוחצת על איברים או עצבים קרובים. סרקומות אלה יכולות להופיע בכל חלק בגוף, אך המיקום השכיח ביותר הוא בגפיים. ברבדומיוסרקומה ההתפלגות תלויה בסוג: 39 אחוזים מהסוג האלביולארי מופיע בגפיים, ואילו הסוג האמבריונלי מופיע יותר בגולגולת (29 אחוזים) ובשלפוחית השתן (28 אחוזים)[2].
אבחנה
אבחנה ודאית מבוצעת בביופסיה. בהדמיה, MRI (Magnetic Resonance Imaging) היא בדיקת הבחירה להערכה ואפיון של סרקומות רקמות רכות. השימוש ב-MRI קונבנציונלי יחד עם MRI פונקציונלי או מולטי-פרמטרי שכולל טכניקות כמו (Diffusion-Weighted Imaging) DWI אשר מספקות מידע פונקציונלי כמותי על תאי הגידול, או טכניקת DCE (Dynamic Contrast-Enhanced MRI) שמספקת מידע על הווסקולריות של הגידול - מאפשר אפיון מדויק יותר של הממאירות, הערכת תגובה לטיפול, והערכת מחלה שאריתית אחרי ניתוח, או חזרת מחלה[6]. עבודה שפורסמה הראתה גם קשר בין הימצאות נמק, הטרוגניות בגידול או האדרה סביבו בבדיקת MRI, ובין הדרגה ההיסטולוגית של הגידול וההישרדות מהמחלה[7]. בדיקת FDG PET-CT (Positron Emission Tomography - Computed Tomography - Fluorodeoxyglucose (18F) אשר נקלט בתאים פעילים מטבולית) נמצאת בשימוש רחב לאבחון סרקומות, הערכת הפיזור הגרורתי של המחלה והערכת התגובה לטיפול. מטה-אנליזה שפורסמה ב-2020 בדקה 21 עבודות על FDG PET-CT ומצאה כי לבדיקה יש רגישות של כ-89 אחוזים וספציפיות של כ-76 אחוזים באבחון סרקומות, ורגישות וספציפיות דומות בהבדלה בין גידולים שפירים לממאירים[8].
סיווג
מבחינה אנטומית, הסיווג הכי שכיח הוא הסיווג של TNM שמחלק את המחלה לארבע דרגות, כשהאות -"T" מסמלת את הגודל של הגידול הראשוני, "N" מסמלת מעורבות בלוטות לימפה ו-"M" מסמלת גרורות מרוחקות. לדירוג ה-TNM של סרקומות רקמות רכות (וסרקומות של עצמות) יש מאפיין מיוחד והוא שהמראה היסטופתולוגי משחק תפקיד חשוב בסיווג הגידולים.
במהדורה השמינית והאחרונה של הסיווג הזה חלו מספר שינויים בקשר לסרקומות רקמות רכות:
- הגידולים מתוארים בנפרד בהתאם למקור שלהם:
- גו וגפיים
- רטרופריטוניום
- ראש וצוואר
- איברים פנימיים
- העומק של הגידול כבר לא נחשב גורם בדירוג אלא רק הקוטר שלו
- הגידולים בגו, בגפיים וברטרופריטוניום מחולקים על פי הגודל שלהם ל-4 קבוצות:
- <5 סנטימטר
- 10-5 סנטימטר
- 15-10 סנטימטר
- מעל 15 סנטימטר
- כל גידול עם גרורות בבלוטות לימפה או גרורות מרוחקות נחשב דרגה IV ללא קשר להיסטולוגיה או לגודל הגידול, למעט גידול רטרופריטוניאלי עם מעורבות בלוטות ללא גרורות מרוחקות שעדיין נחשב דרגה IIIB[9]. מבחינה היסטופתולוגית הגידולים מסווגים לשלוש דרגות, כשדרגה 1 מסמלת דרגה נמוכה ודרגות 2 ו-3 מצביעות על גידול בדרגה גבוהה.
טיפול
הטיפול ברבדומיוסרקומה מבוסס על כירורגיה, כימותרפיה וקרינה. בשנתיים האחרונות נכנס לישראל פרוטוקול -FaR 2019-RMS שנבנה על אותם עקרונות טיפול: כירורגיה, קרינה והתרופות הכימיות הידועות של Ifosfamide, Vincristine (אונקובין[10]) ו-Dactinomycin - שמהוות את עמוד התווך לטיפול בכל הקבוצות.
בקבוצות של סיכון גבוה קיימת רנדומיזציה לבדיקת היעילות של תוספת Irinotecan (קמפטוסר[10]) לעומת הטיפול הסטנדרטי, ובקבוצה של סיכון גבוה מאוד קיימת רנדומיזציה לבדיקת היעילות של תוספת Irinotecan לעומת תוספת של Doxorubicin Hydrochloride (אדריאמיצין[10]) לטיפול הסטנדרטי. אחרי שנמצא כי טיפול אחזקה עם Cyclophosphamide ו-Vinorelbine (נבלבין[10]) למשך חצי שנה היה יעיל במניעת חזרת מחלה בחולים עם מחלה בסיכון גבוה[11], טיפול זה הפך למרכיב אינטגרלי בטיפול בחולים אלה, והרנדומיזציה כעת היא על משך הטיפול.
רוב הניסויים על אימונותרפיה בסרקומות רקמות רכות לא צלחו. מנהל המזון והתרופות האמריקני (FDA - Food and Drug Administration) אישר מספר תרופות ביולוגיות לטיפול בסרקומות רקמות רכות, כגון Pazopanib (ווטריאנט[10]), Eribulin Mesylate (הלאבן[10]) ו-Trabectedin (יונדליס[10]). בנוסף, הקבוצה האמריקנית לאונקולוגיית ילדים (COG - Children's Oncology Group) פרסמה ב-2019 עבודה בה נראית עלייה בהישרדות של חולי רבדומיוסרקומה בסיכון ביניים אחרי תוספת טיפול ב-Temsirolimus (טוריסל[10])[12]. אף על פי שתרופות אלה הביאו לעלייה קלה בהישרדות כללית (overall survival) והישרדות ללא התקדמות המחלה (progression-free survival), הן לא הצליחו להשרות תגובה ממושכת או ריפוי מלא והן עדיין לא חלק מהטיפול הסטנדרטי בסרקומות[13].
הטיפול העיקרי בפיברוסרקומה של הילדות (Infantile Fibrosarcoma) נשען על כריתה כירורגית וטיפול כימי ב-Vincristine ו-Dactinomycin. היות שגידול זה נושא מוטציה בגן NTRK, ייתכן שיהיה תפקיד חשוב ל-Larotrectinib (ויטראקבי[10]) בטיפול במחלה זו בעתיד. הטיפול בסרקומה סינוביאלית הוא כריתה כירורגית מלאה כשזה אפשרי, וכשהגידול אינו ניתן לכריתה הטיפול כולל גם קרינה. התפקיד של הכימותרפיה אינו חד-משמעי, שכן עבודות שונות הראו תוצאות סותרות לגבי יעילותה בגידולים אלה.
ביבליוגרפיה
- ↑ Ries LAG, Smith MA, Gurney JG, et al. Cancer Incidence and Survival Among Children and Adolescents: United States SEER Program 1975¬1995. National Cancer Institute, SEER Program. NIH Pub. No. 99-4649. Bethesda, MD; 1999. 113-7 p.
- ↑ 2.0 2.1 2.2 Loeb DM, Thornton K, Shokek O. Pediatric soft tissue sarcomas. Surg Clin North Am. 2008 Jun;88(3):615-27.
- ↑ Fletcher CDM, Bridge JA, Hogendoorn PCW (Eds.), et al. WHO Classification of Tumours of Soft Tissue and Bone. 4th Ed. Volume 5. Lyon: IARC Press; 2013. 468 p.
- ↑ 4.0 4.1 Shern JF, Chen L, Chmielecki J, et al. Comprehensive genomic analysis of rhabdomyosarcoma reveals a landscape of alterations affecting a common genetic axis in fusion-positive and fusion-negative tumors. Cancer Discov. 2014 Feb;4(2):216-31. Epub 2014 Jan 23.
- ↑ Williamson D, Missiaglia E, De Reynies A, et al. Fusion gene-negative alveolar rhabdomyosarcoma is clinically and molecularly indistinguishable from embryonal rhabdomyosarcoma. J Clin Oncol. 2010 May;28(13):2151-8. Epub 2010 Mar 29.
- ↑ Clemente EJI, Navallas M, de la Torre IBM, et al. MRI of rhabdomyosarcoma and other soft-tissue sarcomas in children. Radiographics. 2020 May- Jun;40(3):791-814. Epub 2020 Apr 3.
- ↑ Crombe A, Marcellin PJ, Buy X, et al. Soft-tissue sarcomas: assessment of MRI features correlating with histologic grade and patient outcome. Radiology. 2019 Jun;291(3):710-21. Epub 2019 Apr 9.
- ↑ Younis MH, Abu-Hijleh HA, Aldahamsheh OO, et al. Meta-analysis of the diagnostic accuracy of primary bone and soft tissue sarcomas by 18F-FDG-PET. Med Princ Pract. 2020;29(5):465-72. Epub 2019 Dec 31.
- ↑ Tanaka K, Ozaki T. New TNM classification (AJCC eighth edition) of bone and soft tissue sarcomas: JCOG Bone and Soft Tissue Tumor Study Group. Jpn J Clin Oncol. 2019;49(2):103-7.
- ↑ 10.0 10.1 10.2 10.3 10.4 10.5 10.6 10.7 10.8 או תרופות המכילות חומר פעיל זהה או דומה, בעלות שמות מסחריים אחרים
- ↑ Bisogno G, De Salvo GL, Bergeron C, et al. Vinorelbine and continuous low-dose cyclophosphamide as maintenance chemotherapy in patients with high-risk rhabdomyosarcoma (RMS 2005): a multicentre, open¬label, randomised, phase 3 trial. Lancet Oncol. 2019 Nov 1;20(11):1566-75. Epub 2019 Sep 24.
- ↑ Mascarenhas L, Chi YY, Hingorani P, et al. Randomized phase II trial of bevacizumab or temsirolimus in combination with chemotherapy for first relapse rhabdomyosarcoma: a report from the Children’s Oncology Group. J Clin Oncol. 2019 Nov 1;37(31):2866-74.
- ↑ Nathenson MJ, Conley AP, Sausville E. Immunotherapy: a new (and old) approach to treatment of soft tissue and bone sarcomas. Oncologist. 2018 Jan;23(1):71- 83. Epub 2017 Sep 21.
המידע שבדף זה נכתב על ידי ד"ר מהדי עאסלה ופרופסור יוסי קפילושניק - מחלקה המטו-אונקולוגית ילדים, המרכז הרפואי סורוקה, באר שבע

כניסה
עקבו אחרינו בפייסבוק