מום בתעלה העצבית - Neural tube defect
ערך זה נמצא בבדיקה ועריכה על ידי מערכת ויקירפואה, וייתכן כי הוא לא ערוך ומוגה.
| מום בתעלה העצבית | ||
|---|---|---|
| Neural tube defect | ||
| יוצר הערך | דר' מאור ממן | |
מום בתעלה העצבית יכול להיות מבודד או להתבטא כחלק מתסמונת, וזוהי תופעה המתרחשת ב- 1.4-2/1000 לידות חי. הגורם הנו רב סיבתי (Multifactorial) ומושפע מגורמים רבים. טיפול מניעתי ב-4 מ"ג (מיליגרם) ביום של חומצה פולית מפחיתים את הסיכון ב-85%, כאשר ההמלצות היום הן ליטול 400 מיקרוגרם של חומצה פולית לפני כניסה להיריון ובמהלך השליש הראשון להיריון, ואילו נשים בסיכון יטלו 4 מ״ג.
אפידמיולוגיה
1.4-2/1000 לידות חי. המום השני בשכיחותו אחרי מום-לב.
אטיולוגיה
הגורם הנו רב סיבתי ומושפע מהסביבה, דיאטה, חום אימהי, היפרגליקמיה, מין העובר וכדומה.
- גורמי סיכון למום בתעלה העצבית
ב-95% מהמקרים לא ניתן לזהות גורמי סיכון מקדימים.
- גורמים גנטיים:
- סיפור משפחתי: רק 5% ממקרי המום בתעלה העצבית הם משפחתיים;
- תשנית (Mutation) ב- MTFHR (Methylenetetrahydrofolate reductase) - מעביר קבוצת מתיל (Methyl) מחומצה פולית והופך הומוציסטאין (Homocyteine) למתיונין (Methionine);
- תסמונת גנטית בעבר שידועה כקשורה למום בתעלה העצבית:
תסמונת מקל-גרובר (Meckel Gruber syndrome), תסמונת ג'רקו-לוין (Jarcho-Levin syndrome), תסמונת HARDE (HARDE, Hydrocephalus, Agyria, Retinal Dysplasia and Encephalocele) - כולם אוטוזומלים (Autosomal) נסגנים (Recessive) עם 25% חזרה. טריזומיה 13 ו-18 וטריפלואידיות (Triploidy), גם קשורים למום בתעלה העצבית, שיעור החזרה שלהם - 1%.
אקסטרופיה קלואקלית (Cloacal exstrophy) וטרטומה סקרוקוקסיג'אלית (Sacrococcygeal teratoma) - גם קשורים למום בתעלה העצבית.
סירכה תוך רחמית (Amniotic band) - קשור לחוסר מוח (Anencephaly) ושדרה שסועה (Spina bifida), אם כי הוא פזור (Sporadic) ולא חוזר.
- חשיפה לחומרים בסביבה ב- 28 ימים ראשונים להיריון:
- היפרגליקמיה: סוכרת מסוג 1;
- חום אימהי: אמבטיות חמות, ג'קוזי;
- יתר-חום (Hyperthermia): גורם לסיכון גבוה פי 6 למום בתעלה הצבית;
- תרופות: כאלה שפוגעות בחילוף החומרים של חומצה פולית - Valporic acid, Carbamazepine, Thalidomide.
- קבוצה אתנית בסיכון גבוה: סין, מצרים, הודו.
- יצור של נוגדנים נגד הקולטן לחומצה פולית .
קליניקה
התעלה העצבית נסגרת בשבוע 6 להיריון (4 שבועות לאחר ההפריה).
המקרים של מום בתעלה העצבית מתחלקים לשני סוגים:
- גולגולת (Cranial): מערבים גולגולת, קרקפת ומוח. לרוב ממיתים:
- חוסר מוח: אין מוח וגולגולת;
- בּוּעַת מוֹחַ (Encephalocele): אין גולגולת והקרומים חשופים. לרוב חלק מתסמונת מקל-גרובר.
- זנבי (Caudal): נקראים שדרה שסועה. מערבים חוט שדרה, עמוד שדרה וקרומים:
- שדרה שסועה: לרוב 3-5 חוליות תחתונות לא נסגרו. חוט השדרה והקרומים חשופים למי השפיר;
- שַׂק קְרוּמֵי הַמּוֹחַ (Meningocele): החלק הזנבי של עמוד השדרה לא נסגר, הקרומים חשופים;
- מנינגומיאלוצלה (Meningomyelocele): גם קרומים וגם חוט השדרה חשופים.
מום ארנולד כיארי 2 (Arnold-chiari II malformation): מום הקשור לשדרה שסועה, כאשר המוחון (Cerebellum) נמשך לתוך תעלת השדרה הצווארית.
לרוב הילודים עם שדרה שסועה יש הפרעה בשלפוחית השתן ובמעי. ל-1/3 יש אלרגיה ללטקס (Latex).
אבחנה
- חלבון אלפא-עוברי (α-Feto-protein)
גליקופרוטאין (Glycoprotein) המיוצר על ידי שק החלמון העוברי, ובהמשך מערכת העיכול והכבד העוברי. הוא החלבון העיקרי בדם העובר, מקביל לאלבומין. הריכוז עולה בדם העובר ובמי השפיר עד שבוע 13 ואז יורד. ההפך קורה אצל האם: הריכוז עולה בהתמדה במהלך ההיריון. מומים כמו מום בתעלה העצבית ופגיעות בדופן הבטן, מביאים לעליה ברמת החלבון אלפא-עוברי. היחס בין הרמה בפלזמת (Plasma) העובר והרמה בפלזמה האימהית הוא 1:50,000.
- חלבון אלפא-עוברי בנסיוב האם (MSAFP, Maternal Serum α-Feto-protein)
רמת חלבון אלפא-עוברי בנסיוב האימהי נמדדת בשבוע 15-20.
הרמה נמדדת בננוגרם למיליליטר ומדווחת במכפלות של הממוצע - MoM. הדבר מאפשר השוואה בין מעבדות שונות ואוכלוסיות שונות. הגבול העליון נחשב 2-2.5 MoM. בסף הזה הרגישות עומדת על 90% באבחנת חוסר מוח ו-80% באבחנת שדרה שסועה.
עם זאת הערך מנבא חיובי (PPV, Positive Predictive Value) הוא רק 2-6%. לכן אם הבדיקה חיובית, יש לשלוח את בני הזוג לייעוץ גנטי והפניה לבדיקות אבחנתיות.
מספר גורמים משפיעים על רמת החלבון אלפא-עוברי:
- משקל האם;
- גיל ההיריון: ריכוז החלבון אלפא-עוברי עולה ב-15% בכל שבוע. לכן חשוב לדעת את גיל ההיריון המדויק;
- גזע: אצל נשים אפרו-אמריקאיות רמת החלבון אלפא-עוברי גבוהה יותר, למרות שכיחות נמוכה יותר של מום בתעלה העצבית;
- סוכרת: לנשים עם סוכרת יש סיכון גבוה פי 3-4 למום בתעלה העצבית, אבל החלבון אלפא-עוברי שלהן נמוך ב-20-30% בהשוואה ללא סוכרתיות;
- הריון מרובה עוברים.
יש לתקן את רמת החלבון אלפא-עוברי לפי גיל ההיריון, גיל ומשקל האם, גזע והימצאות סוכרת. הסיכון למום מולד עולה עם העלייה ברמת החלבון אלפא-עוברי. בערך גבוה מ-7 MoM יש סיכון של 40% למומים.
| סיבות לרמות גבוהות ונמוכות של חלבון אלפא-עוברי | |
|---|---|
| רמה גבוהה | רמה נמוכה |
| תת הערכה של גיל ההיריון | יתר הערכה של גיל ההיריון |
| (RR=8.1) מוות עוברי | השמנה |
| מרובה עוברים | סוכרת |
| (RR=225) מום בתעלה העצבית | טריזומיות כולל תסמונת דאון |
| היעדר דופן הבטן (Gastroschisis) | מחלות טרופובלסטיות בהריון (GTD, Gestational trophoblastic disease) |
| שַׂק קְרוּמֵי הַטַּבּוּר (Omphalocele) | מוות עוברי |
| משקל אימהי נמוך | |
| חסימת מעי או וושט | |
| היגרומה ציסטית (Cystic hygroma) | |
| (RR=3) היפרדות שליה | |
| (RR=2) רעלת היריון | |
| (RR=3) מיעוט מי שפיר | |
| כוריואנגיומה בשליה (Placental chorioangioma) | |
- בדיקת על-שמע (US, Ultra Sound)
אם רמת חלבון אלפא-עוברי גבוהה, יש להפנות לבדיקת על-שמע לשלול את 3 הסיבות העיקריות לרמה הגבוהה:
- חוסר דיוק בהערכת גיל ההיריון;
- היריון מרובה עוברים;
- פטירת העובר (Fetal demise).
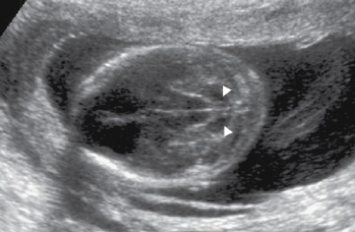
בבדיקת על-שמע בשליש השני להיריון נראה סימנים אופייניים למום בתעלה העצבית:
- סימן לימון (Lemon sign): שקיעה של העצמות המצחיות (Frontal). בתמונה רואים גם הגדלה של חדרי המוח (Ventriculomegaly);
- סימן בננה (Banana sign): בקיעה (Herniation) של המוחון והשטחה של הבְּרֵכָה הגדולה (Cisterna magna).
בכל המקרים נראה הגדלה של חדרי המוח וקוטר דו-קודקודי (BPD, Biparietal Diameter) קצר.
לאחר זיהוי רמה גבוהה של חלבון אלפא-עוברי, מקובל היה לבצע דיקור מי שפיר. אם רמת חלבון אלפא-עוברי במי השפיר גבוהה, נשלחה בדיקה לרמת אצטילכולין-אסטראז (AChE, Acetylcholin Esterase) במי השפיר. רמת חלבון אלפא-עוברי גבוהה במי השפיר, ונוכחות אצטילכולין-אסטראז נחשבים ממצא אבחנתי למום בתעלה העצבית.
היתרון בדיקור מי שפיר: האפשרות לבדוק דְּגַם כְּרוֹמוֹזוֹמִים (Karyotype). עם זאת, הרגישות והסגוליות של בדיקת על-שמע מכוונת בזיהוי מום בתעלה העצבית הם 90% ו-100% בהתאמה.
יש מרכזים בהם השלב הראשון בבירור יהיה בדיקת על-שמע ורק אחר כך ידונו על דיקור מי שפיר (אם בדיקת העל-שמע תקינה).
טיפול
ערך מורחב – חוסר בחומצה פולית - Folic acid deficiency
- טיפול מניעתי
4 מ"ג ביום של חומצה פולית מפחיתים סיכון ב-85%. מחקר אקראי מבוקר (RCT, Randomized Controlled Trial) מ-1991, עם 1817 נשים שבעברן עובר עם מום בתעלה העצבית, הראה שחומצה פולית במינון של 4 מ״ג, הפחיתה את הסיכון למום נוסף בתעלה העצבית ב-72%. ללא תוספת חומצה פולית - הסיכון לילד פגוע נוסף יהיה 4%. אחרי 2 ילדים - 10%. אם אחד ההורים נולד עם מום בתעלה העצבית - 5%. עם תוספת חומצה פולית הסיכון לילד פגוע נוסף יורד ביותר מ-70% אל מתחת ל-1%. תוספת חומצה פולית מפחיתה גם את הסיכון הראשוני למום בתעלה העצבית. הטיפול ניתן ב-12 השבועות שקדמו להיריון ובמהלך השליש הראשון להיריון. לכן ההמלצות היום הן ליטול 400 מיקרוגרם של חומצה פולית לפני כניסה להיריון ובמהלך השליש הראשון להיריון. נשים בסיכון יטלו 4 מ״ג. הבעיה היא ש- 50% מההריונות אינם מתוכננים. חומצה פולית אינה רעילה והעודף מופרש בשתן.
בלידה: אין המלצות רשמיות האם ללדת בניתוח קיסרי או בלידה רגילה. יש להשתמש בכפפות נטולות לטקס.
פרוגנוזה
דגלים אדומים
ביבליוגרפיה
- Willians 23rd 287, ACOG 44 july 2003
ראו גם
- לנושא הקודם: מחלת כבד בהיריון - היבטים מיילדותיים - Liver disease in pregnancy - obstetric aspects
- לנושא הבא: גנחת הסימפונות - היבטים מיילדותיים - Asthma - obstetric aspects
המידע שבדף זה נכתב על ידי ד"ר מאור ממן, מרכז רפואי רבין, בילינסון-השרון

כניסה
עקבו אחרינו בפייסבוק