תסמונת אנצפלופתיה אחורית הפיכה - Posterior reversible encephalopathy syndrome
הופניתם מהדף אנצפלופתיה הפיכה לדף הנוכחי.
| תסמונת אנצפלופתיה אחורית הפיכה | ||
|---|---|---|
| Posterior reversible encephalopathy syndrome | ||
| 250px | ||
| שמות נוספים | Hyperperfusion encephalopathy Brain capillary leak syndrome, Reversible posterior cerebral edema (syndrome Reversible Posterior Leukoencephalopathy Syndrome RPLS PRES Posterior Reversible Encephalopathy Syndrome |
|
| ICD-10 | G93.4 | |
| ICD-9 | 348.39 | |
| MeSH | D054038 | |
| יוצר הערך | ד"ר אבי גדות | |
PRES (Posterior Reversible Encephalopathy Syndrome) היא תסמונת קלינית והדמייתית שיכולה להיגרם מסיבות רבות ומגוונות. המנגנון המרכזי הגורם להתהוות התסמונת אינו ודאי ולמרות מחקרים רבים עדיין שנוי במחלוקת. הידיעה כי התסמונת יכולה להופיע גם במקרים בהם אין לחץ דם מופרז ואף במקרים של לחץ דם תקין, צריכה להעלות את התסמונת באבחנה מבדלת במקרים בהם הקליניקה והתמונה ההדמייתית מתאימות. אבחנה וטיפול מהירים מאפשרים פרוגנוזה (Prognosis) טובה מאוד ברוב החולים.
למרות דיווחים שונים בספרות על מקרים בודדים לאורך השנים, PRES תוארה לראשונה באופן מוגדר ב-1996 בעיתון NEJM (New England Journal of Medicine)[1]. תוארו אז 15 חולים עם תסמונת חולפת שכללה כאבי ראש, שינוי במצב הכרה, פרכוסים והפרעות בראיה בנוכחות ממצאי הדמיה שהעידו על פגיעה בחומר הלבן, בעיקרה אחורית. מתוך אותה קבוצת חולים, שבעה טופלו בתרופות מדכאות חיסון, שלוש חולות סבלו מרעלת היריון (Eclampsia) וארבעה סבלו מ-Encephalopathy על רקע יתר לחץ דם חריף, כנראה על רקע מחלת כליות. ל-12 חולים מתוך ה-15 הייתה עלייה חדה ופתאומית בלחץ הדם.
מאז פרסום זה, נקראה התסמונת בשמות שונים, חלקם על שם הקליניקה (PRES), חלקם על בסיס המנגנון המשוער (Hyperperfusion encephalopathy ,Brain capillary leak syndrome) וחלקם על רקע ממצאי ההדמיה (Posterior leukoencephalopathy syndrome, Reversible posterior cerebral edema syndrome). בשנים שחלפו מאז 1996 נצבר ידע בנוגע לגורמים אפשריים לתסמונת אך פחות מכך לגבי המנגנונים.
אטיולוגיה
מרבית המקרים, גם אם נגרמו על ידי גורם אחר (כגון דיכוי חיסון) מופיעים עם יתר לחץ דם (80-75 אחוזים)[1] , [2]. מרבית המקרים של PRES מתרחשים בנוכחות לחץ דם מתחת לערכים בהם יש פגיעה באוטורגולציה (Autoregulation) [פחות מ-160-150 ממ"כ (מילימטר כספית) לחץ עורקי ממוצע].
בנוסף ליתר לחץ דם גורמים רבים מהווים סיכון להתפתחות PRES:
- רעלת היריון - יכולה להתרחש טרם הלידה ועד מספר שבועות לאחר הלידה ומהווה גורם סיכון להתפתחות PRES
- זיהום, Sepsis - בחלק מהחולים במצבי זיהום או Sepsis מתפתח PRES כאשר לחץ הדם הוא בתחום התקין
- השתלת מוח עצם - PRES מוכר ומדווח לאחר השתלות מח עצם ותאי אב. מדובר בשכיחות של כ-9-7 אחוזים לאחר השתלת מוח עצם אלוגנאית (Alogenic) וטיפול ב-Ciclosporin. (השכיחות הגבוהה ביותר היא בחודש לאחר ההשתלה ויורדת במהלך השנה לאחר מכן[2])
- תרופות מדכאות חיסון (Immunosuppressants) תרופות מדכאות חיסון ( Tacrolimus ,Ciclosporin) נמצאות כחלק מגורמי הסיכון להתפתחות התסמונת לאחר השתלה. לא נמצא קשר בין רמות התרופה בדם לשכיחות PRES אך הפסקת הטיפול מביאה לרוב להפסקת התופעה
- טיפול אנטינאופלסטי (Antineoplastic) - קיימת עלייה בדיווחים על חולים שטופלו בטיפול אנטינאופלסטי (Antineoplastic) ופיתחו PRES [תרופות רבות, ביניהן Carboplatin, Cisplatin , CHOP (Endoxan=Cyclophosphamide , Doxorubicin , Vincristine ו- Prednisone), Cytarabine, Interferon alfa ,L-Asparaginase , Methotrexate, Oxaliplatin, Paclitaxel, Mabthera (Rituximab) ועוד][3] , [4]
- מחלות רקמת חיבור כגון Lupus, Scleroderma, Behcet disease, Polyarteritis nodosa[2] , [3] , [4]
פתופיזיולוגיה
קיימות שתי תיאוריות באשר למנגנונים הגורמים לתופעה:
התאוריה הראשונה, המסתמכת על העובדה כי בחלק גדול מן המקרים לחץ הדם גבוה וכי קיימים ממצאים בהדמיה המעידים על בצקת מוחית, טוענת כי הגורם הישיר לתופעה הוא לחץ דם מופרז אשר גורם לפגיעה באוטורגולציה של זרימת הדם למוח ובכך להיפרפרפוזיה (Hyperperfusion), ובעקבותיה לבצקת וואזוגנית (Vasogenic).
העובדה כי ברוב המקרים של PRES ישנם לחצי דם מופרזים הופכת את התאוריה הנזכרת למעלה לאינטואיטיבית (Intuitive) ורווחת. תומכת בתאוריה זו העובדה כי תחת טיפול להורדת לחץ הדם נצפה שיפור קליני והדמייתי מהיר במהלך של ימים ואף שעות[5] , [6].
מחקרים בחיות שבדקו את ההשפעות של לחץ דם גבוה על המוח הדגימו כי מעבר לגבול האוטורגולציה העליון יש פגיעה בכלי הדם ובנימי הדם שמובילה להיפרפרפוזיה ובצקת ואזוגנית.
בבחינה מדוקדקת של המקרים, ברור שלא די במנגנון זה כדי להסביר את התסמונת.
העובדה כי בחלק לא מבוטל מן המקרים (40-20 אחוזים) אין לחץ דם גבוה ובמקרים בהם לחץ הדם כן גבוה לחץ הדם הממוצע איננו חורג מ- 160-150 ממ"כ (גבול האוטורגולציה העליון) מדגישה את הבעיה בהסבר חד מימדי שכזה.
על בעיות אלו בתאוריה הראשונה מתבססת התאוריה השנייה, הגורסת כי המנגנון להתפתחות התסמונת הוא התכווצות העורקיקים במוח כתוצאה משפעול ופגיעה בתאי האנדותל (Endothel) שגורמת לאיסכמיה (Ischemia) ובעקבות זאת להפרעה נוספת בתפקוד האנדותל ולבצקת ואזוגנית. יש עדויות לכך כי הבצקת ב-PRES לא נוטה להחמיר בקורלציה לחומרת לחץ הדם ובנוסף יש תצפית המראה כי בחולי PRES עם זיהום/שוק או Sepsis מידת הבצקת הייתה נמוכה יותר בחולים עם יתר לחץ דם קיצוני לעומת חולים שהיו נורמוטנסיביים (Normotensive) בעת ההתייצגות[7].
ברוב המצבים בהם מתפתח PRES מדובר במהלך סיסטמי (השתלה, זיהום, רעלת היריון, מחלות אוטואימוניות, כימותרפיה ודיכוי חיסוני). ההתייצגות הקלינית והתמונה ההדמייתית דומות בכל המקרים. המנגנון המוצע מתחיל בתאי אנדותל אשר משופעלים במנגנונים שונים [ציטוקינים (Cytokines), תאי T ונזק ישיר של חומרים טוקסיים] כתוצאה מהתהליך הסיסטמי.
בשל הפרעה בתפקוד האנדותל נגרמת ואזוקונסטריקציה שגורמת להיפופרפוזיה ואיסכמיה, תאי האנדותל מתנפחים, יש פגיעה בקפילרות וזליגה של חלבון מחוץ לכלי הדם - דבר הגורם לבצקת הוואזוגנית. ב- CTA (Computed Tomography Angiography) ו-MRA (Angiography Magnetic Resonance) של המוח בחולי PRES ניתן לראות פגיעה בכלי הדם המתבטאת בהתכווצות והרחבה של כלי דם באופן ממוקד וממצאים נוספים המעידים על פגיעה בתפקוד האנדותל[8].
עובדה נוספת שהודגמה במיפוי SPECT (HexaMethylPropyleneAmine Oxime) Tc99m HMPAO ו-MR perfusion [9] [10] היא שהפיזור ההדמייתי של הבצקת ב-PRES מתאים לפיזור בתבנית של Watershed.
יתכן והתפתחות PRES נגרמת ממעורבות של שני המנגנונים יחדיו; בתחילה פגיעה באנדותל שגורמת לואזוקונסטריקציה, היפופרפוזיה, איסכמיה, פגיעה בדופן קפילרות ובצקת, ובהמשך עלייה בלחץ הדם כתוצאה מתהליכים דומים ברמה המערכתית הגורמים במנגנון האוטורגולציה המוחי לוואזוקונסטריקציה נוספת וכך להחמרה בהיפופרפוזיה ואיסכמיה.
מנגנון משולב זה יכול להסביר את ההשפעה המיטיבה של הורדת לחץ הדם על הקליניקה ועל השיפור ההדמייתי המהיר, על אף שהסיבה הבסיסית המוצעת במנגנון התת פרפוזיה אינו יתר לחץ דם[6].
השפעה סיסטמית
בחלק גדול מהחולים המציגים תמונה של PRES התהליכים שתוארו, הכוללים פגיעה באנדותל ושינויים בדופן כלי הדם, מתרחשים לא רק במוח אלא בכל מערכות הגוף. עובדה זו יכולה להסביר את העלייה בתפקודי הכבד במקרים מסויימים, את עליית לחץ הדם הסיסטמי, הפרעות קרישה וכדומה.
קליניקה
בסקירה של 36 חולים (הגדולה שנעשתה עד 2008[11]) הייתה הסתמנות קלינית של פרכוסים (87 אחוזים), Encephalopathy (92 אחוזים) , הפרעות ראייה (39 אחוזים) וכאבי ראש (53 אחוזים).
לחץ הדם הסיסטולי הממוצע היה 187 ממ"כ והתסמינים הקליניים חלפו בממוצע לאחר 5.3 ימים.
אבחנה
תמונה הדמייתית
התמונה ההדמייתית האופיינית ב- CT או Magnetic Resoance Imaging) MRI) היא של בצקת מוקדית סימטרית. האונות האוקסיפיטליות (Occipital) והפריטאליות (Parietal) הן המעורבות בשכיחות הגבוהה ביותר ואחריהן האונה הפרונטאלית (Frontal), החלק התחתון של החיבור בין האונה הטמפוראלית (Temporal) והאוקסיפיטאלית ולבסוף הצרבלום (Cerebellum).
הממצא האופייני ב-MRI הוא היפראינטנסיות (Hyperintensity) ברצף T2 הנגרמת כנראה בשל בצקת ואזוגנית תת-קליפתית של החומר הלבן. ממצאים פתולוגיים בולטים אף יותר ברצף FLAIR (Fluid Attenuated Inversion Recovery) אשר מאפשר להבחין בשינויים עדינים.
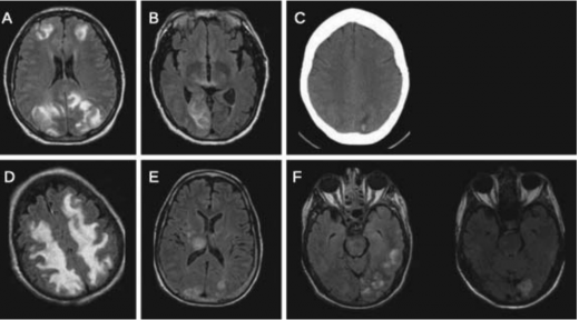
בנוסף, שימוש ברצפי Diffusion-Weighted Imaging) DWI) ו-Apparent Diffusion Coefficient) ADC), עוזר להבדיל בין בצקת ואזוגנית, שהיא המרכיב המשמעותי ב-PRES, לבין בצקת ציטוטוקסית (Cytotoxic) שמאפיינת נזק מוקדי איסכמי (תמונה 1).
בבצקת ואזוגנית שהיא המרכיב העיקרי ב-PRES, האזורים ההיפראינטנסיים ב-T2 מתאימים ב-DWI לאזורים היפראינטנסיים או איזואינטנסיים (Isointense). ב-ADC אזורים אלה יראו גם הם בהירים יותר, בניגוד לנזק איסכמי (המבטא בצקת ציטוטוקסית) בה יראו אזורים אלה ב-ADC כהים.
רוב הנגעים ב-PRES לא עוברים האדרה עם גדוליניום (Gadolinium). האדרה באזורים ההיפראינטנסיים ב-T2 תתכן בחולים בודדים ויכולה להעיד על דינמיות של הנגעים וחומרתם וקשורה גם לפרק הזמן שחלף מאז תחילת התסמינים.
רזולוציה (Resolution) מלאה של ממצאי ההדמיה נחשבת כמעט כהגדרה של התסמונת על אף שלא ברור התזמון המיטבי לביצוע הדמיית ביקורת (תמונה 2), אך היא מתרחשת כנראה בין פרק זמן של ימים בודדים עד שבועות [11], [2]. על אף התמונה המתוארת כאופיינית, קיימים מקרים רבים בהם ההדמיה אינה תואמת את תיאור זה. תוארו מקרים עם מעורבות קדמית משמעותית. יש גם מקרים מתועדים של מעורבות קורטיקאלית (Cortical), נזקים בלתי הפיכים נקודתיים, דימומים לתוך נגעים ומעורבות חד צדדית (תמונה 3).
במקרים אחרים נצפית מעורבות של גזע המוח וכן של גרעיני הבסיס. במקרים בהם מעורבות זו משמעותית, תתכן התפתחות Hydrocephalus ולחץ על גזע המוח[11] , [2] , [12].
אזורים של רסטריקציה (Restriction) ב- DWI (המצביעים, קרוב לוודאי, על בצקת ציטוטוקסית), אינם שכיחים (26-11 אחוזים) ויתכן וקשורים לפרוגנוזה גרועה.
טיפול
הטיפול כולל הורדת לחץ הדם, הפסקה או הפחתה משמעותית של הגורם החשוד וטיפול בפרכוסים. הטיפול המתאים צריך להנתן במסגרת טיפול נמרץ.
לגבי לחץ הדם - מומלץ להוריד ללחץ ממוצע של 125-105 ממ"כ ולא יותר מ-25 אחוזים בשעה הראשונה[13].
פרוגנוזה
הפרוגנוזה של PRES טובה מאוד ורוב החולים משתפרים קלינית והדמייתית עוד במהלך שהותם בבית החולים. יחד עם זאת, אבחנה מהירה והתחלת טיפול הם בעלי משמעות גבוהה משום שלמרות היות התסמונת הפיכה בדרך כלל, ללא אבחנה וטיפול מהירים יתכנו סיבוכים משמעותיים כגון איסכמיה, בעיקר באזורים אחוריים בפיזור Watershed, בין אזורים המקבלים אספקת דם מה- Middle cerebral artery וה-Posterior cerebral arteries. כמו כן יכולים להופיע דימומים, Status epilepticus וכן סיבוכים מאוחרים כגון אפילפסיה מוקדית שיכולה להתפתח שבועות, חודשים ואף שנים לאחר האירוע החריף[13] , [14] , [15].
ביבליוגרפיה
- ↑ 1.0 1.1 Hinchey J, Chaves C, Appignani B et al., N Engl J Med, 1996;334, 494
- ↑ 2.0 2.1 2.2 2.3 2.4 Bartynski WS, AJNR, 2008;29, 1036
- ↑ 3.0 3.1 Wu Q, Marescaux C, Wolff V. et al., Eur Neurol, 2010;64, 169
- ↑ 4.0 4.1 Bartynski WS, AJNR, 2008;29, 1043
- ↑ Kaplan NM, Lancet, 1994;344, 1335
- ↑ 6.0 6.1 Servillo G, Bifulco F, De Robertis E, et al., Intensive Care Med, 2007;33, 230
- ↑ Bartynski WS, Boardman JF, AJNR, 2008;29: 447
- ↑ Ito T, Sakai T, Inagawa S, et al., AJNR, 1995;16, 1344
- ↑ Bartynski WS, Grabb BC, Zeigler Z, et al., J CAT, 1997;21, 872
- ↑ Engelter ST, Petrella JR, Alberts MJ, et al., Am J Roentgenol 1999;173, 1491
- ↑ 11.0 11.1 11.2 Lee VH, Wijdicks EF, Manno EM, Rabinstein AA, Arch Neurol, 2008;65, 205
- ↑ Kitaguchi H, Tomimoto H, Miki Y et al., Neuroradiology, 2005;47,652
- ↑ 13.0 13.1 Servillo G, Bifulco F, De Robertis E, et al., Intensive Care Med, 2007;33, 230
- ↑ Roth C, Ferbert A, J Neurol Neurosurg Psychiatry, 2010;81, 773
- ↑ Fugate JE, Claassen DO, Cloft HJ, et al., Mayo Clin Proc, 2010;85, 427
קישורים חיצוניים
המידע שבדף זה נכתב על ידי ד"ר אבי גדות, המחלקה לנוירולוגיה, המרכז הרפואי תל אביב

כניסה
עקבו אחרינו בפייסבוק