בקע סרעפתי מולד - Congenital diaphragmatic hernia
| עקרונות בכירורגיה | ||
|---|---|---|
| שם המחבר | ד"ר צבי קויפמן | |
| שם הפרק | בקעים | |
לערכים נוספים הקשורים לנושא זה, ראו את דפי הפירושים: – בקע,בקע סרעפתי
בקע על-שם Bochdalek - Bochdalek hernia
בקע זה שכיח בתינוקות. הוא נוצר כתוצאה מהפרעה באיחוי עלי הסרעפת בחלקה האחורי-צדדי. בתינוקות החלק האחורי הזה נסגר אחרון ונקרא תעלה פלאורופריטוניאלית (צדרית-צפקית) או נקב על-שם Bochdalek (איור 39.13). בתחילה עשויים קפלים אלה ממברנות צדריות-צפקיות, ובשלב מאוחר יותר צומחים לתוכן סיבי שריר ואלה יוצרים את ההפרדה המוחלטת בין החזה לבטן. אם התעלה אינה מכוסה בממברנות יימצא בקע ללא שק. אולם אם הכישלון נובע מהתפתחות השרירים לתוך הממברנות יימצא בקע עם שק. כתוצאה מאי-סגירת הפתח האחורי-צדי הזה חודרים המעיים לבית החזה, וכתוצאה מכך הריאה בצד הפגוע אינה מתפתחת ונשארת היפופלסטית. הבקע שכיח יותר בצד שמאל אולם קיימים גם בקעים דומים בצד ימין.
תסמינים קליניים
התסמונת הקלינית תלויה במסת האיברים שעברו הרניאציה לתוך החזה. אם כי האי-ספיקה הנשימתית יכולה להופיע כבר בלידה, בדרך כלל התסמינים מופיעים שעות לאחר הלידה או מאוחר יותר, לאחר שהיילוד בולע אוויר ומזון, הגורמים להרחבת המעיים הנמצאים בבית החזה. כתוצאה מכך היילוד מתקשה בנשימה: הוא נושם מהר (טכיפנאי), מתאמץ בנשימה וכחול. בבית החזה הפגוע לא ניתן לשמוע קולות נשימה, בניקוש ניתן לשמוע עמימות והקנה דחוק לצד הבריא. בצילום חזה ניתן לראות לולאות מעי בחזה. ממצא דומה אפשר לראות ב-CT חזה (תמונה 3.13 )
אבחנה מבדלת
האבחנה המבדלת היא ממחלות דלקתיות שונות של הריאה, כיסיות בריאה, דופליקציות, חזה אוויר, אמפיזמה לוברית ואנומליות אחרות. כדי להבדיל בין המצבים האלה צריך לצלם את היילוד לאחר מתן חומר ניגוד.
הטיפול
יילודים אלה הם בסכנה מיידית ולכן יש לנתחם באופן דחוף. הכנת היילוד היא קצרה וכוללת מתן נוזלים לווריד, הכנסת זונדה לקיבה, ואם יש צורך - הנשמת היילוד. יש להקפיד לא להנשים את היילוד בכוח, על מנת לא לפוצץ את הריאה הבריאה. יש לשים לב להופעת חזה אוויר בצד הבריא, מכיוון שהופעתו ללא הכנסת נקז טורקלי באופן מיידי תביא למותו של הילוד.
הגישה היא דרך הבטן. גישה זו מאפשרת גם תיקון של אנומליות אחרות בבטן באותו הזמן. בניתוח מוציאים את המעי מחלל בית החזה. לעתים קשה להוציא את האיברים עקב הלחץ השלילי בבית החזה ואז יש להכניס צנתר לתוך השק על מנת לשחרר את התת-לחץ שבשק, ולאחר מכן להוציא את תוכנו. לאחר הוצאת התוכן יש לכרות את השק אם הוא קיים. תיקון הפגם בסרעפת יכול להתבצע על-ידי תפירתו בעזרת תפרים שאינם נספגים. בפגמים גדולים, שלא ניתן לסגור באופן ראשוני, אפשר להשתמש בטלאי סינתטי או במתלה של חיתולית (פסציה, Fascia) וצפק מדופן הבטן הקדמית. את הניתוח מסיימים על-ידי פיום הקיבה (גסטרוסטומיה), המאפשרת דקומפרסיה טובה של המעי. בחלק מהיילודים המעי כה מנופח שלא ניתן לסגור את דופן הבטן על המעי. במקרים אלה יש צורך ליצור בקע ונטרלי ובכך להפחית את הלחץ התוך-בטני ואת המצוקה הנשימתית.
לאחר הניתוח, אם נשאר השק הצפקי בחלל החזה, עלולה להתפתח כיסית בבית החזה, שתטופל על-ידי ניקור עד חיתוכה. חזה האוויר שנוצר לאחר הניתוח בבית החזה הנגוע נעלם במשך הזמן, בד-בבד עם התפתחות הריאה. נוזלים בפלאורה דורשים לפעמים שאיבות חוזרות.
הטיפול הבתר-ניתוחי ביילודים אלה חייב להיות אינטנסיבי ביותר ודורש המשך הנשמה וטיפול בחמצת המטבולית שממנה הם סובלים. שיעור התמותה של תינוקות אלה הוא כ-20%-12%. שיעור זה גבוה יותר אם האבחנה מתבצעת בימים הראשונים לאחר הלידה.
בקע בפתח על-שם Morgani - Morgagni hernia
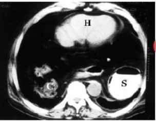
בקע זה נחשב לפגם מולד, אולם הוא מופיע בעיקר במבוגרים. הבקע הזה מופיע מאחורי עצם החזה (סטרנום) משני צדדיו. בקעים אלה מתגלים בדרך כלל באורח מקרי בצילומי חזה, כגושים במדיאסטינום האמצעי התחתון. בטומוגרפיה ממוחשבת ניתן לראות את אברי הבטן מאחורי הלב ובצדדיו (תצלום 3.13).
תסמינים קליניים
בדרך כלל התלונות של חולים אלה, באם קיימות, אינן ספציפיות וכוללות תסמינים שונים ממערכת העיכול. האבחנה מתבצעת בצילום חזה קדמי וצדי, שבו רואים נוזל ואוויר בבית החזה התחתון בחלקו הקדמי. מתן חומר ניגוד לפני הצילום מסייע לאבחנה.
טיפול
הטיפול הוא ניתוחי. הגישה הניתוחית היא דרך חתך בטני עליון, זיהוי הבקע, הוצאת תוכן הבקע על-ידי משיכתו, כריתת השק הצפקי וסגירת הפגם בסרעפת על-ידי תפירתו הישירה.
אבנטרציה של הסרעפת - Diaphragm eventration
הרפיה חד צדדית של הסרעפת, הנובעת מפגם מולד או נרכש כמו חבלה לעצב הפרני ולסרעפת. האבנטרציה של הסרעפת גורמת לתסמינים קליניים, בעיקר עקב הפרעה באוורור הריאתי.
תסמינים קליניים
בתינוקות התסמינים מתבטאים במצוקה נשימתית, שלא ניתן להבדילה מתסמינים הנגרמים על-ידי בקעים אחרים. במבוגרים, כאשר הרזרבה הריאתית פוחתת עם הגיל והלחץ התוך-בטני עולה עקב השמנה, החולה מתחיל להתלונן על מצוקה נשימתית ובצילום חזה שמתבצע בעקבות תלונות אלה ניתן לראות הרמה חד-צדדית של הסרעפת.
הטיפול מומלץ בתינוקות הלוקים בתסמונת המצוקה הנשימתית, או במבוגרים סימפטומטיים מאוד. הניתוח יכול להתבצע בגישה בטנית או חזית, כאשר הניתוח המקובל הוא פליקציה של הסרעפת, כלומר, קיפול הסרעפת ותפירת הקפל.
קרע הסרעפת — ראה סקירה בפרק חבלות.
ראו גם
- לנושא הקודם: בקע פנימי - Internal hernia
- לנושא הבא: דליות האשך - היבטים כירורגיים - Varicocele - surgical aspects
- לתוכן העניינים של הפרק
- לתוכן העניינים של הספר
- לפרק הקודם: כירורגיה של השד
- לפרק הבא: כירורגיה של הבלוטות האנדוקריניות
המידע שבדף זה נכתב על ידי ד"ר צבי קויפמן, מומחה בכירורגיה, מנהל היחידה לבריאות השד, מרכז רפואי מאיר, כפר סבא

כניסה
עקבו אחרינו בפייסבוק 