בקע סרעפתי - Hiatal hernia
עקרונות בכירורגיה
מאת ד"ר צבי קויפמן
| עקרונות בכירורגיה | ||
|---|---|---|
| שם המחבר | ד"ר צבי קויפמן | |
| שם הפרק | כירורגיה של הוושט | |
לערכים נוספים הקשורים לנושא זה, ראו את דפי הפירושים: – בקע, בקע סרעפתי
אנטומיה
דופן הסרעפת האחורית יוצרת את השוק (Crus) הימני. סיבי השוק יוצרים מעין צורת V , המקיפה את הוושט, ויוצרים לולאה של סיבי שריר סביבה. הפתח הנוצר גודלו 2.5 ס"מ, ובתוכו עובר הוושט באלכסון. מאחוריו נמצא אבי העורקים (איור 2.1-13, 2.1-14, 2.1-15).
| 1. העצבים הגרוניים החוזרים (Recurrent laryngeal) | 2. עורק הצוואר הראשי (Carotid) | 3. וריד עלום השם (Innominate) | 4. עצבי התועה (Vagus) |
| 5. קשת הוותין | 6. סימפון שמאלי | 7. צדר (Pleura) | 8. הוותין חזית יורדת |
| 9. וושט חזית | 10. צדר של המיצר | 11. קרום הלב (פריקרד) | 12. סרעפת |
| 13. וושט בטנית | 14. קיבה | 15. Crus of diaphragm | 16. וריד נבוב תחתון (Inferior vena cava) |
| 17. מקלעת עצבי התועה | 18. סימפון | 19. וריד האזיגוס (Azygose) | 20. קנה הנשימה (טרכיאה) |
| 21. העצבים התועים | 22. עורק עלום השם | 23. עורק הצוואר המשותף |
מבחינה אנטומית, קיימות צורות שונות של ההיאטוס. ב-40% סיבים מהשוק (Crus) השמאלית משתתפים ביצירת ההיאטוס, וב-10% מוצאם מהשוק השמאלית בלבד. לרוב, סיבי השוק יוצאים מהחוליות המותניות 1 עד 4. ההיאטוס מתכווץ בזמן שאיפה בתגובה לגירוי העצב הסרעפתי. בה בעת יורדים הסרעפת וההיאטוס כלפי מטה ומקטינים את זווית הכניסה שבין הוושט לפונדוס הקיבה. ברוב המקרים קיים ושט תוך-בטני קצר. הוושט נכנס לקיבה בעקומה הקטנה משמאל בצורה אלכסונית, והזווית בין הדופן השמאלית של הוושט לבין הדופן הימנית של פונדוס הקיבה נקראת הזווית על-שם Hiss. בזמן עליית הלחץ בפונדוס הוא לוחץ על הוושט ונוצר מעין מכניזם של מסתם.
הוושט התחתון מוחזק בצורה רופפת בהיאטוס על-ידי הרצועה הסרעפתית-וושטית (פרנואזופגיאלי), המורכב מסיבים של החיתולית הרוחבית (פציה טרנסוורסליס) והחיתולית התוך-חזית (Endothoracic fascia). האחיזה (אינסרציה) של הרצועה היא רחבה, 5-3 ס"מ על הוושט, יותר בחלק החזי מאשר בחלק הבטני. סיבים אלה הם המשך של הרקמה הפיברואלסטית של החיתולית (פציה) התוך-שרירית בוושט. רצועה זו מאפשרת יחס דינמי בין הוושט לסרעפת בזמן התקצרות הוושט או התארכותו עקב גלי הניע.
פיזיולוגיה של ה- Gastroesophageal junction
הלחץ בתוך הוושט הוא אטמוספרי. בבית החזה הלחץ הוא שלילי ובקיבה הוא גבוה מהלחץ האטמוספירי. הסרעפת מפרידה בין הקטע שבו הלחץ יורד בזמן שאיפת אוויר - ושט חזי - לבין הקטע שבו הלחץ עולה - הוושט הבטני. נקודה זו נקראת נקודת היפוך הלחץ (Pressure inverion point). מצב זה מחייב קיום מנגנון אשר ימנע את הגעת המזון חזרה לוושט. לצורך זה משמשים כמה מנגנונים:
- הכניסה האלכסונית של הוושט לקרדיה (פי הקיבה), היוצרת את הזווית על-שם Hiss, הקטנה בזמן נשימה. נראה שלמנגנון זה תפקיד משני בלבד.
- במדידות הלחצים בתוך הוושט ניתן למצוא חגורת לחץ מוגבר באורך של כ-3.5 ס"מ בוושט התחתון. בחגורה זו הלחץ הוא תמיד גבוה בלא תלות במחזור הנשימה, והוא מוגדר כסוגר הפיזיולוגי. בזמן בליעה, בניגוד לשאר הוושט, קטע זה מורפה.
חומציות יתר בוושט גורמת להתכווצות הסוגר, בעוד שבסיסיות מרפה אותו, וזאת נוסף על ההשפעות ההורמונליות ומערכת העצבים האוטונומית שעליהם דווח (טבלה 1.1).
| מפחיתי לחץ ב-EGJ | מגבירי לחץ ב- EGJ |
|---|---|
| 1. תרופות אדרנרגיות (Beta-adrenergic) | 1 .Pramin |
| 2. תרופות אנטיכולינרגניות (Anticholenergic) | Urocholin .2 |
| 3. חוסמי Ca++ (Nitrate, Nifedipine) | 3. גסטרין |
| 4. סקרטין | 4. חומצה |
| 5. כולציסטוקינין | 5. תרופות אלפא-אדרנרגיות |
| 6. חומרים בסיסיים | 6. חלבונים |
| 7. שוקולד, מנטה, שומנים, קפאין ואלכוהול | 7. גלוקגון |
| 8. עישון | 8. וזופרסין |
| VIP, GIP .9 | 9, פרוסטגלנדין |
| Motilin .10 | Theophylline .10 |
| 11. פרוסטגלנדין E1 |
* חיבור וושטי-קיבתי (Esophagogastric junction)
הבקעים הסרעפתיים נחלקים לשני סוגים:
- בקע פארא-וושטי (Paraesophageal) (איור 21.1).
- בקע גולש (Sliding) (איור 22.1).
בקע פארא-וושטי - Paraesophageal hernia
בקע זה מלווה בהרחבה ניכרת של ההיאטוס, וכך בזמן עליית הלחץ התוך-בטני, נדחפת קרקעית (פונדוס) הקיבה דרכו לבית החזה, עטופה בצפק. לעתים כמעט כל הקיבה נכנסת דרך ההיאטוס לבית החזה, ורק האנטרום (מערת השוער) והפילורוס (השוער) נותרים בבטן כשהפילורוס והקרדיה סמוכים זה לזה, מצב הנקרא קיבה הפוכה. הוושט נשארת בדרך כלל במקומה בחזה ובבטן.
תסמינים קליניים
התסמינים הקליניים נובעים מהפרעות מכניות. מזון היורד בוושט נכנס לקיבה בחזה ומנפח אותה. הדבר גורם לכאבים בחזה, בדומה לכאבים של תעוקת חזה. אלה מתגברים בזמן האכילה, ולכן החולים מפסיקים לאכול, יורדים במשקל ומגיעים לתת-תזונה. ממצאים אלה אופייניים במיוחד בנשים מבוגרות. לא תימצא בחולים אלה עדות לדלקת וושט (אזופאגיטיס), מכיוון שמנגנון הסוגר קיים. הוושט נשארת בדרך כלל במקומה בחזה ובבטן.
לעתים סיבוכי הבקע הם הסיבה לפניית החולה לרופא. לפעמים נמצא כליאה של הבקע בבית החזה, שבעטיו הקיבה מתמלאת אוויר ואינה יכולה לשחררו, ולכן היא מתנפחת, והלחץ בתוכה עולה, דבר הגורם להפרעה באספקת הדם לדופן. החולה יסבול מהקאות דמיות או מדלקת מיצר (מדיאסטיניטיס), עקב התנקבות הקיבה. לעתים נוצרים כיבים עיכוליים (פפטיים) בקיבה הכלואה כרונית, ואלה עלולים לדמם בקצב איטי אך מתמיד ולגרום לאנמיה, המתבטאת בחולשה, בעייפות, בסחרחורות וכו'. דמם חד מכיבים פפטיים עלול לגרום להקאות דמיות ולשחרה (Melena). אנמיה עקב דימום מרירית הקיבה היא התסמין השכיח ביותר, ולאחריו פתלת (Volvulus) של הקיבה.
אבחנה
האבחנה נקבעת על-פי הסיפור הקליני והתמונה הרנטגנית.
- בצילום חזה אפשר לראות צל מאחורי הלב, המשקף את שק הבקע
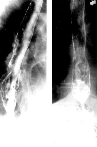
- בבליעת בריום אפשר להוכיח שאכן הצל הוא פונדוס הקיבה (תצלום 11.1)
- טומוגרפיה ממוחשבת (CT) בטן היא בדיקת הבחירה היא מאפשרת לנו לראות את הבקע את גודלו מיקום הוושט ביחס לקיבה, אספקת הדם לקיבה האם נפגעה או לא.
- אזופאגוסקופיה (תצפית וושט) לרוב אינה מוסיפה לאבחנה, אך יכולה להצביע על קיומם של כיבים בקיבה או על שינויים בוושט המתאימים לדלקת וושט הנובעת מאי-ספיקת הסוגר.
טיפול
הטיפול בחולים אלה הוא כירורגי. הגישה היא דרך חתך אמצעי עליון בבטן. לאחר פתיחת הבטן, לעתים קרובות, מוצאים את הכרכשת הרוחבית מונחת מתחת לסרעפת, לאחר שנמשכה לשם על-ידי הקיבה והרצועה בין הקיבה למעי הגס (Gastrocolic ligament). לאחר חשיפת הקיבה מושכים את הקיבה מתוך ההיאטוס חזרה לבטן. לעתים קשה למשוך את הקיבה, ואז יש להרחיב את ההיאטוס ולהפריד הידבקויות בין הקיבה לשק השבר ולסרעפת.
לאחר הוצאת הקיבה יש להוציא את השק הצפקי המלווה את הקיבה ולכורתו. השארת השק עלולה ליצור כיס נוזלים במדיאסטינום האחורי. לאחר פעולות אלה סוגרים את ההיאטוס מחדש על-ידי תפרים בחוט שלא נספג. יש להוסיף גם קיבוע של האזור הוושטי-קיבתי על-ידי תפירתו לקשת האמצעית (Median arcuate) (איור 23.1).
הכנסת הגישה הלאפרוסקופית לכירורגיה הפכה גישה זו לגישת הבחירה בטיפול בבקע הפארא-וושטי. צורת התיקון של הבקע בגישה הלאפרוסקופית דומה לגישה הפתוחה. יתרון של הגישה הלאפרוסקופית הוא בכך שהחולים חשים פחות כאבים, נרשמו פחות סבוכים ריאתיים והחולים יכולים להשתחרר מוקדם יותר מבית החולים.
פרוגנוזה
תוצאות הניתוחים הללו הן טובות, והחזרות הן נדירות.
בקע סרעפתי גולש - Sliding hiatal hernia
בקע סרעפתי גולש הוא תופעה שכיחה, הגורמת לתחלואה רצינית, אך בניגוד למצופה אין כל הקבלה בין גודל הבקע ומשך קיומו לבין התסמונת הקלינית. יתר על כן, ייתכן בקע סרעפתי גדול בלא תסמונת קלינית ולעומת זאת בקע קטן, שלעתים אינו ניתן להדגמה רנטגנית, אבל גורם לתסמינים קשים. מעריכים שלכ-20% מהלוקים ברפלוקס וושטי אין כלל בקע סרעפתי. כיום ידוע שהבקע הסרעפתי אינו מחלה, אלא אם כן הוא מלווה בהפרעות פיזיולוגיות בתפקוד הסוגר הוושטי התחתון.
פתופיזיולוגיה
כידוע, אזור החיבור בין הוושט לקיבה אינו רק אזור של מעבר מרירית לאפיתל שטוח רב-שכבתי, אלא גם אזור תפקוד חשוב, הפועל כמסתם האטום לזרם חוזר מהקיבה, וכשסתום היכול להיפתח לשני הכיוונים ומאפשר מעבר מזון ושחרור גזים המצטברים בקיבה.
פעולה זו מתאפשרת הודות להיותו מסתם פיזיולוגי המבוקר על-ידי גורמים רבים. בעבר סברו שהזווית שבין הוושט לקיבה (זווית על-שם Hiss) סוגרת את פתח הוושט בזמן שהקיבה מתנפחת, ולכן ככל שהיא חדה יותר, היא אטומה יותר. תיאוריה זו נזנחה כיום, לאחר שהוכח שבחולים שבהם הזווית מצויה בבית החזה, עקב הבקע הסרעפתי, אין רפלוקס, וכן התנפחות הקיבה גורמת לפתיחת הזווית ולא לסגירתה. כיום מקובלת הדעה, שהוכחה בבדיקות מנומטריות, כי קיים מסתם פיזיולוגי בחלק התחתון של הוושט, שאין דרך להדגימו מבחינה אנטומית, אך הוא אחראי למניעת הרפלוקס. המסתם הזה פועל ביעילות כאשר הוא במקומו, בבטן, ויעילותו פוחתת כאשר מיקומו בבית החזה, אבל גם במצב זה הוא פעיל ומונע במקצת החולים את הרפלוקס. זרם חוזר (רפלוקס) זמני וקצר יכול להופיע בבני אדם בריאים לחלוטין. אמנם מיצי הקיבה והמרה הם בעלי השפעה הרסנית על הוושט, אך אם אלה אינם משתהים בוושט, אלא נדחפים במהירות על-ידי ניע הוושט חזרה לקיבה, אין הם מספיקים לגרום נזק.
מכאן שמהירות פינויו של תוכן הרפלוקס ועוצמת הסגירה של אזור הלחץ הגבוה, הנוצר על-ידי הסוגר הפיזיולוגי, הן המרכיבים החשובים בהיווצרות דלקת הוושט עקב רפלוקס. מתברר שרק ב-25% מהחולים, שבהם הודגם רפלוקס באופן רנטגני, מתפתחת דלקת הוושט. נמצא שבחולים שבהם הרפלוקס הנמדד בלילה היה קצר מ-15 דקות, בערכי pH של 4-1, הייתה התגובה הדלקתית קלה בלבד. לעומת זאת, בחולים שבהם נמשך הרפלוקס יותר מ-60 דקות הייתה דלקת קשה, ואלה היו החולים שפיתחו כיבים בוושט.
פינוי החומצה והמרה מהוושט תלוי בניע הוושט. בנוכחות רפלוקס ודלקת הוושט נמצאה הפרעה בדרגות שונות בניע הוושט. לאכילה, לשתייה ואף לבליעת רוק נודעת חשיבות ממתנת ומנטרלת של החומצה, ולכן הבעיה קלה יחסית בשעות היום. בלילה, השפעת הרפלוקס מחמירה ומתמשכת וכן הנזק, מאחר שהחולה שוכב, אינו אוכל ואינו שותה, וכמות הרוק שהוא בולע קטנה.
בדיקות מנומטריות הראו שבחולים בעלי רפלוקס הלחץ במסתם התחתון ירד לפחות מ-10 מ"מ כספית. בלחצים גבוהים יותר אין כמעט רפלוקס לאורך זמן. כאשר הלחץ יורד לפחות מ-10 מ"מ כספית, התגובה של הסוגר התחתון מופחתת ואיטית בצורה ניכרת בעקבות עלייה בלחץ התוך-קיבתי.
רפלוקס של חומצה מן הקיבה לוושט הוא מצב פתופיזיולוגי שכיח מאוד. 7% מן האוכלוסייה הכללית לוקים בצרבת יום-יום, ו-36% לוקים בתסמין זה פעם בחודש.
הרפלוקס ניתן למדידה על-ידי אלקטרודות pH (ריכוז יוני המימן) המוחדרות דרך הנחיר לתוך הוושט ומקובעות 5 ס"מ מעל הסוגר הוושטי התחתון. האלקטרודות מחוברות לרשם pH הקולט את שינויי ה-pH במשך 24 שעות. ה-pH התקין בוושט הוא 6-5. רפלוקס מוגדר כ-4 pH לכל היותר. בבני אדם בריאים בניטור ה-pH במשך 42 שעות רצופות נצפים אירועים של רפלוקס. ניתן לחשב את הזמן שבו היה ה- pH בוושט נמוך מ-4, מספר האירועים של רפלוקס, משך פינוי החומצה מן הוושט (הזמן שה-pH ירד מתחת ל-4 ועד לנקודה שבה עלה מעל 4) ומספר אירועי הרפלוקס הארוכים מ-5 דקות.
הן בבריאים והן בחולי רפלוקס יש כוחות מכניים המניעים חומצה מן הקיבה לוושט, וכוחות הבולמים מעבר זה. פיזיולוגית, הלחץ בוושט בעת שאיפה נע בין 5 ל-10 ממ"כ, בעוד שהלחץ בקיבה באותה עת נע בין 0 ל-5 ממ"כ. מפל לחצים זה של 5 ממ"כ מספיק להנעת תוכן נוזלי מן הקיבה לוושט במנח אופקי. הכוח העיקרי הבולם מעבר חומצה בהתאם למפל הלחצים זה הוא לחץ של 35-15 ממ"כ, הקיים ב-3-2 ס"מ הרחיקניים של הוושט. אזור זה קרוי הסוגר התחתון. פיזיולוגית, יורד הלחץ בסוגר התחתון לרמת הלחץ שבקיבה בזמן בליעה בלבד, כדי לאפשר לבלע לעבור מהוושט לקיבה. בתום הבליעה חוזר הלחץ בסוגר התחתון לרמתו שלפני הבליעה.
מדידת הלחץ בסוגר התחתון על-ידי שליפת הצנתר מן הקיבה לוושט גילתה חולי רפלוקס רבים שבהם הסוגר התחתון בעל רמת לחץ תקינה. לא הייתה אפשרות להסביר תופעה זו, כל עוד לא נמדדה רמת הלחץ בסוגר התחתון באופן ממושך.
אפשר למדוד את הלחץ המרבי בסוגר התחתון לאורכו במשך שעות רבות. אפשר למדוד גם בו-זמנית את ה-pH בוושט הרחיקני ולחשוף את מנגנוני הרפלוקס בבריאים ובחולי רפלוקס. בבריאים המנגנון הבלעדי לרפלוקס הוא רפיון חולף של הסוגר התחתון. רפיון עצמוני זה, אינו מתרחש בזמן בליעה ונמשך 30-5 שניות. אם הלחץ בסוגר התחתון יורד ל-4 ממ"כ או פחות, הרפיון הוא מוחלט. אם הלחץ גבוה מ-4 ממ"כ, הרפיון אינו מלא. רפלוקס ייתכן רק בזמן רפיון מלא. בבריאים הרפלוקס תדיר יותר לאחר ארוחות מאשר לאחר צום.
בחולים הלוקים ברפלוקס נמצאו עוד 3 מנגנונים לרפלוקס. הראשון קרוי Stress reflux: הלחץ בסוגר התחתון נמוך ונע בין 5 ל-10 ממ"כ יחסית ללחץ בקיבה. בעליית פתאום חולפת של הלחץ התוך-בטני עולה הלחץ בקיבה מעל זה של הסוגר התחתון וגורם למעבר חומצה לוושט. מנגנון שני מכונה רפלוקס חופשי: הלחץ בסוגר התחתון הוא 0 יחסית לקיבה. רפלוקס קורה בלא עליית לחץ בקיבה, אלא לפי מפל הלחצים הפיזיולוגי של 5 ממ"כ הקיים בין הקיבה לוושט. מנגנון שלישי לרפלוקס הוא זה המתגלה בזמן שאיפה עמוקה. זו גורמת לירידת לחץ בבית החזה, בוושט ובסוגר התחתון, בעוד שהלחץ התוך-בטני ובקיבה עולים. בשניות אלו ייתכן מעבר חומצה לוושט. ב-20% מאירועי הרפלוקס בחולים אין אפשרות לזהות מנגנון כלשהו.
בחולי רפלוקס קלים, כמעט כל אירועי הרפלוקס קורים בגלל רפיון חולף של הסוגר התחתון. בחולי רפלוקס קשים עד 23% מאירועי הרפלוקס קורים בגלל רפלוקס חופשי. הסיבה לרפיון הסוגר התחתון אינה ברורה. כיום משערים שמתיחת הדופן הקריבנית של הקיבה על- ידי מזון או אוויר מגרה קולטנים מכניים, ואלה מפעילים רפלקס ואזו-וגאלי על מרכזים במוח הגורמים לרפיון חולף של הסוגר התחתון.
תסמינים קליניים
בפי רוב החולים אין כל תלונות. לאלה שיש, התלונות הן שונות ונובעות מדלקת הוושט בגלל רפלוקס.
- 90% מהחולים מתלוננים על צרבות: הצרבת יכולה להחמיר בתנוחות מסוימות, בפעילות גופנית או בשכיבה, ובייחוד לאחר ארוחות גדולות בערב. לכן מקצת החולים מעדיפים לפעמים לישון בישיבה.
- למקצת מהחולים תלונות על כאבים חדים, דוקרים או עמומים, לרוב מיד לאחר הארוחה, ותלויים בכמות האוכל שאכלו. ככל שהכמות גדולה יותר, התסמינים חדים יותר. הקלה בכאב לזמן קצר מופיעה לאחר שהחולים בולעים דבר-מה, אפילו רוק או סותרי חומצה.
- רגורגיטציות שכיחות פחות. רק כמחצית החולים סובלים מהן. לרוב, הרגורגיטציות מופיעות לאחר ארוחות כבדות, כאשר החולה שוכב. הרגורגיטציות אינן מכילות שיירי מזון אלא נוזל חמוץ או מר. בנוכחות רגורגיטציות יתבטא גם שיאוף (Aspiration) ועקב כך דלקות ריאה כרוניות.
- דיספגיה (הפרעות בבליעה) אינה שכיחה בשלבים מוקדמים של המחלה - רק 10% מהחולים מתלוננים על כך. הסיבה לדיספגיה היא עווית של הוושט הדלקתי הרחיקני. הדיספגיה מתבטאת לסירוגין, ורק עם החרפת התהליך הדלקתי היא נעשית קבועה. דיספגיה עקב עווית היא בעיקר ביחס לנוזלים. לעומת זאת, הדיספגיה הנגרמת מהיצרות היא ביחס לגודל הבולוס, ומחמירה לאחר שהחולה אוכל בשר או לחם. הדיספגיה לרוב אינה מלווה בכאב, ואילו התמונה של רפלוקס הולכת ונעלמת ככל שהדיספגיה מחמירה.
- דימומים כרוניים נובעים מארוזיות בוושט. נדיר לראות דימום חד מהבקע. שחרה (Melena) שכיחה יותר מהקאות דמיות. אנמיה שמקורה בדימום אינה שכיחה בחולים אלה.
אבחנה
הרפלוקס ודלקת הוושט מודגמים בכמה דרכים:
- צילום ושט לאחר בליעת בריום הוא בדיקה פשוטה ביותר, אך דורש ביצוע נכון על-ידי שיקוף החולה בתנוחות שונות, כולל טרנדלנבורג וכן מאמץ של שיעול או ביצוע תרגיל על-שם Valsalva. דיוקה של שיטה זו אינו גבוה מ-45%-40%, ומידת דיוקה באבחון דלקת הוושט אף פחותה. למרות חוסר המהימנות מומלצת בדיקה זו כצעד אבחנתי ראשוני להערכת מצב הוושט, וכמקור מידע בדבר עיוותים אנטומיים בוושט (תצלומים 12.1 ו-13.1).
- אזופאגוסקופיה (תצפית וושט) היא בדיקה מהימנה, המדגימה את הדלקת בוושט ואת הרפלוקס. לפי המראה האנדוסקופי אפשר לחלק את דלקת הוושט ל-4 דרגות:
- אודם מקומי של הרירית בלבד.
- ארוזיות שטחיות ברירית.
- קיום נוזל דלקתי (אקסודט) ורירית פריכה המדממת בקלות.
- התכייבויות או היצרויות הוושט.
- אי-הדגמת הרפלוקס בזמן הבדיקה אין בה כדי להוכיח דבר-מה.
- בדיקות מנומטריות של הלחצים בוושט מספקות מידע רב-חשיבות על הפיזיולוגיה של הוושט, הן מבחינת הניע הרגיל והן מבחינת פעילות המסתם. לחץ הנמוך מ-10 מ"מ כספית בוושט התחתון מעיד על פעולה בלתי תקינה של הסוגר.
- מדידות ה-pH בוושט מוסיפות מידע חשוב על קיום הרפלוקס, על מידתו ועל משך קיומו, בפרט אם הבדיקה מתבצעת בהתמדה על-ידי אלקטרודות הנשארות בוושט כל הלילה. בדיקה זו, בשילוב בדיקות מנומטריות של הוושט, מאפשרות דיוק מרבי בהערכה של פעולת הוושט ומידת הרפלוקס.
- בדיקת הזלפת-חומצה הייתה בדיקה חשובה בעבר, אבל כיום השימוש בה פחת משום שאינה חד-משמעתית (מבחן ברנשטיין).
- בדיקת פינוי החומצה, זו בדיקה להערכת התפקוד הפריסטלטי של הוושט ויכולתו להתרוקן מתוכן הרפלוקס. הדבר נמדד על-ידי מספר הבליעות הדרושות לשם פינוי החומצה מהוושט. בדרך כלל דרושות עד 4 בליעות כדי לסלק את החומצה בבריאים. המדד לפינוי מאורך הוא יותר מ-10 בליעות.
טיפול
בקע שאינו מלווה בתופעות קליניות אינו דורש כל טיפול. המצב שונה בחולים הלוקים בתסמינים שבהם אובחנו רפלוקס או דלקת וושט, אפילו בהעדר בקע.
טיפול שמרני
הטיפול כולל:
- אכילת ארוחות קטנות ותכופות, הימנעות מאכילה 3 שעות לפני השינה.
- הימנעות מעישון ומשתיית אלכוהול.
- שכיבה ושינה בתנוחה הנוטה לישיבה.
- מתן תרופות מקבוצת חוסמי משאבת המימן (Omeprazole).
- המלצה לחולים שמנים להפחית ממשקלם.
- מתן Pramin (Metoclopramide) המעלה את הלחץ בסוגר התחתון ומשחרר את הלחץ בשוער הקיבה.
- הימנעות מארוחות שומניות, שכן אלה גורמות לסגירת שוער הקיבה ולהרפיית הסוגר התחתון.
טיפול ב-Omeprazole שהיא תרופה מקבוצת חוסמי משאבת המימן, במשך 12 שבועות מביא לריפוי מלא ב-75% מהחולים הסובלים מדלקת וושט בינונית, וב-50% מחולי דלקת וושט קשה. לאחר 6 חודשים מהפסקת הטיפול ב-80% מהחולים תחול הישנות המחלה.
מרבית החולים מגיבים היטב לטיפול השמרני ואינם נזקקים להתערבות כירורגית. כ-20% מהחולים אינם מגיבים לטיפול השמרני או מפתחים סיבוכים, כגון היצרויות או כיבים הדורשים התערבות ניתוחית.
טיפול ניתוחי
לפני הניתוח יש לבצע בכל חולה בדיקת מדידת pH בוושט למשך 24 שעות. חולים המאופיינים בחשיפה ממושכת בערכי pH נמוכים מועמדים לניתוח. בכל החולים יש לבצע מנומטריה של הוושט. חולים שבהם לחצים נמוכים אינם מועמדים לניתוח מכיוון שיתקשו בהעברת גוש (בולוס) המזון. חולים שתתגלה בהם מנומטריה פתולוגית וחולים בהפרעה מכנית בסוגר התחתון אינם מועמדים לניתוח.
ההוריות להתערבות ניתוחית הן:
- דלקת וושט קשה הכוללת התכייבויות או היצרויות.
- בקע גדול מאוד, שבו מחצית הקיבה ויותר נמצאת בבית החזה.
- היצרויות או הפרעות מכניות קשות.
- דימום חד (נדיר) או כרוני מהוושט, המתבטא באנמיה.
- הקאות או רגורגיטציות ליליות המביאות לסיבוכים ריאתיים.
- כאבים בלתי נסבלים שאינם מגיבים לטיפול שמרני קפדני (שנה של טיפול).
שתי גישות כירורגיות עיקריות רווחות בתיקון הבקע:
- דרך הבטן.
- דרך תורקוטומיה שמאלית.
שיטות רבות תוארו לתיקון הבקע ולמניעת רפלוקס. שני עקרונות מנחים את המנתחים בבחירת סוג הניתוח:
- החזרת החיבור הקיבתי-ושטי לחלל הבטן וקיבועו שם. עיקרון זה מבוסס על בנייה מחדש של אזורי הלחץ המוגבר בוושט התחתון, על-ידי החזרת החלק התוך-בטני של הוושט באורך 5-4 ס"מ, שיהיה מונח במנח אנטומי רגיל ונתון ללחצים גבוהים בתוך חלל הבטן. עיקרון זה יכול להתבצע בכמה דרכים:
- על-ידי תפירת הקיבה לדופן הקדמית של הבטן, כלומר Anterior gastropexy, כמו בשיטת Boerema.
- קיבוע אחורי לקשתות הסרעפתיות ולרצועה הקשתית האמצעית (Median arcuate ligament). כלומר, ביצוע Posterior gastropexy, כמו בשיטת Hills.
הדעות חלוקות בשאלה, כיצד לקרב את השוקיים (Crura) של ההיאטוס. בשיטת Allison נתפרות שוקי ההיאטוס מאחורי הוושט. Collis הראה, כי בשיטה זו נדחק הוושט קדימה ומגדיל את הזווית שבין הוושט לקיבה, לכן הוא ממליץ לתפור את השוקיים לפני הוושט, דבר המחזיר את הוושט למקומו האנטומי בקיר האחורי של חלל הבטן ומקטין את הזווית שבין הוושט לקיבה.
- יצירת מסתם בחיבור שבין הוושט לקיבה על-ידי קיפול קרקעית (פונדוס) הקיבה סביב הוושט התחתון ויצירת מעין שרוול סביב הוושט. השרוול יכול להיות שלם, כלומר 360 מעלות, כמו בשיטת Nissen, או חלקי, בעל 270 מעלות, כמו בשיטת Belsey. הוא יכול להיות ממוקם בחלל הבטן או בבית החזה. מנגנון זה לא זו בלבד שבונה מסתם בחיבור הוושטי-קיבתי, אלא גורם ללחץ מוגבר בוושט התחתון, כל אימת שעולה הלחץ בקיבה.
במרבית החולים הסרת הגורם להתפתחות הדלקת בוושט על-ידי תיקון המסתם ומניעת רפלוקס מביאה בעקבותיה לריפוי הדלקת ולהיעלמות התלונות, אם כי לא תמיד במהירות המספקת את ציפיות החולים. במקרים של דלקת קשה, או היצרויות, התלונות נמשכות תקופה ארוכה לאחר הניתוח, ולעתים חולים אלה נזקקים להרחבות חוזרות של הוושט כדי להתגבר על ההיצרות. בחולים שבהם הניתוח לא פתר את בעיית הרפלוקס נמשכת דלקת הוושט, ומתמיד הסבל הכרוך בכך אף שהבקע חוסל.
Berman מצא בסדרתו שכיחות גבוהה של היצרויות עמידות של השוער בקיבה, ולכן הוא ממליץ לבצע כריתת עצב התועה (ואגוטומיה) ותיקון השוער (פילורופלסטיקה) נוסף על תיקון הבקע. גישה זו אינה מקובלת כיום, אלא אם כן הוכח קיומו של כיב עיכולי ברור (הקיים ב-16% מהחולים). יש לציין שאין קשר בין ערכי החומצה בקיבה לבין נוכחות דלקת בוושט.
הניתוח על שם Belsey
ב- 1955 פיתח Belsey בראשונה את הניתוח הנושא את שמו. במשך השנים נוספו לשיטתו תיקונים (מודיפיקציות) והאחרון בהם נקרא Mark IV . הגישה לניתוח זה היא דרך תורקוטומיה שמאלית. משחררים את קרקעית הקיבה ואת הוושט כולל האזור הוושטי-קיבתי, תופרים את קרקעית הקיבה לוושט בשני שלישים מהיקפו כמו פעמון, ובתוך כך יוצרים מעין התפשלות (Intussuseption) של הוושט לקיבה. את שורת התפרים השניה מבצעים בצורת ח"ח" אשר ראשה עובר בוושט , זרועותיה עוברות דרך הקרקעית וקצותיה בהיאטוס. קשירת התפר הזה מורידה את הקיבה והוושט אל מתחת לסרעפת ומקבעת אותם שם. לאחר מכן תופרים את שולי ההיאטוס עד לסגירתו סביב הוושט. הקרקעית חובקת חלקית את הוושט וגורמת לסתימת הנהור בוושט בכל פעם שעולה הלחץ בקיבה, וכך מונע רפלוקס (איור24.1). במעקב של 7 שנים ויותר, מראות תוצאות הניתוח חזרה ב- 11% מהמנותחים.
ניתוח על-שם Nissen
ב-1956 הציע Nissen את שיטת הפונדופליקציה (Fundoplication) לטיפול בבקע סרעפתי גולש עם דלקת וושט. הגישה לניתוח יכולה להיות בטנית או דרך החזה. אם אין אפשרות להוריד את הוושט לבטן, עקב ושט קצר מלידה או בגלל הצטלקויות, ניתן לבצע את הניתוח בבית החזה ולהשאיר את הקיבה שם, מכיוון שמנגנון הפונדופליקציה פועל בלא תלות במיקום. בשיטה זו, הפונדוס נתפר סביב הוושט בצורת שרוול ומקובע אליו באותם תפרים (איור 25.1). בזמן עליית הלחץ בתוך הקיבה, השרוול לוחץ על הוושט ומונע את יציאת התוכן מהקיבה. כלומר, נוצר מסתם חד-כיווני המאפשר כניסת מזון לקיבה, אבל לא את יציאתו ממנה. מכאן גם נובע אחד הסיבוכים שבו חולים הבולעים אוויר בזמן הארוחות אינם מסוגלים לשחרר את לחץ האוויר, וסובלים מלחץ ומכאבים באזור הבטן העליונה (Post fundoplication syndrome). שכיחות התופעה היא עד 20% מהמנותחים. ברוב הסדרות 91% מהמנותחים חופשיים מתלונות. יש לציין שניתוח זה מבוצע כיום בגישה לפרוסקופית.
ניתוח על-שם Hill
ב- 1691 תיאר Hill שיטה הכוללת תיקון אנטומי ופיזיולוגי של הבקע (Posterior gastropexy). הניתוח מתבצע בגישה בטנית. בניתוח זה מבצעים הורדה של הקיבה והוושט לתוך חלל הבטן ומקבעים את העקומה הקטנה באזור הוושטי-קיבתי אל הרצועה הקשתית האמצעית (Median arcuated ligament - הרצועה שמעל האאורטה, הנוצרת על-ידי איחוד מחדש של שני חלקי ה-Crus). זאת נוסף על סגירת ההיאטוס על-ידי קירוב ה-Crus. לאחר מכן, באותם תפרים תופרים את הדופן הימנית של הקרקעית מעל הוושט אל השוקיים (Crura), כך שמקטע של הוושט מכוסה בקרקעית. מנגנון זה מאפשר סגירת הוושט בזמן עליית הלחץ בקיבה. בניתוח זה נותר מקטע ארוך של הוושט בתוך חלל הבטן, והוא נסגר בכל פעם שהלחץ בתוך חלל הבטן עולה. בסיום הניתוח, נתפרת הדופן הימנית של הקרקעית לדופן השמאלית של הוושט (איור 26.1).
גישות ניתוחיות אחרות
Boerema - בניתוח זה מקבעים את הקיבה באזור הצומת הוושטי-קיבתי (GEJ) לדופן הבטן (Anterior gastropexy). גם כאן העיקרון הוא של מקטע תוך- בטני ארוך.
Lind - פונדופליקציה חלקית (240 מעלות) וסגירת השוקיים (Crura).
Dupa - פונדופליקציה אחורית.
Jaco - תיקון השוקיים, קיבוע קרקעית הקיבה לסרעפת, כריתת עצב התועה (ואגוטומיה) ותיקון השוער (פילורופלסטיקה).
Angelchik - הכנסת צווארון מלאכותי עשוי סיליקון סביב הצומת הוושטי-קיבתי (GEJ). כאשר הלחץ בקיבה עולה, הצווארון לוחץ על ה-GEJ וסוגר אותו. בשנים האחרונות דווח על מקרים שבהם חדר הצווארון המלאכותי לתוך הוושט. שיעור הכישלונות המדווח במשך השנים גבוה יחסית.
Allison operation - בניתוח זה יוצרים מחדש את הזווית החדה על-שם Hiss על-ידי תפירת הוושט לקרקעית הקיבה. בחלק היוצר את הזווית לאחר שחזור הזווית על-שם Hiss סוגרים את ההיאטוס על-ידי קירוב השוקיים הימנית והשמאלית בעזרת תפרים אחדים (איור 27.1).
Collins - הארכת הוושט באמצעות חיתוך הקיבה בהמשך לדופן שמאלית של הוושט, ועל-ידי כך יצירת מקטע תוך-בטני ארוך יותר. לניתוח זה יש המוסיפים גם ניתוח למניעת רפלוקס כגון פנדופליקציה, ואז הניתוח נקרא Collins-Nissen (איור 28.1).
גישה ניתוחית חדשה שנכנסה לשימוש בשנים האחרונות היא פונדופליקציה לפרוסקופית (Laparoscopic fundoplication) (איור 29.1). בשיטה זו משתמשים בלפרוסקופיה לשחרור הקרקעית, מביאים אותה אל מאחורי הוושט, כך שהיא עוטפת את הוושט שבתוכו נמצאת זונדה קשיחה 60F, ומקבעים את הקרקעית מסביב לוושט. שיטה זו הפכה לשיטה המועדפת בחולים הלוקים בדלקת וושט הדורשת טיפול מתמשך ושלא נותחו ניתוחי בטן קודמים.
תוצאות
כל השיטות שתוארו מאפשרות השגת תוצאות דומות, מבחינת תיקון הסוגר התחתון של הוושט. חסרון הניתוח על-שם Belsey הוא שניתן לבצעו רק בגישה דרך החזה. לעומתו, ניתוח על-שם Nissen ניתן לביצוע בשתי הגישות, אבל חסרונו הוא בשכיחות גבוהה של Post fundoplication syndrome. הניתוח על-שם Hill כמעט שאינו כרוך בסיבוכים, אבל חסרונו הוא בביצועו רק בגישה בטנית (טבלה 2.1).
כישלונות הטיפול הכירורגי או התרופתי נובעים לעתים מהתלונות שמקורן בהפרעות אחרות במערכת העיכול, או מחוסר יציבות נפשית של חולים. סיבה אחרת לכישלונות היא שיטה לקויה או שגויה.
| סוג הניתוח | הכישלונות (%) |
|---|---|
| Nissen | 9% |
| Belsey | 11% |
| Hill | 15% |
ושט קצר מלידה
צורה נדירה של בקע סרעפתי ביילוד. בילדים אלה רוב הקיבה - קרקעית ופי הקיבה (קרדיה) - נמצאת בבית החזה. הסכנה במצב זה היא: רגורגיטציות חוזרות המלוות בדלקות ריאה חוזרות. הטיפול הוא כירורגי ומבוסס על טכניקות אנטירפלוקס. היעילה שבהן היא שיטת Nissen, בהתחשב בעובדה שאת הקיבה אין אפשרות להוריד לחלל הבטן. יש לבצע את התיקון בבית החזה ולהשאיר את הקיבה שם.
ראו גם
המידע שבדף זה נכתב על ידי ד"ר צבי קויפמן - מומחה בכירורגיה, מנהל היחידה לבריאות השד מרכז רפואי מאיר, כפר סבא
}

כניסה
עקבו אחרינו בפייסבוק 








