בקע על-שם Spigelian hernia - Spiegel
| עקרונות בכירורגיה | ||
|---|---|---|
| שם המחבר | ד"ר צבי קויפמן | |
| שם הפרק | בקעים | |
לערכים נוספים הקשורים לנושא זה, ראו את דף הפירושים – בקע
בקע ספונטני המופיע בקו דמוי חצי ירח (לינאה סמילונריס, Semilunar line) שתואר בתחילת פרק זה. דרך הלינאה סמילונריס חודרים כלי דם ועצבים המהווים נקודות חלשות בחיתולית (פסציה, Fascia). נקודות אלה יכולות להתרחב עקב סיבות לא ידועות, וכתוצאה מכך, עם עליית הלחץ התוך-בטני, המעי פורץ דרך הפתח. המקום השכיח ביותר להופעת הבקע בלינאה סמילונריס הוא במקום היווצרות הלינאה סמיצרקולריס (Semicircular line), שם הפסציה היא דקה יחסית וחלשה, עקב מעבר העורק האפיגסטרי התחתון דרכה (איור 27.13).
| איור 27.13: מיקום הבקע ע"ש ספיליאן. מימין - מבט על הבטן, משמאל - מבט מתוך חלל הבטן | |
|---|---|
אבחנה
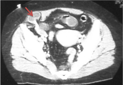
האבחנה לעתים קרובות קשה, מכיוון שהבקע פורץ בין השרירים ולא מתחת לעור, וכמו-כן הוא נוטה לכיוון לטרלי, כך שקשה להעריך את מוצאו. בקע זה נוטה להיכלא ולעבור סטרנגולציה (חנק). בדרך כלל החולים מספרים על אי-נוחות או כאבים בשיעול. לעתים הסיפור הקליני מלווה בהקאות או בבחילות ואז קשה להבדיל בין הבקע לבין מחלות תוך-בטניות אחרות. האבחנה מתבצעת על-ידי מישוש גוש בבטן במקום המתאים, שניתן להחזירו לבטן. לאחר ההחזרה ניתן למשש את הפגם בפסציה. לעיתים הבקעה מאובחן בעזרת טומוגרפיה ממוחשבת (CT) המבוצעת עקב כאבי בטן מקומיים (תצלום 2.13).
טיפול
התיקון הוא פשוט יחסית - תופרים את שולי הפסציה מעל לפגם בדופן הבטן. בזמן התיקון קושרים את כלי הדם האפיגסטריים באותו הצד. לחיזוק הדופן אפשר להניח רשת מתחת לפסציה ואת הפסציה לתפור מעל הרשת.
גישה אחרת היא הגישה הלפרוסקופית התוך-בטנית או תוך-דופנית, שבא ניתן למשוך את המעי והשק הבקע לתוך הבטן ולהניח רשת על פני פתח הבקע או בתוך התעלה שנוצרה.
ראו גם
- לנושא הקודם: בקע על-שם Litter's hernia - Litter
- לנושא הבא: בקע מותני או גבי - Lumbar or dorsal hernia
- לתוכן העניינים של הפרק
- לתוכן העניינים של הספר
- לפרק הקודם: כירורגיה של השד
- לפרק הבא: כירורגיה של הבלוטות האנדוקריניות
המידע שבדף זה נכתב על ידי ד"ר צבי קויפמן, מומחה בכירורגיה, מנהל היחידה לבריאות השד, מרכז רפואי מאיר, כפר סבא

כניסה
עקבו אחרינו בפייסבוק