דלקת חדה של כיס המרה - Acute cholecystitis
הופניתם מהדף דלקת חריפה של כיס המרה לדף הנוכחי.
עקרונות בכירורגיה
מאת ד"ר צבי קויפמן
| עקרונות בכירורגיה | ||
|---|---|---|
| שם המחבר | ד"ר צבי קויפמן | |
| שם הפרק | כירורגיה של כיס המרה ודרכי המרה | |
מחלה דלקתית זו של כיס המרה שכיחה ב- 10% מהלוקים באבני כיס המרה. ב- 90% מהלוקים בדלקת חדה של כיס המרה יש גם אבנים בכיס המרה, לרוב אבני כולסטרול או אבנים מעורבות.
בדלקת של כיס המרה, שמקורה באבני כיס המרה, התהליך הדלקתי מתחיל בדרך כלל לאחר שאבן נתקעת בצינור כיס המרה וחוסמת אותו. עקב כך, מתמלא כיס המרה בהפרשות ומתנפח. בשלב זה מדובר במיימת (Hydrops) של כיס המרה. גורם לתחילת התהליך הדלקתי בו. חיידקים מהמעי מגיעים דרך המערכת הלימפתית לכיס המרה ומתחילים להתרבות בתוכו. מכיוון שכיס המרה אינו מתנקז, החיידקים בתוכו מתרבים, גורמים להחרפת התהליך הדלקתי, ובתוך כך להפיכת תוכן כיס המרה למוגלתי. בשלב זה מדובר Empyemas של כיס המרה.
בכולציסטיטיס חדה כיס המרה מוגדל, לפעמים פי 2 מהרגיל, צבעו אדום-סגול, והוא מכוסה ברקמת פיברין, הגורמת להידבקויות בינו לבין האיברים הסמוכים. הרקמה סביבו היא בצקתית, מודלקת ושברירית. עם התפשטות הדלקת והבצקת מתחילה חסימה של כלי דם ונוזלים, המחמירה עוד יותר את הבצקת וגורמת ללחץ על העורקים. אלה נחסמים לאחר מכן, ואז מופיעה דלקת נמקית של כיס המרה (Gangrenous cholecystitis).
אפידמיולוגיה
נשים נפגעות מכולציסטיטיס פי 3 מגברים, ואולם בקבוצות הגיל המבוגר (מ- 60 שנה ומעלה) פער זה בין נשים לגברים נעלם. המחלה שכיחה בתקופת ההריון, בייחוד בשליש השלישי, שכן אז ניכרת ירידה בכושר ההתכווצות של כיס המרה. המחלה שכיחה יותר בנשים הנוטלות גלולות למניעת הריון, לאחר 6-12 חודשי שימוש. ייתכן שהאסטרוגן שבגלולה הוא הגורם לשינוי מבנה המרה. המחלה שכיחה יותר בלוקים באנמיות המוליטיות, וכן בחולים בעלי מסתם לב מלאכותי.
תסמינים קליניים
לחולים סיפור קודם המתאים לאבני כיס מרה. הספרות מציינת שכיחות יתר של אבני כיס מרה בנשים, וייתכן כי בייחוד בשמנות, בנשים שהרו בעבר ובנשים מגיל 40 ומעלה.
כאבי הבטן העוויתיים השכיחים בבטן הימנית העליונה ובאפיגסטריום מתחלפים בכאבים תמידיים עם התחלת התהליך הדלקתי. הכאב הדלקתי הוא ממושך, ואינו חולף כעבור 3-4 שעות כמו הכאב העוויתי.
החולים מספרים על בחילות והקאות אשר אינן קשורות במזון, בניגוד לכאב העוויתי המתחיל 30-90 דקות לאחר הארוחה, ולרוב אינו מלווה בהקאות. לחולים יש חום.
בבדיקת הבטן נמצא שבד בבד עם התפתחות התהליך הדלקתי, החולה מפתח תנגודת של שרירי הבטן באזור הבטן הימנית העליונה, מלווה ברגישות סוב-קוסטלית ניכרת בקו אמצע עצם הבריח. בשלב זה, כשכיס המרה מוגדל, אפשר למששו כגוש בבטן הימנית העליונה, המורכב לא רק מכיס המרה אלא מהרקמות הדבוקות סביב לו. בחולים שבהם אין ממששים את כיס המרה, ניתן לראות סימן על-שם מרפי חיובי. סימן זה מופיע כשהבודק מניח את קצות אצבעותיו מתחת לקשת הצלעות ומבקש מהחולה לנשום עמוק. החולה מפסיק את הנשימה העמוקה ברגע שנוצר מגע בין האיבר הדלקתי לבין האצבעות, עקב החרפה פתאומית בכאב.
- האבחנה מבוססת על
- הסיפור הקליני
- על בדיקות המעבדה שבהן ניתן למצוא במקצת מהחולים עלייה ב:
- פוספטאזה בסיסית
- עמילאזה
- אספרטאט טרנסאמינאזה (SGOT)
- אלנין טרנסאמינאזה (SGPT)
- צהבת
- בדיקות הדמיה כמו: האולטרה-סאונד, מיפוי דרכי המרה ו- CT
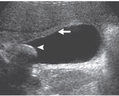
- האולטרה-סאונד הפך לבדיקת הבחירה בדלקת חריפה של כיס המרה. בבדיקה זו אפשר לראות כיס מרה מוגדל בעל דופן מעובה עם\ללא אבנים בתוכו (תצלום 38.8)
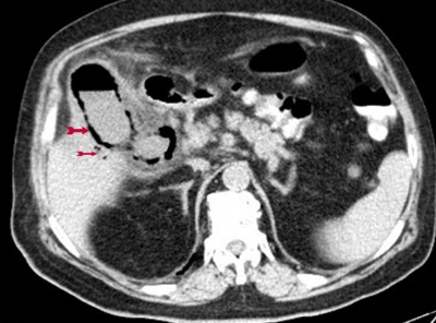
- ב- CT אפשר לראות כיס מרה עם דופן מעובה, אבנים ולעיתים אוויר בדופן המרה Ephysemtous cholelithiasis (תצלום 39.8).
- במיפוי אפשר לראות את ריכוז החומר המסומן בכבד ובמעי בלא מילוי של כיס המרה אף כעבור 4 שעות מתחילת הבדיקה (תצלום 40.8).
אמינות שתי בדיקות אלה היא גבוהה ביותר בלוקים בדלקת חדה של כיס המרה.
לעתים, יש להוסיף לבירור בדיקות של מערכת העיכול העליונה כדי לשלול כיב פפטי או בקע סרעפתי.
אבחנה מבדלת
- התלקחות כיב פפטי.
- כאבים אנגינוטיים (Anginal pain).
- דלקת הלבלב.
- דלקת התוספתן.
- עווית כלייתית.
- סלפינגיטיס, בייחוד בלוויית תסמונת פיטס-יודגי-קוטיס.
בדיקות מעבדה
הבדיקות כוללות ספירת דם, עמילאזה, בדיקות שתן, צילומי חזה ובטן, אולטרה-סאונד ואק"ג. בדיקות מעבדה אלה מסייעות בסיווג הגורמים השונים לכאבי הבטן.
טיפול
טיפול שמרני
הטיפול השמרני כולל:
- טיפול אנטיביוטי נגד חיידקים גרם שליליים בעיקר, ונגד חיידקים אנאירובים, כדי להקטין את סיכון הזיהום המערכתי והופעת אלח-דם.
- מניעת מזון דרך הפה ומתן נוזלים דרך הוריד על-פי הצורך. חשוב לדעת שחולים אלה סובלים מאיבוד יתר של נוזלים, עקב החום הנלווה למחלה והתהליך הדלקתי הגורם לאיבוד נוזלים לחלל הצפקי. לעיתים יש להכניס נקז קיבתי (זונדה) כדי לנקז את תוכן הקיבה ובכך להקטין את הגירוי להתכווצות כיס המרה.
ברוב החולים הטיפול השמרני מביא להיעלמות התסמונת החדה.
טיפול ניתוחי
בלוקים בדלקת חדה של כיס המרה כולל הטיפול הניתוחי כריתת כיס המרה. יש קושי בזיהוי האנטומיה בנוכחות דלקת חדה, בייחוד אם זו התמשכה מעבר לימים מספר, ולכן גם שיעור הסיבוכים הגבוה יחסית בניתוחים מאוחרים. לפיכך, ההמלצה היא לנתח מוקדם, אם יש הוריה לניתוח דחוף.
קשיים טכניים הכרוכים בניתוח, אין בהם כדי להשפיע השפעה של ממש על משך הניתוח ועל שיעור הסיבוכים התוך-ניתוחיים - שהוא מדד טוב לקושי הטכני - הדומה בניתוחים מאוחרים ובניתוחים מוקדמים. יש הטוענים, שחולים רבים, המגיעים לניתוח בזמן התקף חד, לוקים במחלות רקע נוספות, המסכנות אותם, ולכן אינם מתאימים לניתוח. טענה זו נבחנה בעבודות פרוספקטיביות, ונמצא שרק בשיעור קטן של החולים (2.1-13.9%) עדיף היה לדחות את הניתוח. ניתוח מוקדם אינו ניתוח חירום, ובמקרים שבהם יש להכין את החולה לניתוח, ניתן לדחותו בכמה ימים עד להבאת החולה למצב מיטבי.
אם מצבו של החולה אינו משתפר בתוך 24-48 שעות, יש לנתחו. בייחוד אם מדובר בחולים סוכרתיים ובחולים זקנים, שבהם חריפות המחלה אינה ביחס ישר לממצאים הקליניים. חולים אלה חשופים להתפתחות של סיבוכים משניים שעלולים לגרום למותם. הסיבוכים הם: כולאנגיטיס, אלח-דם, אי-ספיקה כלייתית חדה, התנקבות ודלקת הלבלב.
למרות התקופה הארוכה שבה מתמודדים המנתחים עם בעיית הדלקת החדה של המרירה, עדיין חלוקות הדעות בעניין העיתוי לביצוע הניתוח. מקובלות שתי גישות עיקריות: האחת - טיפול שמרני עד חלוף השלב הדלקתי ואז ניתוח; והאחרת - ניתוח מוקדם בשלב הדלקתי החד. הניתוח הדחוי מבוצע שבועות מספר או חודשים (בממוצע 2-3 חודשים) לאחר חלוף הדלקת. הגדרת זמן הניתוח המוקדם אינה אחידה. מקובל פרק זמן של עד 7 ימים מתחילת התסמינים, ויש המקצרים ל- 72 שעות. עם זאת, לגבי התת-קבוצה בקבוצת הניתוח המוקדם, של חולים המנותחים בדחיפות בגלל מצבם הקשה או עקב כישלון הטיפול השמרני, אין חילוקי דעות ביחס להכרחיות בניתוח.
הממליצים על ניתוח דחוי מנמקים את דעתם בכך שרוב מקרי הדלקת החדה חולפים בלא סיבוכים של ממש, ולכן אין צורך להזדרז ולנתח, וגם בכך שהניתוח בשלב החד עלול לפזר מוקדי זיהום קיים ולהגביר את שיעור הסיבוכים. בבדיקות בקטריולוגיות של תכולת מרירות שנכרתו בניתוחים דחופים אכן נמצא ריכוז חיידקים גדול פי 3-4 מאשר במרירות שנכרתו בניתוחים דחויים, אך גם אלה הכילו חיידקים. במספר עבודות נמצא ששיעור הזיהום בפצע הניתוח גבוה יותר בניתוח מוקדם, מאשר בניתוח דחוי. סיבוכים ריאתיים אירעו בשכיחות שווה בשני הניתוחים.
שיעורי התמותה בניתוח מוקדם ובניתוח דחוי (לא כולל ניתוחי חירום) נמוכים מאוד; רוב העבודות מצביעות על העדר תמותה בניתוחים אלה ועד 1.3% במיעוטן. בניתוחי חירום עולה שיעור התמותה ל- 5.5%. עקב עם זאת, עדיין יש המדווחים על שיעורי תמותה גבוהים (15-22%) בחולים זקנים העוברים ניתוחי חירום של המרירה עקב התנקבות, התמגלות או אי-תגובה מהירה לטיפול שמרני. במהלך כריתה דחופה של המרירה עלול המנתח להיתקל בקשיים טכניים: דלקת קשה עלולה "להדביק" את המבנים במשולש Calot ולמנוע את זיהויים המדויק, יתר-לחץ-דם שערי או נטייה אחרת לדמם עלולים לסבך את הכריתה. ברור שניתוח ארוך הכרוך בסיבוכים עלול לערער את האיזון העדין שבו מצויים חולים אלה. רוב המחברים סבורים, שבידי מנתח מנוסה אין הבדלים בקושי הניתוחי בין ניתוח מוקדם לדחוי. הקושי הניתוחי גובר כ- 12 יום לאחר שחדלה הדלקת.
התפתחות השיטה הלפרוסקופית לכריתת כיס המרה הביאה לשינוי הולך וגובר, הכולל טיפול שמרני באנטיביוטיקה ובנוזלים עד חלוף הסימנים החדים, ואז, כעבור כ- 6 שבועות, מומלץ לנתח את החולים בגישה לפרוסקופית. עם התקדמות הגישה הלפרוסקופית והניסיון המצטבר בניתוחים אלה, התפתחה גם גישה הגורסת ניתוח לפרוסקופי בשלב החד. שיטה זו דורשת מיומנות וניסיון, ולכן עדיין לא נכנסה לשימוש שגרתי.
אם החולה סובל מדלקת חדה של כיס המרה ומצבו אינו משתפר, ועם זאת ניתוחו כרוך בסיכון גבוה עקב מחלות הרקע, יש אפשרות לנקז את כיס המרה על-ידי החדרת צנתר לכיס המרה בגישה מלעורית. בשיטה זו מחדירים מחט ומוביל לכיס המרה בהנחיית אולטרה-סאונד או בטומוגרפיה ממוחשבת דרך הכבד ומיטת כיס המרה או ישירות דרך דופן הבטן בחולים הלוקים במיימת, כאשר כיס המרה דבוק או סמוך לדופן הבטן. לאחר הכנסת המוביל מרחיבים את הפתח ודרכו מחדירים נקז לניקוז כיס המרה (Percutaneus trans-hepatic cholecystostomy). לאחר החלמתם מהדלקת ועם השיפור במצבם, יש לנתח חולים אלה לכריתה אלקטיבית של כיס המרה לאחר הכנה מתאימה.
החלופות הטיפוליות בדלקת חריפה של כיס המרה מסוכמות בתרשים 5.8.
גישה ניתוחית אחרת, הידועה זה מכבר, היא כריתה תת-שלמה או חלקית של המרירה. גישה זו אינה בבחינת ניתוח חדש. בכריתה תת-שלמה אין כורתים את הקיר האחורי של המרירה, אלא מותירים אותו צמוד לכבד לאחר הריסת הרירית באמצעות דיאתרמיה. שיטה זו כוללת זיהוי וקשירת ה-Cystic duct ועורק המרירה בתוך משולש Calot.
כריתה תת-שלמה של המרירה משלבת את יתרונות הכריתה השלמה עם יתרונות הפיום. ראשית, מדובר בניתוח מהיר וקל יחסית לביצוע, הנמנע מחיתוך קשה במשולש Calot. הותרת הקיר הכבדי של המרירה מונעת דימומים בלוקים ביתר-לחץ-דם שערי או בבעיות קרישה. שנית, ניתוח זה מונע היווצרות מאוחרת של אבני מרה. כריתה תת- שלמה מסלקת רקמת מרירה נמקית, ממצא שכיח ב- Acalculous cholecystits.
המטרה העיקרית היא פתרון המצב המסכן את חיי החולים. לפיכך, יש להימנע מהארכת משך הניתוח עקב צילומים תוך-ניתוחיים ועקב ביצוע סריקות קשות של דרכי מרה. אם מועלה חשד לאבנים בדרכי המרה, בדיקת ERCP לאחר הניתוח, הכוללת או שאינה כוללת Sphincterotomy, היא אפשרות מסוכנת פחות.
ראו גם
- לנושא הקודם: טיפול באבנים שנותרו בדרכי המרה - Management of retained stones in the biliary tract
- לנושא הבא: דלקת חדה של כיס מרה בלא אבנים - Acalculous cholecystitis
- לתוכן העניינים של הפרק
- לתוכן העניינים של הספר
- לפרק הקודם: כירורגיה של התעלה האנלית
- לפרק הבא: כירורגיה של הלבלב
המידע שבדף זה נכתב על ידי ד"ר צבי קויפמן, מומחה בכירורגיה, מנהל היחידה לבריאות השד, מרכז רפואי מאיר, כפר סבא

כניסה
עקבו אחרינו בפייסבוק 