הסעיף על שם מקל - Meckel's diverticulum
עקרונות בכירורגיה
מאת ד"ר צבי קויפמן
| עקרונות בכירורגיה | ||
|---|---|---|
| שם המחבר | ד"ר צבי קויפמן | |
| שם הפרק | כירורגיה של המעי הדק | |
הסעיף על-שם מקל (Meckel) הוא השכיח ביותר במעי הדק, ולפי דיווחים מנתיחות של גופות, הוא נמצא ב-2%-0.3% מהנתיחות.
מבחינה אמבריונלית הוא שריד של ה-Omphalomesenteric duct או ה-Vitellin cyst, שלא נסגר בחלק המקורב למעי. כישלון הסגירה של ה-duct עלול ליצור את ה-Omphalomesenteric cyst. כיסית (ציסטה) זו יכולה להימצא בכל גובה של צינור העיכול. אם היא נמצאת קרוב לטבור, היא יוצרת את ה-Omphalomesenteric sinus. לפעמים ה-duct לא נסגר כלל ויוצר את ה-Omphalomesenteric fistula. לעתים ה-duct נסגר לכל אורכו, לא נעלם וגורם לפתלת של המעי (איור 11.4).
בספרות דווח על מקרים נדירים של השתנות ממאירה בסעיפים הללו.
תסמינים קליניים
- דימומים: כרוניים או חדים. החולה מספר על שחרה (Melena) או על דם טרי, אדום. הדימום מקורו בדרך כלל ברקמה הטרוטרופית של הקיבה הנמצאת בסעיף. רקמה זו מפרישה חומצה וגורמת כיב ברירית המעי הדק. 50% מהסעיפים מכילים רקמה הטרוטרופית של קיבה או של לבלב. בילדים הלוקים בדימום חלחולתי יש לחשוד בסעיף על-שם מקל, ואם מתאמתת האבחנה, יש לכרות את הסעיף
- חסימת מעיים: סיבוך הנגרם על-ידי הסעיף על-שם מקל. מנגנון אחד להיווצרות חסימת מעיים הוא התפשלות המעי. סיבוך זה שכיח ב-25% מהחולים המנותחים עקב הסעיף על-שם מקל. מנגנון אחר הגורם לחסימת מעיים הוא פתלת (volvulus) המעי. מצב נדיר שיכול לגרום לחסימת מעי הוא כליאה של הסעיף בתוך שק בקע הנקרא Littre hernia. בילדים שבהם נגרמת חסימת מעי עקב התפשלות, בגלל הסעיף על-שם מקל, אחד הסימנים האופייניים הוא דחיפות בצאייה - הרגשת צורך לצאייה (טנזמוס) והפרשת ריר גלטינוזי דמי
- דלקת הסעיף (Diverticulitis): מופיעה ב-20% מהמנותחים ונובעת מסתימת נהור הסעיף על-ידי אנטרוליט (תמונה 3.4). אם דלקת הסעיף אינה מאובחנת במועדה, הסעיף עלול להתנקב ולגרום לדלקת צפק חדה וקשה. תלונות החולה הן כאבי בטן ממוקמים או מפושטים, בחילות, חום, ורגישות בטנית. בבדיקת הבטן ניתן למצוא רתע (Rebound) והגנה על הבטן (Defence), המעידים על דלקת הצפק
השאלה העולה בניתוח היא, האם יש צורך לכרות סעיף על-שם מקל בחולים שבהם הסעיף נתגלה בזמן ניתוח מסיבה אחרת. התשובה כיום היא שלילית, שכן הסיכוי להופעת סיבוכים במבוגרים, עקב סעיף מקל אי-תסמיני הוא כ-2%, ולעומת זאת שיעור הסיבוכים מכריתת הסעיף על-שם מקל הוא כ-5%. ברור שמקרים שבהם מתגלה פתולוגיה בסעיף על-שם מקל או במקרים שבהם יש סרכות (Adhesions) הקשורות לסעיף, יש לטפל על-ידי כריתת הסעיף או שחרור הסרכות.
אבחנה
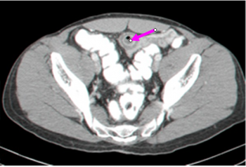
ברוב החולים האבחנה היא מקרית, והיא לרוב נעשית בזמן פתיחת הבטן מסיבות אחרות. בחלק מהחולים הסעיף נראה ב- CT (תצלום 20.4) בחולים תסמיניים או א-תסמיניים. בחלק אחר של החולים אפשר להדגים את הסעיף במיפוי. נדיר אולם ניתן למצוא את הסעיף בזמן ניתוח בקע - בקע על שם Littre.
טיפול
בכל חולה שמתגלה בו סעיף כזה בניתוח יש לכורתו. אם הוא מתגלה באקראי (לא בניתוח), בחולה אי-תסמיני, אין חובה לכורתו. אם החולה סובל מכאבי בטן צריך לכרות את הסעיף.
ברוב החולים הניתוח פשוט יחסית, וכולל כריתת הסעיף ותפירת המעי לרוחב כדי למנוע היצרות במעי. בחולים שבהם הסעיף בעל בסיס רחב או בחולים מדממים, שבהם הדימום נובע מכיבים במעי הדק בשורש הסעיף, יש לכרות את קטע המעי הנגוע.
ראו גם
- לנושא הקודם: שחפת המעיים - Tuberculous enteritis
- לנושא הבא: קרצינואיד - Carcinoid
- לתוכן העניינים של הפרק
- לתוכן העניינים של הספר
- לפרק הקודם: כירורגיה של הקיבה והתריסריון
- לפרק הבא: כירורגיה של התוספתן
המידע שבדף זה נכתב על ידי ד"ר צבי קויפמן, מומחה בכירורגיה, מנהל היחידה לבריאות השד, מרכז רפואי מאיר, כפר סבא

כניסה
עקבו אחרינו בפייסבוק