זיהוי RNA של הנגיף SARS-CoV-2
| מדריך בדיקות מעבדה | |
| זיהוי RNA של הנגיף SARS-CoV-2 | |
|---|---|
| שמות אחרים | COVID-19, SARS, corona virus. |
| 250 פיקסלים | |
| מעבדה | נגיפים |
| תחום | מגפת קורונה |
| יוצר הערך | פרופ' בן-עמי סלע |
לערכים נוספים הקשורים לנושא זה, ראו את דף הפירושים – קורונה
מטרת הבדיקה
זיהוי הנגיף SARS-CoV-2 הגורם למחלת COVID-19.
מידע קליני
הנגיף severe acute respiratory syndrome corona virus 2 (להלן SARS-CoV-2), הוא נגיף RNA חד-גדילי שגורם למחלת COVID-19.
בדומה לנגיפי קורונה אחרים התוקפים את האדם, נגיף זה מסוגל לגרום לזיהומים של דרכי הנשימה העליונות והתחתונות. התסמינים יכולים להיות קלים (שפעת פשוטה) אך גם חמורים (דלקת ריאות), הן באנשים בריאים כמו גם באלה עם מערכת חיסון פגועה. ההעברה וההדבקה של SARA CoV-2, נעשית בעיקר על ידי טיפות הנפלטות במהלך נשיפת אוויר. במהלך השלבים המוקדמים של COVID-19, התסמינים יכולים להיות לא ספציפיים, ולדמות לזיהומים אחרים של מערכת הנשימה, דוגמת שפעת. אם תוצאת איתור פתוגנים אחרים של מערכת הנשימה מתקבלת שלילית, יש צורך לבחינה ספציפית של הדבקה ב-SARS CoV-2. נגיף זה יימצא בריכוזים הגבוהים ביותר באזור הלוע העליון (nasopharynx) שהוא חלקו של הלוע הממוקם מעל ומאחורי החך הרך, במהלך 3–5 ימים ראשונים של מחלה תסמינית, וככול שהמחלה מתקדמת הנגיף מתמעט בדרכי הנשימה העליונות, בה בשעה שדגימות מדרכי הנשימה התחתונות, כגון ליחה, חומר הננשף מצינור הנשימה (tracheal aspirate), נוזל ברונכו-אלבאולרי) תהיינה מקור סביר יותר לזיהוי SARS CoV-2.
בדיקת COVID-19 כרוכה באנליזה של דגימות שנועדה לבחון הדבקה עכשווית או קודמת של SARS CoV-2. לפיכך מדובר בזיהוי נוכחי של הנגיף, או בזיהוי נוגדנים לנגיף מהדבקה שהתרחשה במועד קודם (Kobokovich וחב' ב-Johns Hopkins Health Center מיוני 2020). בדיקת נוגדנים מועילה פחות לאבחון הדבקה נוכחית, שכן נוגדנים עשויים להופיע רק שבועות אחדים לאחר ההדבקה (Abbasi ב-JAMA משנת 2020). פרוטוקולים לאבחון הנגיף מראים שונוּת ניכרת, בסוגיות של את מי יש לבדוק, מהי תדירות הבדיקה ומועד ביצועה ביחס למועד ההדבקה, גישות שונות של דיגום, וההתייחסות לתוצאות המתקבלות. מגוון מדדים אלה גרם להתייחסויות שונות לרמת התחלואה, חומרתה ושיעורי התמותה מהנגיף (Otmani ב-Nordic Life Sci משנת 2020 ו-Henriques ב-BBC News מ-12 ביוני). בדיקות נוספות כוללות סריקת CT, בדיקה של עלייה בחום הגוף, או איתור של רמת חמצן נמוכה בדם.
שיטת RT-PCR או reverse transcription polymerase chain reaction לקבלת DNA, מלווה על ידי PCR להגברת DNA זה באופן שיספיק לאנליזה. RT-PCR יכול אם כן לזיהוי SARS CoV-2 המכיל רק RNA, בפעולה הנמשכת מספר שעות. נמצאת בשימוש נרחב שיטת real-time PCR (Bustin וחב' ב-Clin Chem משנת 2009), עושה שימוש באוטומציה של ה-PCR לקיצור משך הבדיקה (Joyce ב-Methods Mol Biol משנת 2002, Kang וחב' ב-Virol J משנת 2010, ו-Taylor וחב' ב-Methods משנת 2010). הדיגום יכול להתבצע על ידי מטוש אפי-לועי, כיח, מטוש גרוני (Drosten ב-NDR מאפריל 2020), חומר מדרכי אוויר עמוקים הנאסף על ידי צנתר יניקה, או רוק (Xu וחב' ב- Int J Oral Sci משנת 2020). Drosten וחב' הסיקו מהניסיון שנרכש בשנת 2003 עם נגיף SARS, שמטושים אפיים או גרוניים מתאימים פחות לאבחון, כיוון שהם מכילים פחות RNA נגיפי בהשוואה לכיח (Drosten וחב' ב-N Eng J Med משנת 2003). דיגום של רוק יעיל כמו מטושים אפיים או גרוניים (Mayo Clinic מ-16 באפריל 2020). דיגום של חומר מדרכי הנשימה העליונים מומלץ לנקודת זמן סמוכה ככל האפשר לתחילת התסמינים, שכן יש דעיכה מהירה יחסית של רמת הנגיף באתר זה (Zou וחב' ב- N Eng J Med ממרץ 2020).
היסטוריה
חוקרים סיניים פרסמו לראשונה מידע על הגנום הנגיפי ב-11 בינואר 2020. באותו יום המכון למחקר רפואי במלזיה הודיע על ייצור "primers and probes" ספציפיים למבחן PCR של SARS CoV-2, ששימשו ב-24 בינואר לאבחון האדם המלזי הראשון שנדבק בנגיף. חברת BGI Genomics הייתה אחת החברות הראשונות שקבלה את אישור מינהל המוצרים הרפואיים הסיני להשתמש בערכה שלה לבחינת חומצת הגרעין של הנגיף (GenomeWeb מתאריך 9 במרץ 2020). ב-10 במרץ הודיעה חברת "Public Health England" על מבחן Real Time-PCR של הגן RdRp, המבוסס על מטוש פומי. בדיקה זו זיהתה את הנוכחות של כל סוג של נגיפי קורונה, כולל SARS CoV-2, והופצה ל-12 מעבדות ברחבי בריטניה ב-10 בפברואר (The Pharmaceutical Journal מינואר 2020). מקרה ההדבקה הראשון בדרום קוריאה אושר ב-19 בינואר.
בגרמניה, כבר ב-17 בינואר פורסם פרוטוקול של בחינת חומצת הגרעין של הנגיף, על בסיס PCR שפותח בברלין על ידי בית החולים האוניברסיטאי Charite. שיטה זו נוצרה על בסיס rtRT-PCR, וייצרה בסיס ל-250,000 ערכות שחולקו על ידי ה-WHO (על פי Sheridan ב-Nature Biotechnology בפברואר 2020). בארצות הברית, ה-CDC פיתח פאנל אבחוני מבוסס על RT-PCR של SARS CoV-2, שהיה זמין ב-28 בינואר 2020. ברוסיה, ערכת המבחן הראשונה ל-COVID-19 פותחה על ידי מרכז המחקר הנגיפי VECTOR ב-24 בינואר. בחודש פברואר אישר ה-FDA למעבדות מקומיות להתחיל בבדיקה לזיהוי הנגיף רק ב-28 לחודש. בדרום קוריאה חברת KogeneBiotech, פיתחה ערכה לאבחון הנגיף בשם PowerChek Coronavirus, שאושר לשימוש ב-4 בפברואר (Jeong ב-Korea Biomedical Rev משנת 2020). בעיר Wuhan נפתח מתחם גדול בשם Fire Eye, ב-5 בפברואר שסקר מדי יום למעלה מ-10,000 דגימות, ומייד אחריו נפתחו עוד 12 מתחמי בדיקה דומים בבייג'ינג, שנחאי, שנגג'ן וערים נוספות. ב-11 בפברואר אושרה בסין בדיקה זו לשימוש המוני.
ב-4 במרץ הגיע היקף הבדיקה האחרונה בסין ל-50,000 בדיקות ביום. ב-16 במרץ הכריז WHO על הצורך להגדיל באופן ניכר את מספר הבדיקות כדרך היעילה לבלום את התפשטות המחלה, אך מחסור בריאגנטים ומטושים הפך צוואר בקבוק להגדלת נפח הבדיקות בבריטניה (Baird ב-The New-Yorker מ-24 במרץ ו-Ossola ב-Quartz מ-25 במרץ 2020). בתאריך 12 במרץ הודיע Mayo Clinic על מבחן חומצת גרעין ייעודי (Plumbo ב-Mayo Clinic Proc מ-13 במרץ). בתחילת חודש מרץ הודיעה סין על בעיות של אי-דיוק עם בדיקת PCR שלהם (Chen ב-Bloomberg Business Week מ-16 במרץ). בדיקה שכללה 1,070 דגימות שנלקחו מ-205 מטופלים ב-Wuhan הראתה רגישות בלתי אחידה של הבדיקה, כאשר דגימות מנוזל ה-bronchoalveolar lavage (להלן BAL) היו בעלי הרגישות הגבוהה ביותר (Wang ב-JAMA ממרץ 2020). מסקנת בעל המחקר הייתה שסריקת CT של הריאות הייתה אף רגישה יותר. מעבדות מסחריות בארצות הברית החלו בבדיקות בראשית מרץ, וב-5 לחודש הודיעה חברת LabCorp על זמינות כלל-ארצית של בדיקת COVID-19 המבוססת על RT-PCR. חברת Quest הפכה את הבדיקה לזמינה ב-9 במרץ. הדרישה לבדיקה בארצות הברית צמחה במהירות, באופן שמעבדות פרטיות בארצות הברית נמצאו בפיגור לבדוק מאות אלפי דגימות, בעיקר בגין חסר בריאגנטים ופריטים שונים הנחוצים לבדיקה (Stein ב-NPR.Org מ-3 באפריל).
ב-25 במאי הממשל הפדרלי יצא בדרישה מכל אחת מהמדינות ליטול אחריות על אספקה נאותה של פריטים לצורך הבדיקות (Mandavilli ו-Edmondson ב-New York Times מ-25 במאי), כאשר כבר בחודש מרץ יצאה ה-FDA באישור של בדיקת חירום (EUA) מולקולרית למעבדות Hologic, LabCorp, Abbott Labs, Thermo Fisher Scientific ו- Cepheid. ב-21 במרץ העניק ה-FDA אישור לחברת Sunnyvale לביצוע בדיקה מהירה עם תשובה תוך 45 דקות. ב-31 במרץ הודיעו אמירויות המפרץ שהם ביצעו בדיקות בכל האוכלוסייה שלהם, תוך שהמעבדות שם ביצעו עשרות אלפי בדיקות RT-PCR מדי יום. מספר מדינות באירופה ביצעו יותר בדיקות מאשר אלה שבוצעו בארצות הברית, ובגרמניה לדוגמה הוחל איסוף דגימות במתחמי drive-in, כאשר ב-26 במרץ הכריז שר הבריאות הגרמני, Jens Spahn, שבגרמניה בוצעו באותה עת מעל 200,000 בדיקות בשבוע. עד סוף חודש מרץ נבדקו בגרמניה כ-484 אלף דגימות, ומתוכן 33,491 נמצאו חיוביות (6.9%) על פי נתוני מכון רוברט קוך. בגרמניה יש למעלה ממאה מעבדות ברמת ביצוע גבוהה, מה שאפשר ביצוע של מספר רב של בדיקות (Weber וחב' ב-Der Spiegel ממרץ 2020, ו-Oltermann ב-The Guardian ממרץ 2020).
בצ'כיה דווח שב-80% מערכות הבדיקה שנרכשו בסין הפיקו תוצאות מוטעות. סלובקיה רכשה מסין 1.2 מיליון ערכות בדיקה, שנמצאו בדיעבד בלתי מדויקות (Dudik ב-Fortune מ-1 באפריל 2020). כתגובה צפויה האשימה סין במאמר ב-Jakarta Post את צ'כיה וסלובקיה בשימוש לא נכון בערכות אלו. אך גם טורקיה הודיעה מפי Ates Kara ממשרד הבריאות באנקרה, והעיתונאי רב ההשפעה Rajip Soylu במאמר ב-Middle East Eye שאחוז התוצאות השגויות המתקבלות עם הערכות תוצרת סין גבוה ביותר. גם ספרד שרכשה ערכות בדיקה מהיצרן הסיני Shenzhen Bioassay Biotechnology, קבעה שהתוצאות המתקבלות אינן נכונות, וגם כאן תגובת הסינים הייתה שהדגימות לביצוע הבדיקה נלקחו באופן לא נכון.
ב-2 באפריל, נתן ה-FDA אישור EUA לבדיקה הראשונה תוצרת ארצות הברית לזיהוי הנגיף (Romano ב-Yahoo News מ-17 באפריל). ב-7 באפריל נתן WHO אישור ל-2 בדיקות חדשות. בתאריך 13 באפריל אישר משרד הבריאות בקנדה בדיקת חומצת גרעין של חברת Spartan Bioscience באמצעות מכשיר לביצוע ביתי של הבדיקה. בתחילת אפריל בוצעו בבריטניה כ-10,000 בדיקות מטושים ביום, בריטניה רכשה בסין 3.5 מיליון ערכות לבדיקת נוגדנים כנגד הנגיף, אך הודיעה בהמשך שאין לבדיקות אלו כל שימוש (Kebner ב-TheTimes.co.uk מ-6 באפריל). ב-21 באפריל אסר ה-ICMR בהודו על המשך רכישת ערכות בדיקה מסין, בגין דיוקם הנמוך הודעתו של Raghu Sharma שר הבריאות של מדינת רג'סטאן העריכה שדיוק ערכות אלו לא עלה על 5.4%. לקראת סוף חודש אפריל הגיע מספר בדיקות הקורונה ברחבי העולם לסך של 750 אלף בשבוע.
ב-3 לחודש מאי, קיבלה חברת Roche מה-FDA אישור EUA לבדיקה סרולוגית בררנית בשיטת ELISA, וב-8 במאי העניק ה-FDA אישור EUA לחברת Quidel Corp לביצוע בדיקת Sofia 2 SARS Antigen FIA. בחודש מאי בוצעו בארצות הברית בדיקות למציאת נוגדנים ב-5,603 שחקני בייסבול של הליגה העליונה, כאשר 0.7% מהם נמצאו חיוביים, אם כי ב-70% מאלה שנמצאו "חיוביים" לא נמצאו תסמינים (Wagner ב-New York Times מ-25 במאי). עד השבוע המסתיים ב-17 במאי בוצעו בארצות הברית 2.5 מיליון בדיקות בשבוע, ומספר זה עלה ל-3.2 מיליון בשבוע עד 14 ביוני. עד מחצית מאי הניסיונות לגדל נגיף בתרבית בדגימות מדרכי הנשימה העליונות כשלו כאשר כמות הנגיף בדגימה ניתנה לגילוי אך הייתה נמוכה. ב-14 במאי הודיע ה-FDA על 15 דיווחים שגויים של ערכת Abbott ID Now שהיא ערכת point-of-care בשל רגישות נמוכה. ב-21 במאי הודיעו חוקרים מאוניברסיטת בן-גוריון בראשות פרופ' גבי סרוסי על בדיקת קורונה שהיא בדיקת ינשופון שביצועה נמשך דקה אחת עם דיוק של 90%. הבדיקה פיזיקלית ומאפשרת תוצאה מהירה ביותר במספר צעדים בודדים, פשוטים וזולים יותר. הפיתוח החדש מודד שינויים מזעריים שיוצר נגיף הקורונה על השדה החשמלי במערך הצפוף שעל השבב (Ho ב-BioWorld.com מ-7 ביוני). אוסטרליה רכשה כ-2 מיליון ערכות למדידת נוגדנים בעלות של 20 מיליון דולר, אך הן נפסלו לשימוש (Mannix ב-Sydney Morning Herald מ-23 במאי). המכון לבריאות גלובלית של אוניברסיטת Harvard, העריך שבארצות הברית יש צורך לבצע 900 אלף בדיקות ביום, אך על פי ה-Rockefeller Foundation מספר הבדיקות הרצוי צריך להגיע ל-10 מיליון בדיקות ביום. ב-29 במאי קיבלה חברת Siemens אישור EUA לביצוע בדיקה סרולוגית לזיהוי נוגדנים מכוונים כנגד ה-spikes שעל פני הנגיף שיש להם יכולת לנטרל קישור הנגיף לקולטניו (Tuzman ב-BioCentury ממאי 2020).
בתחילת חודש יוני הודיעו חוקרים על בדיקת חומצת גרעין אבחונית, בשיטת RT-LAMP או reverse transcription-loop mediated isothermal amplification, טכנולוגיה קיימת המשמשת לזיהוי מיקרואורגניזמים פתוגניים, לזיהוי גידול סרטני, ולזיהוי מין העובר. הבדיקה מזהה את הנגיף בדגימות נסיוב, שתן, רוק או מטושים נזו-פרינגיאליים ואורו-פרינגיאליים. בדיקה זו יכולה לתת תשובה תוך 30–45 דקות ומתאימה כבדיקת point-of-care. הבדיקה בעלת בררנות של 100%, ודרגת רגישות גבוהה ביותר, תוך שהיא מסוגלת לזהות נגיף בריכוז של 0.06 פמטוגרם/מ"ל (Lamb ב-PLosOne משנת 2020). בתאריך 14 ביוני אחוז הנבדקים שנמצאו חיוביים בארצות הברית היה מתחת 5%,
פרוטוקולים של בדיקה
שיפור שיטת הדיגום: הרבה מדינות החלו נוהגות על בסיס drive-through (על פי Hawkins ב-The Verge מ-13 במאי 2020), כאשר דרום קוריאה יישמה באופן מרבי שיטה זו. בהונג קונג יורקים הנבדקים לתוך מבחנה במקום דיגום עם מטוש. חוקרים מהפקולטה לביולוגיה בטכניון ובקרייה הרפואית רמב"ם הציגו שיטה לבדיקת קורונה שתאפשר להגדיל משמעותית את כמות הנבדקים היומית. שיטה זו, הקרויה pooling (איגום), מבוססת על בדיקה של דגימות מ-64 נבדקים בעת ובעונה אחת. יישומה עשוי להאיץ באופן ניכר את קצב הבדיקות ואת איתורם של חולי קורונה באוכלוסייה (Medicalxpress.com). שיטה זו אומצה על מעבדות בגרמניה, בדרום קוריאה, בנברסקה, בסין ובשש מדינות בהודו. חברת Origami Assays פיתחה שיטה בה ניתן לבחון 1,122 מטופלים באופן סימולטני, שניתנת לביצוע במעבדות קטנות ללא צורך בתשתית של מכשור רובוטי.
בדיקה רַב-שִׁכְבָתִית (multi-tiered)
מחקר אחד הציע מבדק המבוסס על תגובה חיסונית מהירה, המורכב מבדיקה מאשרת של חומצת גרעין, ולאחריה בדיקה מהירה של זיהוי נוגדנים, מה שיאפשר כיוון פעולה ויאשש את חשיפת האוכלוסייה לנגיף ו/או את חסינות העדר (Pulia ב-Ann Med משנת 2020). חברות ביו-טכנולוגיות שוקדות בעת כתיבת מאמר זה לפיתוח גישות מעבדה חדשות שעשויות לקדם ביצוע מהיר יותר לזיהוי SARA CoV-2, לדוגמה, Pacific Biosciences מפתחת שיטת single-molecule real-time sequencing, ואילו ThermoFisher Scientific מנסה גישה של Ion Torrent Next-Generation Sequencing.
בדיקות זמינות לקורונה
בדיקות של חומצות גרעין: שיטות שפותחו בסין, צרפת, גרמניה, הונג קונג, יפן, בריטניה וארצות הברית, מכוונות כנגד אזורים שונים של גנום הנגיף. WHO תומך בשיטת הבדיקה הגרמנית המייצרת ערכות בדיקה המיועדות למדינות העולם השלישי. חברת PowerChek Coronavirus בוחנת את הגן "E" המשותף לכל סוגי נגיף קורונה, וכן היא בוחנת את הגן RdRp הספציפי ל-SARS CoV-2 (על פי Kogene.co.kr). חברת Abbott Laboratories ID Now, מפתחת בדיקת חומצת גרעין העושה שימוש בטכנולוגיית Isothermal amplification. בשיטה זו יש הגברה של אזור ייחודי בגן הנגיפי RdRp, כאשר העותקים המתקבלים מזוהים בשיטת "fluorescently-labeled molecular beacons". מבדק זה משתמש במתקן "toaster-size ID Now" המשווק בארצות הברית. המכשיר יכול להיות מקובל במעבדות או בגישת point-of-care, ותשובת הבדיקה מתקבלת תוך 13 דקות או פחות מכך, שהיא קצרה משמעותית ממשך בדיקת PCR כיוון שאינה זקוקה למחזורי חימום וקירור. בשיטה זו RNA עובר הגברה ישירה, ללא שלב ההמרה של RNA ל-DNA הנחוץ ב-RT-PCR. חברת PrimerDesign מציעה את ערכת Genesig Real-Time PCR COVID-19. חברת Roche Molecular Systems מציעה גישה איכותית לזיהוי הנגיף הניתנת למדידה במכשירי CobasR 6800/8800.
בדיקות אנטיגניות
שיטות זיהוי אנטיגן נגיפי בוחנות חלבונים אנטיגניים על פני שטח פני הנגיף. במקרה של נגיף קורונה החלבון המזוהה בדרך כלל מופיע על פני ה-spikes. חומר שנדגם על ידי מטוש נחשפת על פני רצועות נייר המצופים בנוגדנים מלאכותיים המכוונים כנגד אנטיגנים של הנגיף. אנטיגנים אלה הנקשרים רצועות נייר אלו, מאפשרים ויזואלית. התהליך נמשך פחות מ-30 דקות, ועשוי להתאים כבדיקת point-of-care שאינה מצריכה ציוד יקר או הכשרה ממושכת של מבצע הבדיקה. מטושים של נגיפים נשימתיים בדרך כלל חסרים די חומר אנטיגני לצורך זיהוי הנגיף, והדבר נכון במיוחד במקרים של נבדקים א-תסמיניים, שהרי חלבונים נגיפיים, על פי ה-WHO הרגישות של מבחני אנטיגן לתחלואה נשימתית היא בין 34-80% בלבד, וכך עלולים להיות מוחמצים כמחצית מחולי קורונה. עם זאת, ה-FDA קובע שתוצאה חיובית במבחן אנטיגן מדויקת ביותר, אך במקרים של תוצאה שלילית בסוג מבחן זה, יש צורך באישור על ידי בדיקת PCR.
בדיקת "Sofia 2 SARSAntigen FIA" של חברת Quidel, היא בדיקת lateral flow המשתמשת בנוגדנים חד-שבטיים לזיהוי חלבון ה-nucleocapsid הנגיפי (N) כפי שמתואר באתר FDA.gov. התוצאה ניתנת לקריאה במתקן Sofia 2 בשיטה אימונו-פלואורסצנטית. שיטה זו פשוטה וזולה יותר אך מדויקת פחות. יתרונה כשיטת point-of-care כאשר התוצאה מתקבלת תוך 15 דקות. בגלל מגבלות רגישות יש בשיטה זו אחוז גבוה יותר של תוצאות false negative, ויש לבצעה לפיכך לצורך אישור לצד בדיקת חומצת גרעין.
מבחני הדמיה
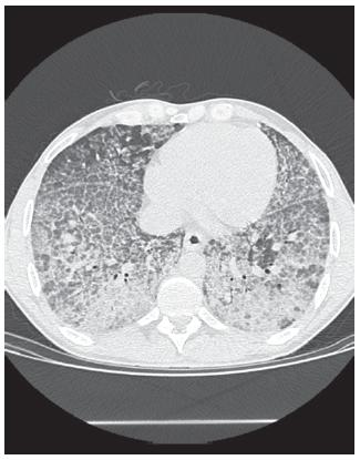
בדיקת CT של הריאות במקרי COVID-19 מראה הצללות זכוכית חול (ground glass opacities), דו-צדדי רב-אונייתי לעיתים עם מורפולוגיה עגולה או דפוס "5". כמו כן מזהים crazy paving וקונסולידציה באזורים פריפריים או פוסטריוריים. בנוסף נצפתה הגדלה של כלי דם סב-סגמנטליים מעל ל-3 מ"מ באזורי הצללות. עם זאת, CT ריאתי אינו מומלץ כאמצעי אבחון של COVID-19, בגלל הספציפיות הנמוכה של ממצאי CT אלה (Salehi וחב' ב-Am J Roentgenol, ו-Lee וחב' ב-Lancet משנת 2020).
בדיקה אבחונית מהירה
בדיקה כזו יכולה להתבצע במכשיר נישא-קומפקטי, בבדיקת lateral flow המתאימה ל-point-of-care. בדיקה זו יכולה להתבצע עם דגימות דם, רוק או נוזל הנסחט ממטוש אפי. הבדיקה מייצרת פסים צבעוניים קלים לזיהוי, להצביע על תוצאה חיובית או שלילית.
בדיקת ELISA
בדיקה זו יכולה להיות איכותית או כמותית, תוך שימוש בדגימות דם מלא, פלזמה או נסיוב. פלטת 96 בארות, מצופה עם חלבון נגיפי, כגון חלבון מ-spike של SARS CoV-2. לאחר הדגרה של הפלטה עם הדגימות הנבדקות, נקרשים נוגדנים כנגד החלבון האמור הנמצאים בדגימה הנבדקת לפלטה. הקומפלקס חלבון-נוגדן הקשור לפלטה יכול להיות מזוהה על ידי נוגדן שני המכוון כנגד human IgG או כנגד human IgM, כאשר החלבון השני קשור לאנזים המפרק את המצע המוסף לבאר ומייצר ריאקציית צבע הניתנת למדידה עם ELISA reader.
בדיקת נטרול
בדיקה זו בוחנת האם הנוגדנים המצויים בדגימה הנבדקת, עשויה למנוע הדבקת תאים בנגיף. הבדיקה יכולה להתבצע בדם מלא, בפלזמה או בנסיוב. בבדיקה זורעים תאים המאפשרים את שגשוג הנגיף (לדוגמה תאי VeroE6), ועל ידי ריכוזים שונים של נוגדנים, ניתן לקבוע כמותית כמה נוגדנים חוסמים את שגשוג הנגיף.
Chemiluminescent immunoassay
זו בדיקת מעבדה כמותית, שניתנת להתבצע בדם מלא, בפלזמה או בנסיוב. מערבבים את הדגימה הנבדקת עם חלבון ידוע של הנגיף, ועם נוגדנים ספציפיים מסומנים באנזים, כאשר הסיגנל המתקבל הוא לומיניסצנטי. וריאציה של בדיקה זו, הידועה כ-chemiluminescent microparticle immunoassay עושה שימוש במיקרו-גרגירים מגנטיים מצופים בחלבון, ליצירת קומפלקס כאשר הנוגדנים שבדגימה מגיבים עם החלבון הנגיפי. בשלב זה, מוסיפים נוגדן שני המסומן באנזים ומכוון כנגד הנוגדן שבדגימה, ליצירת קומפלקס. הריאקציה הכימית הנוצרת מפיקה אור שניתן למדידה, ועל פי עוצמתו ניתן לחשב את כמות הנוגדנים כנגד החלבון הנגיפי בדגימה הנבדקת. בדיקה זו יכולה לזהות סוגי נוגדנים שונים, IgM, IgG ו-IgA.
נוגדנים קושרים לעומת נוגדנים מנטרלים
רובן של הבדיקות לזיהוי נוגדנים כנגד נגיף COVID-19 מיועדות לגילוי נוגדנים קושרים, ואינן מתייחסות לסוגיה החשובה יותר של נוגדנים המנטרלים את הנגיף (להלן NAb) (Biology-Online משנת 2008). NAb הוא נוגדן המגן על התא מחלקיק נגיפי מדביק על ידי נטרול פעילות הנגיף (Schmaljohn ב-Curr HIV Res משנת 2013). יש השערה שמציאות נוגדנים קושרים, מעידה גם על מציאותם של נוגדנים מנטרלים (Cao וחב' ב-N Eng J Med משנת 2007, אם כי השערה זו לא אומתה ביחס ל-COVID-19. מחקר שנערך ב-175 חולי קורונה סיניים שהתאוששו ממחלתם הקלה, לא מצא נוגדנים מנטרלים בעת שחרורם מאשפוז או לאחר מכן. מחקר שפורסם ב-Immunol J בשנת 2011, מצא שנוגדנים מנטרלים לנגיף SARS המקורי, שהקדים את נגיף SARS CoV-2 הנוכחי יכולים להישאר פעילים למשך שנתיים, ומחקר נוסף מצא שנוגדנים אלה נעלמים לחלוטין רק לאחר 6 שנים מההדבקה המקורית (Leslie ב-Science משנת 2020). נראה שתאי זיכרון במערכת החיסון כולל תאי זיכרון מסוג B ו-T, עשויים לשרוד לתקופה ארוכה יותר, והם מסוגלים להפחית את חומרתה של הדבקה נוספת.
כושר ההדבקה של הנגיף, וההתאוששות ממנו
כושר ההדבקה של הנגיף (infectivity) מוגדר כ-reproduction number או R0 של המחלה. SARS CoV-2 מוערך על ידי ה-CDC כבעל R0 של 2.2-2.5. פירוש נתון זה הוא שבאוכלוסייה בה כל האנשים רגישים להדבקה, כל אדם מודבק מצופה להדביק 2.2 עד 2.5 אנשים נוספים ללא התערבות לריסון ההדבקה הסביבתית. R0 יכול להשתנות על בסיס גורמים כגון מיקום גאוגרפי, הדמוגרפיה של האוכלוסייה המדוברת, וצפיפות המגורים על פי medicalxpress.com מ-15 באפריל 2020. במדינת ניו-יורק הוערך ש-R0 הוא 3.4 עד 3.8. בממוצע, אדם מודבק בנגיף יתחיל להראות תסמינים 5 ימים לאחר ההדבקה, והוא עלול להתחיל להדביק אנשים הבאים איתו במגע יומיים לפני תחילת התסמינים. מחקר אחד הראה ש-44% מהעברת הנגיף בהדבקה של פרט אחר מתרחשת בתקופה זו. על פי ה-CDC, מספר משמעותי של אנשים מודבקים שמעולם לא הראו תסמינים עלולים להדביק. מחקרים in vitro לא מצאו נגיפים המסוגלים לעבור רפליקציה לאחר 9 ימים מהדבקת תאים בתרבית (Arons וחב' ב-N Eng J Med ממאי 2020). נגיף מדביק לא בודד מעולם מהשתן או מהצואה (Xiao וחב' ב-Clin Infect Dis מאפריל 2020).
פרקי הזמן המדויקים של מחלה וכושר הדבקה לא הוגדרו במלואם. עם זאת, יש ראיות ששחרור RNA של SARS CoV-2 בדגימות מדרכי הנשימה העליונות, דועך לאחר הופעת תסמינים. אף על פי שמודבקים יכולים לייצר RNA חיובי בבדיקת PCR לתקופה של 6 שבועות (Roser וחב' ב-ourworldindata.org מ-4 במרץ 2020), לא ברור עדיין האם דגימות אלו כוללות נגיף בעל כושר הדבקה. בקרב מודבקים בנגיף שהחלימו, בהם ניתן לגלות RNA נגיפי בדרכי הנשימה העליונות, ריכוז חומצת הגרעין לאחר 3 ימים נמוך מתחת לסף היכולת לגדל את הנגיף בתרבית. נתונים מילדים מודבקים בנגיף לא פורסמו עדיין.
בדיקות סרולוגיות לזיהוי נוגדנים לנגיף
בדיקות סרולוגיות עשויות לזהות ברוב המקרים אנשים שהיו מודבקים בעבר בנגיף שכבר החלימו והתאוששו מההדבקה (Deeks וחב' ב-Cochrane database Systemic Review משנת 2020). עם זאת, חשוב העיתוי של הבדיקה הסרולוגית. בשלב זה, הפוטנציאל של הבדיקה הסרולוגית על מנת לברר האם הנבדק כבר מחוסן כנגד הנגיף, אינו ברור. חלק מתגובת מערכת החיסון להדבקה בנגיף האמור, כולל יצירת נוגדנים מסוג IgM ו-IgG. על פי ה-FDA, נוגדני IgM כנגד SARS CoV-2 ניתנים לזיהוי תוך מספר ימים מההדבקה בעוד שנוגדני IgG מופיעים לאחר 10–14 יום, אך מגיעים לשיאם בערך כעבור 28 יום לאחר ההדבקה. עם זאת, רק 30% מאלה שנמצאו חיוביים להדבקה בנגיף נמצאו בעלי נוגדנים ביום השביעי לאחר ההדבקה.
נוגדנים בדרך כלל ניתנים לזיהוי 14 יום לאחר ההדבקה, והבדיקה מחייבת נטילת דגימת דם (Mandavilli ו-Thomas ב-New-york Times מ-11 באפריל). הבדיקה מתבצעת בעת כתיבת מאמר זה על ידי Quest Diagnostics ועל ידי LabCorp. חברת Roche מציעה בדיקה סרולוגית בשיטת ELISA סלקטיבית. בכמה מדינות באירופה זו בדיקת שגרה (Fellmann ב-Tages Anzeiger משנת 2020). בשלב זה דיוק הבדיקה הסרולוגית אינו גבוה במיוחד (Ferran ב-Popular Science מ-7 במאי 2020). באשר לרגישות הבדיקה הסרולוגית, נדרשת כמות סבירה של נגיף לקבלת תוצאה חיובית, לפיכך, גם רגישות בדיקה גבוהה עלולה לתת תוצאות false negative באוכלוסיות עם רמת הדבקה נמוכה. ברוב המקרים של רגישות נמוכה, הסיבה נעוצה בדיגום לא ראוי של החדרת המטוש לאף באופן שאינו עמוק דיו. משך הזמן שחלף מההדבקה בנגיף, תורם אף הוא לרגישות נמוכה, דהיינו נטילת דגימה לפני שהנגיף הגיעה לשיא שגשוגו, או לחלופין נטילת דגימה כבר לאחר שדרגת ההדבקה פחתה. גם אחסון הדגימה לפרק זמן ארוך מדי טרם ביצוע הבדיקה, עלול לגרום להתפרקות RNA, או לדיסאינטגרציה של הנגיף (Ferran ב-The Conversation משנת 2020).
שיטת RT-PCR מצטיירת כשיטה האבחונית המדויקת ביותר, ובעלת רגישות וספציפיות גבוהות במעבדה הקלינית. במחקר אחד, הרגישות של שיטה זו הייתה של 100% בשבוע הראשון לאחר ההדבקה, אך ירדה ל-89.3% בשבוע השני, ל-66.1% בשבוע השלישי, ל-32.1% בשבוע הרביעי, ל-5.4% בשבוע החמישי ול-0% בשבוע השישי לאחר ההדבקה (Xiao וחב' ב-Clin Infect Dis משנת 2020).
המיקום בגוף ממנו ניטלת דגימה משפיע על רגישות התוצאה לגבי COVID-19 בבדיקה שנערכה ב-Wuhan על 205 מטופלים, באופן הבא: דגימות מנוזל BAL היו בעלות רגישות של 93%; דגימות מכיח היו בעלות רגישות של 72%, דגימות ממטוש אפי-63%, דגימות ביופסיה פיברו-ברונכיאלית-46%, דגימות מטוש מהלוע - 32%, דגימות מצואה - 29%, ודגימות מהדם - רגישות של 1%. מחקר הולנדי השווה 7 ערכות PCR מסחריות של חברות כגון R-Biopharm AG, BGI, KH Medical, ו-Seegen, ומצא שכולן היו בעלות רגישות גבוהה (van Kasteren וחב' ב-J Clin Virol משנת 2020). כאשר הבדיקה מתבצעת בשיטת Isothermsal nucleic amplification, נמצא במחקר אחד ששימוש בערכת ID Now COVID-19, הראה רגישות ממוצעת של 85.2%. על כך הגיבה חברת Abbott יצרנית הערכה, שהסיבה לרגישות הלא גבוהה נבעה כנראה מעיכובים בביצוע האנליזה. WHO ממליצה שמדינות החסרות יכולת מעבדתית מוכחת לביצוע בדיקות לזיהוי SARS CoV-2, תשלחנה את 5 הדגימות הראשונה המתקבלות אצלן חיוביות, ואת 10 הדגימות הראשונות המתקבלות אצלן שליליות, לאחת מתוך 16 מעבדות reference של WHO, לבדיקה חוזרת מאשררת. שבע מתוך 16 המעבדות הללו נמצאות באסיה, חמש מתוכן ממוקמות באירופה, שתיים באפריקה, אחת בצפון אמריקה ואחת באוסטרליה.
גישות שונות בהתנהלות מדינות לריסון התפשטות הנגיף
איסלנד הצליחה להפחית משמעותית את ההדבקה על ידי ניטור אגרסיבי של מגע עם אנשים נגועים, הגבלות חמורות של תיירות נכנסת, ריבוי בדיקות מעבדה, הסגרים מקומיים במוקדי הדבקה, אך הימנעות מסגר טוטאלי (Nordic Life Sci מ-27 במרץ). המכה הקשה שניחתה על מחוז לומברדיה בצפון איטליה, עם אלפי מתים תוך תקופה קצרה בעיקר בקרב האוכלוסייה הקשישה באזור זה, הביאה את שלטונות הבריאות שם לנקוט בצעדים נחרצים. חוקרים ערכו בדיקות בכל תושבי Vò, היישוב בו נפטר הראשון מקורבנות הקורונה באיטליה. שם נבדקו 3,000 איש פעמיים בהפרש של 10 ימים. מחצית מהנבדקים שנמצאו חיוביים לא הראו כל סימנים קליניים. כל המתגלים החיוביים הוכנסו להסגר, והאזור כולו בודד מנסיעות לאזורי ארץ אחרים באיטליה. בדרך זו נמנעו באופן מוחלט הדבקות חדשות באזור האמור.
ראוי להתעכב על המדיניות למניעת התפשטות הנגיף ביפן. בניגוד למדינות אסיה אחרות, לא התרחשה מגפת SARS או MERS, ולכן במדינה זו תשתית של בדיקות PCR לא הייתה מפותחת, ביפן נבדקו בתחילה באופן מועדף אלה הסובלים מתסמיני מחלה קשים, ואלה הקרובים אליהם. יפן העדיפה אמצעי צבר (cluster) לזיהוי צברי הידבקות בנגיף. המדיניות ביפן הייתה של חינוך האוכלוסייה להימנע מהתגודדות בחללים סגורים, הימנעות מהתקהלות בכל מקרה, עטיית מסכות וגהות מוקפדת (מאמר מערכת ב-Bloomberg ב-23 במאי). ב-3 באפריל, יפנים עם תוצאות חיוביות חויבו להיוותר בבתיהם או במלונות ייעודיים אם מחלתם הייתה קלה או אף נטולת תסמינים, ובכך נמנע מצב של עומס יתר בבתי חולים. הגל הראשון של הדבקה מסין נבלם, והגל השני שנגרם על יפנים ששבו למדינתם מארצות הברית ומאירופה במחצית חודש מרץ, הביא להתפשטות המחלה ביפן בחודש אפריל. ב-7 באפריל הכריזה הממשלה בטוקיו על מצב חירום לאומי, שהיה אמנם פחות מאשר הכרזה על סגר מלא, שלא כלל חסימת ערים ואי יציאה מהבית, וב-13 במאי, חברות הביטוח שם כיסו ביצוע בדיקות לזיהוי אנטיגן נגיפי, ואלו שולבו עם בדיקות PCR.
מספר בדיקות PCR לגולגולת ביפן נותר נמוך בהרבה מבדיקות אלו במספר מדינות אחרות, מגמה של תמותת יתר נרשמה ביפן בחודש מרץ, מה שהביא להגברת בדיקות CT בעיקר בבתי חולים פריפריים. יפן הייתה נתונה תחת הרושם של ספינת הקרוז Diamond Princess שעגנה בנמל יוקוהמה. נוסעים רבים שהיו כלואים באנייה זו נמצאו בתחילה שליליים אך בבדיקות חוזרות התבררו כחיוביים. למחצית מהמקרים החיוביים בספינה, היו תסמינים של דלקת ריאות בבדיקות CT.
ברוסיה, עד תאריך 27 באפריל התבצעו 3 מיליון בדיקות, כאשר 183,000 נבדקים נמצאו חיוביים (על פי סוכנות TASS מ-27 באפריל). ב-28 אפריל קבעה ראש שירותי הבריאות שם, Anna Papova, ש-506 מעבדות עסקו בבדיקות קורונה ברחבי המדינה, וש-46% מאלה שנמצאו חיוביים היו נטולי תסמינים. לעומתם, 5% מהנבדקים החיוביים היו בעלי תסמינים חמורים, וכן 40% שם נדבקו מבני משפחה. בדיקות לנוכחות נוגדנים נערכו ל-3,200 רופאים במוסקבה, כאשר ב-20% מתוכם הוכחה חשיפה לנגיף.
בסינגפור, איתור מוקדם של שרשראות הדבקה, הביא לאיסור כניסה למדינה, לבדיקות מרובות ולהסגר באזורי מוקד תחלואה. בכך נמנע הצורך בסגר מוחלט בעיר-מדינה זו. בדרום קוריאה, גישה נרחבת של ביצוע בדיקות סייעה למניעת התפשטות ההדבקה (Kuhn ב-NRP.Org מ-12 במרץ). שלטונות דרום קוריאה גייסו אנשים צעירים שהיו מועמדים לשירות צבאי ככוח עזר חברתי, כאנשי ביטחון ואף כרופאים לשירות הציבור. מעבר להקפדה שיטורית על הימנעות מהתגודדות והקפדה על אמצעי זהירות מתבקשים, סייעו מגויסים אלה במעבדות לביצוע הבדיקות, מספר בדיקות PCR בקוריאה שעמד על 10,000 לכל מיליון תושבים היה הגבוה בעולם נכון לתאריך 13 אפריל, והוא עלה ל-20 אלף בדיקת/למיליון באמצע יוני. עשרים ושבע חברות קוריאניות עסקו ביצוא ערכות בדיקה, ואף תרמו ערכות אלו למטרות הומניטריות ל-120 מדינות. הכישלון שחוותה קוריאה בהסגר של מגפת MERS בשנת 2015, הותיר מדינה זו ערוכה יותר למגפת COVID-19.
בארצות הברית: מדינת ניו-יורק בה אחוז התחלואה היה הגבוה ביותר, הגבירה ביצוע בדיקות PCR, חייבה הוראות "הישארות בבית", ותגברה את מערכת הבריאות. ב-29 בפברואר, עוד לפני תחילת התמותה במדינה זו, הורשה ביצוע בדיקות במרכז Wordsworth. ראשי העיר והמדינה שכנעו את ה-CDC לאשר ביצוע בדיקות במעבדות של מדינת ניו יורק, ושכנעו את ה-FDA לאשר ערכות בדיקה מייצור מקומי. עד תאריך 13 במרץ בוצעו במדינה זו למעלה מאלף בדיקות ליום, מספר מעורר תהייה בכל קנה מידה, ואף כי מספר הבדיקות עלה ב-19 במרץ ל-10,000 בדיקות ליום, עדיין יש לתמוה על היערכות נמוכה ואיטית. באפריל, מספר הבדיקות בניו-יורק הגיע ל-20,000 ליום, כאשר תורים ארוכים השתרכו ליד בתי חולים של אנשים שביקשו להיבדק, זאת כיוון ששלטונות הבריאות של העיר הורו על ביצוע בדיקות רק למתאשפזים. אירוע מכונן התרחש על נושאת המטוסים USS Theodore Roosevelt, בה נבדקו 94% מצוות אניית המלחמה הזו שכלל 4,800 אנשי צבא, ונמצא ש-60% מתוך למעלה מ-600 אנשי הצוות שנמצאו חיוביים היו נטולי תסמינים. חמישה מלחים שנדבקו בנגיף, והשלימו תקופת בידוד, פיתחו בהמשך תסמינים דמויי-שפעת, ונמצאו שוב חיוביים ל-COVID-19.
אינטרפרטציה של התוצאות
Detected: מצביע על נוכחות RNA של הנגיף SARS CoV-2 ועל אפשרות תחלואה ב-COVID-19. תוצאה זו צריכה להישקל בהקשר של ההיסטוריה הרפואית של הנבדק, הממצאים הקליניים בהווה, וחשיפה אפידמיולוגית במועד ביצוע הבדיקה.
Undetected: שולל נוכחות של הנגיף SARS CoV-2 בדגימה הנבדקת. עם זאת, תוצאה זו יכולה להיות מושפעת משלב ההדבקה, סוג ואיכות הדגימה. יש לבחון את משמעות הבדיקה ביחס להיסטוריה של הנבדק ומצבו הקליני הנוכחי.
Indeterminate: מצביע על אפשרות שהנבדק נדבק עם וריאנט של SARS CoV-2, ויש לחזור על הבדיקה עם דגימה חדשה או בשיטה מולקולרית אחרת.
Inconclusive: מצביע על כך שנוכחות או היעדרות של SARS CoV-2 RNA בדגימה, לא ניתנה לאישור ודאי גם לאחר חזרה על הבדיקה, כנראה בגלל עיכוב מסיבה כלשהי של בדיקת RT-PCR. מומלץ על חזרה על הבדיקה בדגימה נוספת.
הוראות לביצוע הבדיקה
שיטת הבדיקה המקובלת ביותר RT-PCR. יש לשלוח למעבדה את הדגימות המקוררות (אם לא עברו 72 שעות מלקיחתן), או קפואות (לאחר יותר מ-72 שעות מלקיחתן). הדגימות יכולות להילקח על ידי מטוש אפי-לועי, מטוש פה-לוע, מטוש גרוני, קונכי (turbinate). מבחנת המטוש יכולה להיות מסוג Copan UTM-RT, או BD VTM או MicroTest M4 או M4-RT או M5. אין לקבל נוזל במבחנת המטוש המכיל גואנידין תיוציאנאט. את המטוש יש להעביר על פני רירית האף או הלוע קדימה ואחורה מספר פעמים על מנת לאסוף חומר רירי רב במידת האפשר. ניתן להכניס מטושים עם חומר שנאסף מרירת האף או הלוע באותה מבחנה. אין לכלול יותר מ-3 מ"ל של מדיום המבחנה המכילה את המטוש. נוזל נוסף לדיגום לקוח מ-bronchoalveolar lavage, שטיפה ברונכיאלית, כיח, או הפרשה אנדו-טרכאלית. יש לפסול דגימות במבחנות זכוכית, מטושים שהושרו ב-calcium alginate, מטושים שבאו במגע עם ג'ל או עם charcoal. אין לקבל דגימות שהוקפאו והופשרו, או דגימות חמות. יציבות הדגימות המקוררות -3 ימים, ויציבות הדגימות הקפואות - 7 ימים (על פי Loeffelholz ו-Tang ב-Emerg Microbes Infect משנת 2020).
ראו גם
המידע שבדף זה נכתב על ידי פרופ' בן-עמי סלע, המכון לכימיה פתולוגית, מרכז רפואי שיבא, תל-שומר;
החוג לגנטיקה מולקולארית וביוכימיה, פקולטה לרפואה, אוניברסיטת תל-אביב (יוצר הערך)

כניסה
עקבו אחרינו בפייסבוק 
