חסימת מעיים מאבני מרה - Gallstone ileus
עקרונות בכירורגיה
מאת ד"ר צבי קויפמן
| עקרונות בכירורגיה | ||
|---|---|---|
| שם המחבר | ד"ר צבי קויפמן | |
| שם הפרק | כירורגיה של כיס המרה ודרכי המרה | |
לערכים נוספים הקשורים לנושא זה, ראו את דף הפירושים – אבני מרה
נצור בין המעי לכיס המרה או הכולדוכוס עלול לגרום לחדירת אבן למעי. אירוע זה שכיח יותר בנצור לתריסריון, ואולם לעתים נדירות הוא מתרחש גם בנצור בכרכשת. אבן כזו עלולה לגרום לחסימת המעי באופן חלקי או מלא. רוב האבנים הללו עוברות את מערכת העיכול, ואולם 15% מהן נתקעות במעי, בעיקר באזור המעי הכרוך הסופי וגורמות לחסימת המעי. אבנים אלה הן סיבה שכיחה לחסימת מעי בחולים המבוגרים מ- 70 שנה, שלא בוצעו בהם ניתוחי בטן קודמים.
תסמינים קליניים
התסמינים הקליניים הם של חסימת מעי, והם כוללים כאבי בטן מפושטים, תפיחות הבטן, עצירות, בחילות והקאות. לעתים יש סיפור קודם של אבנים בדרכי המרה, ואולם במקצת מהחולים הביטוי הקליני הראשון למחלת כיס המרה הוא חסימת המעי. בבדיקה ניתן למצוא בטן תפוחה, ניע מעי מוגבר ולעתים רחוקות בטן רגישה.
אבחנה
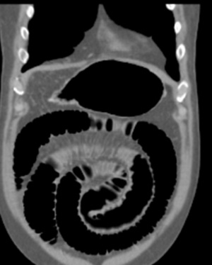
זו מבוססת על צילום בטן סקירה שבו ייראו:
- תמונה של חסימת מעי דינמית (תצלום 43.8)
- במקצת מהחולים ייראו גבולות האבן המסומנים על-ידי הגז במעי
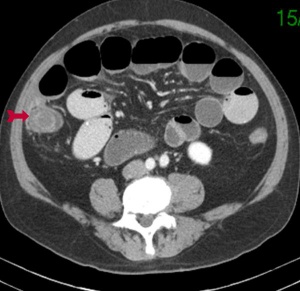
- ב- CT אפשר לראות תמונה של חסימת מעי דק עם הרחבה של לולאות מעיים ואת האבן החוסמת (תצלום 44.8)
| תצלום 44.8: חסימת מעי מאבן מרה (חץ מסמן את האבן החוסמת). | |
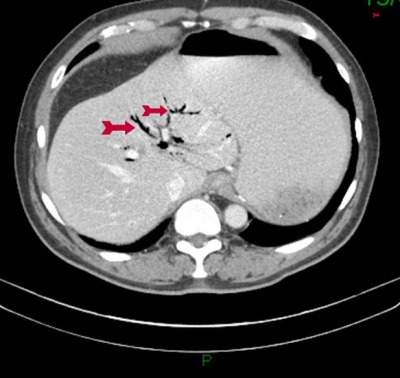
- במקצת מהחולים יימצא אוויר חופשי בדרכי המרה (תצלום 45.8).
אם מצויים שניים משלושת הסימנים הללו, הסבירות גבוהה שמדובר בחסימת מעיים מאבני מרה (Gallstone ileus).
טיפול
הטיפול בחולים אלו הוא ניתוחי. יש לבטים לגבי סוג הטיפול הכירורגי המומלץ. מנתחים רבים ממליצים לפתוח את המעי מעל האבן אנטרוטומיה (Enterotomy) ולהוציאה. יש מנתחים הממליצים לבצע את המהלך הדפיניטיבי כבר בניתוח הראשון.
- בחולים בעלי סיכון גבוה, שניתוח הנצור מסכן את חייהם, יש לטפל בחסימת המעי בלבד, ורק בשלב שני לכרות את הנצור.
- בחולים שמצבם הכללי שפיר, הטיפול יכול להיות דפיניטיבי. בניתוח, מבצעים אנטרוטומיה ומוציאים את האבן מהמעי, לאחר מכן מזהים את הנצור, כורתים אותו ומתקנים את הפגם במעי ובכולדוכוס.
פרוגנוזה
סגירה עצמונית של הנצור בחולים שבהם בוצעה אנטרוטומיה בלבד תתרחש רק במיעוט החולים, ואילו ב- 10% מהחולים שבהם הנצור לא טופל יופיעו שוב חסימות מעיים וכולאנגיטיס, ולטווח ארוך שכיחות יתר של שאתות ממאירות. לפיכך, יש הממליצים לבצע את המהלך הדפיניטיבי כבר בניתוח ראשון.
ראו גם
- לנושא הקודם: נצור ביליארי - Biliary fistula
- לנושא הבא: שאתות של כיס המרה - Gallbladder tumors
- לתוכן העניינים של הפרק
- לתוכן העניינים של הספר
- לפרק הקודם: כירורגיה של התעלה האנלית
- לפרק הבא: כירורגיה של הלבלב
המידע שבדף זה נכתב על ידי ד"ר צבי קויפמן, מומחה בכירורגיה, מנהל היחידה לבריאות השד, מרכז רפואי מאיר, כפר סבא

כניסה
עקבו אחרינו בפייסבוק