טבעת וסקולרית - Vascular ring
| טבעת וסקולרית | ||
|---|---|---|
| Vascular ring | ||
| יוצר הערך | ד"ר אברהם מתתיהו |
|
טבעות וסקולריות הן קבוצה של מומים שנובעים מאנומליות (Anomalies) בהתפתחות כלי הדם הגדולים. עקב התפתחות זאת יכול להיווצר לחץ על קנה הנשימה והוושט, ובעקבות זאת יופיעו תסמינים של לחץ על איברים אלה, כמו קוצר נשימה (Dyspnea) ודיספגיה (Dysphagia).
אטיולוגיה
ההתפתחות העוברית
מוקדם בהתפתחות העובר קיים אבי-העורקים הקדמי (Ventral aorta) ואבי-העורקים האחורי (Dorsal aorta) וביניהם מחברות שש קשתות בכל צד - ימין ושמאל.
- שתי הקשתות הראשונות הופכות לחלק מאספקת הדם העורקית לפנים.
- הקשת השלישית מכל צד הופכת לעורק התרדמה (קרוטיד).
- החלק האחורי (דורסלי) שבין הקשתות השלישית והרביעית מתנוון.
- הקשת הרביעית היא זו שיוצרת את קשת אבי העורקים הסופית:
- הקשת הרביעית הימנית הופכת לעורק התת-בריחי הימני הקריבני (פרוקסימלי) כאשר החיבור שלה לאבי העורקים האחורי מתנוון
- הקשת הרביעית השמאלית הופכת להיות קשת אבי העורקים שאנו מכירים.
- הקשת החמישית מתנוונת דו-צדדית.
- הקשת השישית הימנית הופכת להיות עורק הריאה הימני הקריבני, והקשת השמאלית הופכת לעורק הריאה השמאלי. החיבור של קשת זו לאבי העורקים הרחיקני (דיסטלי) הופך להיות הצינור העורקני (Ductus arteriosus).
בתמונה 2 מתואר השלב בו הקשת הרביעית הימנית והשמאלית עדיין מחוברות לאבי העורקים היורד. ציור זה עוזר להבין את האנומליות השכיחות.
באופן נורמלי מתנוון החלק הרחיקני של הקשת הימנית הרביעית, ואז נוצר המבנה הרגיל של קשת אבי העורקים השמאלית:
- ענף ראשון יוצא והולך ימינה, ונותן את העורק עלום השם (Innominate artery, או בשמו האחר: העורק הברכיוצפלי). ענף זה מספק דם ליד ימין ולמוח מימין.
- קשת אבי העורקים ממשיכה שמאלה, ועוברת בדרכה קדמית לקנה ולוושט.
- ענף שני נותן את עורק התרדמה השמאלי.
- ענף שלישי נותן את העורק התת בריחי המספק דם ליד שמאל.
- קשת אבי העורקים ממשיכה כדי להפוך לאבי העורקים היורד.
חוסר ניוון של הקשתות יוצר קשת אבי-עורקים כפולה, וניוון של החלק הרחיקני של קשת שמאלית יוצר קשת ימנית עם יציאת כלי הדם במנח של תמונת ראי מהמצב השכיח.
ניוון בין עורק התרדמה לעורק התת-בריחי (בימין או בשמאל) מסביר שני מצבים:
- מצב בו יוצא העורק התת בריחי הימני אחרון במקרה של קשת שמאלית
- מצב בו יוצא העורק התת בריחי השמאלי אחרון במקרה של קשת ימנית
סוגים של טבעות וסקולריות
טבעות וסקולריות שלמות
את הרוב הגדול (כ-90% מהמקרים) של טבעת וסקולרית שלמה יוצרות שתי צורות אנטומיות (תמונות בהמשך):
- קשת אבי-עורקים כפולה
- קשת אבי-עורקים ימנית, המכילה שתי צורות:
- קשת אבי-עורקים ימנית עם עורק תת-בריחי שמאלי לקוי (אברנטי) שיוצא אחרון, וכן רצועה (ליגמנט) של הצינור העורקני
- קשת אבי-עורקים ימנית עם ענפים היוצאים בצורה של תמונת ראי: הענף הראשון הולך קדימה ומתפצל לעורק תרדמה שמאלי ועורק תת-בריחי שמאלי ובהמשך לעורק תרדמה ימני ולעורק תת-בריחי ימני.
קשת אבי-עורקים כפולה
שתי הקשתות עוטפות את הקנה והוושט ועלולות ללחוץ עליהם. ברוב המקרים הקשת הימנית היא גדולה יותר. יש מקרים (עד 30%) שהקשת הקטנה יותר, לרוב השמאלית, נשארת רק בצורה של רצועה ללא חלל. מצב זה גורם ללחץ, כי עדיין יש טבעת מלאה, אך מקשה את האבחנה.
קשת אבי-עורקים ימנית
קשת אבי-עורקים ימנית עם עורק תת-בריחי שמאלי לקוי ורצועה של הצינור העורקני (תמונה 4):
במקרה זה מהקשת הימנית יוצאים ענפים בסדר הבא:
- ראשון יוצא עורק התרדמה השמאלי
- שני יוצא עורק התרדמה הימני
- שלישי יוצא העורק התת בריחי הימני
- רביעי יוצא העורק התת בריחי השמאלי. העורק התת-בריחי יוצא, אם כן, אחרון בשורה, מאחורי הוושט והקנה.
- לרוב, משלימה את הטבעת רצועה של הצינור העורקני, שמחבר בין עורק הריאה ובין אבי העורקים היורד או העורק התת-בריחי השמאלי. על ידי כך הוא משלים מעין טבעת שלמה (תמונה 3א).
לעתים צורה זו מלווה בבליטה בבסיס של העורק התת-בריחי השמאלי הלקוי, כפי שמתואר בתמונה 4א. בליטה זו נקראת הסעיף על שם קומרל (Kommerell' diverticulum). אם סעיף כזה נמצא בניתוח, ברוב המקרים נוהגים לכרות אותו: תוארו מקרים בהם אם מסתפקים בניתוק הרצועה של הצינור העורקני, הסעיף יכול עדיין ללחץ על הוושט. כמו כן, תוארו התפתחות מפרצות ואף דימום מסעיף הזה.
צורה נוספת של קשת ימנית שעלולה לגרום לטבעת היא ענפים היוצאים בצורה של תמונת ראי (תמונה 5):
- הענף הראשון הולך קדימה ומתפצל:
- לעורק תרדמה שמאלי ועורק תת-בריחי שמאלי
- בהמשך לעורק תרדמה ימני ולעורק תת-בריחי ימני
במקרים אלה הטבעת נסגרת על ידי רצועה של הצינור העורקני מימין, שמחברת בין עורק הריאה לאבי העורקים היורד, והוא עיקר הבעיה. צורה זו שכיחה מעט פחות כגורם לטבעת מאשר הצורה הקודמת של טבעת עם קשת ימנית.
יש לזכור, שקיום קשת ימנית צריך להעלות חשד גם לקיום מום לב. בכשליש מהחולים עם טטרלוגיה על שם פאלו (Tetralogy of Fallot) וכן בחלק מהמומים הבאים, אך לא רק בהם, יכולה להיות קשת ימנית:
- עורק יחיד רחב (Persistent truncus arteriosus)
- היפוך כלי הדם הגדולים (TGA - Transposition of the great arteries)
- אטמות המסתם התלת-צניפי (Tricuspid atresia)
- פגם במחיצה הבין-חדרית (VSD - Ventricular septal defect)
כמו כן, יש קשר בין קשת ימנית לחסר חלקי של כרומוזום 22.
טבעות וסקולריות לא שלמות
קשת אבי-עורקים שמאלית עם עורק תת-בריחי ימני אנומלי
העורק התת-בריחי הימני עובר מאחורי הוושט משמאל לימין ועושה שקע אחורי על הוושט. צורה אנטומית זו היא שכיחה ביותר (כ-0.5% מכלל האוכלוסייה) וברוב המקרים מתגלה בצורה מקרית. נדיר שצורה זו תגרום תסמינים של דיספגיה.
אנומליה של העורק עלום השם (Anomalous innominate artery)
במקרה זה העורק עלום השם יוצא מעט שמאלה מהרגיל, ויכול ללחוץ מעט על הקנה מלפנים. יש ויכוחים עד כמה התופעה הזו משמעותית.
לולאה וסקולרית (Vascular sling) - עורק ריאתי שמאלי אנומלי (Anomalous left pulmonary artery)
בתמונה 9 מודגם עורק הריאה, שמתפצל לעורק ראה ימני ושמאלי קדמית לקנה.
בתמונה 10 נראה עורק ריאה ראשי שממנו יוצא עורק ריאה ימני, ובאופן לא תקין עורק ריאה שמאלי יוצא מהימני, עובר מעל ומימין לסימפון (ברונכוס) ימני ראשי, מסתובב שמאלה ועובר מאחורי הקנה (בין הקנה לוושט).
בצילום ושט עם בריום נראה לחץ מלפנים על הוושט.
כאן, כאמור, הלחץ אינו על ידי קשתות אבי העורקים, וסוג זה מכונה לולאה וסקולרית (Vascular sling).
החולים לרוב סימפטומטיים מאוד, בדרך כלל מוקדם, כבר בחודש הראשון לחיים. המום מלווה לעתים קרובות באנומליות קשות של הקנה והסימפונות כמו: Complete Tracheal Rings, Stenosis, Webs and .
- טבעות סחוסיות שלמות (Complete tracheal rings)
- הצרות קנה הנשימה (Tracheal stenosis)
- רשת בקנה הנשימה (Tracheal webs)
- התרככות קנה הנשימה (Tracheomalacia)
כמו כן, ב-20% מהמקרים יש גם מומי לב מולדים.
קליניקה
רוב החולים מופיעים עם תסמינים בינקות. יש לזכור שיש כאלה בהם הביטוי הקליני מופיע יותר מאוחר, ויש אף כאלה שאינם סימפטומטיים, ושהאבחנה אצלם נעשתה במקרה. התסמינים יכולים לכלול:
- סטרידור (Stridor)
- הכחלות
- צפצופים
- קוצר נשימה
- שיעול נבחני
- תופעות דמויות גנחת הסימפונות (אסתמה).
- דיספגיה וקשיים באכילה (בולט יותר עם התחלת מוצקים)
- החמרת הבעיה הנשימתית בזמן האוכל.
בילדים קטנים לרוב התלונות נשימתיות, בגדולים יותר יש גם תלונות של בליעה.
אבחנה
בשילוב של הקליניקה, צילום עם בריום ואקוקרדיוגרפיה של הלב ניתן לאבחן בצורה די טובה את רוב הבעיות, ובהרבה מקרים זה מספיק כדי להחליט על ניתוח.
לאקו-דופלר (Doppler echocardiography) יש חשיבות רבה לאבחנה. ראשית, חשיבותו רבה כדי לשלול טבעת וסקולרית. אנו יכולים לראות את קשת אבי-עורקים ובדרך כלל את הענפים לראש ולידיים. אפשר לזהות אם הקשת היא ימנית, שמאלית או כפולה. ניתן לשלול וגם לאבחן לולאה וסקולרית. באקו-דופלר קשה לראות דברים שאין בהם זרימה, כמו אזור אטם (אטרטי) של חלק מקשת כפולה או רצועה של הצינור העורקני שאין בה זרימה. כמו כן, לא ניתן לראות את הלחץ שנוצר על הקנה או על הוושט.
יש בדיקות נוספות, כמו: טומוגרפיה ממוחשבת (CT - Computed tomography), אנגיוגרפיה בטומוגרפיה ממוחשבת (CTA - Computed tomography angiography) ודימות תהודה מגנטית (MRI - Magnetic resonance imaging) שיכולות לתת תמונה טובה יותר של האנטומיה, גם של כלי הדם וגם של הקנה והוושט, להראות את היחס ביניהם וגם את סימני הלחץ עליהם. יש שנמנעים לעשות בדיקות אלו באופן גורף בגלל הקרינה הכרוכה בטומוגרפיה ממוחשבת, ובגלל הצורך בהרדמה בבדיקות אלה - במיוחד בילדים קטנים שהם החולים העיקריים.
אפשרות נוספת היא, כמובן אנגיוגרפיה בצנתור, שעושים היום רק במקרים נדירים כאשר העניינים לא ברורים אחרי הבדיקות הלא חודרניות.
במסגרת הבירור של תלונות של חסימה או לחץ בדרכי הנשימה חלק גדול מהילדים יעברו גם בדיקת ברונכוסקופיה. יש חשיבות בבדיקה זו למציאת לחץ דמוי-דופק (פולסטילי) על הקנה, שמאשר אף הוא אבחנה של טבעת וסקולרית.
צילום חזה
בצילום חזה חשוב לנסות לראות אם יש קשת אבי-עורקים ימנית. קיום קשת ימנית מכוון אותנו לחשוב על אפשרות של טבעת וסקולרית. עוזר אם משלבים את הצילום גם עם בליעת בריום.
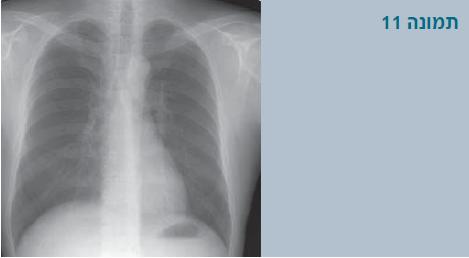
- בתמונה 11: רואים שקע (אינדנטציה) על הקנה משמאל, מתאים לקשת אבי-עורקים שמאלית.
- בתמונה 12: רואים שקע על הקנה מצד ימין שמחשיד מאוד לקשת ימנית.
- בתמונה 13: נראה לחץ מלפנים על הוושט, ואולי גם אחורי על הקנה, מתאים ללולאה וסקולרית, כאשר עורק הריאה השמאלי האנומלי עובר בין הקנה לוושט.
- בתמונה 14: נראה לחץ אחורי אלכסוני על הוושט שאופייני לעורק תת-בריחי ימני אנומלי (Anomalous right subclavia) שיוצא אחרון מקשת שמאלית ועובר ימינה מאחורי הוושט.
- תמונה 15: לחץ דו-צדדי על הוושט כאשר השקע מימין (של הקשת הימנית) גבוה יותר. מתאים לקשת אבי-עורקים כפולה. בתמונה מימין נראית תמונת אנגיוגרפיה של קשת אבי-עורקים כפולה.
אבחון טרום-לידתי
ברוב המקרים ניתן היום לאבחן קשת אבי-עורקים ימנית, ולעתים גם קשת אבי-עורקים כפולה, באקו לב עובר. במקרים אלה חשוב לעשות בדיקת FISH (Fluorescence in situ hybridization) לכרומוזום 22, כדי לשלול תסמונת די ג'ורג' (DiGeorge syndrome).
כמו כן, חשוב לבדוק את התינוק לאחר הלידה ולברר אם אכן יש טבעת וסקולרית או אם מתפתחים תסמינים של לחץ על הקנה והוושט.
טיפול
מקובל כי החולים שאינם סימפטומטיים אינם זקוקים לטיפול ניתוחי.
תיקון ניתוחי
מטרת התיקון היא לפתוח את הטבעת ולהסיר את הלחץ על הקנה ועל הוושט. ברוב המקרים הגישה היא בפתיחת בית חזה (Thoracotomy) שמאלית.
קשת כפולה
בקשת כפולה נוהגים לחתוך את הקשת הקטנה (השמאלית בדרך כלל), או את זו האטומה, באזור החיבור לאבי העורקים היורד.
לפני הניתוק, המנתח חוסם על ידי מלחציים (Clamps) את האזור שהוא רוצה לנתק ובודק את הדפקים בכל מקום (לוודא שהחיתוך לא יפגע באספקת הדם לכל כלי הדם).
קשת ימנית
במקרים אחרים, עם קשת ימנית, כאשר הגורם שסוגר את הטבעת הוא הרצועה של הצינור העורקני, בדרך כלל מספיק לחתוך אותה.
אם מוצאים גם סעיף על שם קומרל (Kommerell' diverticulum) נהוג לכרות אותו גם כן, ולחבר את העורק התת-בריחי השמאלי הלקוי לעורק התרדמה השמאלי (תמונה 16).
לולאה וסקולרית
במקרה של לולאה וסקולרית, יש שעושים זאת בגישה אמצעית על יד פתיחת הסטרנום (סטרנוטומיה) ומכונת לב ריאה. מנתקים את העורק הריאה השמאלי ממוצאו האנומלי, ומחברים אותו מחדש למקום הנורמלי בעורק הריאה הראשי. במקרים אלה שכיחות בעיות של הקנה, כמו טבעות סחוסיות שלמות, שמצריכות ניתוח מורכב יותר של הקנה עם החלמה ארוכה יותר. חשוב לזכור שאם יש מום לב וגם טבעת, יש צורך להתייחס גם לכך.
מקרים נדירים
יש מקרים נדירים, כמו קשת אבי-עורקים שמאלית שיורדת מימין עם רצועה של צינור עורקני ימני. במקרה זה יש צורך ללכת בגישה של תורקוטומיה ימנית לניתוק הרצועה של הצינור העורקני.
יש מרכזים מסוימים שמשתמשים בטכניקה של VATS (Video assisted thoracic surgical techniques). זוהי טכניקה של תורקוסקופיה (Thoracoscopy) שבה אין עושים חתך גדול, ומשתמשים דרך חורים קטנים וכלים מיוחדים ומצלמת וידאו כדי לעשות את הניתוח. יש חילוקי דעות לגבי השימוש בטכניקה זו, מחשש שליטה פחות טובה בדימום אם יתפתח כזה.
פרוגנוזה
בדרך כלל הניתוח הוא מוצלח, ויש הקלה מיידית בתסמינים. לעתים קרובות ההקלה לא שלמה - כנראה בגלל נזק מסוים וחולשה בקנה באזור המוצר בגלל הלחץ הממושך. מצב זה ממשיך להשתפר במשך שבועות וחודשים, לרוב עד לריפוי מלא או כמעט מלא והיעלמות התלונות.
ייתכנו גם סיבוכים בניתוח, שהם נדירים, שהן בעיות רגילות אחרי ניתוחים, כמו תמט ריאתי או דלקת ריאות. תיתכן גם פגיעה בעצב הסרעפת (Phrenic nerve) עם שיתוק של הסרעפת או פגיעה בעצב הגרוני החוזר (Recurrent laryngeal nerve) העובר באזור, ושיתוק של מיתר קול. כמו כן, היו גם מקרים של כילותורקס (Chylothorax) בגלל פגיעה בצינור החזה (Thoracic duct). יש מקרים נדירים מאוד שמצריכים התערבות נוספת, אם לא שוחרר לגמרי הלחץ של הטבעת.
ביבליוגרפיה
- Anderson RH, Baker EJ, Penny D, et al. Paediatric Cardiology, Third edition, copyright 2010
- Vascular Rings (e medicine) Author: Bhimji S. Locum Cardiothoracic and Vascular Surgeon. Saudi Arabia and Middle East Hospitals Updated: 2008
- Humphrey C, Duncan K, Fletcher S. Decade of experience with vascular rings at a single institution. Pediatrics 2006;117(5):903-908
- Achiron R, Rotstein Z, Heggesh J, et al. Anomalies of the fetal aortic arch: a novel sonographic approach to in-utero diagnosis. Ultrasound Obstet Gynecol 2002;20(6):553-557
- McElhinney DB, Clark BJ, Weinberg PM, et al. Association of chromosome 22q11 deletion with isolated anomalies of aortic arch laterality and branching. J Am Coll Cardiol 2001;37(8):2114-2119
- Shah RK, Mora BN, Bacha E, et al. The presentation and management of vascular rings: An otolaryngology perspective. International Journal of Pediatric Otorhinolaryngology 2007;71:57-62
קישורים חיצוניים
- טבעת וסקולרית ו-Sling Vascular Ring, מדיקל מדיה
המידע שבדף זה נכתב על ידי ד"ר אברהם מתתיהו, מנהל יחידת לב ילדים, מרכז רפואי קפלן, רחובות

כניסה
עקבו אחרינו בפייסבוק 











