טיפול ברונכוסקופי בנפחת הריאות - Bronchoscopic procedures for emphysema treatment
| טיפול ברונכוסקופי בנפחת הריאות | ||
|---|---|---|
| Bronchoscopic procedures for emphysema treatment | ||
| יוצר הערך | ד"ר אורן פרוכטר ופרופ' מרדכי קרמר | |
לערכים נוספים הקשורים לנושא זה, ראו את דפי הפירושים: – אנדוסקופיה, מחלת ריאות חסימתית כרונית
נפחת הריאות (Emphysema), המופיעה בעיקר לאחר חשיפה לעישון, היא מחלה מתקדמת המתאפיינת בהרס של רקמת הריאה התפקודית ומוליכה לנכות נשימתית. למעט הפסקת עישון, הטיפול התרופתי המצוי כיום עשוי לעכב את התקדמות המחלה באופן חלקי בלבד, ויעילותו בהקלת קוצר הנשימה המתקדם של החולים היא מוגבלת.
הקטנת נפח הריאות יכולה לעזור פיזיולוגית למכניקה של הנשימה בחולים עם נפחת הריאות ולכן טיפול ניתוחי, במהלכו נכרתת רקמת ריאה נפחתית, מהווה טיפול יעיל המשפר את איכות חיי חולים נבחרים, אם כי הוא כרוך בשיעורי תחלואה ותמותה ניכרים.
טיפולים ברונכוסקופיים (Bronchoscopic) זעירים פולשניים שונים, אשר משפרים את המכניקה של הריאה, נבחנים במספר מרכזים בעולם ובישראל. קיימות שיטות אנדוסקופיות שונות לטיפול בנפחת כדוגמת שסתומים חד כיווניים, החדרת דבק ביולוגי והחדרה של סלילים מתכתיים לסימפונות ורקמת הריאה. הניסיון שהצטבר מלמד כי השיטות השונות להקטנת ריאה ברונכוסקופית לחולי נפחת כרוכות בשיעור סיבוכים נמוך באופן משמעותי ביותר לעומת הניתוח המסורתי להקטנת נפח הריאה[1],[2],[3]. הפתרונות המצויים דורשים הערכה ארוכת טווח על מנת להעריך את יעילותם מבחינת השיפור בתפקודי הנשימה ומבחינת השיפור באיכות חיי המטופל. מאחר שקיימים טיפולים ברונכוסקופיים שונים לטיפול בנפחת, יידרש ניסיון מצטבר נוסף על מנת להתאים את סוג הפתרון לחולים המתאימים.
פתוגנזה
נפחת הריאות היא מחלה המתבטאת בהרס הולך ומתקדם של רקמת הריאה. הבועיות (Alveoli) בריאות נהרסות, נוצרים חללי אוויר גדולים ונפגעת האלסטיות של הריאה. העישון גורם לחוסר איזון בין פעילות תססים (Enzyme) הנקראים פרוטאזות (Protease) או מפרקי חלבון ובין אנטי-פרוטאזות. במקביל, העישון גורם לעלייה במספר תאי הדלקת והכדוריות הלבנות בריאות, ולכן מגביר את כמות הפרוטאזות בריאות. כמו כן, פועל העשן על האנטי-פרוטאזות ומפחית את כושר פעולתן לנטרל את פעולת הפרוטאזות. כתוצאה מכך מופר שיווי המשקל בשני אגפיו, נוצר הרס של בועיות הריאה ומתפתחת נפחת.
אחד החלבונים החשובים ברקמת הריאה הוא החומר הנקרא אלסטין (Elastin), המקנה לריאה את תכונותיה האלסטיות. חלבון זה נהרס כתוצאה מפעילות הפרוטאזות ונוצרת ירידה בתכונות האלסטיות של הריאה, היווצרות ניפוח יתר, השטחת הסרעפות עם ירידה בכושרן המכני וכליאת אוויר דינמית. לבסוף ישנה הפרעה בהתרוקנות הריאות בנשיפה עם תמונה קלינית ובתפקודי הריאה (Spirometry) של הפרעה איוורורית חסימתית[4].
ניתוחים להקטנת נפח הריאה
הניתוחים להקטנת נפח הריאה מתבססים למעשה על כריתה כירורגית של 20-30% מרקמת הריאה באזורים החולים ביותר שמתרכזים לרוב באונות העליונות[5],[6],[7]. כתוצאה מהסרת האזורים שתורמים יותר מכל להיווצרות נפח מת ותורמים באופן המשמעותי ביותר לפיזיולוגיה החסימתית, האזורים הנותרים הבריאים יותר מסוגלים לאוורר בקלות רבה יותר. בנוסף, הקטנת ניפוח היתר מחזירה את האיזון הפיזיולוגי בין גודל כלוב בית החזה ושרירי הנשימה, בייחוד הסרעפת, ומשפרת את תפקוד החולה במנוחה ובמאמץ[5],[6].
בתת אוכלוסיה נבחרת של חולים הלוקים בנפחת [אלה עם כושר פעפוע חמצן חד פחמני של יותר מ-20% ו-FEV1 (Forced Expiratory Volume at 1 second) מעל 20% ועם כושר תפקודי נמוך], הניתוח משפר את איכות החיים והדרגה התפקודית ואף נמצא כמשפר את תוחלת החיים [5],[6],[7].
במחקר רב מרכזי הידוע כ-NETT STUDY שכלל יותר מ-1,200 חולים, נצפתה תמותה תוך ניתוחית גבוהה של כ-5%, סיבוכים ותחלואה תוך ניתוחית של 9% ותחלואה אחרי ניתוח שהגיעה עד ל-59% וכללה אשפוז ממושך (28%), דליפת אוויר ממושכת מעל שבוע (90%), צורך בהנשמה מחודשת (21%), הזדקקות להנשמה ממושכת דרך טרכאוסטומיה (Tracheostomy) (8.2%) ודלקת ריאות (18%). יש לציין כי רק בכ-30% מהחולים שתיאורטית היו מועמדים אידיאליים לניתוח מבחינת תפקודי נשימה ודרגה תפקודית, נצפה שיפור משמעותי ביכולת התפקודית או בדרגת קוצר הנשימה כפי שדווח על ידי החולים בשאלון סנט גורג'[5],[6],[7].
שיעורי ההצלחה הנמוכים יחסית מחד ואחוז הסיבוכים הגבוה מאידך בטיפול הניתוחי המסורתי של הקטנת ריאה, הביאו בשנים האחרונות להתפתחות שיטות זעיר פולשנית ברונכוסקופיות אשר מיועדות להשיג אותה תוצאה פיזיולוגית אולם במחיר נמוך בהרבה מבחינת סיבוכים בתר טיפוליים ומבחינת אחוזי התמותה. היות שניתן לבצע את רוב הטיפולים הברונכוסקופיים תחת אלחוש קל באמצעות ברונכוסקופ גמיש, הרי אופציה זו היא טובה במיוחד לחולי נפחת ריאות קשים אשר עבורם הרדמה כללית ופתיחת בית חזה כרוכה בסיכון גבוה במיוחד[8],[9].
הקטנת ריאה באמצעות דבק ביולוגי
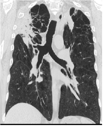
השימוש בדבק ביולוגי (Aeris Therapeutics, Mass, USA) נועד לפעול ברמת בועיות הריאה ודרכי האוויר הקטנות. החדרה של חומר קצפי שבסיסו גלוטראלדהיד (Glutaraldehyde) לבועיות הריאה גורם ליצירה של דלקת ריאות כימית מבוקרת כאשר בתהליך הריפוי של אותה דלקת נוצרת רקמה צלקתית הגורמת למשיכה ולהקטנה של רקמת הריאה וצמצום של נפחה (תמונה מס' 1). החומר, הידרוגל (Hydrogel), מוחדר באמצעות ברונכוסקופ גמיש דרך קטטר מיוחד תחת אלחוש קל בכמות של 10 מיליליטר (מ"ל) לכל תת יחידה (Sub-segment) של הריאה[10],[11],[12],[13].
במרכז הרפואי רבין עוסקים בטיפול בנפחת באמצעות שיטה זו מאז שנת 2009. עד שנת 2015 עברו את הפעולה במחלקה כ-45 חולים הלוקים בנפחת גם הטרוגננית וגם הומוגנית. אוכלוסיית החולים כללה חולים במחלת ריאות חסימתית קשה עם FEV1 ממוצע של 34% מהצפוי. משך הפעולה נע בין 5 ל-10 דקות כאשר החולים עוברים את הפעולה במסגרת אשפוז יום ולאחר 6 שעות השגחה משוחררים לביתם. במהלך הפעולה מטפלים בארבעה תתי יחידות שאותם בוחרים לפי בדיקת טומוגרפיה ממוחשבת (CT, Computed Tomography) ומיפוי ריאות, כאשר הטיפול נעשה דו צדדית באותה פעולה.
תופעות הלוואי העיקריות שבהן נתקלו במחלקה הן החמרה של מחלת הריאות החסימתית בכ-20% מהחולים, דלקת ריאות ב-2 חולים ומחלת חום המלווה בשקיעת דם מוחשת ועלייה בספירת הכדוריות הלבנות בכ-50% מהחולים הנובעת מתגובה סיסטמית לחומר המוזלף. תגובה זו נמשכת כ-1-2 ימים וניתנת להקלה משמעותית על ידי שימוש מניעתי בסטרואידים ונוגדי דלקת לא סטרואידליים (NSAID, Nonsteroidal anti-inflammatory drugs). לאחר ניסיון מצטבר של קרוב לשנה וחצי בסיכום ביניים נצפה שיפור סובייקטיבי אצל קרוב ל-67% מהחולים. שיפור של 12% ב-FEV1 הושג ב-27% מהחולים, והירידה הממוצעת בכליאת האוויר היתה 11.7. שיפור זה התבטא קלינית בעלייה ממוצעת של 28% במרחק הליכה ל-6 דקות ובשיפור של 13 נקודות במדד קוצר הנשימה.
מהניסיון המקומי והעולמי נראה כי לשיטה זו יתרונות על פני שיטות אחרות בפשטותה הטכנית, במחיר הנמוך יותר ובכך שהיא עשויה להתאים לחולים בעלי נפחת הטרוגנית והומוגנית כאחד.
שסתומים חד כיוונים תוך סימפוניים
החדרה של שסתום חד כיווני לסימפון המוליך לאונה נפחתית מיועדת למנוע כניסת אוויר לאונה זו ובמקביל לאפשר לאוויר והפרשות להתנקז ממנה. האוויר מוסט לאזורים בריאים יותר של הריאה ובכך משתפר יחס אוורור-זילוח (Ventilation-Perfusion) של הריאה כולה ומושגת ירידה בכליאת האוויר באזורי הריאה החולים. בשלב מאוחר יותר, אם מושג תמט של אונה זו, מושג גם אפקט מכני של הקטנת ריאה עם תוצאותיו הפיזיולוגיות החיוביות. טיפול זה מתאים רק לחולים שבהם קיימת נפחת הטרוגנית (ברוב המקרים באונות העליונות) ומתאים פחות לחולים שבהם קיים אוורור דרך דרכי אוויר קולטרליות (Collateral ventilation) היות שבהם לא מושג תמט של האונה המטופלת[14],[15],[16],[17],[18],[19].
בשוק קיימים שני דגמים של שסתומים (Pulmonx Corp; Redwood City, CA and Spiration Inc; Redmond, WA) שני השסתומים עשויים ממסגרת ניטינול (Nitinol) (תמונה מס' 2) ושניהם ניתנים להחדרה באמצעות ברונכוסקופ גמיש תחת אלחוש קל. השסתומים מופיעים בגדלים שונים מ-4 מילימטר (מ"מ) ועד 8 מ"מ ולפני החדרתם יש צורך במדידה של גודל הסימפון או התת סימפון שבו מיועד השסתום להיות מונח על ידי התקן מיוחד המוחדר גם הוא באמצעות הברונכוסקופ הגמיש. בדרך כלל נדרשים בין 3 ל-4 שסתומים לסגירה של אונה. שתי הריאות בדרך כלל עוברות טיפול היות שהמחלה היא ברוב המקרים דו צדדית, אם כי בדרך כלל לא באותה פעולה בשל החשש מהתפתחות חזה אוויר (Pneumothorax) דו צדדי.
מספר מחקרים ללא קבוצת ביקורת נערכו בשימוש בשני סוגי השסתומים במספר מרכזים בארצות הברית ובאירופה[14],[15],[16],[17],[18],[19]. התוצאות מבחינת מדדים אובייקטיבים הינן צנועות כאשר שיפור ב- FEV1 נצפה ב-18-46% מהחולים ושיפור במרחק הליכה לשש דקות נצפה ב-11-55% מהחולים. מדדים סובייקטיביים המדווחים על ידי החולים היו מרשימים יותר: עד 85% מהחולים דיווחו על שיפור בקוצר הנשימה לאחר חודש ימים ולאחר חצי שנה.
התוצאות הטובות ביותר מבחינה אובייקטיבית וסובייקטיבית הושגו בחולים שבהם הושג תמט חלקי או מלא של אונה אחת או יותר. יחד עם זאת, תמט זה הושג רק בכ-25% מהחולים. המנגנון דרכו נמנע תמט בקרוב החולים קשור לקיומה של מערכת אוורור קולטרלית שדרכה האוויר ממשיך להגיע לאונה על פני סדק בין אונתי לא שלם, למרות חסימת הסימפון המוליך אליה על ידי השסתום.
הפעולה נמצאה כבטוחה והיתה כרוכה בשיעורי סיבוכים נמוכים למדי. התמותה לא עלתה על 1%. סיבוכים אחרי הפעולה כללו החרפה של מחלת הריאות החסימתית הבסיסית (5-20%) והתפתחות חזה אוויר (7-11%).
ניתן לסכם כי הטיפול בשסתומים בחולים נבחרים הלוקים בנפחת מוביל לשיפור משמעותי באיכות החיים במחיר נמוך יחסי של סיבוכים. עבודות נוספות נערכות (נכון לשנת 2015), אולם לא בוצעו עבודות מבוקרות שבהן נבדק אפקט הפלצבו בשל קשיים אתיים. יתרון בולט של השיטה הוא בהיותה הפיכה - ניתן להסיר שסתומים אלה בקלות בברונכוסקופיה חוזרת.
אטמים תוך סימפוניים - Endobronchial blockers
החדרה של אטמים תוך סימפוניים, העשויים ממסגרת מתכתית בדומה לתומכון (Stent) ובמרכזם פקק אוטם באופן מוחלט את מעבר האוויר וההפרשות, נוסתה בעבר מתוך מחשבה כי תגרום לתמט של האונה המטופלת ולהשגה של הקטנת ריאות בדרך זעיר פולשנית. הניסיון בשיטה זו נזנח במהרה כאשר התברר כי היא כרוכה בשיעור גבוה של נדידת ההתקן ממקומו והיווצרות דלקת ריאות אחר חסימתית (Post obstructive pneumonia). שיטה זו אינה נמצאת בשימוש קליני לאור שיעור הסיבוכים הגבוה[20].
תומכונים עוקפי דרכי אוויר - Airway bypass stents
ההיגיון הפיזיולוגי בשיטה זו מבוסס על יצירה אנדוסקופיה של דרכי אוויר זעירות על מנת לגרום ליציאה של אוויר מהאונות הלוקות בנפחת. יצירה של תעלות זעירות למעבר אוויר, בעלות תנגודת נמוכה לזרימת אוויר, תגרום לאוויר כלוא לדלוף דרכן בעוד שאותה אונה נפחתית תתקשה להתרוקן דרך דרכי האוויר הטבעיות שלוקות בהפרעה חסימתית קשה עם תנגודת גבוהה למעבר אוויר דרכן[21],[22],[23]. הגישה הזו מתאימה במיוחד לחולים בעלי נפחת הומוגנית המערבת מספר אונות. הטכניקה (The Exhale EmphysemaSystem Broncus Technologies, Inc, Mountain View,Calif) מבוססת על זיהוי אזורים בסימפון הסגמנטלי ללא כלי דם גדולים בדפנותיהם על ידי דופלר סונוגרפי (Endobronchial ultrasound).
בשלב הבא מתבצע ניקוב של הסימפון על ידי מחט מיוחדת והרחבתו על ידי בלון זעיר ובעקבותיו החדרה של תומכון זעיר בקוטר כ-3 מ"מ שנועד לשמור את מעבר האוויר המלאכותי פתוח[24],[25],[26]. בעבודה ראשונית שכללה 35 חולים בוצעו באופן ממוצע 8 תעלות בשתי הריאות (טווח 2-12). נצפתה ירידה ממוצעת של 400 מ"ל בנפח השארי המבטא שיפור בכליאת האוויר, עם שיפור לא משמעותי בשאר המדדים בבדיקת תפקודי ריאה ושיפור קל בלבד במדדי קוצר הנשימה. סיבוכים לאחר הפעולה כללו החמרה של מחלת ריאות חסימתית (32%), Pneumomediastinum (5%) וזיהום ריאתי (27%). מקרה אחד של מוות כתוצאה מגניחת דם מסיבית דווח כסיבוך של הפעולה[24]. בברונכוסקופיה מעקב לאחר חצי שנה נצפה כי 70% מהתומכונים היו עדיין פתוחים.
הקטנת ריאה באמצעות החדרת קפיצים - Airway implants – coils
החדרת התקנים מתכתיים בצורת קפיץ המתבצעת באמצעות ברונכוסקופ גמיש מיועדת לחולים עם נפחת הומוגנית או הטרוגנית (PneumRx, Inc., Mountain View, Calif., USA). הפעולה כוללת החדרה לתוך רקמת הריאה של כ-10-20 תיילים מתכתיים באורך 10-20 סנטימטר העשויים ניטינול תחת שיקוף (תמונה מס' 3). ההיגיון הפיזיולוגי מכוון לשיפור של היכולת האלסטית של הריאות הנפחתיות עם הקטנה בכליאת האוויר ושיפור ביכולת התרוקנות הריאות בזמן נשיפה.
תוצאות ראשוניות ב-11 חולים הדגימו שיפור במדדים של תפקודי הנשימה בחולים עם שיפור מקביל ביכולת המאמץ ובדרגת קוצר הנשימה במנוחה. לא נצפו סיבוכים מיוחדים כגון חזה אוויר או דלקות ריאה. התוצאות לטווח ארוך עדיין אינן ברורות. לדוגמה, לא ברור עדיין האם קפיצים אלה עלולים לגרום להתפתחות ברונכיאקטזיות או היווצרות חזה אוויר בשלב מאוחר יותר[27].
טכניקה זו של טיפול דורשת הערכה נוספת אולם בהחלט מספקת בסיס פיזיולוגי נוסף השונה מהפעולות בהן נגרם תמט מוחלט של האונה החולה כגון על ידי החדרת שסתומים תוך סימפוניים חד כיווניים.
הקטנת ריאה באמצעות אדי מים חמים - Thermal vapor lung reduction
טכניקה זו מבוססת על החדרת קטטר מיוחד (Uptake Medical Corporation, Seattle, WA) באמצעות ברונכוסקופ גמיש לסימפונות המוליכים לאזורי הריאה הנבחרים ויצירה של כוויה מבוקרת של רקמת הריאה באמצעות אדי סליין (Saline) חמים המוזרמים דרכו. בתהליך הריפוי של הנזק התרמי נוצרת רקמה צלקתית ומושג למעשה הרס מבוקר של האזורים הנפחתיים בריאות[28].
לאחר שבוצעו מספר ניסויים בחיות מעבדה, מחקר ראשוני ב-11 אנשים הדגים פרופיל בטיחות טוב ללא תופעות לוואי משמעותיות, למעט שיעול. משך הפעולה הממוצע היה 22 דקות ובכל החולים טופלה רק אונה אחת. לאחר 6 חודשים נצפה שיפור משמעותי הן במדדים של תפקודי הנשימה והן בדרגת קוצר הנשימה של החולים במנוחה ובמאמץ. היתרון הגדול של השיטה הוא בכך שלא מוחדר כל גוף זר או חומר זר לחולה ולמעשה האפקט מושג על ידי התגובה הדלקתית של החולה לאדי הנוזל הפיזיולוגי החם. כאמור, התוצאות הראשוניות מעודדות אם כי מעקב ארוך טווח במספר חולים גדול עדיין נחוץ.
ביבליוגרפיה
- ↑ Ingenito EP, Wood DE, Utz JP. Bronchoscopic lung volume reduction in severe emphysema. Proc Am Thorac Soc. 2008;5(4):454-460.
- ↑ Hopkinson NS, Toma TP, Hansell DM, et al. Effect of bronchoscopic lung volume reduction on dynamic hyperinflation and exercise in emphysema. Am J Respir Crit Care Med. 2005;171(5):453-460.
- ↑ Hopkinson NS. Bronchoscopic lung volume reduction: indications, effects and prospects. Curr Opin Pulm Med. 2007;13(2):125-130.
- ↑ O’Donnell DE. Hyperinflation, dyspnea, and exercise intolerance in chronic obstructive pulmonary disease. Proc Am Thorac Soc. 2006;3(2):180-184.
- ↑ 5.0 5.1 5.2 5.3 Fishman A, Martinez F, Naunheim K, et al; and the National Emphysema Treatment Trial Research Group. A randomized trial comparing lung-volume-reduction surgery with medical therapy for severe emphysema. N Engl J Med. 2003;348(21):2059-2073.
- ↑ 6.0 6.1 6.2 6.3 DeCamp MM Jr, McKenna RJ Jr, Deschamps CC, Krasna MJ. Lung volume reduction surgery: technique, operative mortality, and morbidity. Proc Am Thorac Soc. 2008;5(4):442-446.
- ↑ 7.0 7.1 7.2 DeCamp MM, Blackstone EH, Naunheim KS, et al; NETT Research Group. Patient and surgical factors influencing air leak after lung volume reduction surgery: lessons learned from the National Emphysema Treatment Trial. Ann Thorac Surg. 2006;82(1):197-207.
- ↑ Herth FJ, Gompelmann D, Ernst A, Eberhardt R. Endoscopic lung volume reduction. Respiration. 2010;79(1):5-13.
- ↑ Reilly J, Washko G, Pinto-Plata V, et al. Biological lung volume reduction: a new bronchoscopic therapy for advanced emphysema. Chest. 2007;131(4):1108-1113.
- ↑ Ingenito EP, Tsai LW. Evolving endoscopic approaches for treatment of emphysema. Semin Thorac Cardiovasc Surg. 2007;19(2):181-189.
- ↑ Criner GJ, Pinto-Plata V, Strange C, et al. Biologic lung volume reduction in advanced upper lobe emphysema: phase 2 results. Am J Respir Crit Care Med. 2009;179(9):791-798.
- ↑ Refaely Y, Dransfield M, Kramer MR, Gotfried M, Leeds W, McLennan G, Tewari S, Krasna M, Criner GJ, et al. Biologic lung volume reduction for advanced homogenous emphysema. ERJ 2010;36:20-7.
- ↑ Wan IY, Toma TP, Geddes DM, et al. Bronchoscopic lung volume reduction for end-stage emphysema: report on the first 98 patients. Chest. 2006;129(3):518-526.
- ↑ 14.0 14.1 Strange C, Herth FJ, Kovitz KL, et al; VENT Study Group. Design of the Endobronchial Valve for Emphysema Palliation Trial (VENT): a non-surgical method of lung volume reduction. BMC Pulm Med. 2007 Jul 3;7:10.
- ↑ 15.0 15.1 Wood DE, McKenna RJ Jr, Yusen RD, et al. A multicenter trial of an intrabronchial valve for treatment of severe emphysema. J Thorac Cardiovasc Surg. 2007;133(1):65-73.
- ↑ 16.0 16.1 de Oliveira HG, Macedo-Neto AV, John AB, et al. Transbronchoscopic pulmonary emphysema treatment: 1-month to 24-month endoscopic follow-up. Chest. 2006;130(1):190-199.
- ↑ 17.0 17.1 Yim AP, Hwong TM, Lee TW, et al. Early results of endoscopic lung volume reduction for emphysema. J Thorac Cardiovasc Surg. 2004;127(6):1564-1573.
- ↑ 18.0 18.1 Venuta F, de Giacomo T, Rendina EA, et al. Bronchoscopic lung-volume reduction with one-way valves in patients with heterogenous emphysema. Ann Thorac Surg. 2005;79(2):411-417.
- ↑ 19.0 19.1 Springmeyer SC, Bolliger CT, Waddell TK, et al; and the IBV Valve Pilot Trials Research Teams. Treatment of heterogeneous emphysema using the spiration IBV valves. Thorac Surg Clin. 2009;19(2):247-253.
- ↑ Sabanathan S, Richardson J, Pieri-Davies S. Bronchoscopic lung volume reduction. J Cardiovasc Surg (Torino). 2003;44(1):101-108.
- ↑ Cetti EJ, Moore AJ, Geddes DM. Collateral ventilation. Thorax. 2006;61(5):371-373.
- ↑ Higuchi T, Reed A, Oto T, et al. Relation of interlobar collaterals to radiological heterogeneity in severe emphysema. Thorax. 2006;61(5):409-413.
- ↑ Macklem PT. Collateral ventilation. N Engl J Med. 1978;298(1):49-50.
- ↑ 24.0 24.1 Choong CK, Macklem PT, Pierce JA, et al. Airway bypass improves the mechanical properties of explanted emphysematous lungs. Am J Respir Crit Care Med. 2008;178(9):902-905.
- ↑ Cardoso PF, Snell GI, Hopkins P, et al. Clinical application of airway bypass with paclitaxel-eluting stents: early results. J Thorac Cardiovasc Surg. 2007;134(4):974-981.
- ↑ Rendina EA, De Giacomo T, Venuta F, et al. Feasibility and safety of the airway bypass procedure for patients with emphysema. J Thorac Cardiovasc Surg. 2003;125(6):1294-1299.
- ↑ Herth FJ, Eberhard R, Gompelmann D, Slebos DJ, Ernst A. Bronchoscopic lung volume reduction with a dedicated coil: a clinical pilot study. Ther Adv Respir Dis. 2010;4:225-31.
- ↑ Snell GI, Hopkins P, Westall G, Holsworth L, Carle A, Williams TJ. A feasibility and safety study of bronchoscopic thermal vapor ablation: a novel emphysema therapy. Ann Thorac Surg. 2009;88:1993-8.
קישורים חיצוניים
המידע שבדף זה נכתב על ידי ד"ר אורן פרוכטר - המכון למחלות ריאה, המרכז הרפואי רבין, קמפוס בילינסון, והפקולטה לרפואה ע"ש סקלר, אוניברסיטת תל אביב ופרופ' מרדכי קרמר -המכון למחלות ריאה, המרכז הרפואי רבין, קמפוס בילינסון, והפקולטה לרפואה ע"ש סקלר, אוניברסיטת תל אביב

כניסה
עקבו אחרינו בפייסבוק 