כיב הקיבה - Peptic ulcer disease
הופניתם מהדף כיב הקיבה לדף הנוכחי.
עקרונות בכירורגיה
מאת ד"ר צבי קויפמן
| עקרונות בכירורגיה | ||
|---|---|---|
| שם המחבר | ד"ר צבי קויפמן | |
| שם הפרק | כירורגיה של הקיבה והתריסריון | |
לערכים נוספים הקשורים לנושא זה, ראו את דף הפירושים – כיב פפטי
אפידמיולוגיה
המאפיינים האפידמיולוגיים של כיב הקיבה הם:
- שכיחות גבוהה יותר בגיל מבוגר - השיא הוא בעשור החמישי לחיים
- שכיחות גבוהה פי 2 בגברים מאשר בנשים
- שכיחות כיב הקיבה באוכלוסייה המערבית נמוכה פי 5 משכיחותו של כיב התריסריון
- שכיחות גבוהה יותר כמחלה משפחתית
- שכיחות גבוהה יותר באוכלוסייה בעלת קבוצת דם A.
- שכיחות גבוהה יותר בשכבות סוציואקונומיות נמוכות, בניגוד לכיב התריסריון
- שכיחות גבוהה יותר בקרב מעשנים
פתופיזיולוגיה
בחולי כיב הקיבה ניתן למצוא בדרך כלל רמות חומצה תקינות בקיבה, ונראה שמקור הנזק בחולים אלה הוא בהפרעה במנגנון ההגנה על רירית הקיבה, כגון:
- חדירות מוגברת של הרירית ליוני מימן
- ירידה בכושר ייצור הריר
- ירידה בקצב חילוף התאים האפיתליאליים בקיבה
- המנגנונים הקשורים בשכיחות יתר של הופעת כיבי קיבה הם
- הפרעות בהתרוקנות הקיבה
- איסכמיה
- פגיעה בהגנה הכימית (Cytoprotection) של רירית הקיבה
- Acid-pepsin disease
- דלקת קיבה בגלל רפלוקס של מרה (Bile gastritis)
- כיבים כרוניים שגורמות תרופות שונות, כגון Acetylsalicylic Acid (Aspirin), סטרואידים, Indomethacin
- נוכחות מסיבית של חיידקי HP
95% מכיבי הקיבה נמצאים באזור העקומה הקטנה. 60% מהכיבים הללו נמצאים במרחק של 6 ס"מ מהשוער. שלושה אתרים אופייניים לכיב הקיבה:
- כ-20%-15% מהכיבים ממוקמים במערת השוער (אנטרום). ב-25% מהמקרים ימצא גם כיב התריסריון. בדרך כלל המנגנון הוא של חומציות יתר, בייחוד אם הכיבים קדם-שועריים (Pre-pyloric)
- 60% מהכיבים מצויים באזור האינסיסורה, והם קשורים ברפלוקס של מרה לקיבה
- 20%-15% מהכיבים מצויים מעל האינסיסורה, ובחולים אלה ניתן למצוא הפרשה נמוכה של חומצה או חוסר חומצה
כיבים שגורמות תרופות יכולים להימצא בכל מקום בקיבה. בצורה האופיינית הם מתחילים בקרקעית הקיבה (פונדוס) ומתפשטים לעבר השוער.
תסמינים קליניים
הסיפור הקליני דומה חלקית לזה של החולים בכיב התריסריון. כאבים ברום הבטן (אפיגסטריום) הם התלונה העיקרית של חולי כיב הקיבה. הכאבים מרוכזים בעיקר בבטן עליונה משמאל לקו האמצע, אך הם אינם חדים. הם מופיעים בדרך כלל מיד לאחר הארוחה (30 דקות), ולעיתים מלווים בבחילות והקאות. הכאבים עלולים להימשך שבועות מספר, והם מוקלים באכילה או על ידי סותרי חומצה. לעיתים הכאבים מוחמרים באכילה, וגורמים לכך שהחולה יימנע מלאכול וירד במשקל. הכאבים מוחמרים בשתיית נוזלים חמים או אלכוהול.
לעיתים החולה יפנה לרופא עקב סיבוכי המחלה, כגון:
- התנקבות - שבה החולה מופיע למיון עם כאבי בטן עזים וחדים ובטן קשה כקרש
- דימומים חדים - המאופיינים בהקאות דמיות (המטמזיס) ובשחרה (מלנה)
- דימומים כרוניים - עם אנמיה וחולשה
- הפרעות במעבר - המתבטאות בהקאות ולאחריהן הקלה
אבחנה
גסטרוסקופיה (תצפית קיבה) - כלי חיוני ביותר לאבחון ולטיפול בחולים אלה, בייחוד בשל האפשרות ליטול ביופסיות מהכיב בזמן האנדוסקופיה, ולקבל תשובה היסטולוגית או ציטולוגית מאזור הכיב. בחולים הלוקים בכיב בקיבה יש בעיה אבחנתית בין כיב ממאיר לשפיר. ב-5% מהחולים שבהם הביופסיות מהכיב היו שליליות נמצא בסופו של דבר כיב ממאיר. אפשר גם לקחת רקמה לבדיקת נוכחות חיידקי HP.
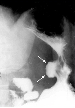
צילום קיבה בעזרת חומר ניגוד - האבחנה הרנטגנית חשובה במיוחד להבדיל בין כיב שפיר לממאיר. הכיב השפיר בצילום בולט מעבר לדופן, ואילו בכיב ממאיר הכיב נמצא בפגם מילוי, ולפיכך אינו בולט מעבר לדופן. ב-90% מהכיבים אפשר להבדיל בין שני הסוגים הללו. כיבים שפירים נמצאים ברובם בעקומה הקטנה באזור האינסיסורה, ואילו כיבים באזור העקומה הגדולה הם בדרך כלל ממאירים (תצלומים 8.3 ו-9.3).
טיפול
הנטייה לחזרות ולסיבוכים בחולי כיב הקיבה המטופלים באופן שמרני היא גבוהה יותר, ולכן יותר חולים מגיעים לניתוח.
טיפול שמרני
הטיפול בכיב הקיבה מבוסס על שינוי ה-pH של נוזלי הקיבה ושמירתם בערכי pH הגבוהים מ-5.5, על ידי מתן חוסמי H2 או מעכבי משאבות מימן מלווים בטיפול להכחדת חיידקי HP בחולים בהם נמצאו חיידקים אלו. הימנעות מעישון, מנוחה במיטה וארוחות קטנות פעמים רבות ביום. תרופות אנטיכולינרגיות אסורות, מכיוון שהן מעכבות את תנועתיות הקיבה.
התוכנית לטיפול שמרני כוללת טיפול אינטנסיבי בתרופות, מנוחה ומעקב על ידי גסטרוסקופיה וביופסיות. אם הכיב שפיר, ממשיכים בטיפול 3 שבועות. כ-50% מהכיבים נרפאים בתקופה זו. אם לא, ממשיכים בטיפול אינטנסיבי עוד 3 שבועות, ואז חוזרים על הבדיקה האנדוסקופית. 90% מהכיבים נרפאים בשלב זה חלקית, ואילו 70% נרפאים לחלוטין. בטיפול של 12 שבועות, נרפאים לחלוטין 90% מהכיבים. בקרב אלה, שהריפוי בהם נמשך 12 שבועות, 46% חזרו עם כיב לאחר שנתיים מתום הטיפול הראשוני. במקצת חולים אלה מופיעות שאתות ממאירות. בקבוצת החולים שלא החלימה לגמרי בתום 12 השבועות, שיעור החזרות היה 62%. לעומת זאת, בקבוצה המנותחת לא היו חזרות, ושיעור התמותה היה דומה לזה שבטיפול השמרני - 5%.
לסיכום: חולים שלא החלימו לאחר 12 שבועות וחולים שהחלימו והמחלה בהם חזרה מועמדים לניתוח. 16% מהלוקים בקרצינומה של הקיבה יגיבו לטיפול שנמשך 12 שבועות.
טיפול כירורגי
ההוריות לניתוח מסוכמות להלן:
- התנקבות הכיב
- קיבה בצורת שעון חול
- היצרות השוער
- חשד לממאירות
- דימומים חוזרים או מסיביים
- חוסר תגובה לטיפול שמרני
- כיב ענק
- כיבים חוזרים
בניתוח יש לכרות את הכיב בשלמותו ולשולחו לבדיקת חתך קפוא, או ליטול ביופסיות מ-4 פינות הכיב ולשולחן לבדיקה בחתך קפוא.
הטיפול הכירורגי בכיב הקיבה הוא כריתת קיבה מעבר לכיב. בכיבים שפירים הממוקמים באנטרום או בעקומה הקטנה מבצעים אנטרקטומיה בלי ואגוטומיה (כריתת עצב התועה) עם חיבור מחדש של גדם הקיבה לתריסריון. בחולים עם כיב תריסריון יש להוסיף ואגוטומיה. בכמה מרכזים בעולם ממליצים לבצע כריתת יתד של הכיב בקיבה, ובדיקה היסטולוגית של הכיב על ידי חתך קפוא, ואם הכיב שפיר, לסיים את הניתוח בואגוטומיה על-ברירנית ולסגור את דופן הקיבה. ניתוח זה הציעו מספר מנתחים כניתוח בחירה לכיב שפיר בקיבה.
בכיבים קדם-שועריים או בשוער עצמו, אפשר להסתפק בוואגוטומיה ובניקוז. נמצא שהטיפול בכיבים בשוער או בכיבים קדם-שועריים על ידי ואגוטומיה שלמה עם פילורופלסטיקה הוא בעל התוצאות הטובות ביותר יחסית לסוגי ואגוטומיה אחרים.
אם הכיב מצוי ליד פי הקיבה (קרדיה), אפשר לבצע כריתת יתד של הכיב, ואגוטומיה ופילורופלסטיקה. אם הכיב נמצא מעבר לאינסיסורה, בגוף הקיבה, מבצעים כריתת קיבה תת-שלמה. בכיבים בפונדוס מבצעים כריתת יתד רחבה וואגוטומיה עם פילורופלסטיקה.
בחולים עם תסמינים מועטים ומשך מחלה קצר אפשר לוותר על הוואגוטומיה ולתת להם לאחר הניתוח חוסמי H2 או מעכבי משאבת מימן.
בחולים הלוקים בהתנקבות כיב הקיבה טיפול שמרני אינו מוצלח, מכיוון שאטימה עצמונית של הכיב היא נדירה ביותר. בחולים בעלי סיכון ניתוחי גבוה מומלץ לנסות סגירה פשוטה של הכיב. הדבר אפשרי לרוב בכיבים של העקומה הגדולה. כריתת שולי הכיב (Wedge resection) עשויה לסייע לעיתים בסגירה, בעיקר אם הכיב ממוקם בחלק הנייד של הקיבה. בחולים שבהם הסגירה אינה נראית בטוחה, צריך לבצע כריתת קיבה חלקית. ניתוח לכריתת הקיבה מומלץ בחולים בעלי סיכון נמוך. בחולים בעלי כיב קדם-שוערי ניתן להסתפק באנטרקטומיה וואגוטומיה. מכיוון שכיבים בעלי מראה שפיר נמצאו (באופן נדיר) ממאירים, מומלץ לבצע ביופסיה מכל כיב שהתנקב לפני סגירתו.
בחולים הלוקים בחסימה עקב הצטלקות באזור השוער או באמצע הקיבה (קיבה בצורת שעון חול), יש לבצע כריתת קיבה או מעקף על ידי גסטרואנטרוסטומיה.
ראו גם
- לנושא הקודם: תסמונת זולינגר-אליסון - Zollinger-Ellison syndrome
- לנושא הבא: דלקת קיבה חושפת - Erosive gastritis
- לתוכן העניינים של הפרק
- לתוכן העניינים של הספר
- לפרק הקודם: כירורגיה של הצפק
- לפרק הבא: כירורגיה של המעי הדק
- מחלות של הקיבה והתריסריון
המידע שבדף זה נכתב על ידי ד"ר צבי קויפמן, מומחה בכירורגיה, מנהל היחידה לבריאות השד, מרכז רפואי מאיר, כפר סבא

כניסה
עקבו אחרינו בפייסבוק 