לימפומה של תאי B גדולים - Large B cell lymphoma
| לימפומה של תאי B גדולים | ||
|---|---|---|
| Large B Cell Lymphoma | ||
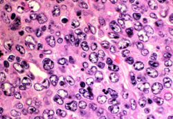
הגדלה מיקרוסקופית של לימפומה של תאי B גדולים, המראה את הפיזור הדיפוזי האופייני של התאים המעניק למחלה את שמה.
| ||
| שמות נוספים | לימפומה מפושטת של תאי B | |
| ICD-10 | Chapter C 83.3 | |
| ICD-9 | 200.7 | |
| MeSH | D016403 | |
| יוצר הערך | ד"ר אורי גרינבוים | |
לערכים נוספים הקשורים לנושא זה, ראו את דף הפירושים – לימפומה
מבוא
לימפומה של תאי B גדולים (Large B Cell Lymphoma ,LBCL) היא הלימפומה הסוערת (אגרסיבית) השכיחה ביותר. האבחנה נעשית לרוב בשל גוש שמתגלה, הפרעות בבדיקות דם, או כאבים הנגרמים ממסת המחלה. המחלה מאובחנת בביופסיה (Biopsy), הנותנת גם מאפיינים המסייעים לקביעת הפרוגנוזה (Prognosis) והטיפול המומלץ. בעוד שבקו ראשון מקובל לתת משלב של כימותרפיה עם טיפול בנוגדנים חד-שבטיים (monoclonal antibodies), בקווים מתקדמים נוספו אפשרויות טיפול מגוונות כגון טיפולי CAR T (Chimeric Antigen Receptor T-lymphocytes), טיפולים בנוגדנים דו-ראשיים, וטיפולים נוספים, המחליפים בהדרגה את הכימותרפיה והשתלת מח עצם עצמית שהיו מקובלות. הפרוגנוזה לרוב טובה, ורוב המטופלים מגיבים לטיפולים ויכולים להגיע להפוגה וריפוי מלא.
אפידמיולוגיה
לימפומה מסוג LBCL היא השכיחה מקבוצת הלימפומות הסוערות. הגיל חציוני באבחנה הוא 67, והיא מהווה כ-30 עד 50 אחוזים מכלל הלימפומות (איור 1)[1]. גברים מהווים כ-55 עד 60 אחוזים מהמאובחנים. רוב החולים מגיבים לטיפול בקו ראשון, והישרדות החולים חמש שנים לאחר האבחון היא מעל 60 אחוזים, ונמצאת בעליה עם כניסת טיפולים חדשים[2].
הודג'קין=Hodgkin
אינדולנטי=Indolent
אטיולוגיה
ברוב המקרים לא ניתן לזהות אטיולוגיה (Etiology) ברורה להתפתחות המחלה. עם זאת, לעיתים ישנן לימפומות אינדולטיות שעוברות התמרה (טרנספורמציה) ל-DLBCL. הלימפומות האינדולנטיות יכולות להיות קשורות למצב של דלקת כרונית, כמו זו הנגרמת עקב החיידק Helicobacter Pylori בקיבה. בנוסף, DLBCL ידועה כקשורה לווירוסים שונים, כגון HIV (Human Immunodeficiency Virus) או EBV ( Epstein–Barr Virus). גם חשיפה לרעלנים שונים יכולה להיות קשורה להתפתחות המחלה. עם התפתחות המידע הגנטי (genetic) הקשור להתפתחות המחלה, המיון של תתי הסוגים של LBCL משתפר, וב-2022 פורסם עדכון חדש של תתי הסוגים לפי ה-World Health Organization (WHO) (ראו טבלה 1)[3]. כפי שיוסבר בהמשך, תתי סוגים אלו משפיעים על הבחירה בטיפול, וכן על הפרוגנוזה.
טבלה 1 - תתי הסוגים של Large B Cell Lymphoma, מבוסס על שיטת המיון של WHO מ-2022
| Large B-cell lymphomas |
|---|
| Diffuse large B-cell lymphoma, NOS |
| T-cell/histiocyte-rich large B-cell lymphoma |
| Diffuse large B-cell lymphoma/ high grade B-cell lymphoma with MYC and BCL2 rearrangements |
| ALK-positive large B-cell lymphoma |
| Large B-cell lymphoma with IRF4 rearrangement |
| High-grade B-cell lymphoma with 11q aberrations |
| Lymphomatoid granulomatosis |
| EBV-positive diffuse large B-cell lymphoma |
| Diffuse large B-cell lymphoma associated with chronic inflammation |
| Fibrin-associated large B-cell lymphoma |
| Fluid overload-associated large B-cell lymphoma |
| Plasmablastic lymphoma |
| Primary large B-cell lymphoma of immune-privileged sites |
| Primary cutaneous diffuse large B-cell lymphoma, leg type |
| Intravascular large B-cell lymphoma |
| Primary mediastinal large B-cell lymphoma |
| Mediastinal grey zone lymphoma |
| High-grade B-cell lymphoma, NOS |
| Transformations of indolent B-cell lymphomas |
NOS=Not Otherwise Specified
קליניקה
לימפומות אגרסיביות מתאפיינות בהתפתחות מהירה, בתוך שבועות או חודשים, ובדך כלל מאופיינות עקב לחץ על איברים הגורם לכאב, חולשה ועייפות עקב ירידה בספירות דם ופעילות לא תקינה של המערכת החיסונית (immune system), או תסמיני B. תסמיני B כוללים לפחות אחד מהנזכרים לעיל: חום מעל 38 מעלות Celsius לפחות במשך חודש, הזעות לילה משמעותיות או ירידה במשקל לא מכוונת של 10 אחוזים במשך 6 חודשים הסמוכים למועד הבדיקה.
ללא טיפול, לימפומה מסוג LBCL מתקדמת עד לסיכון חיי המטופל, ולכן מקובל לטפל בכל החולים, בניגוד ללימפומות אינדולנטיות (זוחלניות) כגון לימפומה פוליקולרית (Follicular), בהן ניתן לעקוב ולטפל רק כאשר המחלה מתקדמת.
אבחנה
החשד ללימפומה עולה בדרך כלל כאשר נימוש גוש שגדל בקצב מהיר יחסית, או מופיעים כאבים שמובילים להדמיה. האבחנה מתבצעת על ידי ביופסיה של קשר לימפה, ועל מנת שניתן יהיה לראות את מבנה הבלוטה, לרוב מופנים המטופלים לביופסיה להוצאת קשר לימפה שלם או ביופסיה תחת הדמיה עם מחט חותכת (Tru-cut biopsy). מעבר לאבחנה עצמה, המתבצעת על ידי הסתכלות וצביעות אימונוהיסטוכימיות (Immunohistochemical), ניתן גם להגיע לתתי סוגים של DLBCL. הצביעות יכולות לעזור במיון ל-DLBCL מסוג germinal center, עם פרוגנוזה טובה יותר מתתי סוג אחרים, כגון activated B cell. כמו כן, ניתן לבדוק שינויים גנטיים של הגידול בדגימה, ובכך לאבחן תתי סוגים נוספים, כגון DLBCL מסוג Double Hit, בה יש אברציה בגנים (gene aberration) MYC ו-BCL2.
על מנת לאבחן את שלב המחלה בעת גילויה, מבצעים PET-CT (Positron Emission Tomography–Computed Tomography). בשל הרגישות הגבוהה יחסית של PET-CT לגילוי מעורבות מח עצם, והיעדר השפעה על ההחלטות הטיפוליות, לרוב ב-LBCL לא נדרשת ביופסיית מח עצם[4]. במקביל, מתבצעות בדיקות דם שכוללות ספירת דם, כימיה כולל תפקודי כליות, תפקודי כבד, רמות סידן ו-LDH (Lactate Dehydrogenase), וכן סרולוגיות לווירוסים כגון Hepatitis (כולל בדיקה לשלילת חשיפת עבר) ו-HIV. מטופלים עם מאפייני מחלה המצביעים על סיכון מוגבר למעורבות מערכת העצבים, יעברו לרוב הדמיה מוחית וניקור מותני על מנת לשלול מעורבות. לעיתים ניתן לתת במהלך טיפולי הקו הראשון או מיד אחריהם טיפול מונע למניעת מעורבות מערכת העצבים במחלה, אם כי הועלה ספק ביעילות הטיפול המונע[5].
עם קבלת האבחנה המדויקת, המטופל יופנה לטיפול למחלה בקו ראשון.
שיקולים בבחירת טיפול בקו ראשון
עם קבלת האבחנה, יש להעריך את יכולתו של המטופל לקבל טיפול כימו-אימונותרפי (Chemoimmunotherapy) אינטנסיבי. אם המטופל עם רמה תפקודית נמוכה, או שנראה כי לא ניתן לתת טיפול אינטנסיבי, ניתן לתת פרוטוקול פחות אגרסיבי, אשר חלקם הראו יעילות, בעיקר אצל חולים בגיל המבוגר[6]. אופציה נוספת היא הפניה למחקר קליני עם טיפולים ביולוגים או אימונתרפיים, או החלטה על טיפול תומך בלבד.
רוב המטופלים יופנו לטיפול למטרת ריפוי, עם מספר אופציות, המבוססות בעיקר על תת-הסוג של המחלה כפי שנמצאה בביופסיה:
- טיפול ב-RCHOP (rituximab, cyclophosphamide, doxorubicin hydrochloride (hydroxydaunorubicin), vincristine sulfate (Oncovin), and prednisone). טיפול זה מהווה את טיפול הבחירה ב-LBCL בקו ראשון מעל ל 20 שנה[7]. הוספת הנוגדן המונוקלונלי Rituximab הובילה לעלייה באחוזי ההפוגה והריפוי של החולים, והטיפול בדרך כלל נסבל היטב, וניתן פעם בשלושה שבועות למשך שישה מחזורים, לעיתים עם תוספת של שני מחזורי Rituximab לבד
- טיפול ב-Polatuzumab RCHP - הטיפול מבוסס על משלב ה-RCHOP, אך במקום אחת התרופות הכימותרפיות, ניתן נוגדן נוסף (Polatuzumab) שהוא נוגדן המצומד לכימותרפיה. טיפול זה הראה שיפור בהישרדות ללא מחלה (PFS, Progression Free Survival), אך עדיין לא בהישרדות הכללית[8]. בתת-אנליזה של המחקר, נראה כי עיקר היתרון הוא אצל חולי DLBCL עם תת-הסוג activated B cell
- טיפולים אינטנסיביים יותר, כגון משלב Dose adjusted R-EPOCH - משלבים כימותרפיים (Rituximab, Etoposide, Prednisolone, Vincristine, Cyclophosphamide, Doxorubicin) אלו ניתנים לרוב באשפוז, ומכילים תרופות רבות יותר, הניתנות לאורך יותר זמן. סדרות קטנות יחסית הראו תוצאות טובות יותר אצל חולים עם פרוגנוזה גרועה, כגון עם תת-הסוג Double hit lymphoma
מעקב אחר המטופלים אחרי קו ראשון
מקובל לעשות PET CT לאחר 3–4 מחזורי טיפול בקו ראשון. אם יש תגובה טובה לטיפול, עושים בדרך כלל PET CT נוסף בסיום הטיפולים, ובהמשך ממשיכים עם מעקב בלבד באמצעות בדיקות דם, ובדיקת המטופל על ידי המטולוג (hematologist) מדי מספר חודשים. לאחר כחמש שנים ללא חזרת המחלה, ניתן להגדיר ריפוי מלא. מטופלים אשר הגיבו לקו ראשון בתגובה חלקית בלבד, או שמחלתם חזרה במהלך המעקב, מופנים לקבלת טיפול בקו שני.
שיקולים בבחירת טיפול בקו מתקדם
מקובל היה לתת בקו שני טיפול כימותרפי אינטנסיבי, ובהמשך להתקדם להשתלת מח עצם עצמית. בטיפול זה, נאספים מראש תאי אב של המטופל, ולאחר מתן כימותרפיה במינון גבוה, מוחזרים למטופל על מנת לסייע בהתאוששות מח העצם. מספר מחקרים הראו תועלת משמעותית לטיפול CAR T בקו שני לעומת טיפול כימותרפי אינטנסיבי, הן מבחינת זמן ללא מחלה ובהישרדות המטופלים[9][10], והן באיכות החיים של המטופלים[11].
נכון לסוף 2024 מאושר בסל הבריאות התכשיר axicabtagene ciloleucel, או Yescarta בשמו המסחרי, לטיפול בקו שני אצל חולים שמחלתם חזרה בתוך שנה מקו הטיפול הראשון.
בסל 2025 נוסף לסל לקו שני גם Lisocabtagene maraleucel (Liso-cel CAR-T) (שם מסחרי Breyanzi).
גם בקווים מתקדמים יותר הכימותרפיה מפנה את מקומה לטיפולים בתחום הטיפולים ממוקדי המטרה והאימונותרפיה, עם כניסת אפשרויות כגון נוגדנים דו-ראשיים (Bispecific antibodies), נוגדנים מצומדים ועוד שיפורטו להלן.
האפשרויות לטיפולים בקווים מתקדמים
טיפולי CAR T
בטכנולוגיה זו נאספים תאי T של המטופל, ועוברים במעבדה הנדסה גנטית באמצעות וירוסים מהונדסים, הגורמים לביטוי קולטן כימרי. קולטן זה מזהה מטרה על תאי הגידול, ומשפעל את תאי ה-T כנגד הגידול. התאים מתרבים, מתקיפים את הגידול, ויכולים להישאר בגוף חודשים ואף שנים לאחר הטיפול. לטיפול תופעות לוואי משמעותיות, על רקע השפעול החיסוני, ובדרך כלל נדרש אשפוז של מספר שבועות להשגחה ושליטה בתופעות הלוואי. כאמור, טיפולים ב - CAR-T מאושרים למתן בסל הבריאות בישראל, עבור מטופלים עם DLBCL.
ישנם מחקרים בעולם על הקדמת הטיפול אף לקו ראשון בעיקר בחולים עם מדדים פרוגנוסטים גרועים, שהסבירות שיגיבו לכימותרפיה נמוכה.
נוגדנים דו-ראשיים (ביספציפיים)
נוגדנים דו ראשיים מזהים קולטן על תאי הגידול, ומצד שני מטרה על תאי T בגוף. בכך, הם מצמידים תאי T לתאי הגידול וגורמים להפעלתם נגד תאי הגידול. היתרון של טיפולים אלו הוא שהם "מוצר מדף" זמינים יותר ואין צורך ליצרם עבור כל מטופל. עם זאת, יש לתת את הטיפול במשך חודשים רבים, ולעיתים אף ללא הגבלת זמן, בניגוד ל-CAR T הניתן באופן חד פעמי.
תכשירים אלו מאושרים מקו שלישי ומעלה, לאחר שנצפו תגובות אצל אחוזים ניכרים של החולים בקו מתקדם[12]. מתקיימים מחקרים הבודקים מתן מוקדם יותר, ואף שילובם בקו ראשון.
נוגדנים מצומדי תרופה (Antibody-drug conjugates)
מדובר בנוגדנים כנגד מטרה על הגידול, המחוברים לכימותרפיה המשוחררת כאשר הנוגדן מוכנס לתא על ידי תא הגידול. נוגדנים אלו, ובפרט Polatuzumab vedotin, מהווים אופציה נוספת לטיפול בלימפומה מתקדמת, ולרוב משולבים עם כימותרפיה.
פרוגנוזה
עם התקדמות הטיפולים - הפרוגנוזה של חולי DLBCL השתפרה, מכ-50 אחוזים הבראה בעידן הכימותרפיה כשיטת הטיפול היחידה, ל 70 עד 80 אחוזים. הפרוגנוזה משתנה לפי מאפיינים קליניים, כגון גיל, רמת LDH, שלב המחלה, מצב תפקודי, והימצאות יותר מאתר אקסטרה-נודלי (extra-nodal) בזמן האבחנה. מדדים אלו מרכיבים את המדד הפרוגנוסטי International Prognostic Index (ІΡI), שפותח בשנות ה-90 של המאה ה-20. בהמשך המדד שוכלל, ופותחו מספר גרסאות שתלויות בגיל החולה, ומדדים קליניים נוספים.
בנוסף, שינויים גנטיים בעת האבחנה עוזרים למיון פרוגנוסטי משופר. תחום זה מתפתח באופן מהיר, ובקליניקה מקובל לעיתים קרובות לקבוע את הטיפול לפי המדדים הפרוגנוסטיים הגנטיים. לדוגמה, ניתן לחלק את ה-DLBCL לשתי קבוצות: תת-הסוג Germinal center B cell type ותת הסוג activated B cell, שנמצא עם פרוגנוזה פחות טובה. בנוסף, שינויים גנטיים בגנים כגון MYC ו-BCL2 משפיעים מאוד על הפרוגנוזה. בהתאם, גם שיטות המיון של תתי-הסוגים של DLBCL משתנות על מנת להתאים לשינויים אלו (טבלה 1). סביר כי המדדים הפרוגנוסטים ימשיכו להתפתח ולהיות מדויקים יותר בשנים הקרובות, הן בשל הידע הרבה הנצבר על השפעת המאפיינים הגנטיים על התנהגות המחלה, והן בשל הטיפול החדשים שנכנסים לשימוש אצל חולים רבים.
ביבליוגרפיה
- ↑ Wang, Sophia S. "Epidemiology and Etiology of Diffuse Large B-Cell Lymphoma (DLBCL)." Seminars in Hematology. WB Saunders, 2023.
- ↑ National Cancer Institute. "Cancer Stat Facts: NHL—Diffuse large B‐cell lymphoma (DLBCL)." (accessed at https://seer.cancer.gov/statfacts/html/dlbcl.html on 1/3/2025)
- ↑ Alaggio, R., Amador, C., Anagnostopoulos, I. et al. The 5th edition of the World Health Organization Classification of Haematolymphoid Tumours: Lymphoid Neoplasms. Leukemia 36, 1720–1748 (2022).
- ↑ Rutherford SC, Yin J, Pederson L, et al. Relevance of Bone Marrow Biopsies for Response Assessment in US National Cancer Institute National Clinical Trials Network Follicular Lymphoma Clinical Trials. J Clin Oncol. 2023 Jan 10;41(2):336-342.
- ↑ Orellana-Noia, Victor Manuel, et al. "Single-route CNS prophylaxis for aggressive non-Hodgkin lymphomas: real-world outcomes from 21 US academic institutions." Blood, The Journal of the American Society of Hematology 139.3 (2022): 413-423.
- ↑ Arcari, Annalisa, et al. "New treatment options in elderly patients with diffuse large B-cell lymphoma." Frontiers in Oncology 13 (2023): 1214026.
- ↑ Fu, Kai, et al. "Addition of rituximab to standard chemotherapy improves the survival of both the germinal center B-cell–like and non–germinal center B-cell–like subtypes of diffuse large B-cell lymphoma." Journal of Clinical Oncology 26.28 (2008): 4587-4594.
- ↑ Tilly, Hervé, et al. "Polatuzumab vedotin in previously untreated diffuse large B-cell lymphoma." New England Journal of Medicine 386.4 (2022): 351-363.
- ↑ Locke, Frederick L., et al. "Axicabtagene ciloleucel as second-line therapy for large B-cell lymphoma." New England Journal of Medicine 386.7 (2022): 640-654.
- ↑ Abramson, Jeremy S., et al. "Lisocabtagene maraleucel as second-line therapy for large B-cell lymphoma: primary analysis of the phase 3 TRANSFORM study." Blood 141.14 (2023): 1675-1684.
- ↑ Elsawy, Mahmoud, et al. "Patient-reported outcomes in ZUMA-7, a phase 3 study of axicabtagene ciloleucel in second-line large B-cell lymphoma." Blood, The Journal of the American Society of Hematology 140.21 (2022): 2248-2260.
- ↑ Falchi, Lorenzo, Santosha A. Vardhana, and Gilles A. Salles. "Bispecific antibodies for the treatment of B-cell lymphoma: promises, unknowns, and opportunities." Blood 141.5 (2023): 467-480.
קישורים חיצוניים
- עמותת חליל האור - עמותת חולי סרטן הדם בישראל
- האגודה למלחמה בסרטן - לימפומה
- קבוצת פייסבוק בנושא לימפומה (באנגלית)
המידע שבדף זה נכתב על ידי ד"ר אורי גרינבוים, רופא מומחה בהמטולוגיה, מנהל השירות לטיפולים תאיים בסרטן, המרכז הרפואי האוניברסיטאי סורוקה
מוגש כשירות לציבור בחסות חברת גיליאד, ללא מעורבות בתכנים. המידע אינו מהווה המלצה לטיפול רפואי או תחליף להתייעצות עם רופא. בלחיצה על הקישור מטה, תועבר לאתר של חברת גיליאד.

כניסה
עקבו אחרינו בפייסבוק