מורסה בלבלב - Pancreatic abscess
עקרונות בכירורגיה
מאת ד"ר צבי קויפמן
| עקרונות בכירורגיה | ||
|---|---|---|
| שם המחבר | ד"ר צבי קויפמן | |
| שם הפרק | כירורגיה של הלבלב | |
מורסה בלבלב היא סיבוך חמור ביותר, המופיע ב-4% מכלל דלקות הלבלב - 25% מכלל הדלקות הקשות. 42% מהמקרים מתפתחים לאחר ניתוחים. מקורות הזיהומים הם במעי, בדרכי המרה, התפשטות לימפתית או דרך הדם (המטוגנית). החיידק השכיח שנמצא במורסות אלה הוא ה- E. coli.
מורסת הלבלב היא ייחודית בהיותה מפושטת ובעלת כוח הרסני רב. היא מתפתחת בתהליך דינמי, מתפשטת במישורים שבין הרקמות, ובתוך כך חודרת לרקמות עצמן ואינה יוצרת קופסית מגבילה.
תסמינים קליניים
שתי צורות קליניות למורסות אלה: (א) הצורה החדה (Acute), המופיעה במרוצת התהליך הסוער; (ב) הצורה התת-חריפה (Subacute), המופיעה כעבור שבועיים-שלושה, בתקופת הרגיעה. האבחנה קשה. התסמינים הקליניים השכיחים הם כאבי בטן, תפיחות הבטן, רגישות בטנית, חום אלחי (ספטי), בחילות והקאות.
ב-37% מהחולים אפשר למשש גוש. לפעמים יופיע התהליך כמורסה באזור המפשעה או בשק האשכים. בכל חולה שבו התהליך הדלקתי בלבלב הראה סימני החלמה ולפתע חלה החמרה במצבו, יש לחשוד בהתפתחות מורסה בלבלב. הסיבוכים עקב המורסות הם נצורים למערכת העיכול - ב-23%, דימום קשה - ב-60%, אלח-דם - ב-40%.
אבחנה
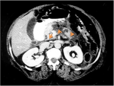
האבחנה נקבעת באמצעות העל-שמע (אולטרה-סאונד) והטומוגרפיה הממוחשבת המדגימים גוש כיסתי (ציסטי) המכיל תוכן סמיך ואוויר (תצלום 5.9).
טיפול
בלא טיפול כירורגי כל החולים ימותו. הטיפול הכירורגי כולל ניקוז המורסה, השארת נקזים גדולים ושטיפת החלל הצפקי. טיפול אנטיביוטי מסיבי נגד חיידקים גרם שליליים ואנאירוביים. ב-30% מהחולים יש צורך בהתערבות נוספת לאחר הניתוח הראשון. בסדרות שבהן נותחו החולים שיעור התמותה המדווח הוא כ-40%.
ראו גם
- לנושא הקודם: כיסית מדומה של הלבלב - Pancreatic pseudocyst
- לנושא הבא: דלקת לבלב כרונית - Chronic pancreatitis
- לתוכן העניינים של הפרק
- לתוכן העניינים של הספר
- לפרק הקודם: כירורגיה של כיס המרה ודרכי המרה
- לפרק הבא: כירורגיה של הכבד
המידע שבדף זה נכתב על ידי ד"ר צבי קויפמן, מומחה בכירורגיה, מנהל היחידה לבריאות השד, מרכז רפואי מאיר, כפר סבא

כניסה
עקבו אחרינו בפייסבוק