האומנטום - היבטים כירורגיים - Omentum - surgical aspects
הופניתם מהדף פדר לדף הנוכחי.
עקרונות בכירורגיה
מאת ד"ר צבי קויפמן
| עקרונות בכירורגיה | ||
|---|---|---|
| שם המחבר | ד"ר צבי קויפמן | |
| שם הפרק | כירורגיה של הצפק | |
לערכים נוספים הקשורים לנושא זה, ראו את דף הפירושים – מחלות של הצפק
הפדר (אומנטום) חשוב ביותר בהגבלת תהליכים זיהומיים בצפק. הצפק משתתף בתהליכים דלקתיים כרוניים כדוגמת שחפת, או בזיהומים בלתי סגוליים (לא ספציפיים). התמונה הקלינית מתבטאת בכאבי בטן, ובהתעבות ובצקת של האומנטום. במצבים אלה יש לכרות את האומנטום.
אוטם ופתלת (Torsion) של האומנטום - מקרים אלה שכיחים בחולים הסובלים מהידבקויות או מבקע (הרניאציה) של האומנטום. הסתמנויות המחלה הן: כאבי בטן, בחילות, הקאות, רגישות בטנית, ולעתים נימוש גוש בבטן. פקקת של כלי הדם יכולה להיות משנית לדלקת עורקים קשרית (פוליארטריטיס נודוזה), וגם אז הטיפול הוא כריתה של האומנטום.
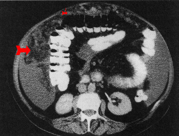
שאתות וציסטות - השאתות הן לרוב משניות ומקורן במערכת העיכול או באיברי המין (גניטליה). ציסטות ראשוניות או אנומליות בכלי דם מתגלות לעתים במקרה בניתוחים מסיבות אחרות. תצלום 3.2 מציג שאת משנית באומנטום (Omental cake).
ראו גם
- לנושא הקודם: מחלות אחורי הצפק - Retroperitoneal diseases
- לנושא הבא: שאתות אחור-צפקיות והרקמות הרכות - Retroperitoneal and soft tissue tumors
- לתוכן העניינים של הפרק
- לתוכן העניינים של הספר
- לפרק הקודם: כירורגיה של הוושט
- לפרק הבא: כירורגיה של הקיבה והתריסריון
המידע שבדף זה נכתב על ידי ד"ר צבי קויפמן, מומחה בכירורגיה, מנהל היחידה לבריאות השד, מרכז רפואי מאיר, כפר סבא

כניסה
עקבו אחרינו בפייסבוק 