פיאוכרומוציטומה - היבטים כירורגיים - Pheochromocytoma - surgical aspects
עקרונות בכירורגיה
מאת ד"ר צבי קויפמן
| עקרונות בכירורגיה | ||
|---|---|---|
| שם המחבר | ד"ר צבי קויפמן | |
| שם הפרק | כירורגיה של הבלוטות האנדוקריניות | |
לערכים נוספים הקשורים לנושא זה, ראו את דפי הפירושים: – יותרת הכליה, גידולי יותרת הכליה, גידולים נוירואנדוקריניים
מחלה זו מקורה בגידולים של ליבת יותרת-הכליה בעיקר, אולם היא יכולה להופיע גם בשאתות של הפאראגנגליונים המונחים לאורך עמוד-השדרה, מהאגן ועד בסיס הגולגולת. המשותף לכולם הוא שמקורם בתאי ה-APUD (תמונה 7.14).
תסמונות שונות קשורות לפיאוכרומוציטומה:
- גידולים אנדוקריניים מרובים (MEN), שהיא תסמונת משפחתית.
- מחלת Von Recklinghousen
- טרשת גבשושית (Tuberous Sclerosis)
- סינדרום Sturge-weber
- מחלת Von Hippel–Lindau (VHL)
בתסמונות אלו שכיח למצוא פיאוכרומוציטומה דו-צדדית.
הליבה של יותרת-הכליה מייצרת 3 סוגי קטכולאמינים: אפינפרין, נוראפינפרין ודופאמין. התמונה הקלינית של הפיאוכרומוציטומה קשורה בהפרשת-יתר של הורמונים אלה. באופן נורמלי הליבה מפרישה יותר אפינפרין מאשר נוראפינפרין. הרקמה הגנגליונית מפרישה רק נוראפינפרין.
פיאוכרומוציטומה היא מחלה נדירה. רק ל-0.4%-0.2% מהחולים הלוקים ביתר לחץ דם יש פיאוכרומוציטומה. רוב המקרים מופיעים במבוגרים, אולם קיימים מקרים גם בילדים. 20%-8% מהשאתות הן דו-צדדיות או מרובות. השכיחות בנשים גבוהה יותר ומרבית המקרים מתגלים בזמן ההריון.
7% מהחולים סובלים משאת ממאירה. השאת היא בעלת קפסולה בצבע חום-צהבהב עד חום-אדמדם. פלאומורפיזם, חדירה לכלי הדם, הלימפה ולתוך הקפסולה מופיעים, אולם אינם בהכרח סימן לממאירות. רק גרורות מרוחקות מעידות על ממאירות.
לאפינפרין ולנוראפינפרין השפעה דומה על המטבוליזם, אולם האפינפרין פוטנטי פי 100-30. לקטכולאמינים השפעה על קולטני אלפא וביתא. קולטני אלפא הם מגרים (אקסיטטורים) בפריפריה, בעוד אשר קולטני הביתא הם מעכבים (אינהיביטורים). גירוי אלפא גורם לכיווץ כלי דם פריפריים ולעלייה בלחץ הדם. התגובה הקרדיאלית של גירוי אלפא היא רפלקטורית ומועברת דרך הגירוי של העצב התועה (Vagus). גירוי ביתא גורם להרחבת כלי דם פריפרית ולירידה בלחץ הדם הדיאסטולי. בלב יש קולטני ביתא בלבד והם גורמים לטכיקרדיה. נוראפינפרין הוא מגרה אלפא טהור, אולם עם אפקט ביתא חלש על הלב, אותו ניתן למדוד לאחר חסימה של האפקט על האלפא. לאפינפרין אפקט מעורב של אלפא וביתא. הוא בעל אפקט אלפא יותר פוטנטי מאשר נוראפינפרין, אבל גם בעל אפקט ביתא חזק. לדופאמין אפקט מעורב המלווה באפקט ביתא על הלב, ואפקט של הרחבה של כלי הדם הכלייתיים.
הקטכולאמינים הם בעלי אפקט היפרמטבולי וגורמים לגליקוגנוליזם בכבד ולעלייה ברמת חומצות השומן, עקב עלייה בפעילות הליפזה ברקמות השומן. פעילות זו מועברת לתאים דרך שפעול האדניל- ציקלז.
תסמינים קליניים
- יתר לחץ דם התקפי (Paroxismal hypertension) מופיע ב-50%-30% מהחולים הלוקים בפיאוכרומוציטומה. תופעה זו נובעת מהפרשה לסירוגין של כמויות מוגברות של קטכולאמינים במצבים כמו סטרס, חבלה, פעילות גופנית, לחץ על הגוש, יחסי מין וכו'. לחץ-הדם מראה 3 דפוסי התנהגות:
- לחץ-דם תקין בין ההתקפים (5%).
- לחץ-דם מוגבר כל הזמן ללא התקפים (65%).
- לחץ-דם מוגבר מלווה בהתקפים (30%). התקפים אלה מלווים ב:
- הזעה (70%).
- טכיקרדיה (60%).
- חיוורון, לפעמים באודם (40%).
- כאבי ראש (30%).
- התעלפויות (25%).
- כאבים בחזה (15%).
- התכווצויות (3%).
- התמונה ההיפרמטבולית דומה לזו של פעילות יתר של בלוטת התריס (היפרתירואידיזם), מלווה ב:
- טכיקרדיה (70%).
- רעד ועלייה במטבוליזם הבסיסי (40%).
- תמונה הדומה לסוכרת ומלווה בגלוקוזאוריה, ועקומה פתולוגית של העמסת סוכר (10%).
- ירידה במשקל (25%).
- חום.
- בחילות (30%).
- התקפי חרדה (60%).
- מאורעות של אירוע מוחי (CVA)(3%).
- אי-ספיקת הלב.
- בצקת ריאות.
- הפרעות קצב.
- קוצר נשימה (15%).
- עצירות (10%).
- תופעת רנו (5%).
מקרי הפטירה שכיחים במיוחד בזמן התקף חד.
המחלה שכיחה בגילים 50-40.
אבחנה
- מבחנים פרובוקטיביים מתבצעים על-ידי היסטמין, טיראמין וגלוקגון, המשפיעים ישירות על התאים הכרומפינים, המשחררים קטכולאמינים.
- Phentolamine (Regitine) חוסם את הקולטנים המושפעים על-ידי הקטכולאמינים, וגורם להורדת לחץ הדם בחולים הלוקים בפיאוכרומוציטומה.
- בדיקות של הקטכולאמינים בדם ובשתן הן בדיקות ישירות להוכחת המחלה.
- ניתן לבדוק גם את המטבוליטים בשתן כמו: נורמטנפרין, מטניפרין, וחומצה וניליל מנדלית (VMA). כ-40% מהם מופרשים בשתן כ- VMA ו-40% כמטאנפרינים.
מיקום השאת
לאחר קביעת האבחנה יש צורך למקם את השאת. זאת ניתן לבצע על-ידי:
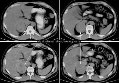
- טומוגרפיה ממוחשבת - בדיקה המאפשרת הדגמה טובה של יותרת-הכליה והשאת, והיא בדיקת הבחירה להדגמת יותרת-הכליה. חסרונה הוא בכך שהיא מדגימה גושים הגדולים מ- 1 ס"מ ואינה יכולה להבחין בין שאת פעילה לזו שאינה פעילה (תמונה 6.14- 7).
- ארטריוגרפיה: יש הטוענים שארטריוגרפיה עלולה לגרום להופעת התקף ולכן יש להכין תכשירים חוסמי פעילות קטכולאמינית לפני ביצוע הבדיקה.
- ניתן גם לבצע צנתור סלקטיבי של עורק הכליה ולהזריק חומר ניגוד.
- בדיקה אחרת היא צינתור של הווריד החלול ודגימה של קטכולאמינים בגבהים שונים. שיטה זו מסוכנת ועלולה לגרום ליתר-לחץ-דם חריף מכיוון שחומר הניגוד מכיל יוד, הגורם להפרשת הקטכולאמינים.
- שיטה אחרת היא המיפוי של יותרת-הכליה על-ידי דופאמין מסומן או מיפוי יותרת-הכליה על-ידי כולסטרול מסומן, והדגמת הבלוטה - אם קיים פגם מילוי בתוכה.
- בדיקה מתוחכמת יותר היא מיפוי עם חומר מסומן MIBG-I131. החומר מתרכז בעיקר בתאים הכרומפינים בפיאוכרומוציטומה. המיפוי חיובי ב-80% מהחולים בעלי אדנומה פעילה.
טיפול
הכנת החולה
הטיפול הכירורגי הינו הטיפול היחיד המרפא בחולים הלוקים בפיאוכרומוציטומה שפירה או ממארת. ההוריות לניתוח הן:
- חולים בעלי התקפים חוזרים.
- חולים הלוקים בפיאוכרומוציטומה ממארת.
- הפרשת-יתר של קטכולאמינים ללא מוקד ברור של פיאוכרומוציטומה.
- הפרשה מרובה פתאומית של קטכולאמינים.
- פיאוכרומוציטומה בזמן הריון — הניתוח יבוצע בטרימסטרים הראשון והשני להריון (כריתה מתוכננת). בטרימסטר השלישי יש לבצע כריתה דחופה.
רצוי מאוד לא לעכב את הניתוח של חולים אלה. על מנת שניתן יהיה לנתח את החולים ולהקטין את הסיכון בניתוח יש להכין את החולים. חולים תסמיניים שבהם הניתוח מתעכב או קיימת הוריית נגד לניתוח, יטופלו על-ידי חוסמי אלפא כאשר יש להם לחץ דם הגבוה מ-200/130 מ"מ כספית, התקפים שלא ניתנים לשליטה, או כאשר ישנה ירידה מתמשכת בנפח הדם (50% < Hm). הטיפול בחוסמי ביתא יתבצע כאשר לחולה טכיקרדיה יותר מ- 130, הפרעות קצב או אקסטראסיסטולות חדריות חוזרות.
הכנת החולה לניתוח כוללת טיפול על-ידי חוסמי אלפא בעיקר. רק בחלק מהחולים, לאחר טיפול בחוסמי אלפא, יש צורך להשתמש גם בחוסמי ביתא, במיוחד בחולים המפרישים רק אפינפרין.
- אחד מחוסמי האלפא שבשימוש הוא ה- Phenoxybenzamine, שיוצר קשר קבוע עם קולטן אלפא. את התרופה אפשר לתת דרך הפה במינון של 200-20 מ"ג במשך 7-5 ימים.
- תכשיר אחר בשימוש הינו ה-Phentolamine (Regitine) , הניתן רק דרך הווריד. פעולתו מתחילה לאחר 30 שניות, מגיעה לשיא לאחר 5 דקות ונמשכת כשעה. זאת בניגוד ל-Phenoxybenzamine, שפעולתו מתחילה כעבור שעה, ומגיעה לשיאה כעבור שעתיים. המינון של ה-Phentolamine הוא 50-2 מ"ג לשעה.
- ה-Propranolol (Deralin), שהוא חוסם ביתא, ניתן במינון של 10- 40 מ"ג כל 8-6 שעות, ודרך הווריד הוא ניתן במינון של 3-1 מ"ג במשך מספר דקות.
ההכנה של חולים נעשית עם Phenoxybenzamine. חולים הלוקים בהתקף חריף ובלחץ-דם גבוה מטופלים ב-Phentolamine. הכנת חולה אלקטיבי אורכת כ-10-4 ימים. ההרדמה קשה. יש להתחיל עם מתן של חוסמי אלפא, לעבור לאינדוקציה עם Thiopental וNitrous oxide והרדמה עמוקה עם Halothane. יש להכין Lidocaine למקרה של הפרעות קצב, לפעמים בתוספת של Phentolamine. כמות הנוזלים הניתנת היא רבה במיוחד וכוללת גם מתן של אלבומין. לחולים המתוכננים לעבור כריתה דו-צדדית של יותרת-הכליה יש להתחיל במתן סטרואידים לפני הניתוח. אם לא מבצעים כריתה דו-צדדית אפשר להפסיק את מתן הסטרואידים כעבור 4-2 ימים.
טיפול ניתוחי
הגישה הכירורגית המומלצת היא הגישה הלפרוסקופית שתוארה. הגישה הבטנית מתבצעת תוך אפשרות להארכת החתך לכיוון החזה - אם השאת גדולה. בדיסקציה יש להקפיד שלא לגעת בשאת. סקירת הבטן, בחיפוש אחר שאתות נוספות, חייב להתבצע כאשר מתרכזים במיוחד בעמוד-השדרה לכל אורכו, באגן, במיטת הכליה וכמובן בצד הנגדי (תמונה 8.14).
הגישה לשאת משמאל כוללת הזזה של הטחול וזנב הלבלב - מדיאלית ומטה - הרמת הקיבה תוך פתיחת האומנטום של הקיבה וכניסה לאמתחת הפדר (Lesser sac). הגישה לשאת מימין מתבצעת על-ידי הזזת הכרכשת בקפל הימני, הזזת התריסריון והווריד החלול מדיאלית.
את הניתוח יש להתחיל בקשירת כלי-הדם המספקים דם ליותרת-הכליה. שאתות גדולות הן לרוב ממאירות ויש לגשת אליהן בחתך בטני-חזי רחב, ולבצע Block resection, הכולל את הכליה, זנב הלבלב, הטחול ושאר איברים נגועים. שיעור התמותה הניתוחית הוא 3% בקירוב.
חולים עם מחלה משפחתית וילדים הם בעלי נטייה לפתח שאתות בשני הצדדים, או שאתות חוץ-אדרנליות.
פרוגנוזה
כאשר הניתוח הוא דו-צדדי יש לתת לחולים תמיכה על-ידי סטרואידים לכל חייהם. בחלק מהחולים יתר-לחץ-דם נשאר גבוה או עולה לאחר הניתוח. אם אין עדות לחזרת המחלה הם מגיבים טוב לטיפול נגד יתר לחץ דם. חלק מהחולים זקוק להמשך טיפול על-ידי Digitalis, עקב קרדיומיופטיה המתפתחת על רקע מחלה זו. בחלק מהחולים נשארת הסוכרת. כל החולים חייבים להישאר במעקב במשך כל חייהם.
חולים בעלי שאת ממארת של יותרת-הכליה לא מגיבים לכימותרפיה ולהקרנות. דווח על תגובה בחולים בעלי גרורות המטופלים על-ידי MIBG I131. המשך מעקב אחר חולים נחוץ כדי לגלות מחלה חוזרת. ברוב החולים לחץ-הדם חוזר לתקנו כעבור שנה.
ראו גם
- לנושא הקודם: שאתות יותרת-הכליה הגורמות פמיניזציה - Feminizing adrenal tumors
- לנושא הבא: נירובלסטומה - Neuroblastoma
- לתוכן העניינים של הפרק
- לתוכן העניינים של הספר
- לפרק הקודם: בקעים
- לפרק הבא: כירורגיה של המערכת הוורידית
המידע שבדף זה נכתב על ידי ד"ר צבי קויפמן, מומחה בכירורגיה, מנהל היחידה לבריאות השד, מרכז רפואי מאיר, כפר סבא

כניסה
עקבו אחרינו בפייסבוק