פתלת חדה של הקיבה - Acute gastric volvulus
עקרונות בכירורגיה
מאת ד"ר צבי קויפמן
| עקרונות בכירורגיה | ||
|---|---|---|
| שם המחבר | ד"ר צבי קויפמן | |
| שם הפרק | כירורגיה של הקיבה והתריסריון | |
פתלת חדה של הקיבה היא מחלה נדירה, הדורשת התייחסות כירורגית דחופה. התיאורים הראשונים של מצב זה פורסמו במחצית השנייה של המאה ה-18 כממצאי נתיחה. איחור בקביעת האבחנה או בטיפול, במקרים אלה, נושא בחובו תוצאות קטלניות.
מקרי פתלת הקיבה מסווגים על פי חמשת המאפיינים הבאים:
- ציר הסיבוב - הוא הקו המחבר את הקרדיה והשוער במקרים של פתלת חדה אורגנו-אקסיאלית; ציר הסיבוב הוא על ציר המזו של הקיבה - במקרים של פתלת מזנטרו-אקסיאלית
- היקף הפתלת - חלקי או מלא, בהתאם לחלק הקיבה הכלול בתהליך
- כיוון הסיבוב - קדמי או אחורי
- אטיולוגיה - יש להבחין בין פתלת ראשונית לבין פתלת משנית, הנראית כמתלווה לפתולוגיה כלשהי, בדרך כלל לבקע סרעפתי
- חומרה - מבדילים בין פתלת חדה, המלווה סימנים חריפים, לבין פתלת כרונית, שהיא בדרך כלל א-תסמינית
בשני שלישים מהחולים ציר הפיתול הוא אורגנו-אקסיאלי. שכיחות דומה יש גם בפתלת כרונית. על פי התיעוד בספרות הרפואית, מספר המקרים של פתלת חדה וכרונית זהה.
תסמינים קליניים
התסמינים הקליניים האופייניים למקרים חדים כוללים: כאב חד ברום הבטן, מלווה בתפיחות הבטן, בחילה מלווה בניסיונות כושלים להקאה, וחוסר אפשרות להחדיר זונדה לקיבה. השלב הסופי בתמונת המחלה החדה הוא של נמק הקיבה, עם סימנים של בטן חדה.
אבחנה
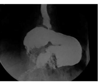
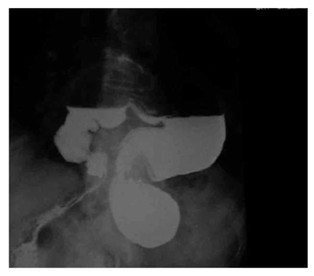
האבחנה נקבעת חד-משמעית על-ידי שיקוף דרכי העיכול העליונות, לאחר מתן חומר ניגוד. דרך זו נמצאה יעילה גם במקרים הכרוניים, אם כי לעתים די בצילום סקירה של בית החזה כדי להעיד על קיום פתלת הקיבה (תצלום 30.3).
|
|
| תצלום 30.3: פתלת הקיבה (צילום קיבה עם מילוי בריום – קיבה הפוכה) | |
טיפול
הגישה הניתוחית יכולה להיות בטנית או טורקלית שמאלית. בניתוח יש לשחזר את המיקום האנטומי של הקיבה וכן לסקור את הנזקים בקיבה ולטפל בהם. בחולים הלוקים בבקע סרעפתי יש לתקן את הבקע ולקבע את הקיבה. חולים שאינם מנותחים נפטרים בדרך כלל בתוך יומיים. שיעור התמותה הניתוחית במקרים דחופים מגיע ל- 40%, בעיקר בגלל גיל מבוגר של החולים, אבחון מאוחר, או היעדר אבחנה קדם-ניתוחית.
ראו גם
- לנושא הקודם: לימפומה של הקיבה - היבטים כירורגיים - Gastric lymphoma - surgical aspects
- לנושא הבא: נזק איכולי עקב כוויות של הקיבה - Gastric corrosive damage due to burns
- לתוכן העניינים של הפרק
- לתוכן העניינים של הספר
- לפרק הקודם: כירורגיה של הצפק
- לפרק הבא: כירורגיה של המעי הדק
המידע שבדף זה נכתב על ידי ד"ר צבי קויפמן, מומחה בכירורגיה, מנהל היחידה לבריאות השד, מרכז רפואי מאיר, כפר סבא

כניסה
עקבו אחרינו בפייסבוק 
