שאתות הטחול - Splenic tumors
עקרונות בכירורגיה
מאת ד"ר צבי קויפמן
| עקרונות בכירורגיה | ||
|---|---|---|
| שם המחבר | ד"ר צבי קויפמן | |
| שם הפרק | כירורגיה של הטחול | |
תהליכים תופסי מקום בטחול גורמים לסימנים קליניים רק לעתים רחוקות. שאתות ראשוניות ומשניות בטחול נמצאו באחת מכל 25,000 קבלות לבית החולים. אולם, בנתיחות של חולים שהיו א-תסמיניים נמצאו שאתות הטחול בשכיחות שנעה בין אחת ל- 6,300 לבין אחת ל- 700. אולם התפתחות אמצעי האבחנה הלא פולשניים הביאה לגילוי מספר גדול של חולים בעלי תהליכים תופסי מקום בטחול כאשר הם עדיין בחיים.
אטיולוגיה
בטבלה 2.11 מוצגים הגורמים השונים לשאתות הטחול. החלוקה העיקרית הינה לתהליכים ראשוניים ומשניים בטחול.
טבלה 2.11: הגורמים לשאתות בטחול
- תהליכים תופסי מקום בטחול
- תהליכים ראשוניים:
- תהליכים שפירים
- כיסיות
- המאנגיומה - המארטומה
- לימפאנגיומה
- פיברומה, ליומיומה, נברונומה, ליפומה (נדירות)
- תהליכים ממאירים
- לימפומה
- תהליכים וסקולריים (המאנגיוסרקומה, אנדותליומה)
- סרקומה, פלסמציטומה, ליומיוסרקומה, נברוסרקומה (נדירות)
- תהליכים שפירים
- תהליכים משניים:
- גרורות משאת בריאה, בשד, בקיבה, מלנומה ממאירה, כוריוקרצינומה
- תסחיפים
- מורסות
שאתות טחול ראשוניות
הגורם השכיח ביותר לשאתות הטחול הן שאתות שפירות ובעיקר כיסיות (Cysts). לגביהן מקובלת החלוקה לפי מרטין, ל"ראשוניות" ול"משניות", כאשר המונח בהקשר זה מתייחס להבדל ההיסטולוגי.
- סיווג כיסיות בטחול לפי Martin
- כיסיות "ראשוניות" (אמיתיות) - עם ציפוי אפיתליאלי
- כיסיות טפיליות (אכינוקוקוס)
- כיסיות לא טפיליות:
- כיסיות מולדות
- כיסיות ממאירות
- כיסיות "משניות" (מדומות) - ללא ציפוי בתאי אפיתל
לכיסיות ה"ראשוניות" יש ציפוי אפיתליאלי; כ-2/3 מהן הן כיסיות של אכינוקוקוס (Hydatid cysts) והשאר כיסיות מולדות, כמו כיסיות דרמואידיות ואפידרמואידיות. לכיסיות ה"משניות", המכונות גם Pseudocysts, אין ציפוי אפיתליאלי והן שכיחות פי 4-2 מהכיסיות ה"ראשוניות".
רוב החוקרים מניחים כי הפתוגנזה של כיסיות "משניות" קשורה בחבלה, וזו גרמה לדמומת (המטומה) שנספגה והפכה לנוזל נסיובי. כיסיות "משניות" שכיחות יותר בנשים, וכ- 70% מהן מופיעות בזמן ההריון.
במקרים נדירים גורמות מחלות זיהומיות דמומת בטחול. המקרה הראשון של שאת הטחול תואר על-ידי היפוקרטס בחולה מלריה, שנמצאו בו קרע ודמומת בטחול. גם מונונוקלאוזיס זיהומי, חצבת, שחפת, טיפוס הבטן, עגבת, ברוצלוזיס, שכיסטוסומיאזיס ואנדוקרדיטיס זיהומי, עלולים לגרום דמומות בטחול.
שאתות שפירות אחרות שכיחות פחות מכיסיות. יש הכוללים בין הכיסיות בטחול גם שאתות שפירות של כלי הדם, כמו המאנגיומות והמארטומות. המאנגיומות קטנות א-תסמיניות מוצאים באחת מכל 700 נתיחות, אך המאנגיומות והמארטומות תסמיניות נדירות. מעניין, שבשליש מהחולים בעלי המאנגיומה בטחול קיימת המאנגיומה גם בכבד. שאתות שפירות אחרות נדירות עוד יותר ותוארו רק בחולים בודדים.
מבין השאתות הראשוניות הממאירות בטחול, מהווה הלימפומה כ- 90%. הכוונה היא למקרים החריגים, שבהם מופיע התהליך לא בצורה המפושטת השכיחה, אלא כקשריות בטחול. קיימת צורה נדירה הנקראת לימפומה ראשונית בטחול (Primary splenic lymphoma) והמתייחסת למקרים שבהם אין עדות ללימפומה באיברים אחרים, פרט לטחול (כולל דיקור כבד וניתוח), במשך תקופה של חצי שנה לאחר האבחנה. במקרים נדירים אלה הפרוגנוזה מצוינת אם כורתים את הטחול.
שאתות ממאירות אחרות כמו סרקומות אנגיוגניות נדירות הרבה יותר. תוארו גם שאתות ממאירות של כלי הדם בטחול, וכן מקרים בודדים של שאתות ממאירות אחרות.
שאתות טחול משניות
- גרורות בטחול נדירות יחסית לאיברים אחרים, ומהוות רק 2-4% מכלל הגרורות. הסיבה לכך אינה ברורה; ייתכן שהטחול הורס תאי שאת, ייתכן שקופסית הטחול עמידה בפני חדירה ישירה; ואולי משפיע גם המהלך הארוך והמפותל של עורק הטחול. המקורות העיקריים לגרורות בטחול הם שאתות הריאה, השד, הקיבה, הכרכשת, מלנומה ממאירה וכוריוקרצינומה. לרוב מופיעות גרורות בטחול כחלק מפיזור כללי, והחריג היחידי הוא המלנומה הממאירה, שמקורה בטחול בכ- 50% מהמקרים.
- אוטמים בטחול נראים ברוב המקרים כשאתות טחול משניות וקשורים בפיזור קרישי דם כחלק מאנדוקרדיטיס זיהומי, או מקריש דם בפרוזדור השמאלי של הלב.
- מורסות בטחול עלולות להופיע כסיבוך של רוב התהליכים שהוזכרו תחת הכותרת שאת טחול ראשונית; כיסית או דמומת יכולות להזדהם ולהתמגל; מחלות זיהומיות כטיפוס הבטן, מלריה ודיזנטריה יכולות לגרום למורסה; אך שכיח ביותר הוא פיזור פיוגני לטחול כחלק מאלח-דם; מורסה בטחול שכיחה יותר בגברים צעירים ומופיעה בעיקר במכורים להרואין, בחולי אנדוקרדיטיס זיהומי, כחלק מזיהום לאחר לידה ובחולים הלוקים בהמוגלובינופאתיות. בחולים בעלי תנגודת חיסונית נמוכה (Compromised host), בחולי סוכרת ובמכורים לאלכוהול, קיימת נטיית יתר לפתח מורסה בטחול. החיידק השכיח ביותר כגורם מורסה בטחול הינו סטרפטוקוק, ובשכיחות יורדת - סטאפילוקוק, סלמונלה וקולי; חיידקים אנארוביים מהווים גורם רק בכ- 5% מהמקרים.
הגורמים השכיחים לשאתות טחול הינם כיסיות (רגילות ואכינוקוקיות) דמומות (המטומות), המאנגיומות, לימפומות, גרורות, אוטמים ומורסות.
הדעה הרווחת עד לשנים האחרונות הייתה, כי אבחנה מדויקת של שאתות טחול אינה נקבעת ברוב המקרים לפני הניתוח, ולכן יש צורך לנתח כל חולה שבו התגלתה שאת טחול. פיתוח אמצעי האבחנה הלא פולשניים הביא לעלייה במספר האבחנות של שאתות טחול גם בחולים א-תסמיניים, ועובדה זו חייבה שינוי בגישה הטיפולית.
האנמנזה יכולה לתרום לאבחנה המבדלת של שאתות הטחול סיפור קודם של חבלה, וגם מידע קודם על המופיליה או הפרעה אחרת בתפקודי קרישת הדם, הרומזים להמטומה. מידע על אכינוקוקוס או ממצא מתאים בכבד, על שאת ראשונית באיבר אחר, לימפומה, אנדוקרדיטיס זיהומי, או אחת המחלות הזיהומיות שהוזכרו לעיל, יסייע ברוב המקרים לאבחנה המדויקת של שאתות הטחול.
תסמינים קליניים
הסימנים הקליניים אינם תורמים רבות לאבחנה המבדלת של שאתות הטחול. רוב התלונות אינן ייחודיות וקשורות יותר בגודל התהליך בטחול מאשר במהותו. התלונות השכיחות ביותר הן תפיחות וכאב בבטן, כתוצאה מהגדלת הטחול ולחץ על איברים סמוכים; ייתכנו שינויים בהרגלי צאייה, בחילה, הפרעות בהטלת שתן או נשמת. תפליט בצדר נדיר יחסית ומופיע בעיקר בחולה בעל מורסה או שאת ממאירה בטחול; ייתכן גם כאב בכתף שמאל (Referred pain). לעתים הסימן הראשון הינו בטן חריפה כתוצאה מקרע בטחול, מדימום מסיבי, או משפיכת תוכן המורסה לחלל הבטן. 25% ממקרי המאנגיומה בטחול מתגלים כתוצאה מקרע עצמוני. תיתכן גם פריצה של התהליך בטחול לתוך חלל הצדר; תהליכים ממאירים, מורסות וכיסיות של אכינוקוקוס עלולים לפרוץ אף לקיבה או למעי. תופעות חדות מסוג זה נדירות בחולים בעלי כיסית פשוטה בטחול. ככלל, שאתות טחול המתגלות במקרה בחולה א-תסמיני קשורות לרוב בכיסית, בדמומת או בשאת שפירה כמו המאנגיומה. עד 40% מהחולים בעלי כיסיות פשוטות בטחול הינם א-תסמיניים. אולם, בחולים בעלי שאת ממאירה, לימפומה או מורסה בטחול, נדיר שלא יופיעו כלל סימנים קליניים.
ירידה במשקל אינה קיימת בתהליכים ה"שפירים" ושכיחה בלימפומות, בגרורות ובמורסות בטחול. חום הינו סימן אופייני לחולים בעלי מורסה בטחול, שכיח בלימפומה, וייתכן גם בשאתות טחול כתוצאה מהמטומה, מגרורות או מתסחיפים. חום אינו מופיע בחולים בעלי כיסית פשוטה או המאנגיומה בטחול. הפרעות בקרישה, עם ירידה במספר טסיות הדם, ואף קרישה תוך-כלית, מופיעים בעיקר בחולים בעלי המאנגיומה בטחול, אך אינם ייחודיים וייתכנו גם בשאתות טחול מסיבות אחרות.
הבדיקה הגופנית אינה מסייעת בדרך כלל באבחנה המבדלת של שאתות הטחול. טחול מוגדל או גוש ברביע שמאלי עליון של הבטן ניתן למישוש בכל אחד מהמצבים הגורמים שאתות טחול. בחולי לימפומה, בעלי שאת ראשונית עם גרורות בטחול, תסחיפים או אלח-דם, ניתן לעתים למצוא סימנים למחלה היסודית בבדיקה הגופנית.
בדיקות מעבדה לרוב אינן ייחודיות: שקיעת הדם תקינה בחולים בעלי כיסיות, המאנגיומות, אוטמים ודמומות ישנות בטחול. השקיעה מוחשת מאוד בחולים בעלי מורסה בטחול, לימפומה, גרורות, אנדוקרדיטיס זיהומית, ולעתים אף במקרי דמומת טרייה. אנמיה וירידה במספר טסיות הדם ייתכנו בחולים בעלי מורסה, לימפומה או גרורות בטחול, ואינן קיימות במקרים של כיסיות או המאנגיומות בטחול. אאוזינופיליה בולטת מכוונת לאפשרות של כיסית אכינוקוקוס בטחול, אך אאוזינופיליה אפשרית גם בחולי לימפומה או גרורות בטחול. פגיעה בתפקודי הכבד (ובעיקר בפוספטאזה הבסיסית) שכיחה במקרים של גרורות או מורסה בטחול, תיתכן בחולי לימפומה, ואינה קיימת בדרך כלל בתהליכים השפירים יותר.
קיימות רק בדיקות מעבדה בודדות המסייעות לקביעת אבחנה מדויקת של שאתות הטחול; תבחין קאסוני ותבחינים סרולוגיים לנוגדני אכינוקוקוס תורמים כאשר הם חיוביים; יש לזכור כי במקרים של כיסית אכינוקוקית בטחול תבחין קאסוני שלילי ב- 40% מהמקרים ותבחין ויינברג שלילי ב- 20% מהמקרים, ולכן אינם שוללים אפשרות של כיסית אכינוקוקוס בטחול. בניגוד לכך, תבחין טוברקולין שלילי שולל שחפת פעילה, אך תבחין חיובי אינו תורם לאבחנה המבדלת. תרביות דם חיוביות, או תבחין סרולוגי ייחודי לחיידק כלשהו, מבססים אבחנה מדויקת של שאתות הטחול, כאשר מדובר באחד התהליכים הזיהומיים שהוזכרו. קביעת אחוז הלימפוציטים מסוג B-T עשויה לסייע לאבחנת לימפומה.
סריקת הכבד והטחול
בסריקה על-ידי טכנציום ניתן לאתר שאתות טחול שקוטרן גדול מ- 1.5 ס"מ. ב- 25% עד 38% ממקרי כיסית, וב- 12% ממקרי מורסה בטחול תוצאת הבדיקה שלילית כוזבת (False negative). הבדיקה חיובית כוזבת (False positive) בכ- 7% מהחולים. לרוב הסריקה על-ידי טכנציום אינה תורמת דבר לאבחנה המבדלת של שאתות הטחול. גם סריקה בעזרת כדוריות דם מסומנות אינה תורמת לאבחנה המבדלת של שאתות הטחול ברוב החולים, ויכולה לסייע רק בחולים בעלי המאנגיומה בטחול, שקיים בהם תהליך דומה גם בכבד. סריקה עם גאליום 76 עשויה לתרום לאבחנה המבדלת של שאתות הטחול. הגאליום נוטה להתרכז במורסות, אך אינו ייחודי לחלוטין, מכיוון שהחומר מתרכז גם בלימפומות.
צילומי רנטגן
צילומי הרנטגן השגרתיים אינם תורמים לאבחנה מבדלת של שאתות הטחול ברוב המקרים. צילומי בית החזה וצילומי בטן סקירה תקינים ברוב החולים בעלי תהליך תופס מקום בטחול, ללא קשר לאטיולוגיה. לעתים רואים הרמת הסרעפת משמאל, צמיקה (תמט) או דלקת בבסיס הריאה, ובמקרים נדירים תפליט (בעיקר בתהליכים ממאירים ובמורסות). צללי סיד ניתן לראות באזור הטחול ב- 8-10% מהמקרים. ממצא של סיד בצילום רנטגני יכול לכוון לתהליך אכינוקוקי, אך הוא קיים גם בהמטומות מאורגנות, בשחפת, ובמקרים נדירים גם בכיסיות פשוטות.
בדיקות עם חומר ניגוד, כמו פיאלוגראפיה תוך-ורידית, תצלומי קיבה, מעי דק וחוקן בריום, יכולות להראות דחיקת איברים על-ידי התהליך בטחול, אך אינן תורמות דבר לאבחנה המבדלת, אלא אם כן הן מזהות תהליך שאתי ראשוני.
אנגיוגרפיה
בעבר נחשבה האנגיוגרפיה לבדיקה הטובה ביותר, המאפשרת אבחנה של שאתות הטחול לפני הניתוח. בכיסיות ובהמטומות רואים אזור חסר כלי דם בעל גבול חד שנראה מוקף הילה מסביב (Marginal stain). בהמטומה טרייה תיתכן שפיכת הדם לסביבה הקרובה. גם מורסה בטחול נראית באנגיוגרפיה כתהליך עני בכלי דם, אך גבולותיו אינם חדים. בהמאנגיומה אופייני ריבוי כלי דם ויצירת אגמי דם ("Tumor lakes"). בלימפומה התהליך בדרך כלל עני בכלי דם, ואינו מופרד היטב מסביבתו.
במקרים הנדירים של לימפאנגיומה בטחול קיימת תמונה אנגיוגרפית אופיינית ביותר - צורת "הגבינה השוויצרית" - "Swiss cheese".
גם אנגיוגרפיה אינה מאפשרת אבחנה מדויקת בכל המקרים, ובגלל הסיכון בבדיקה ירדה חשיבותה לאחרונה, עם הכנסת השיטות הלא פולשניות.
אולטרה-סאונד
יחסית להתקדמות הרבה בבירור תהליכים באיברים אחרים, הוזנחה בדיקת האולטרה-סאונד של הטחול, בעיקר בגלל בעיות טכניות. היתרון הבסיסי של בדיקת האולטרה-סאונד הוא יכולתה להבדיל בין רקמה מוצקה לנוזלית, ומכאן יעילותה באבחון כיסית בטחול. ברם, הבדיקה אינה מבדילה לרוב בין כיסית ראשונית למשנית. הכיסית הינה בעלת גבול חד ללא הדים פנימיים (פרט למקרים מסוימים של כיסית אכינוקוקית). בחולים בעלי דמומת או מורסה בטחול קיימים לרוב גם הדים פנימיים (כפי שצוין לעיל, גם הסריקה עם גאליום אינה מבדילה בבירור לימפומה ממורסה בטחול). למרות מגבלות אלו, רואים בבדיקת האולטרה-סאונד אמצעי מדויק לאבחנת מורסה בטחול. כנראה רק על-ידי בדיקת האולטרה-סאונד ניתן להגיע לאבחנה מדויקת של שאתות הטחול ב- 80% עד 90% מהמקרים.
טומוגרפיה ממוחשבת
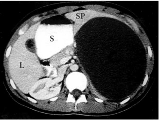
הטומוגרפיה הממוחשבת עשויה לסייע באבחון מהות השאת בצורה עקיפה, למשל על-ידי גילוי שאת בלבלב עם גרורות בטחול. הטומוגרפיה הממוחשבת אינה מזהה תהליכים בטחול הקטנים מ- 1 ס"מ. אולם, גם בבדיקה של טחול תקין קיים חוסר הומוגניות לאחר הזרקת חומר הניגוד. כיסית רגילה נראית בטומוגרפיה ממוחשבת כגוש עגול, סמיך כמו נוזל, עם גבול חד (תצלום 3.11). המטומה לרוב קשה לאבחון, כי סמיכותה קרובה לזו של הרקמה שמסביבה. אוטם עשוי להופיע בצורה האופיינית של מניפה.
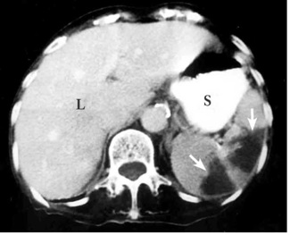
גרורות בטחול מופיעות בדרך כלל כנגעים רבים, ובדרך כלל קיימים במקרים אלו נגעים גם בכבד. ב- 20% ממקרי הגרורות בטחול הופיע הנגע בצורת כיסית, אך הרוב מופיעים כאזורים מוגדרים, בעלי קליטה פחותה בטומוגרפיה הממוחשבת. באוטם הטחול ניתן לראות פגמים בצורת משולש בטחול (תצלום 4.11).
הגישה האבחנתית לבירור מהותה של שאת הטחול כוללת חיפוש רמזים לאטיולוגיה אפשרית בעברו הרפואי של החולה, ובבדיקה הגופנית, אך מסתמכת בעיקר על אמצעי האבחנה הלא פולשניים. בדיקת האולטרה-סאונד מומלצת כאמצעי יעיל בחלק גדול מהמקרים, בשילוב עם הטומוגרפיה הממוחשבת. סריקת כבד, בעיקר עם גאליום, עשויה לסייע בחלק מהמקרים, כך גם בבדיקות מעבדה ייחודיות. הגישה שהיתה קיימת בעבר, שלפיה יש לנתח כל מקרה של שאת הטחול, כדי לברר את מהותה, השתנתה וכיום מקובל, ששאת המזוהה על-ידי בדיקות האולטרה-סאונד והטומוגרפיה הממוחשבת ככיסית פשוטה, אינה מחייבת התערבות ניתוחית בכל מקרה.
ראו גם
- לנושא הקודם: כריתת הטחול במחלות מיאלופרוליפרטיביות
- לנושא הבא: טחול אקטופי
- לתוכן העניינים של הפרק
- לתוכן העניינים של הספר
- לפרק הקודם: כירורגיה של הכבד
- לפרק הבא: כירורגיה של השד
המידע שבדף זה נכתב על ידי ד"ר צבי קויפמן, מומחה בכירורגיה, מנהל היחידה לבריאות השד, מרכז רפואי מאיר, כפר סבא

כניסה
עקבו אחרינו בפייסבוק 
