שאתות תוך-דופניות של הקיבה - Intramural gastric neoplasms
עקרונות בכירורגיה
מאת ד"ר צבי קויפמן
| עקרונות בכירורגיה | ||
|---|---|---|
| שם המחבר | ד"ר צבי קויפמן | |
| שם הפרק | כירורגיה של הקיבה והתריסריון | |
לערכים נוספים הקשורים לנושא זה, ראו את דף הפירושים – סרטן קיבה
ליומיומה (Leiomyoma) מתבטאת ב-90% מהשאתות המזודרמליות של הקיבה. שאת זו תחילתה בדופן הקיבה, וכשהיא גדלה, היא הופכת למסה הבולטת לנהור הקיבה או לחלל הבטן. מחצית השאתות מתכייבות בלא תלות בגודל השאת. ההתכייבות יכולה ליצור מבנה של סינוס גדול בדופן הקיבה, ולגרום לדימומים מהקיבה. השאת יכולה להתכייב בדופן הפונה לחלל הבטן.
מבחינה היסטולוגית, שאתות אלה הן חסרות קופסית (קפסולה), ולכן קשה לקבוע אם הן שפירות או ממאירות. המראה ההיסטולוגי של השאת מאופיין בתאים כישוריים בלא מיופיברילות, הבנויים בצורת פליסדות. ואולם, במקצת החולים התמונה ההיסטולוגית היא ביזארית. פלאומורפיזם ומספר מיטוזות לשדה בהגדלה גדולה הם הקובעים את הפוטנציאל הסרטני של השאת. ההוכחה לממאירות השאת היא שליחת גרורות. הגרורות הן מקומיות, ומתפשטות לאיברים סמוכים. נדיר שבלוטות הלימפה נגועות. התפשטות התאים דרך חלל הצפק ידועה אבל אינה שכיחה. גרורות לריאות נדירות. השאת הממארת גדלה באיטיות יחסית.
תסמינים קליניים
רוב השאתות הללו הן א-תסמיניות. דימומים ממערכת העיכול, המתבטאים בשיחרה (מלנה) ובהקאות דמיות, נובעים מהתכייבות הרירית שמעל השאת. כאשר ההתכייבות היא בצפק, החולה יתלונן על כאבים ברום הבטן ועל רגישות מקומית. אם ממדי השאת גדולים, ניתן למשש גוש בדופן הבטן. בחולים הלוקים בהתכייבות השאת בצפק ניתן למצוא רגישות ברום הבטן וסימנים לגירוי צפקי.
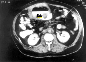
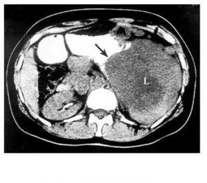
האבחנה יכולה להתבצע על-ידי בליעת בריום (תצלום 13.3), בטומוגרפיה ממוחשבת (תצלום 14.3 ו-15.3), או בגסטרוסקופיה (תמונה 9.3)
טיפול
הטיפול הוא ניתוחי, ובמהלכו יש לכרות את השאת. אנוקלציה (Enucleation) אינה שיטה טובה לטיפול בחולים אלה. אם השאת היא קדם-שוערית, יש לבצע כריתת המחצית הרחיקנית של הקיבה. אם השאת היא בגוף, צריך לבצע כריתת יתד. אם השאת ממוקמת באזור האזופגוגסטרי, יש לבצע את הניתוח השמרני שניתן. אין צורך לבצע כריתה של בלוטות הלימפה האזוריות. כיום ניתן להוציא שאתות אלה גם בגישה לפרוסקופית.
ליפומה של הקיבה - ראו פרק "הכרכשת": ליפומות של מערכת העיכול.
Heterotrophic pancreas - זו מסה של רקמה של הלבלב (רקמה פנקריאטית) הנמצאת ברירית הקיבה, לרוב קוטרה קטן מ-3 ס"מ, והיא בולטת אל הנהור. שאת זו גורמת לעתים קרובות לחסימת השוער. מדובר בהמרטומה, הכוללת תאי רקמת לבלב בלא איי-לנגרהאנס, מכילה צינור ניקוז מורחב ולעתים יוצרת מבנה ציסטי.
אדנומת ברונר-גלנד (Brunner gland adenoma) - שאת זו ממוקמת באזור השוער והאנטרום. גם זו המרטומה, מורכבת מבלוטות ומסיבי שריר חלק.
גסטרופתיה היפרפלסטית (Hyperplastic gastropathy) - תסמונת המתבטאת בהתעבות של קפלי רירית הקיבה מסיבות שונות. הסיבות לתסמונת זו הן:
- תסמונת מנטרייר - Menetrier Syndrome
- תסמונת זולינגר-אליסון - Zollinger-Ellison Syndrome
- פסאודולימפומה - Pseudolymphoma
Menetrier's Syndrome - בתסמונת זו יש שגשוג של התאים יוצרי הריר ואטרופיה של התאים מפרישי החומצה ותאי צייף (Chief cells). רירית הקיבה נראית כמו שטח הפנים של המוח. לעתים, ההתעבות היא נודולרית, ולכן התמונה דומה להרבה פוליפים מיושבים. הפונדוס, הקרדיה וגוף הקיבה נפגעים, ואילו האנטרום לא. המחלה מלווה באכלוראידריה ובשכיחות גבוהה של השתנות ממארת. חלק הכרחי של התמונה הקלינית הוא Protein loosing enteropathy.
התסמינים הקליניים כוללים היפופרוטאינמיה קשה, ירידה במשקל ובצקות, אי-נוחות אפיגסטרית, הקאות ודימומים. התסמונת מופיעה בכל גיל. האטיולוגיה לא-ידועה. הטיפול בתחילתו תומך. מקצת החולים מחלימים עצמונית, כפי שנמצא במעקב בגסטרוסקופיה, ואולם ברובם אין החלמה עצמונית, ויש לטפל בהם על-ידי כריתת קיבה שלמה.
Pseudolymphoma — מחלה המחקה את התמונה של לימפומה בקיבה. מופיעה כהסננה (אינפילטרציה) נודולרית או מפושטת, סוב-מוקוזלית, הגורמת להיפרטרופיה של קפלי המעי. ההסננה היא של לימפוציטים בשלים, לעתים בד בבד עם יצירת כיבים ברירית של הקיבה. האבחנה בין פסאודולימפומה ללימפומה קשה ביותר לעתים.
התעבות הרירית יכולה להופיע בחולים הלוקים בקרצינומות של הקיבה או בלימפומות. שינדלר תיאר מחלה, המתבטאת בהתעבות קפלי הרירית על רקע פרוליפרציה של כל רכיבי הרירית, כולל תאים פריאטליים ותאי צייף. תסמונת זו נקראת Chronic hypertrophic gastropathy. במקצת החולים זו תגובה לגירוי יתר של גסטרין בתסמונת זולינגר-אליסון. שאתות ציסטיות נוצרות על רקע חסימה של בלוטות בקיבה ויצירת מוקוצלה בקיר הקיבה.
- טבלה 5.3
- שאתות שפירות של הקיבה
Polyps
|
Intramural Tumors
|
Inflammatory
|
Benign hyperplastic gastropathy
|
Cystic lesions
|
ראו גם
- לנושא הקודם: פוליפים בקיבה - Stomach polyps
- לנושא הבא: קרצינומה של הקיבה - היבטים כירורגיים - Gastric carcinoma - surgical aspects
- לתוכן העניינים של הפרק
- לתוכן העניינים של הספר
- לפרק הקודם: כירורגיה של הצפק
- לפרק הבא: כירורגיה של המעי הדק
המידע שבדף זה נכתב על ידי ד"ר צבי קויפמן, מומחה בכירורגיה, מנהל היחידה לבריאות השד, מרכז רפואי מאיר, כפר סבא

כניסה
עקבו אחרינו בפייסבוק 
