איסכמיה חריפה של המעי - Acute intestinal ischemia
הופניתם מהדף איסכמיה חריפה של המעי לדף הנוכחי.
עקרונות בכירורגיה
מאת ד"ר צבי קויפמן
| עקרונות בכירורגיה | ||
|---|---|---|
| שם המחבר | ד"ר צבי קויפמן | |
| שם הפרק | כירורגיה של המעי הדק | |
ראו גם – פגיעות בכלי דם בכרכשת - Vascular events of the large intestine, דלקת איסכמית של הכרכשת - Ischemic colitis, חסימה של העורק המזנטרי התחתון - Inferior mesenteric artery occlusion
הסיבות הגורמות לאיסכמיה חריפה של המעי הן פקקת, אמבוליות, ואזוקונסטריקציה קיצונית של כלי הדם ומחלות של רקמת החיבור או מחלות מערכתיות אחרות המלוות בפגיעה בכלי הדם. החסימות נחלקות לעורקיות ולוורידיות.
רוב החסימות העורקיות הן על רקע של מחלה טרשתית של כלי הדם, חלק מהן עקב אמבוליות הנשלחות מהלב השמאלי, כגון בלוקים בהיצרות מיטרלית, בהפרעות קצב ובפקקת דופנית (Mural thrombus). הפקקת ממוקמת בדרך כלל ביציאת עורק המזנטרי העליון מאבי העורקים אך ייתכן שהיא תהיה גם מפושטת בכל העורק. האמבוליה נתקעת כ-4-3 ס"מ מיציאת העורק מאבי העורקים, בכ-4% מהחולים בגובה עורק המעי האמצעי (Middle colic artery), ב-7% בגובה עורק האילאוקוליק (Ileocolic artery), וב-4% בכלי הדם הקטנים עם נזק דיפוזי נקודתי. סיבות אחרות הגורמות להיצרות ואף לסתימה של העורק המזנטרי העליון הן: Dissecting aortic aneurysm או Fusiform aortic aneurysm.
- חסימה ורידית של המערכת המזנטריאלית קשורה בכמה מצבים והם
- יתר לחץ דם שערי
- מורסות תוך-בטניות
- אלח-דם
- חבלות
- פוליציטמיה
- מחלות ממאירות
- מצבים הקשורים בקרישת יתר של הדם (חסר בחלבון C, בחלבון S או באנטי תרומבין 3)
ב-25% מהחולים הסיבה אינה ברורה. בשנים האחרונות דווח על הקשר בין תכשירים למניעת הריון, לבין שכיחות יתר של חסימות ורידיות במערכת המזנטריאלית.
תוצאות החסימה של כלי הדם תלויות בסוג כלי הדם הנפגעים, בגובה החסימה, במידת ההתפתחות של מעקפים (קולטרלים) ובגורמים אחרים. באופן עקרוני החסימה גורמת, בתוך שעות מספר, לנמק המורגי של הרירית, שהיא השכבה הרגישה ביותר לאיסכמיה. הרירית מתכייבת ונושרת לחלל המעי מלווה בדימום, שמקורו בזרימת דם חוזרת מהמערכת השערית אל הוורידים המזנטריאליים שהם חסרי מסתמים. חיידקים גדלים בקטע האיסכמי ומחמירים את חסימת כלי הדם. צמיחת החיידקים אינה גורם חשוב למוות, ואולם ספיגת הרעלנים (טוקסינים) היא סיבה חשובה לגרימת מוות בחולים שאינם מטופלים. חסימה קריבנית בכלי הדם גורמת להתפתחות פקקת משנית בכלי הדם הרחיקניים יותר. האיסכמיה מתפשטת כעבור 8-7 שעות לכל עובי הדופן. לעתים, אם יש התפתחות טובה של מערכת עוקפת (קולטרלית), החסימה יכולה להימשך ימים מספר עד הופעת נמק של כל הדופן. נמק זה גורם דימום לתוך הצפק ואיבוד נוזלים לרקמות, למעי ולצפק, הגורמים להלם בלא התנקבות המעי.
תסמינים קליניים
| תסמינים מוקדמים | תסמינים מאוחרים | ||
|---|---|---|---|
| 100% | כאבי בטן | 85% | רגישות בטנית |
| 81% | הקאות | 48% | תפיחות הבטן |
| 32% | שלשולים | 37% | הלם |
| 37% | שלשול דמי | ||
| 12% | הקאה דמית | ||
כאבי בטן הם התסמין השכיח ביותר. מדובר בכאבים עזים ביותר, לא ממוקמים, ולעתים אינם מגיבים לנרקוטיקה. לעתים בולט הניגוד שבין הכאבים העזים לבין הממצאים הדלים בבדיקה. כאבי בטן בחולי לב מחייבים תמיד שלילת חסימה של כלי הדם המזנטריאליים באנגיוגרפיה. בחולים ירודים מאוד הכאב לפעמים בולט פחות, והתסמונת הבולטת היא שינויים משניים טוקסיים, כגון חום, ירידה בלחץ דם וחמצת מטבולית קשה שאינה ניתנת לתיקון.
בשלבים שלאחר מכן ניתן למצוא תפיחות של הבטן ורגישות מפוזרת, ואחר כך גם צפקת (פריטוניטיס) כללית עם סימנים להלם תת-נפחי משולב בהלם אלחי. בחסימות ורידיות התמונה הקלינית הבולטת היא של הלם, לעתים כביטוי ראשון לחסימה ורידית.
בדיקות מעבדה
בבדיקות המעבדה ניתן למצוא לויקוציטוזיס, בדרך כלל יותר מ- 20,000, רמות מוגברות של עמילאזה בדם, עלייה ברמת הפוספטזה החומצית בנסיוב, ובייחוד האיזומר האינטסטינלי, עליה ברמת הלקטט בנסיוב ועדות מעבדתית להמוקונסנטרציה. בבדיקת הדם ניתן למצוא חמצת מטבולית בינונית עד קשה שאין אפשרות לתקנה.
אבחנה
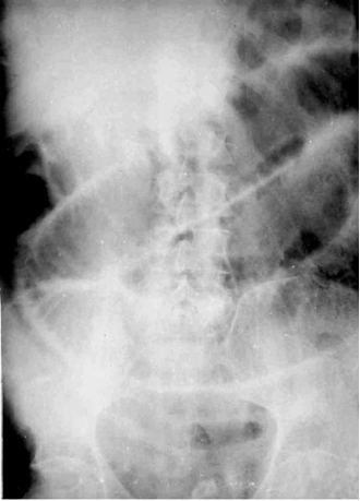
בצילום בטן סקירה ניתן לראות לולאת מעי יחידה מורחבת. אחר כך - התרחבות משנית של לולאות מעי דק וכרכשת, דופן המעי מעובה ונוזל בין לולאות המעי. עם התקדמות התהליך אפשר לראות גז בדופן המעי ובמערכת השערית (תצלום 21.4).
בטומוגרפיה ממוחשבת של הבטן ניתן לראות גז בדופן המעי הנגוע ונוזל בין לולאות המעי. אוויר במערכת השערית נראה באיכות הטובה ביותר בטומוגרפיה ממוחשבת (תצלום 22.4).
בצילום מעיים, בעזרת חומר ניגוד, אפשר לראות את Thumbs printing שהן אנדנטציות (Indentation) בדופן, והפרעות בתנועתיות המעי.
האנגיוגרפיה הברירנית של העורק המזנטריאלי היא בדיקת בחירה בחולים שיש לגביהם חשד לאירוע איסכמי של המעי. האנגיוגרפיה תבוצע לפני שהחולים מפתחים סימני גירוי צפקי, או כאשר בצילומי בטן סקירה יש ממצאים מרמזים.
אבחנה מבדלת
דלקת לבלב חריפה, הגורמת לעליית העמילאזה בנסיוב, קשורה בכאבי בטן חדים, ויוצרת תמונה קלינית הדומה לאיסכמיה חריפה של המעי. נזק איסכמי מסיבות אחרות, כגון בקע פנימי כלוא, פתלת המעי ועוד, הם בעיה אבחנתית, ואולם מכיוון ששניהם דורשים ניתוח דחוף, המשמעות המעשית של האבחנה המבדלת היא שולית. האבחנה המבדלת קשה, ולפעמים עלולה לעכב את הניתוח ולסכן את חיי החולה.
טיפול
ההיוותרות בחיים של חולים אלה תלויה באבחנה ובטיפול המוקדמים.
חסימות עורקיות
לאחר תחילת הטיפול התומך, הכולל מתן נוזלים ואלקטרוליטים, יש להביא את החולה מוקדם ככל האפשר לניתוח. בניתוח ניתן למצוא מעי חיוור או נמקי. אין דרך למשש דפקים בכלי הדם המוליכים לקטע הנמקי או בכלי הדם המזנטריאליים. המזנטריום בדרך כלל אינו מעובה כמו בחסימות ורידיות. בלוקים בחסימה של העורק המזנטרי העליון טיפול ניתוחי הוא הכרחי. בכל החולים שמצבם מאפשר זאת יש לבצע אנגיוגרפיה הכוללת את הדגמת עורק הצליק, העורק המזנטרי העליון והעורק המזנטרי התחתון, לפני הניתוח. אם בארטריוגרפיה נראים אמבוליה או עווית (Spasm) של העורקים, יש להתחיל בהזלפת Papaverine בקצב של 60-30 מ"ג בשעה דרך צנתר האנגיוגרפיה. גלוקגון המגביר את זרימת הדם במערכת הספלנכנית יכול להינתן בדרך פראנטרלית במינון של מיקרוגרם לק"ג בדקה. יש לזכור שכאשר מטפלים בתכשירים ואזודילאטורים אלה, יש לדאוג לתיקון ראוי של נפח הדם, מכיוון שטיפולים אלה עלולים להחמיר את התת-נפח בחולים.
רוב החולים יזדקקו לניתוח, למרות הטיפול בתכשירים המרחיבים כלי דם. אם החסימה מוגבלת לענף של העורק המזנטרי העליון או כאשר החסימה היא של העורק המזנטרי העליון מעל מוצא עורק האילאוקוליק רק מקטע קצר יחסית יינזק, ולכן הטיפול הכירורגי בו יהיה כריתת מקטע המעי הנגוע והשקה קצה לקצה של הקטעים הנראים בריאים.
אם החסימה היא של העורק המזנטרי העליון, ההחלטה אם לפתוח את החסימה בעורק תלויה במידת הנזק למעי. במעי נמקי אין טעם לנסות לפתוח את העורק על-ידי אמבולקטומיה (Embolectomy - סילוק הפקקת מהעורק) או אנדארטרקטומיה (Enarterectomy - סילוק הרובד האטרוסקלרוטי החוסם). אם המעי איסכמי בלבד (נראה חיוור, אך עדיין יש בו ניע) צריך לנסות לפתוח את העורק החסום כדי לשפר את אספקת הדם למעי ולצמצם את ממדי הכריתה. אם החסימה מאובחנת באיחור, ייגרם נזק בלתי הפיך למעיים, הכולל את רוב המעי הדק מהרצועה על-שם טריץ (Treiz) או בסמוך לה והכרכשת הימנית עד לאמצע הכרכשת הרוחבית. כריתה נרחבת כזו אפשרית, אך כרוכה בתמותה ניתוחית גבוהה ובתחלואה ניכרת. החולים הללו לא יוכלו לקבל תזונה דרך הפה, ולכן יהיו תלויים בתזונה פראנטרלית (TPN).
בחולים שבהם במהלך הניתוח ניתן לראות מעי איסכמי במרביתו וחסימה של העורק המזנטרי העליון, יש לנסות לבצע שחזור של זרימת הדם לעורק. לשם כך יש לחשוף את העורק על-ידי דחיקת הכרכשת הרוחבית כלפי מעלה, שחרור הרצועה על-שם טריץ ושחרור החלק השלישי של התריסריון, כפי שהדבר נעשה בחשיפה של אבי העורקים הבטני לתיקון מפרצת. העורק בגישה זו הוא תיכוני לווריד. אם העורק במוצאו נמוש היטב, אבל אין דפקים היקפיים יותר, יש להניח שהגורם לחסימה הוא אמבולוס. אם העורק הוא בעל דופן מעובה שאינו סדיר, יש להניח שהגורם לחסימה משולב ברובד ארטרוסקלרוטי שעליו יש פקקת חוסמת. בחולים הלוקים באמבולוס פותחים את העורק לאורכו (Longitudinal arteriotomy) ומוציאים האמבולוס על-ידי צנתר פוגרטי (Fogarty). בחולים בעלי פקקת ורובד ארטרוסקלרוטי יש לבצע אנדארטרקטומיה - כריתה של הפקקת והרובד וסגירה של הפתח בעורק על-ידי Patch graft ורידי. לאחר גמר הניתוח יש לוודא שהדפקים בחלק הרחיקני לחסימה אכן חזרו וכי צבע המעי שב לתקנו. בחולים שבהם למרות התיקון זרימת הדם אינה תקינה יש לנסות ולבצע מעקף על-ידי שתל וריד בין אבי העורקים לעורק המזנטריאלי. כדי לוודא שזרימת הדם למעי אכן טובה יש המשתמשים בדופלר אולטרה-סאונד הבודק את זרימת הדם בדופן. שיטה אחרת היא הזרקת צבע פלאורסצין (Sodium fluorescein) לווריד ההיקפי ובדיקת פיזור הצבע במעי בחושך על-ידי מנורת על-סגול (UV). לאחר גמר שחזור העורק יש לכרות כל קטע מעי שאין בו זרימת דם. אם יש מקטע ארוך של מעי דק, שאין ודאות כי זרימת הדם בו אכן תקינה, אפשר להשאירו ולתכנן מראש ניתוח חוזר 36-24 שעות אחר כך כדי לבדוק אותו קטע שוב. מהלך כזה נקרא ניתוח מבט שני (Second look operation). במקצת החולים אפשר לחסוך בדרך זו כריתות של קטעי מעי שכה חשובים לחולה. ההחלטה על ניתוח מבט שני מתקבלת בניתוח הראשון, אם מתעוררת שאלה לגבי חיות קטע מעי. אם קטעי המעי תקינים, אין צורך בניתוח מבט שני.
הטיפול לאחר הניתוח הוא חשוב ביותר. יש לשמור על נפח הדם של החולים כדי לשמור על זרימת דם טובה בעורק המתוקן. מאחר שבמעי איסכמי חיידקים מתפתחים ופורצים החוצה מעבר למעי, יש לטפל בחולים באנטיביוטיקה לפני ניתוח ולהמשיך בטיפול גם לאחר מכן. הזנת-על תחל ברגע שהחולה מיוצב המודינמית. אם הושאר צנתר בעורק המזנטרי העליון, יש להמשיך בהזלפת Papaverine עוד 42 שעות ולבצע אנגיוגרפיה דרכו לאחר מכן. אם זרימת הדם טובה, אפשר לשולפו. אנטיקואגולציה על-ידי Heparin יש לתת בחולים ששוחזר בהם העורק.
במקרה שהנזק הוא בקטע קטן, יש לבצע כריתה של המעי בלא ניסיון לחדש את זרימת הדם.
הגישה הניתוחית לחסימה בעורק המזנטרי העליון חייבת להתחשב בסיכויי ההיוותרות בחיים של החולה מחד גיסא, ולנסות ולשמור על אורך מרבי של מעי חיוני מאידך גיסא. מעי שחיותו אינה ברורה, עדיף להשאיר מעי שמצבו אינו ברור, ולבצע ניתוח מבט שני 24 עד 36 שעות לאחר מכן. עם זאת, יש להקפיד לכרות מעי שברור לגביו כי הוא נמקי, שכן המשך נוכחותו בחלל הבטן מסכנת את חיי החולה. לפעמים אפשר להיעזר במכשיר הדופלר כדי לבדוק את זרימת הדם בכלי הדם הגדולים והקטנים המספקים את המעי.
חסימה ורידית
חסימה ורידית מאופיינת על-ידי בצקת ניכרת של המזנטריום ופריצה של קרישים, כאשר פותחים את כלי הדם הוורידיים. כריתת המעי הנמקי היא טיפול הבחירה. תרומבקטומיה של הווריד המזנטרי מצליחה רק לעתים נדירות.
החסימה הוורידית שכיחה יותר בענפים הקטנים ולא בוורידים הגדולים, ולכן הקטעים הנפגעים הם קצרים יותר. כל הקטעים הנמקיים או אלה שאין בהם ניע יש לכרות ולבצע השקה קצה לקצה בין הקטעים הבריאים. מכיוון שהפקקת בוורידים מתפשטת אל מעבר לקטע הנגוע, יש לכרות את המעי והמזנטריום עד למקום שבו הפקקת אינה נראית בכלי הדם הוורידיים. חסימה של הווריד השערי, המלווה בנזק איסכמי למעי, למעשה אינה ניתנת לטיפול כירורגי. טיפול בנוגדי קרישה על-ידי Heparin יש להתחיל מיד עם האבחנה ולהמשיך 6 עד 8 שבועות. 80% מהחולים שנכרת בהם המעי וטופלו בHeparin נותרו בחיים לעומת 50% בקבוצה שנותחה ולא טופלה בHeparin. בכל החולים שבהם נכרת המעי עקב איסכמיה על רקע חסימה ורידית יש לתכנן ניתוח מבט שני 36-24 שעות לאחר הניתוח. הפרוגנוזה בחולים אלה טובה מזו שבלוקים בחסימה העורקית.
פרוגנוזה
הפרוגנוזה גרועה. ככל שהאבחנה מתאחרת, כך קטן הסיכוי להיוותרות בחיים לאחר הניתוח. אם הקטע הנגוע ארוך, יותר ממחצית המעי הדק, שיעור התמותה עולה עד 85%. בחסימה ורידית שיעור התמותה הוא כ-30%. אם אין משתמשים בנוגדי קרישה, ב-25% מהחולים יהיו אירועים חוזרים של פקקת בכלי הדם. יש להמשיך בטיפול לפחות 6-3 חודשים.
ראו גם
- לנושא הקודם: נצורים של המעי הדק - Small bowel fistulas
- לנושא הבא: איסכמיה לא-חסימתית של המעי - Non-occlusive intestinal ischemia
- לתוכן העניינים של הפרק
- לתוכן העניינים של הספר
- לפרק הקודם: כירורגיה של הקיבה והתריסריון
- לפרק הבא: כירורגיה של התוספתן
המידע שבדף זה נכתב על ידי ד"ר צבי קויפמן, מומחה בכירורגיה, מנהל היחידה לבריאות השד, מרכז רפואי מאיר, כפר סבא

כניסה
עקבו אחרינו בפייסבוק 
