חבלות בעמוד השדרה - Spinal injury
עקרונות בכירורגיה
מאת ד"ר צבי קויפמן
| עקרונות בכירורגיה | ||
|---|---|---|
| שם המחבר | ד"ר צבי קויפמן | |
| שם הפרק | חבלות | |
ראו גם – כאב כרוני מרכזי לאחר חבלה בחוט השדרה - Chronic central pain after spinal cord injury
חבלות בעמוד השדרה הגורמות לשיתוק עקב נזק לחוט השדרה נמנות בין הפציעות הקשות. במקרים קיצוניים משמעותן מוות מיידי כתוצאה מדום נשימה, או מפגיעה במרכזים חיוניים במוח המאורך. במקרים אחרים הן מסתיימות בנכות קבועה בדרגות חומרה מהקשות ביותר המוכרות לרפואה.
סוגי הפציעה
פציעות סגורות: פציעות אלה מאפיינות תאונות דרכים וחבלות קהות:
- פציעות הנגרמות עקב כיפוף-יתר של עמוד השדרה (היפר-פלקסיה) יכולות להתרחש במקרים כמו קפיצת ראש למים רדודים, פצוע שנזרק מרכב ונפגע בראשו וכולי. הנזק נגרם עקב הילחצות של חוט השדרה בין חוליה לבין הקשת האחורית של החוליה שמעליה
- חבלות הנגרמות עקב ישור-יתר (היפר-אקסטנסיה) של עמוד השדרה - הפגיעה בחוט השדרה נגרמת עקב לחץ של הליגמנט פלבום
- פגיעות הנגרמות מתנועות דמויות "צליפת שוט" (Whiplash) - הראש מקבל תאוצה ביחס לגוף והנזק נגרם עקב תנודה צווארית (Flexsion extension injury)
- שברים דחוסים - נפילה מגובה על הרגליים תגרום לשבר דחוס באזור גבי או מותני
פציעות פתוחות: פציעות אלה נגרמות על-ידי קליעים או רסיסים הפוגעים בעמוד השדרה. בהשוואה לפגיעות סגורות הנזק לחוט השדרה נרחב יותר אך אין קריעת ליגמנטים ודיסלוקציה.
ניתן לחלק את החבלות בעמוד השדרה לחבלות גרמיות הנראות היטב ב-CT וצילומי עמוד שדרה, חבלות של הרקמות הרכות כולל חוט השדרה הנראות היטב ב-MRI, וחבלות משולבות של פגיעה בעצמות עמוד השדרה ובחוט השדרה. טבלה 5.16 מפרטת את יכולות האבחון של ה-MRI לעומת ה-CT.
| טבלה 5.16: חבלות בעמוד שדרה: ממצאים המודגמים -CT לעומת –MRI | |||
|---|---|---|---|
| Alignment | Subluxation/Dislocation | CT and Radiography | MRI |
| Spinal Cord | Oedema | + | |
| Swelling | + | ||
| Hemorrhage | + | + | |
| Compression | + | ||
| Dissection | + | ||
| Epidural Space | Disk Hermitage | + | + |
| Bone Fragment | + | ||
| Haematoma | + | + | |
| Spinal Column | Vertebral Body Fracture | + | |
| Posterior Element Fracture | + | ||
| Dislocation | + | ||
| Bony Oedema | + | ||
| Spondylosis | + | ||
| Ligaments | Anterior Longitudinal Ligament Rupture | + | |
| Posterior Longitudinal Ligament Rupture | + | ||
| Interlaminar ligament (flava) Rupture | + | ||
| Supra - or Interspinous Ligament Rupture | + | ||
| Vascular | Vertebral Artery-Occlusion/Dissection | + | |
מכניזם הפגיעה
היצרות תעלת חוט השדרה, אם על-ידי יצירת זווית או על-ידי חדירת חלק מהחוליה לתוך תעלת חוט השדרה, יוצרת לחץ על מוח השדרה, חיתוך אקסונים או נוירונים ולחץ על כלי הדם של חוט השדרה, הגורמים לאיסכמיה מיידית של חוט השדרה.
פתופיזיולוגיה
בחבלה לחוט השדרה מבחינים בשתי תופעות פתולוגיות: איסכמיה ובצקת של חוט השדרה. במחיצה של חוט השדרה ניתן לראות פטכיות, בצקת והרס תאי מוח השדרה. בקרע של חוט השדרה ניתן לראות חיתוך ונזק חמור למוח השדרה. דימומים ייתכנו במרווח האפידורלי והסובדורלי. הדימום מתפשט לעיתים תוך שעות וימים, וגורם לתופעות נוירולוגיות.
תסמונת Acute central spinal cord injury קשורה לדימום במרכז הקורד. תסמונת זו מאופיינת על-ידי פגיעה קשה יחסית בגפיים העליונים לעומת הגפיים התחתונים.
סווג החבלות תלוי במיקום השבר וביו-מכניקה שלו. רוב השברים ממוקמים בעמוד שדרה צווארי תחתון. חבלות לחוט השדרה שכיחות ב-10%-14% מהחבלות לעמוד השידרה המלוות בשברים או תת-נקעים של החוליות. בעמוד שידרה צווארי 40% מהחבלות מלוות בנזק לחוט השדרה. החבלה לחוט השדרה מתרחשת ב-80% מהנפגעים בזמן הפגיעה עצמה וב-20% מתפתחת סמוך לפגיעה.
קליניקה
חלוקת הפגיעות בחוט השדרה:
- פגיעה של נוירון מוטורי עליון (Upper motor neuron injury). מיקום L1-C1 - פגיעה בחוט השדרה עצמו. קלינית ניתן לראות חולים עם עווית שרירים, רפלקסים מוגברים ואטרופיה של שרירים מאוחר יותר
- פגיעה של נוירון מוטורי תחתון (Lower motor neuron injury). מיקום: הפגיעה היא ב-L1 ומטה. קלינית ניתן לראות שרירים חסרי טונוס, חוסר רפלקסים ואטרופיה של השרירים
כאשר הידיים והרגליים משותקות מדובר בפציעה עד C5 ומעליו. כאשר פעילות הידיים נשמרת הפגיעה היא מתחת ל-T1 בשלב ראשון עקב הבצקת המקומית ייתכן שהנשימה תופרע, ולאחר מכן בדרך כלל מובטחת נשימה תקינה. קיימת תחושה עד אזור הכתפיים. בפגיעות ב-C3 יש לזכור שעצב הפרניקוס מקורו בסגמנטים C3,4,5 והוא מעצבב את הסרעפת. פגיעות ב-C3 ובסגמנטים מעליו תגרומנה להפרעות נשימה. מתחת ל-C3 תישמר הנשימה או תחזור לאחר תקופה קצרה.
בפגיעות ב-C6 תנוחת הכתפיים האופיינית היא כתפיים מורמות. הסיבה לכך קשורה בעווית (Spasm) של שרירי הדלטואיד והביספס. בפגיעות ב-C7 ניתן לראות פעילות של שריר הטריספס המאפשר אקסטנסיה של המרפק, ב-C8 מצטרפת פעילות השרירים האורכיים של האמה. ב-T1 ניתן לראות פעילות מלאה של כל היד. ב-5-T2 ישנה פעילות של השרירים האינטרקוסטלים המקנים פעילות נשימתית טובה יותר. בפגיעה ב-T6-12 נשמרים שרירי הבטן. בפגיעה L10 חסר הרפלקס הקרמסטרי, וסימנים פירמידליים קיימים. ב-L2 קיים רפלקס קרמסטרי 3-L1 קיימת פלקסיה של הברך.
קווים מנחים לטיפול ראשוני
הערכה
- בדיקה נירולוגית לקביעת פלס מוטורי ותחושתי
- הערכה רדיולוגית - צילום לטרלי של אזור החבלה
- סקירת הגוף לפציעות נלוות
- כאשר מתעורר חשד לפגיעה בעמוד שדרה צווארי - יש לקבוע את תפקוד הנשימה ומעורבות מערכת הנשימה
- לזהות ולתעד את מנגנון החבלה ואת טיפול החירום שניתן
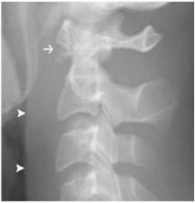
מהערכה רדיולוגית נדרשת: אבחנה, סווג הנזק וקביעת היות הנזק יציב או לא. ב-70% מהחולים הנזק נראה בצילומי עמוד שדרה (תצלום 7.16) ואינם דורשים המשך ברור. יש לזכור ש-30% מהנזקים לעמוד השדרה אינם נראים בצילומי רנטגן רגילים ודורשים CT או MRI (תצלום 8.16). חולים עם נזקים רציניים לעמוד השדרה או חולים מורכבים, יעברו CT ספירלי כאמצעי אבחון ראשוני דחוף. בחשד לפגיעה ברקמות רכות או בחוט השדרה בדיקת הבחירה הדחופה היא MRI של עמוד השדרה. המכניזם של השברים והגדרתם כיציבים או לא מופיעה בטבלה 6.16.
| טבלה 6.16: הגדרת המכניזם ויציבות או אי-יציבות השבר בעמוד השדרה | |||
|---|---|---|---|
| Mechanism of Injury | Type | Stable | Unstable |
| Hyperflexion | Anterior Subluxation (sprain) | + | |
| Bilateral Interfacetal Dislocation | + | ||
| Simple Wedge Fracture | + | ||
| Clay-Shoveler's Fracture | + | ||
| Teardrop Fracture | + | ||
| Odontoid Fracture | + | + | |
| Hyperextension | Dislocation (sprain or strain) | + | |
| Avulsion Fracture of the Posterior Arch of CI | + | ||
| Fracture of the Posterior Arch of CI | + | ||
| Teardrop Fracture of C2 | + | ||
| Laminar Fracture | + | ||
| Hangman's Fracture | + | ||
| Jefferson's Fracture | + | ||
| Vertical Compression | Burst Fracture | + | |
טיפול ראשוני
תרופות: עירוי נוזלים איטי. מתן הנוזלים חייב להיות מבוקר ביותר מפני שבשלב הראשון עלול עודף נוזלים לגרום במהירות לבצקת ריאות. מתן תוך-ורידי של חוסמי H2. מתן תוך ורידי של מניטול 52 מ"ג אם לחץ הדם הסיסטולי גבוה מ-110 מ"מ כספית. תוך 8 שעות לאחר הפציעה יש לתת סטרואידים דרך הווריד באופן רצוף למשך 24 שעות.
תנוחת עמוד השדרה של אדם שנפגע מבטאת נזק שכבר נגרם. הניסיון מלמד שמרגע הפגיעה האפשרויות לתיקון ולריפוי מוגבלות, אך ניתן למנוע את החמרת הנזק. בדרך כלל יש להזהיר את הפצוע הנמצא בהכרה שלא יזוז. כדי להזיז נפגע כזה ממקום התאונה למקום נוח יותר דרושים לפחות שלושה אנשים, ואם ניתן אף יותר. בזמן הרמת הנפגע יש להיזהר מלכופף או מלסובב אותו אחורה או קדימה. אם קיים נזק בעמוד השדרה הצווארי - כל פעולה סיבובית עלולה להיות הרת-גורל. כל האנשים המסייעים חייבים לפעול יחד; הצוות יעביר את הנפגע לאלונקה קשיחה או אל לוח עץ; אין לתקן תנוחה גם אם קיימת סכנה לנתיב אוויר. אין להתחיל במשיכה שלדית לפני הערכה רנטגנית מתאימה. יש להימנע בכל מחיר מיישור הצוואר גם לצורך צנרור. כל החולים זקוקים לצנתר בשלפוחית השתן; יש להרכיב מסכת חמצן לחולים עם ריווי חמצן נמוך; יש להחדיר זונדה לקיבה למניעת הקאות; יש למדוד דופק ולחץ דם כל שעה; קיימת סכנה של ירידה בלחץ הדם עקב שוק ספינלי.
בבית-החולים חולים אלה יישארו בשכיבה מוחלטת בליווי מניפולציות שונות למתיחת עמוד השדרה.
טיפול ניתוחי
למינקטומיה: מטרתה לשחרר לחץ ממוח השדרה. במצבים הבאים קיימת הוראה לניתוח למינקטומיה:
- כאשר קיימת אפשרות לנתח את הפצוע סמוך לשעת הפגיעה, או במשך השעתיים הראשונות לאחר הפגיעה כאשר תהליך האיסכמיה לא הגיע לסיומו
- כאשר בבדיקה חוזרת ישנה הרעה ברגישות התחושתית או ביכולת המוטורית
- כאשר הפגיעה L10 ומטה
קיבוע אזור השבר על-ידי מקבע פנימי יתבצע כאשר תזוזת החוליות ניכרת ביותר.
שוק ספינלי
השוק הספינלי נגרם עקב אובדן רפלקסים מוטוריים וכתוצאה נגרמת וזודילטציה וירידה בלחץ הדם. הירידה בדרך כלל נמשכת כ-48 שעות. בירידה קלה של לחץ הדם עקב הלם ספינלי אין צורך בטיפול מיוחד שכן התופעות חולפות. ניתן להרים את רגלי מיטת החולה כדי להגדיל את ההחזר הוורידי. יש לתת נוזלים וגם תרופות וזופרסוריות במקרים קשים יותר.
בעיות נשימתיות של פצוע עמוד שדרה צווארי יכולות להתבטא בירידה בנפח הנשימה, באטלקטזה או בתסחיפים ריאתיים. לכל פצוע עמוד שדרה יש לתת אנטיקואגולנטים, להוציא נפגעים עם כיב פעיל או פציעות מרובות. בעיות מעיים נובעות מאי הפעלת המעי ומהפרעות בספיגה; כמו-כן ניתן למצוא ירידה בפעילות הכליות הגורמת לבצקת רקמות. מתן נוזלים בלתי מבוקר מחמיר את בצקת הרקמות וגורם לבצקת ריאות.
ראו גם
- לנושא הקודם חבלות ראש
- לנושא הבא: חבלות בצוואר - Neck injuries
- לתוכן העניינים של הפרק
- לתוכן העניינים של הספר
- לפרק הקודם: כירורגיה של המערכת הוורידית
- לפרק הבא: הלם
המידע שבדף זה נכתב על ידי ד"ר צבי קויפמן - מומחה בכירורגיה, מנהל היחידה לבריאות השד מרכז רפואי מאיר, כפר סבא

כניסה
עקבו אחרינו בפייסבוק 
