חבלות ראש - Head injury
הופניתם מהדף חבלות ראש לדף הנוכחי.
עקרונות בכירורגיה
מאת ד"ר צבי קויפמן
| עקרונות בכירורגיה | ||
|---|---|---|
| שם המחבר | ד"ר צבי קויפמן | |
| שם הפרק | חבלות | |
חבלות ראש קשות מהוות עדיין את הסיבה העיקרית לתמותה גבוהה או לנכות חמורה, בעיקר בגילאים צעירים. ברוב הסדרות הגדולות מדובר על 40% תמותה בקרב קבוצת חולים זו, ורק 20% מהתוצאות הטיפוליות מוגדרות כטובות.
החולים, המגיעים לבית-החולים בהכרה ומצבם מחמיר בין כתליו והם נפטרים, מהווים קבוצה שניתן לשפר את גורלה בעזרת אבחון וטיפול מהירים.
קבוצה זו מהווה 12% מהחולים שלקו בחבלות ראש קשות. לרוב הנפגעים היו שפכי דם תת-קשתיים חדים. בחולים ש"דיברו ונפטרו" נמצא, ש-57% מהם לקו בתהליכים, שאם אמנם היו מאובחנים בעוד מועד, ניתן היה למנוע את ההחמרה הקטלנית. גם כאן לרובם היו שטפי דם תוך-גולגולתיים. כמחצית מן החולים שנפטרו, נתקבלו תחילה לבתי חולים אזוריים ונזקקו לאחר מכן להעברה למרכז, שבו קיימת מחלקה לניורוכירורגיה. כאשר הופנו חולים חבולי ראש, שלקו בשטפי דם תת-קשתיים חדים, היישר למחלקות לניורוכירורגיה ונותחו תוך יממה לאחר החבלה - היה שיעור התמותה 33%; אולם כאשר עוכבה העברתם מבתי החולים האזוריים אל בית החולים המרכזי - עלה שיעור התמותה ל-67%. שיעור תמותה של 30% בלבד דווח לגבי חולים עם שטפי דם תת-קשתיים חדים שנותחו תוך 4 שעות ממועד החבלה, לעומת 90% אצל אלה שנותחו מאוחר יותר.
ב-49% מפגועי ראש קשים ניתן למצוא גם פגיעה מערכתית אחת או יותר. הפגיעות השכיחות הן שברים בגפיים (30%), חבלות בבית החזה (25%), פגיעות בבטן (17%) ופגיעה בעמוד-השדרה (6%). אצל חבולי ראש מחוסרי הכרה אין להסתמך על בדיקת הבטן לאבחון שטפי דם צפקיים. בחולים כאלה נתקבל דם בדיקור צפקי אף על פי שחלקם לא היו אפילו היפוטנסיביים. לכן חשוב לבצע שטיפה צפקית או US בטני בחבולי ראש מחוסרי הכרה, אשר תנאי פציעתם יכולים להצביע על פגיעות במערכות נוספות.
המשתנים העיקריים המשפיעים על לחץ הזילוח (פרפוזיה) במוח הם הלחץ התוך-גולגולתי ולחץ הדם המערכתי. 15% מחבולי הראש מגיעים לחדר מיון בהלם בדרגות חומרה שונות. סיכוייהם של חולים אלה להישרד קטנים, מאחר שלחץ הזילוח שואף לאפס. יש לזכור, שמנגנוני הוויסות העצמי אינם פועלים בלחצי דם מערכתיים נמוכים ולמוח אין אפשרות לשפר את הזילוח; חבלת ראש המלווה בהלם, גורמת לשיעור תמותה של 83% מהחולים לעומת 45% מהחולים, כאשר חבלת הראש היא מבודדת.
בנתיחות של חבולי ראש שנפטרו נמצא, שסיבת המוות הייתה היפוקסמיית מוח קשה. חלקם לקה בלחץ דם מערכתי נמוך (פחות מ-80 מ"מ (מילימטר) כספית) לפרק זמן של רבע שעה ומעלה. אצל אחרים נמצא לחץ חלקי של חמצן נמוך מ-50 מ״מ כספית, זמן מה לאחר החבלה. היפוקסמיה מערכתית נמצאה בכשליש מחבולי הראש. היפוקסמיה (Po2 נמוך מ-65 מ"מ כספית) נמצאה אצל 35% מחבולי הראש, לחץ דם נמוך (פחות מ-95 מ"מ כספית) נמצא אצל 15% מהחולים ואנמיה (המאטוקריט פחות מ-30) נמצאה אצל 12% מהחולים.
גם בחבלות ראש מבודדות קיימת היפוקסמיה על רקע תת-אוורור, הפסקות נשימה חולפות, שיאוף דם או תוכן קיבה, התפתחות אטלקטאזה ופנימוניטיס. גם בצקת ריאות ממקור נירוגני תגרום להפרעות בחמצון.
חבלות ראש קשות גורמות לתגובה מטבולית הכוללת טכיפנאה (יותר מ-30 נשימות לדקה), טכיקרדיה (יותר מ-120), יתר-לחץ-דם סיסטולי ועלייה בחום הגוף. המצב ההיפרדינמי מגביר את עבודת הלב ואת תפוקתו, מגביר את הדלף הריאתי, ומעלה את זילוח החמצן וצריכתו ברקמות. בתנאים אלה עלולים להתפתח הפרעות בקצב הלב ונמק של שריר הלב. השינויים המטבוליים כוללים פירוק חלבונים מוגבר, עלייה ברמת הסוכר בדם, שינויים בעמידות בפני אינסולין ושינויים בפוספוליפידים בפלזמה. מחולל התגובה אינו ברור די צורכו. קיימת עלייה בהורמונים המגיבים למצוקה, כמו קורטיזול, גלוקגון, אפינפרין, נוראפינפרין והורמון הגדילה. התופעות הפיזיולוגיות והמטבוליות המתרחשות לאחר חבלה, כמו עלייה בצריכת האנרגיה, מאזן חנקן שלילי, עלייה ברמת האינסולין והסוכר ולויקוציטוזיס מיוחסות לעלייה ברמת האפינפרין והקורטיזול בדם. יש המייחסים את התגובה לחבלה לאינטרלוקין 1 (1-IL), הגורם להיפרפירקסיה, לקטבוליזם שרירי, ולהגברת יצור חלבוני התגובה החדה כמו ה-C-reactive protein, המדכא את יצור האלבומין, מוריד את רמת האבץ ומעלה את רמת הנחושת בפלזמה, תופעות שתוארו בחבלות ראש קשות. גם ה-TNF הוערך כמחולל תגובה מטבולית לאחר חבלות ראש. רמות גבוהות של חומר זה נמצאו בחבולי ראש.
מכל האמור לעיל בולטת חשיבות הפנייתם המהירה של חבולי הראש למחלקה לנוירוכירורגיה, מאחר שהזמן מהווה גורם מכריע בתוצאות. רקמות עצביות הנמצאות במוקד החבלתי אינן מתאוששות ועוברות תהליך של נמק והצטלקות. ברקמות הנמצאות בהיקף של אזור החבלה קיימים נזקים איסכמיים. טיפול נכון ומהיר יכול להציל רקמות אלה מנזק בלתי הפיך. בחולים לאחר חבלת ראש ועם ירידה במצב ההכרה, עם סימנים נירולוגיים מוקדיים, עם חבלה חודרנית לגולגולת או שבר לחץ, יש לטפל באמצעים הבאים שמטרתם לשפר את זילוח הדם הירוד למוח:
- ייצוב המודינמי:
- אם לחץ הדם הסיסטולי נמוך מ-90 מ"מ כספית יש לפעול במהירות. במקביל לפעולות האבחון, יש לערות נוזלים (קולואידים/מרחיבי נפח וסקולרי), על מנת לשאוף להגיע ללחץ ורידי מרכזי של 5–10 מ"מ מים, ולשפר את זילוח הדם למוח. דימום תוך-גולגולתי אינו מהווה גורם להלם, ועל כן יש לחפש סיבות אחרות למצב. יש לבצע שטיפה צפקית, לחפש שברים בעצם הירך או מקור דימום בבית החזה. בשל השכיחות הגבוהה של הרחבת הקיבה בחבולי ראש, יש להחדיר צנתר לקיבה. חשוב להזכיר, שבמצב של הלם אין להסיק מסקנות מן הבדיקה הנירולוגית ואין לאבחן את מות המוח, נוכח אישונים מורחבים וחוסר תגובה לכאב. בחלק מנפגעים אלה, אי-ספיקה מוחית היא משנית לפגיעה מערכתית אחרת ואם פעולת ההחייאה תהיה מוצלחת וערכי לחץ הדם יעלו, עשויים אותם "מוחות מתים" להתעורר לחיים
- הורדת הלחץ התוך-גולגולתי
- אם לחץ הדם תקין ויציב, יש להזליף מאניטול (5.0-2 גרם/ק"ג (קילוגרם)) לתוך הווריד, למשך 20 דקות, ובו-בזמן להוסיף 10–20 מ"ג (מיליגרם) פוסיד על מנת להפחית את הלחץ התוך-גולגולתי, ולהגביר את צמיגות הדם במטרה לשפר את זילוח הדם המוחי לאזור הפגוע. לפגוע ראש יציב המודינמית, יש להימנע מלערות יותר מ-60–80 מ"ל (מיליליטר) נוזלים לשעה, אפילו אם הוחדרו מספר רב של צנתרים לתוך הווריד
- לאור הנתונים שהובאו לגבי החמצון של חולים אלה ולצורך אבטחת דרכי אוויר פתוחות, בשל הפסקות נשימה שחולים אלה עלולים לפתח ולצורך טיפול בהורדת הלחץ התוך-גולגולתי על-ידי הנשמת יתר, יש להתקין צינור הנשמה תוך-קני, ולהנשים את החולה. יש לעשות זאת גם באותם מקרים שבהם ניתן לראות שהחולה נושם נשימות יעילות באופן עצמוני. יש לקבע את הצינור התוך-קני היטב, ולוודא את מיקומו. יש להנשים את הפצוע בקצב של 10–12 הנשמות לדקה בחמצן 40% ולשאוף להגיע לערכי Pco2 של 28–30 מ"מ כספית
- אי-שקט מוטורי והתנגדות להנשמה, עלולים להעלות את הלחץ התוך-גולגולתי. אי-השקט עלול לנבוע ממילוי-יתר של כיס השתן ועל כן יש לצנתרו. אם החולה ממשיך להיות לא שקט, יש להרגיעו באמצעים פרמקולוגיים
- יש לקבע את צווארו של החולה באמצעות צווארון קשיח ולהרים את ראשו ב-30 מעלות על מנת לשפר את ההחזר הוורידי מהמוח דרך ורידי הצוואר הגדולים ולגרום להורדת הלחץ התוך-גולגולתי
- פעולות אבחנתיות:
- למעט צילום בית החזה וצילום עמוד-שדרה צווארי שיש לבצע בחדר המיון עם הגעת הפצוע, אין זה סביר לעכב העברת חבול ראש לצורך ביצוע צילומים. חבול הראש עלול להתעכב שלא לצורך במחלקת הרנטגן, בשל עומס העבודה, ומצבו הנירולוגי עלול להחמיר. אין לעכב העברת חולה בשל בדיקת קרקעית העיניים ובוודאי שאין להרחיב את אישוניו לצורך בדיקה זו. בצקת פטמה אם אכן תתפתח, תופיע רק מספר ימים לאחר החבלה. במצבי רינוריאה או אוטוריאה אין לעכב את החולה לצורך בדיקת אא"ג (אף, אוזן, גרון)
חבלות ראש קלות שכיחות ביותר בחדרי המיון ומהוות בעיה רפואית וכלכלית ביחס לדרך שיש לטפל בהן.
זעזוע מוח (Commotio, Concussion) - מצב של איבוד הכרה חולף בעטיה של חבלת ראש, אשר לאחריו מתרחשת גם הפרעה בזיכרון (אמנזיה אנט או רטרוגרדית). נפגע חבלת ראש קלה יימצא בעת הבדיקה בחדר מיון בהכרה צלולה וללא סימני חסר נירולוגי ועם סיפור תמיכה בחבלת ראש טרייה. הסימנים המרמזים על הימצאות תהליך תוך-גולגולתי הטעון אבחון וטיפול הם: מצב בלבול קל עד מצב המאופיין על-ידי ניקוד נמוך בסולם גלאזגו או חוסר יכולת למסור פרטים נכונים לגבי אירועים שאינם סב-חבלתיים, כאב ראש ההולך וגובר, הקאה חוזרת, חתכים נרחבים בקרקפת עקב חבלה קהה וגם פציעה חודרת, פציעה בפנים המעלה חשד לשבר, הפרעות קרישה (לאחר נטילת אספירין) ואי בהירות לגבי נסיבות החבלה. לפני קבלת החלטה על המשך הטיפול בחולים אלה, עליהם לעבור בדיקת טומוגרפיה ממוחשבת של המוח. בהתאם לתוצאות בדיקת הטומוגרפיה הממוחשבת, יש להחליט את מי לשחרר ואת מי להשאיר להשגחה ולבדיקה נירולוגית חוזרת.
פצועים עם זעזוע מוח ופחות מ־13 נקודות בדירוג גלאזגו - יעברו בדיקת טומוגרפיה ממוחשבת. אם התוצאה תקינה הם יתקבלו להשגחה בבית החולים. אלה עם תוצאה בלתי-תקינה יופנו לייעוץ נירוכירורגי. פצועים עם 14–15 נקודות בדירוג גלאזגו, ללא סימנים מרמזי פגיעה תוך-מוחית, יופנו להשגחה בבית החולים. באם יש להם אחד מסימני הפגיעה התוך-מוחית, יעברו בדיקת טומוגרפיה ממוחשבת של המוח. אם תוצאת הבדיקה תקינה - החולה ישוחרר לביתו עם מלווה בוגר. אם התוצאה אינה תקינה - יופנה החולה לייעוץ נירוכירורגי. חולים המתקבלים לאשפוז זקוקים להשגחה של לפחות 6 שעות.
חבלות ראש בקשישים
הסיבה העיקרית לחבלות ראש בקרב קשישים היא נפילה הנגרמת בשל מחלה קודמת, שבגברים שכיחה יותר, ולכן שכיחות החבלות בהם גבוהה יותר. יש להביא בחשבון את הנטייה לנפילות של קשישים עקב ירידה בתפקודי מערכת שווי המשקל. חלק מהחבלות להולכי רגל נגרם עקב שיפוט פגום וירידה ביכולת התחושתית מוטורית. לעוצמת הנזק תורם גם השימוש בנוגדי קרישה הנפוץ בקרב אוכלוסיית הזקנים. זעזוע מוח או חבלה אקסונית מפושטת הן הפגיעות השכיחות ביותר בצעירים ובבוגרים, אך נדירות יחסית בקשישים. לעומת זאת גדול מספרם של הלוקים בחבלות מעיכה. זוהי הפגיעה התוך-מוחית החדידה (subacute) השכיחה ביותר בקשישים. הסיבה היא - שינוי בתכונותיו הפיזיקליות של המוח הקשיש שנעשה צפיד יותר וכלי הדם שלו נעשים שבירים יותר. בקשישים נצפתה גם צורה מיוחדת שפירה של דימומת תת-קשתית חדידה. במצב זה שבו לא נפגע המוח עצמו אלא רק נלחץ על-ידי צבר דם ורידי, אין הנזק הרקמתי כה גדול ולכן התמותה נמוכה. מעט זקנים לוקים בדימומת על קשתית חדידה. ככל שעולה הגיל, דרוש יותר כוח כדי להפריד את קרום הקשתית מהעצם. בכך ניתן להסביר את מיעוט החולים עם פגיעה זו, אך גם את התוצאות העגומות עקב עוצמת החבלה. חבלות ראש בקשישים גורמות לנכות ולמחלות רבות ולשיעור תמותה של כ-20% מקרב הנפגעים הקשישים.
המטומה אפידורלית
המטומה אפידורלית היא מצב שבו נוצר שטף-דם בין דורה לעצם הגורם ללחץ על המוח. בחבלות לטרליות בעיקר נפגע העורק Middle meningeal שהוא הגורם העיקרי להתפתחות המטומות אפידורליות (איור 3.16).
ההמטומה האפידורלית יכולה להסתמן כאיבוד הכרה מלכתחילה. היא יכולה להתבטא באיבוד הכרה קצר לאחר מכן התעוררות ושוב כניסה לתרדמת (Lucid interval), או באיבוד הכרה מאוחר ללא שינוי בהכרה מוקדם יותר. המקרה הקלאסי הוא של חולה המדבר ונראה בסדר שפתאום מת. כל הפצועים הללו שמלכתחילה נראים כולם בסדר - אינם בסדר. 10% מהפצועים עם המטומה אפידורלית הגיעו לחדר מיון בהכרה מלאה. בדיקה נירולוגית קצרה הכוללת את דירוג גלאזגו, בדיקת אישונים ובדיקת סימני צד מוטוריים יכולה לעזור לאבחון החשד להמטומה אפידורלית. מצבים של הפרעה בזיכרון, מצב בלבולי, חוסר התמצאות, הקאות מעבר לשעה או שעתיים לאחר האירוע, פרכוסים בילדים וכאבי ראש מתגברים עם הזמן - כולם יכולים לרמוז על הפרעה בהכרה עקב המטומה אפידורלית. מעקב אחר חולים אלה ילמד על שינויים שיגבירו את החשד. שינוי של 2 יחידות בדירוג גלאזגו, שינוי במצב האישונים, הופעת סימני צד, אפילו קלים, והחמרה בכאבי הראש - כולם מחייבים ביצוע בדיקות לשלילת המטומה אפידורלית, המחייבת הערכה והתערבות נירוכירורגית. בבדיקת החולים ניתן למצוא מדדים המודינמיים תקינים בתחילה, אולם התפתחות של טכיקרדיה ויתר-לחץ-דם מאוחר יותר מעידים על עליית לחץ תוך-גולגולתית. אולם יש לזכור שזו תופעה מאוחרת וייתכן שלא ניתן כבר להעניק טיפול הולם. נפיחות, המטומה או שקע באזור טמפורלי/פריאטלי הם ממצאים המחייבים שלילת אבחנה של המטומה אפידורלית.
שיטת ה-ATLS (Advanced Trauma Life Support) מחלקת את הסימנים המרמזים על פגיעה תוך-גולגולתית משמעותית ל-3 דרגות סיכון: סיכון נמוך, סיכון בינוני, סיכון גבוה. טבלה 4.16 מסכמת את הממצאים הללו.
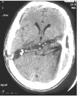
פצוע עם חשד להמטומה אפידורלית חייב לעבור בדיקת טומוגרפיה ממוחשבת של המוח לאישור האבחנה (תצלום 1.16). האבחנה של המטומה אפידורלית מחייבת טיפול נוירו-כירורגי דחוף הכולל ביצוע חורים בגולגולת וניקוז ההמטומה. ניקוז ההמטומה יפחית את הלחץ התוך-גולגולתי וישפר את מצב החולה.
המטומה סובדורלית
המטומה סובדורלית היא הסיבה השכיחה ביותר לצברי דם הנגרמים על ידי חבלת ראש. הסיבה לדמם היא קרע של כלי דם ורידיים המנקזים דם מהקורטקס או מהסינוסים הוורידיים שבדורה (איור 4.16). המטומות אלה יכולות להיות בתחילה א-תסמיניות או חלק ממצאים המלווים חבלה גולגולתית קשה המלווה בחוסר הכרה מידי, עם פרוגנוזה רעה, המתבטאת בשעורי תמותה גבוהים. ההמטומה יכולה להיות קטנה ולגרום לבצקת מוחית ניכרת בעיקר אצל צעירים, או להיות גדולה עם מיעוט תסמינים, בעיקר במבוגרים, בהם יש מרווח בין המוח לגולגולת ולכן גם המטומות גדולות יחסית יצרו מעט לחץ ומיעוט תסמינים. מחלקים את ההמטומות הסובדורליות בהתאם למרווח הזמן שחלף מהחבלה ועד הופעת התסמינים.
המטומה סובדורלית חדה (Acute) היא זו המתבטאת תוך 24 שעות מהחבלה. צורה זו היא המסוכנת והמלווה תמותה גבוהה, הקשורה גם לשכיחות הגבוהה של חבלות מוחיות הנלוות אליה. ההמטומה והחבלות הנלוות גורמים לבצקת מוחית קשה שנמשכת גם לאחר הטיפול בהמטומה הסובדורלית. ניקוז מוקדם של המטומות אלו הוא המפתח להצלחת הטיפול בחולים אלה. המטומה סובדורלית חדידה (Subacute) היא זו המאובחנת כעבור 1–14 ימים מהחבלה. התסמינים מתפתחים לאט ובהדרגה וכוללים: כאבי ראש מתגברים, בצקת של פטמת הרשתית והמיפרזיס.
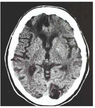
המטומה סובדורלית כרונית היא זו המאובחנת כעבור שבועיים ויותר מהחבלה. לעיתים החולים והמשפחה שכחו את האירוע החבלתי והחולה מפתח תמונה של דמנציה חדה. כאבי ראש שכיחים וכן סמני צד נוירולוגים. המטומות כרוניות שכיחות בתינוקות ובמבוגרים מעל גיל 60. ההתפתחות ההדרגתית ואיטית של התסמינים גורמת פעמים לחשיבה מוטעית שמדובר בחולה עם תסמינים על רקע נפשי וחלקם מופנים לטיפול פסיכיאטרי. המטומה כרונית ב-20% היא דו-צדדית ומודגמת טוב ב- CT או MRI (תצלום 2.16). הניקוז של ההמטומות הללו יכול להתבצע דרך חורים בגולגולת ובדורה המאפשרים פתח ניקוז ושאיבה של ההמטומה שעברה ברוב החולים התנזלות.
חבלות בגולגולת
חבלות בקרקפת כוללות המטומות וקרעים. עקב עושר בכלי הדם, קרעים בקרקפת נוטים לדמם מאוד והחולה יכול לאבד דם רב מחבלה שטחית יחסית. הטיפול הראשוני הוא לחץ מקומי כנגד עצם הגולגולת. לחץ מספיק כדי לעצור את הדם. לאחר מכן בחתכים קוויים לאחר הטריה תופרים. חתכים מורכבים דורשים יותר הטריה ולפעמים כיסוי עם מתלי עור של החלק הניזוק. שברים בגולגולות, במיוחד שברי דחיסה (Depressed skull fracture), מסוכנים עקב הלחץ או הפגיעה במעטפות המוח או במוח עצמו (איור 5.16).
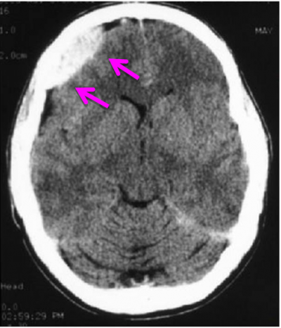
האבחנה היא קלינית ורנטגנית. במישוש ניתן להרגיש שקע בגולגולת, וב-CT ניתן לראות את השבר בגולגולת (תצלום 3.16). שברי דחיסה השקועים מעבר ל-5 מ"מ מחייבים התערבות כירורגית להוצאתם. יוצאים מהכלל הם אותם שברי דחיסה שממוקמים מעל הסינוסים של הדורה והרמתם עלולה לגרום לקרע של הסינוס ולדימום שקשה לשלוט עליו. שברים מורכבים עם חשיפה של המוח מחייבים התערבות כירורגית מוקדמת (תוך 12 שעות) למניעת התלקחות זיהומים במקום. עד אז יש לחבוש את המקום באופן סטרילי. אין לנסות להוציא חלקים גרמים או גופים זרים מהפצע או לתפור אותו לפני שהחולה מוכנס לחדר ניתוח, העומד מוכן לביצוע פתיחת גולגולת (Craniotomy) במקרה הצורך.
פצעי ירי בראש
פצעי ירי בראש מאופיינים בנזק לעצמות הגולגולת ולמוח. בפצעי ירי אפשר למצוא: שברים בגולגולת, המטומה אפידורלית, המטומה סובדורלית, שטפי דם תוך-מוחיים, קרע של כלי דם גדולים והרס של רקמת המוח לאורך מסלול הקליע. האבחנה היא קלינית. ניתן לראות פצע כניסה ולעיתים פצע יציאה ושט"ד מקומי. ב-CT נראה את מסלול הקליע ונזקיו (תצלום 4.16). בצילום גולגולת ניתן לראות את הקליע או רסיסים בגולגולת ובמוח (תצלום 5.16). קליעים מכלי ירי צבאיים, שהם בעלי מהירות גבוהה, יוצרים נזק ניכר לעצמות ולמוח, כאשר הנזק לאורך מסלול הקליע כולל גם נזק היקפי סביב המסלול עקב החום והוויברציה שיוצר הקליע. לעומת זאת, קליעים בעלי מהירות נמוכה גורמים בעיקר לשטפי דם ונזק גרמי. הפרוגנוזה של נפגעים אלו גרועה ורוב הנפגעים, במיוחד הנפגעים מקליעים עם מהירות גבוהה, נפטרים מהפציעה או נשארים עם נכות ניכרת.
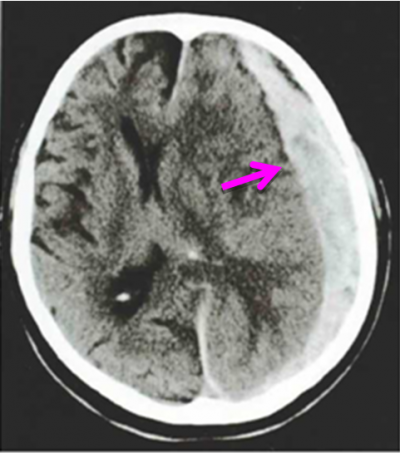
הנזקים המאוחרים של החבלות המוחיות הם: Leukomalacia, אוטמים מוחיים, ציסטות מוחיות, הידרוצפלוס ואטרופיה מוחית, המשאירים נזקים תמידים. הנזקים הללו ניתן להדגמה ב-CT מוח (תצלום 6.16).
הגישה לחולה פצוע בטן עם חבלת ראש
נפגעים עם פציעה המורכבת מחבלה בטנית ומחבלה בראש עלולים למות עקב איחור בניתוח של פגיעת הראש. נפגעים עם חבלת בטן קהה וללא פגיעת מוח, עלולים למות בדרך כלל עקב איחור בניתוח של חבלה בת-ניתוח. משני נתונים אלה עולה השאלה מה יש לבצע תחילה: טומוגרפיה ממוחשבת של המוח או סקירת בטן ניתוחית. פתרון לדילמה זו הוא אתגר אבחוני-טיפולי ממדרגה ראשונה, ומהווה מפתח להצלחת הטיפול. תרשים הזרימה הבא הוא הצעה לגישה טיפולית בדילמה הזו (תרשים 15.16).
הנחיות משרד הבריאות לטיפול בנפגעי גולגולת - חדר מיון
- הגדרות:
- זעזוע מוח (Concussion of brain): מצב שבו מתקיימים שני תנאים: איבוד הכרה חולף ואיבוד זיכרון (אמנזה רטרוגרדית)
- חבלת גולגולת קלה (Mild head injury): חבלה בגולגולת עם או בלי זעזוע מוח, כאשר הנפגע נמצא בהכרה צלולה בבדיקה במיון ולא נמצאו סימני חבלה חיצוניים או סימני חסר נירולוגי כלשהם
- הוראות לצילומי גולגולת או טומוגרפיה ממוחשבת:
- לצילומי גולגולת ערך מוגבל ביותר באבחון מוקדם של חולה עם חבלה בראש, מלבד במקרים של פצעים חודרים. בחבלות ראש בינוניות וקשות אמצעי ההדמיה המועדף הוא הטומוגרפיה הממוחשבת. ככל שהפציעה קשה יותר יש לבצע טומוגרפיה ממוחשבת מוקדם יותר
- צילומי גולגולת יבוצעו על פי שיקוליו הקליניים של הרופא הבודק ובכל מקרה שבו קיים פצע קרוע או חשד לשבר בגולגולת (על סמך סימני רגישות, נפיחות מקומית, מישוש אי-סדירות בקופסת הגולגולת וכדומה)
- אין חובה לבצע צילום גולגולת בנפגעי ראש קלים. אין לבצע צילום גולגולת לנפגע ראש כשגרה ומותר לשחררו ללא צילום
- נפגע ראש הזקוק לאמצעי הדמיה יאובחן באמצעות טומוגרפיה ממוחשבת, לאחר המלצה של יועץ המומחה לנוירולוגיה או לנוירוכירורגיה
- בדיקת טומוגרפיה ממוחשבת שגרתית תבוצע בכל נפגע ראש שגילו יותר מ-70, או בנפגע בגיל כלשהו הלוקה בהפרעות קרישה
- הנחיות לקבלת ייעוץ נוירולוגי או נוירוכירורגי:
- יש להתייעץ עם מומחה לנוירולוגיה או לנוירוכירורגיה לגבי נפגעי ראש במקרים הבאים:
- שבר בגולגולת
- שינוי לרעה במצב ההכרה של הנפגע
- מצב בלבולי
- סימני חסר-נירולוגי
- פרכוסים
- הוראות לאשפוז נפגעי גולגולת בבית-חולים:
- ילדים שגילם פחות משנתיים ומבוגרים שגילם יותר מ-70 שנה עם זעזוע מוח
- נפגעי ראש בגיל 2–70 עם זעזוע מוח שלא עברו בדיקת טומוגרפיה ממוחשבת מכל סיבה שהיא. נפגעי ראש שנבדקו על-ידי טומוגרפיה ממוחשבת והתוצאה נמצאה תקינה – ניתן לשחררם באם לא מתקיים אחד מהסעיפים 3–7 כדלקמן
- מצב בלבולי או הרעה במצב ההכרה
- שבר בגולגולת
- סימנים נירולוגים: הקאות, חסר נירולוגי כלשהו או פרכוסים
- קשיים בהערכה קלינית של הנפגע ללא אפשרות לבצע טומוגרפיה ממוחשבת כגון: נפגע מסומם, אלכוהוליסט, אפילפטי, או מפגר בשכלו
- מצבים רפואיים כגון: הפרעות קרישה
הערות: אם הוחלט לשחרר את הנפגע מחדר המיון של בית-החולים יש לצייד את המלווה בהוראות בעל-פה ובכתב לגבי הסיבוכים האפשריים תוך הנחיה מפורשת לחזור לחדר המיון אם יתפתח סיבוך.
ראו גם
- לנושא הקודם שיטת ה-ATLS להערכת פצועים וטיפול בהם
- לנושא הבא: חבלות בעמוד השדרה
- לתוכן העניינים של הפרק
- לתוכן העניינים של הספר
- לפרק הקודם: כירורגיה של המערכת הוורידית
- לפרק הבא: הלם
המידע שבדף זה נכתב על ידי ד"ר צבי קויפמן - מומחה בכירורגיה, מנהל היחידה לבריאות השד מרכז רפואי מאיר, כפר סבא

כניסה
עקבו אחרינו בפייסבוק 



