כיסית אכינוקוקית - היבטים כירורגיים - Echinococcus cyst - surgical aspects
עקרונות בכירורגיה
מאת ד"ר צבי קויפמן
| עקרונות בכירורגיה | ||
|---|---|---|
| שם המחבר | ד"ר צבי קויפמן | |
| שם הפרק | כירורגיה של הכבד | |
אטיולוגיה
מחלה זו נגרמת על-ידי האכינוקוקוס גרנולוזום או מולטילוקולריס, אשר מצוי במעי של כלבים, שועלים וזאבים. חיות אלה מפרישות את ביצי הטפיל בצואתם. מארחי ביניים הם: צאן ובקר, ולפעמים בני אדם, אשר אוכלים את הביצים האלה. הביצים בוקעות והטפיל חודר דרך התריסריון אל מערכת השער (המערכת הפורטלית), עובר סינון על-ידי הכבד ונלכד בתוכו. לפעמים אין הטפיל נשאר בכבד, אלא ממשיך עם זרם הדם ומתיישב בריאות ובאיברים אחרים. הטפיל מתרבה בכבד בצורה א-מינית ויוצר כיסיות בתוך הכבד אשר דופנותיהן מורכבות משתי שכבות:
- הפנימית, שהיא השכבה הגרמינטיבית
- החיצונית, שהיא קשה - שכבת האדונטיציה
הנוזל ההידטיבי מכיל בתוכו את הסקוליצס והוא מזהם מאוד כאשר הוא מתפזר. הבקר המת נאכל על-ידי המאכסן הראשון וכך נסגר מעגל החיים של הטפיל, כאשר הסקוליצס הופכים במעי הכלב לטפילים בוגרים.
רוב הכיסיות הן שטחיות ומכילות נוזל צלול בתוכן (Water clear). הלחץ בכיסית הוא גבוה - 300 ס"מ מים.
תסמינים קליניים
ברוב החולים הכיסיות הן א-סימפטומטיות. בחלק מהחולים הכיסיות מתגלות לאחר מישוש של גוש בכבד. קרע של הכיסית גורם לפיזור מיליארי של גורמי המחלה ולפטירת החולים עקב כך. פיזור הנוזל יכול להיות בדרכי המרה, בחלל הצפק או בבית החזה. כאשר הנוזל מתפזר בדרכי המרה ניתן לראות צהבת חסימתית קלה, מלווה בחום ואורטיקריה. כאשר קיים פיזור בחלל הבטן ניתן למצוא כאבי בטן ואורטיקריה עד הלם אנפילקטי. בפיזור לפלאורה יופיעו שיעול, חום ומאוחר יותר יכולה להתפתח ממגלת (אמפיאמה). כיסיות אלה יכולות להזדהם וליצור מורסות בכבד.
אבחנה
- במעבדה ניתן למצוא בחולים אלה: אאוזינופליה בדם הפריפרי ותוצאות חיוביות למבחני קאסוני ווינברג. בשנים האחרונות פותחו מבחנים סרולוגיים אחרים לאבחון המחלה, שמתבססים על מבחן המאגלוטינציה בלתי ישיר (Indirect hemagglutination test)
- בצילום בטן סקירה ניתן לראות מסה עגולה מסוידת
- במיפוי כבד ניתן לראות פגם מילוי בכבד
- באולטרה-סאונד ניתן להדגים כיסית עם חללים מרובים בתוכה
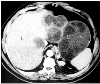
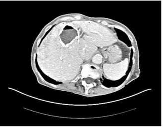
- בטומוגרפיה ממוחשבת ניתן לראות גוש בכבד עם כיסיות בנות, עם מחיצות או בלעדיהן (תצלום 12.10 - 13.10)
טיפול
הכיסיות הנגרמות על-ידי האכינוקוקוס אלואולרים הן מרובות. בכיסיות קטנות מסוידות אין צורך לטפל. כיסיות אלה אינן אקטיביות, הטפיל בהן מת ודופנותיהן קשות. כיסיות גדולות או כיסיות הגורמות לסיבוכים דורשות טיפול כירורגי. הטיפול הכירורגי כולל:
- פתיחת הבטן בחתך סוב-קוסטלי או אמצעי.
- תחילה יש להחדיר לכיסית נוזל כמו אלכוהול, פראוקסיד או נוזלים היפרטוניים (40% NaCl 20% ,Alcohol), שמטרתם להרוג את הסקוליצס של הכיסית ולמנוע על-ידי כך פיזור מיליארי. לאחר מכן:
- אם ניתן, יש להפריד בין שכבות הכיסית ולהוציאה על-ידי קילוף.
- אם לא ניתן להפריד בין שכבות הכיסית, יש לכרות את חלק הכבד, שבו מצויה הכיסית. בכיסיות גדולות הממוקמות באונה אחת של הכבד אפשר לבצע כריתת חלק מהאונה או כריתת אונה שלמה של הכבד.
- יש המבצעים פריציסטקטומיה, כלומר קילוף שתי שכבות הכיסית. בין הכיסית לכבד נוצרת רקמה פיברוטית אשר מאפשרת קילוף הכיסית על כל שכבותיה. בניתוח זה יש להקפיד לתפור את נקודת הדליפה של דרכי המרה על מנת למנוע נצור מרתי. 3. את החלל הנשאר לאחר כריתת הכיסית צריך לסגור על-ידי הכנסת אומנטום לתוכו.
פרוגנוזה
שיעור התמותה בניתוחים אלה הוא 5% ופחות, וההחלמה היא מלאה בחולים, שבהם הכיסית ממוקמת.
ראו גם
- לנושא הקודם: חבלות בכבד - Liver trauma
- לנושא הבא: שאתות בכבד - היבטים כירורגיים - Liver tumors - surgical aspects
- לתוכן העניינים של הפרק
- לתוכן העניינים של הספר
- לפרק הקודם: כירורגיה של הלבלב
- לפרק הבא: כירורגיה של הטחול
המידע שבדף זה נכתב על ידי ד"ר צבי קויפמן, מומחה בכירורגיה, מנהל היחידה לבריאות השד, מרכז רפואי מאיר, כפר סבא

כניסה
עקבו אחרינו בפייסבוק 
