חבלות בכבד - Liver trauma
עקרונות בכירורגיה
מאת ד"ר צבי קויפמן
עקרונות בכירורגיה
מאת ד"ר צבי קויפמן
| עקרונות בכירורגיה | ||
|---|---|---|
| שם המחבר | ד"ר צבי קויפמן | |
| שם הפרק | כירורגיה של הכבד | |
הכבד הינו איבר מוצק המכיל בתוכו כמות רבה של דם, דבר החושף אותו לחבלות. הכבד הוא האיבר הנפגע ביותר מחבלות חודרות של הבטן. ב- 25% מהחולים שנפגעו מחבלות חודרות נמצאה פגיעה בכבד. שיעור הפגיעות בכבד מחבלות מחיצה נמוך יותר, ומגיע ל- 5-10% מקרב הנפגעים. החבלות החודרות יכולות לגרום לקרעים פשוטים במקרים של דקירה, או לחבלות נרחבות כאשר הגורם הוא קליע החודר לכבד ומשאיר אחריו תעלה נרחבת של רקמה נמקית. בחבלות מחיצה טווח הפגיעה רחב, החל מהמטומה פשוטה וכלה בריסוק של חלק מרקמת הכבד. הכבד נפגע בדרך כלל יחד עם איברים אחרים בבטן. ההיוותרות בחיים תלויה במספר האיברים שנפגעו. ככל שמספר גדול יותר של איברים נפגע - כך הפרוגנוזה גרועה יותר.
את החבלות בכבד ניתן לחלק ל- 5 דרגות בהתאם לחומרת החבלה:
- דרגה 1 - שיסוף (לצרציה) של הקפסולה של גליסון.
- דרגה 2 - קרע שטחי של הפרנכימה, קרעים לא מדממים עקב דקירת סכין או חדירת קליע
- דרגה 3 - קרע עמוק עם קרע של הקפסולה של גליסון או בלעדיו
- דרגה 4 - ריסוק של חלק מהכבד
- דרגה 5 - פגיעה בפרנכימה המלווה בפגיעה בווריד החלול או בורידי הכבד
תסמינים קליניים
בבדיקה קלינית החולה לעתים בהלם, הבטן רגישה, במיוחד בהיפוכנדריום מימין, ולפעמים אף מלווה בסימנים צפקיים. ניתן לראות סמנים לחבלה המרמזת על אפשרות של חבלה בכבד. חבלה בבטן ימנית עליונה, המטומות בעור, פציעות ועוד (תמונה 3.10). כאשר קיימת המטומה סוב קפסולרית ניתן למשש גוש בבטן העליונה. הסימנים יכולים לנבוע גם מנזקים הנגרמים לאיברים אחרים בזמן החבלה.
אבחנה
במעבדה: ספירת הדם היא בעלת משמעות קטנה יחסית. ניתן למצוא לויקוציטוזיס משמעותית ללא שינויים בהמוגלובין בשלב ראשון. תפקודי הכבד אינם מראים כל פתולוגיה.
האבחנה של חולים בעלי חבלה חודרת לא יציבים מבחינה המודינמית מתבצעת בלפרוטומיה. מכיוון שחולים אלה חייבים לעבור ניתוח, אין לבצע שיטות אבחון מתוחכמות. בחולים יציבים המודינמית אפשר לבצע הדמיה על מנת לברר קיום פגיעות נוספות בבטן.
כאשר מדובר בחבלות מחיצה או חבלות חודרות בחולה יציב מבחינה המודינמית , וקיים חשד לחבלה בכבד, שיטת האבחון הראשונית היא:
- אולטרה-סאונד – הינה בדיקת חובה בכל טראומה המגיעה למיון (FAST) - בבדיקה זו נועדה לענות על השאלה האם יש או אין נוזל בחלל הבטן והיכן. מלבד זאת בחבלות כבד אפשר להדגים את הכבד החבול, ולאבחן קרעים בו. ניתן להדגים נוזל חופשי בצפק. אפשר לראות חבלות נוספות כמו חבלות בטחול, בלבלב, בכליות ועוד.
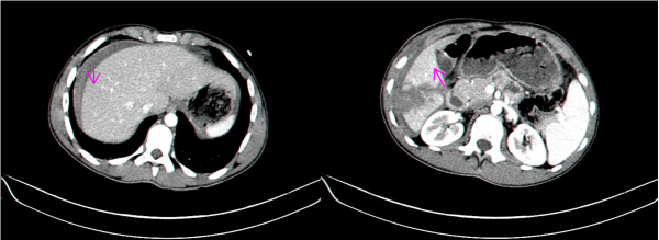
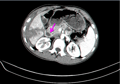
- טומוגרפיה ממוחשבת - בדיקה זו יכולה להראות את היקף הנזק ומיקומו. בדיקה זו אפשר לבצע בחולים שהם יציבים המודינמית, והיא בדיקת הבחירה (תצלום 7.10 ). ניתן להדגים גם דימום פעיל מהכבד על ידי הדגמת דליפה של חומר ניגוד באזור החבלה (תצלום 8.10).
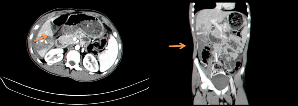
בנוסף ב- CT אפשר לראות גם פגיעות באיברים אחרים (תצלום 9.10) כולל כלי דם (תצלום 10.10).
- אנגיוגרפיה בררנית (סלקטיבית) של עורק הכבד, העורק המזנטרי העליון ועורק הטחול נותנת מידע ישיר על מקום הקרע וגודלו (תצלום 11.10).
- בצילום בטן סקירה ניתן לראות לפעמים הרמה של הסרעפת מימין, נוזל בפלאורה או שברים של צלעות מצד ימין.
- ניקור צפקי בשיטה המקובלת. אם נמצא דם בחלל הצפק יש לאשפז את החולה בטיפול נמרץ למעקב קפדני.
- המיפוי יכול להראות קרעים בכבד ודימומים.
טיפול
חולים עם חבלה בכבד שהם יציבים המודינמית וללא עדות לדמם פעיל באחת משיטות ההדמיה, יטופלו שמרנית ביחידה לטיפול נמרץ. הטיפול יכלול: מתן נוזלים ודם, מתן חמצן, ולעיתים קרובות אף הנשמה מלאכותית. הטיפול ההנשמתי נדרש מכיוון שחולים אלה נוטים לפתח תסמונת המצוקה הנשימתית של המבוגר (ARDS) ולעיתים קרובות החבלה הבטנית מלווה גם בחבלה (קונטוזיה) ריאתית. מעקב קפדני על המערכת ההמודינמית כולל: מעקב אחר שינויים בלחץ הדם, שינויים בדופק, כמות השתן, וכן כמויות הנוזלים הנדרשים כדי לשמר יציבות המודינמית. פצועים המראים סימנים של קיפוח המודינמי או דורשים כמות רבה של נוזלים ודם על מנת לשמר את היציבות ההמודינמית לאורך זמן, הם חולים המועמדים לטיפול ניתוחי. אם נפלה ההחלטה לנתח, יש להכין את החולים במידת האפשר על ידי תיקון מנגנון הקרישה (פלזמה וגורמי קרישה במידת הצורך), לשמור על חום גופו של החולה, להנשים את החולה כבר בטיפול נמרץ, להכין חזה בטן לפתיחה כירורגית, להכין ציוד להדמיית דרכי המרה במהלך הניתוח ואמצעים לקירור החולה בזמן הניתוח.
חולים שאינם יציבים המודינמית יועברו לחדר ניתוח, כאשר כל תהליכים ההחייאה והייצוב ייעשו בחדר הניתוח במקביל להכנה לניתוח ובזמן הניתוח. המגמה הראשונה בניתוח היא להפסיק את הדימום במהירות, וזאת במטרה לאפשר לפעולות ההחייאה המבוצעות במקביל לייצב את הפצוע. כדי להשיג הפסקת דימום מהכבד יש תחילה לבצע Packing של אזור הכבד על ידי מפיות בטן ולגרום ללחץ מספיק על הכבד שזה יפסיק לדמם. במקביל יש לבצע בקרת נזקים בבטן ולאתר פגיעות נוספות בחלל הבטן. על המרדים, במקביל לפעולות ההחייאה, לנטר באופן קבוע את חום גופו של המנותח, את ערכי ה- pH בדמו ואת תפקודי הקרישה שלו. חולים המראים נטייה לירידה בחום הגוף ולירידה ב- pH, נוטים לפתח קרישה תוך-כלית מפושטת (DIC) קלינית, ולכן זה השלב בו יש לבצע את המינימום הנדרש להפסקת הדימום, לסגור את הבטן ולהעביר את החולה לטיפול נמרץ לשם ייצובו מחדש וחימומו. במידה והדימום מהכבד עדיין לא נשלט, הדרך המהירה ביותר להשיג שליטה היא שיטת ה-Packing שצוינה וניקוז חלל הבטן. משאירים את המפיות הבטן שהוכנסו בלחץ סביב הכבד סוגרים את הבטן עם המפיות בפנים. לאחר ייצובו של הפצוע בטיפול נמרץ הוא מוחזר לחדר ניתוח בניסיון נוסף להשתלט על הדימום. בניתוח מפיות הבטן יוצאו בזהירות ובמידה והדימום פסק יבוצעו פעולות ניקוז מיטת הכבד, יטופלו נזקים אחרים מחוץ לכבד והחולה יוחזר לטיפול נמרץ (תמונה 4.10).
במידה והחולה לאחר הוצאת מפיות הבטן ממשיך לדמם וניתן לזהות את הגורם יש לנתח את הכבד כאשר שלושת העקרונות המנחים הם:
- סילוק הרקמה הנמקית. סילוק הרקמה הנמקית הוא חובה, מכיוון שרקמה זו היא מקור לזיהומים ולמורסות בכבד, וכמו-כן היא גורמת לפגיעה מאוחרת בכלי הדם ולדימומים מאוחרים. בקליעים חודרים יש לבצע Unroofing של התעלה, או כריתה של סגמנט או אף אונה של הכבד (תמונה 5.10)
- המוסטזה קפדנית. ההמוסטזה מתבצעת על-ידי קשירה ישירה של כלי דם ומרה. לפעמים יש להשתמש בחומרים כמו אביטן העוזרים לקרישת הדם. בחתכים שטחיים אפשר לתפור את הכבד. בחתכים עמוקים אין לסגור את שולי הכבד מעל, מכיוון שיכולה להיווצר שם המטומה גדולה אשר בהמשך עלולה להתפתח למורסה בגלל החיידקים המתרבים בה. לכן קרעים מסוג זה יש להשאיר פתוחים ולבצע בהם המוסטזה קפדנית. בחבלות נרחבות של הכבד, על מנת להשתלט על הדימום, יש לבצע קוכריזציה של התריסריון ולשחרר את ה-Hepatoduodenal ligament, ובעזרת לחץ לסגור את עורק הכבד ולהקטין את הדימום. ניתן גם לשים וסקולר קלם על הליגמנט ההפטודאודנלי ולסגור על-ידי כך את הווריד הפורטלי יחד עם עורק הכבד. ניתן להמשיך בחסימת הפדיקל הווסקולרי בטמפרטורה רגילה במשך 20 דקות, ואז יש לשחרר את הקלם למספר דקות ושוב לסגור. כאשר מקררים את החולה ל- 30 מעלות ניתן להמשיך בטכניקה זו עד 60 דקות. טכניקה זו נקראת הטכניקה על-שם Pringel. אם הדימומים הם בחלק האחורי של הכבד יש לשחררו מהליגמנטים המחברים אותו לסרעפת ועל-ידי כך מתאפשרת גישה לכל חלקי הכבד, מלבד ה- Bare area ולאזור ורידי הכבד. אפשר לקשור את עורק הכבד, אם עקב כך פוחת הדימום והכבד עצמו אינו נפגע. כאשר קושרים את עורק הכבד או את הענף הימני שלו יש גם לבצע כולציסטקוטומיה, מכיוון שאספקת הדם לכיס המרה היא בלעדית מעורק כיס המרה, שהוא ענף של עורק הכבד הימני. אחת הפגיעות הקשות בכבד היא קרע של ורידי הכבד. הגישה אליהם קשה, דורשת הרחבת החתך אל החזה, פתיחת בית החזה, חיתוך הסרעפת וסגירת הווריד החלול מתחת לכבד ומעליו, באזור הפריקרדיום. בחסימה זו אפשר להמשיך כ- 20 דקות ואז יש לפתוח למספר דקות, אחרת תהיה ירידה בתפוקת הלב, עקב הצטברות של דם בגפיים התחתוניים. כיום יש המבצעים סגירה של הווריד החלול מעל מקלעת הצליאק, חושפים את הווריד במיטת הכבד שלו ומכניסים דלף פנימי בין חלקי הווריד דרך הארטריום הימני, ובכך מאפשרים טיפול בורידי הכבד ללא חסימה של הווריד החלול
- ניקוז החלל הצפקי. בגמר ההמוסטזה יש להשאיר נקז גדול, על מנת לשאוב את התוכן המצטבר, ולמנוע היווצרות מורסות בכבד ובצפק
- שאלה חשובה, שנשארה עדיין פתוחה, היא האם יש להכניס נקז-T לדרכי המרה של חולים אלה, על מנת להקטין את הלחץ בדרכי המרה, ובכך להקטין את דליפת המרה מהשוליים הפגועים. נמצא שפרוצדורה זו בחיות אינה מורידה את הלחץ בדרכי המרה ואינה מקטינה את הדלף ועלולה לגרום נזק לכולדוכוס, במיוחד לחולים בעלי כולדוכוס עדין.
סיבוכים בתר-ניתוחיים
זיהומים - שכיחות הזיהומים בחולים לאחר חבלה בכבד גבוהה מאוד. אלה יכולים להיות זיהומים בתוך הכבד (Intrahepatic), מעל הכבד - תת סרעפתיים (Subphrenic), מתחת לכבד (Subhepatic), דלקת הצפק וזיהומים בפצעים. הקפדה על שטיפה טובה של חלל הצפק טרם סגירתו ושימוש באנטיביוטיקה מונעת (פרופילקטית) מקטינים את שיעור הסיבוכים הללו.
סיבוכים במערכת הנשימה - שכיחים אף הם בחולים בעלי חבלה נרחבת, אשר זקוקים לעתים להנשמה ממושכת, עקב הופעת תסמונת המצוקה הנשימתית של המבוגר (ARDS).
דימומים - דימומים משניים מאוחרים, עקב נמקים (נקרוזות) בכבד, הם סיבה שכיחה לתמותה מאוחרת של החולים ולירידה בתפקוד הכבד.
אי-ספיקת כליות - אי-ספיקה כלייתית עקב טובולר נקרוזיס, שכיחה בעקבות ירידה בזילוח (פרפוזיה) הכלייתי בזמן החבלה והדימום. הטיפול במקרים אלה הוא שמרני.
פגיעות במערכת העיכול - חולים בעלי חבלות בכבד נוטים לפתח כיבי דחק (Stress ulcers) ודימום ממערכת העיכול. על מנת למנוע מאורעות אלה יש לתת לחולים תרופות מקבוצת הOmeprazole המורידות את הפרשת החומצה בקיבה על ידי עיכוב משאבת המימן.
אי-ספיקת כבד - אי-ספיקת כבד לאחר חבלה היא נדירה ומופיעה כסיבוך של מחלות זיהומיות אחרות. המוביליה חבלתית - בחבלה חודרת עמוקה של הכבד, כאשר לא קושרים את כלי הדם והמרה, נוצר במשך הזמן קשר בין כלי הדם והמרה וכלי המרה מתחילים להתמלא בדם ובקרישים. התמונה הקלינית אינה מופיעה מיד אלא 3-4 שבועות לאחר החבלה ומתבטאת בכאבים עוויתיים, בצהבת קלה ובצואה שחורה (מלנה) או בהקאת דם (המטמזיס). במעבדה ניתן למצוא עלייה ברמת הבילירובין, עלייה ברמת הפוספטאזה הבסיסית ועלייה בריכוז האספרטאט טרנסאמינאזה. האבחנה נקבעת בעיקר על-ידי ארטריוגרפיה דרך עורק הכבד, אולם גם בדיקות כמו כולאנגיוגרפיה או ספלנופורטוגרפיה יכולות לעזור. הטיפול כרוך בכריתה מחדש של האזור שנפגע וקשירה קפדנית של כלי הדם והמרה. ביצוע של כולאנגיוגרפיה וארטריוגרפיה תוך-ניתוחית עוזרים בקביעת מיקום הפגיעה. פרטים אודות הטיפול ראה בסעיף על המוביליה.
טיפול
טיפול באנטיביוטיקה מונעת, הנשמה בלחץ חיובי, טיפול בתרופות מקבוצת הOmeprazole המורידות את הפרשת החומצה בקיבה על ידי עיכוב משאבת המימן. והזנת-על או תמיסות בעלות ריכוז סוכר גבוה, וניטור קפדני, יקטינו את שכיחות הסיבוכים הללו.
פרוגנוזה
שיעור התמותה כתוצאה מחבלה בכבד ירד משמעותית בשנים האחרונות ועומד על 10%. שיעור התמותה של חולים שנפגעו מדקירות סכין פחת ל- 2-3%. לעומת זאת שיעור התמותה עקב חבלות מחיצה חמורות של הכבד נשאר גבוה - 30%.
ראו גם
- לנושא הקודם: השתלות כבד - Liver transplantation
- לנושא הבא: כיסית אכינוקוקית - היבטים כירורגיים - Echinococcus cyst - surgical aspects
- לתוכן העניינים של הפרק
- לתוכן העניינים של הספר
- לפרק הקודם: כירורגיה של הלבלב
- לפרק הבא: כירורגיה של הטחול
המידע שבדף זה נכתב על ידי ד"ר צבי קויפמן, מומחה בכירורגיה, מנהל היחידה לבריאות השד, מרכז רפואי מאיר, כפר סבא

כניסה
עקבו אחרינו בפייסבוק