כיסית מדומה של הלבלב - Pancreatic pseudocyst
הופניתם מהדף כיסית מדומה בלבלב לדף הנוכחי.
עקרונות בכירורגיה
מאת ד"ר צבי קויפמן
| עקרונות בכירורגיה | ||
|---|---|---|
| שם המחבר | ד"ר צבי קויפמן | |
| שם הפרק | כירורגיה של הלבלב | |
ראו גם – כיסית של הלבלב - Pancreatic cyst
ב-4%-3% מהחולים בדלקת לבלב חדה תתפתח כיסית מדומה (פסואודוציסטה - Pseudocyst) של הלבלב. הכיסית המדומה נוצרת בעקבות נמק רקמת הלבלב והצטברות נוזל המוגבל על-ידי הרקמות שבסביבה.
תסמינים קליניים
התמונה הקלינית כוללת כאבי בטן, תפיחות הבטן, הקאות ובחילות, גוש בבטן.
אבחנה
- על-שמע (אולטרה-סאונד) - בדיקת הבחירה, שבה יודגם גוש ציסטי בלבלב.
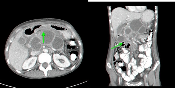
- טומוגרפיה ממוחשבת – נראה באיזור הלבלב גוש או גושים בד"כ בעלי גבולות ברורים המכילים בתוכם נוזל (תצלום 4.9).
- צילום בטן סקירה - מראה דחיקה של הקיבה קדימה.
טיפול
בדרך כלל אין לטפל בחולים אלה טיפול כירורגי, לפחות לתקופה של 6 שבועות מעת חלוף התסמינים של דלקת הלבלב. טיפול דחוף נדרש בחולים שנמצאו בהם קרע של הכיסית, חסימת המעי או הופעת מורסה. בחולים אלה יש לבצע ניקוז חיצוני של הכיסית המדומה, ואין לבצע ניקוז פנימי. בחולים בהם הכיסית גרמה לסיבוכים שיעור התמותה הוא 70%-60% (על הטיפול הכירורגי ראו כיסיות הלבלב).
סיבוכי הכיסית המדומה הם: חסימת התריסריון, שעלולה להופיע עקב בצקת באזור, עקב מורסה או עקב הכיסית עצמה, נצורים פנימיים למעי, לקיבה, לכרכשת או לדרכי המרה, דימומים ממערכת העיכול העליונה, המלווים בשיעור תמותה גבוה ביותר.
ראו גם
- לנושא הקודם: דלקת לבלב חדה - היבטים כירורגיים - Acute pancreatitis - surgical aspects
- לנושא הבא: מורסה בלבלב - Pancreatic abscess
- לתוכן העניינים של הפרק
- לתוכן העניינים של הספר
- לפרק הקודם: כירורגיה של כיס המרה ודרכי המרה
- לפרק הבא: כירורגיה של הכבד
המידע שבדף זה נכתב על ידי ד"ר צבי קויפמן, מומחה בכירורגיה, מנהל היחידה לבריאות השד, מרכז רפואי מאיר, כפר סבא

כניסה
עקבו אחרינו בפייסבוק