מחלת סעיף ודלקת סעיף של הכרכשת - Diverticulosis and diverticulitis
הופניתם מהדף פיסטולה במעי הגס לדף הנוכחי.
עקרונות בכירורגיה
מאת ד"ר צבי קויפמן
| עקרונות בכירורגיה | ||
|---|---|---|
| שם המחבר | ד"ר צבי קויפמן | |
| שם הפרק | כירורגיה של הכרכשת | |
לערכים נוספים הקשורים לנושא זה, ראו את דף הפירושים – דלקת
המחלה הסעיפית של הכרכשת - Diverticulosis
המחלה הסעיפית של הכרכשת (Diverticulosis) היא לרוב מחלה נרכשת, ורק במיעוט החולים היא מולדת. מחלה זו היא של הגיל המבוגר. בעשור הרביעי לחיים שכיחותה בכרכשת השמאלית היא כמעט אפסית, ואילו בעשור השמיני שכיחותה עולה ל-60%. המחלה היא לרוב אי-תסמינית, ואולם הופעת דלקות בסעיפים הללו (Diverticulitis) גורמת לתסמינים קליניים מרובים ולעתים קשים.
מיקום הסעיפים ושכיחותם:
- 50% במעי הסיגמואידי בלבד
- 80% בכרכשת היורדת ובמעי הסיגמואידי
- 95% במעי הסיגמואידי ובמקומות אחרים בכרכשת
- 2% במעי העיוור (צקום) בלבד
- 10% בכרכשת הרוחבית
- 4% בחלחולת ובכרכשת העולה
הסעיפים הנרכשים מופיעים באזור המעבר של כלי הדם, בעוברם דרך השכבה השרירית. עליית הלחץ בתוך נהור הכרכשת גורמת לדחיפת רירית המעי, באזור החדירה של כלי הדם, לתוך דופן המעי ומעבר לדופן. לפי חוק לפלס, במקום שבו קוטר הכרכשת הוא הקטן ביותר, הלחץ בנהור הוא הגדול ביותר, ולכן בסיגמה ובחלחולת ניתן למצוא את מרבית הסעיפים הנרכשים.
בכרכשת הימנית השכיחות של הופעת סעיפים קטנה מאוד, בייחוד באוכלוסיות מערביות. באוכלוסיות אפריקניות שכיחות הסעיפים בכרכשת הימנית גבוהה הרבה יותר (עד 50% מכלל הסעיפים בכרכשת). סעיפים אלה בדרך כלל אמיתיים (כוללים את כל שכבות הדופן), יחידים ומופיעים בגיל צעיר יחסית לאלה של הכרכשת השמאלית.
המפנה העיקרי בהבנת האטיולוגיה והפרוגנוזה בכל הקשור במחלה הסעיפית של הכרכשת בא בעקבות עבודותיהם של Painter- Burkitt, שהראו כי המחלה בכרכשת השמאלית היא נרכשת, והתפתחה רק בעשרות השנים האחרונות, בעקבות שינוי בהרגלי התזונה של האוכלוסייה המערבית. בעקבותיו השתנו הרגלי פעולת המעי, היציאות נעשו קשות יותר, שכיחותן פחתה וכמותן קטנה. חוקרים אלה הראו שבאוכלוסיות הניזונות במזון עשיר בתאית, והמכיל סובין או מוץ של דגנים, פעולת המעי שכיחה יותר, מוצקה פחות ובכמות רבה יותר מאשר באוכלוסייה המתורבתת, הניזונה מאוכל דל-שארית (דל בסיבים).
צואה רכה בעלת נפח ניכר מועברת בדחיפה על-ידי ניע המעי בצורה המשכית. כשתוכן המעי מתקשה, מופיעות התכווצויות מקטעיות-טבעתיות, הגורמות להיווצרות לחץ מוגבר בקטעי המעי בין שני אזורי התכווצות. לחצים מוגברים אלה גורמים במשך הזמן להחלשת דופן הכרכשת ולהיווצרות בקעים קטנים של הרירית לתוך שכבת השרירים. כשבקעים אלה גדלים, הם מתבלטים בצד הנסיובי של המעי בצורת סעיפים, וכך עקב עצירות כרונית מתפתחים סעיפים. כאבי הבטן העוויתיים אינם נגרמים על-ידי הסעיפים עצמם, אלא עקב אותן התכווצויות מעי, בניסיונו להתגבר על היצרויות תפקודיות הנוצרות בגלל העווית המקטעית.
אם הסעיף הוא דלקתי, עקב חסימת הנהור, נוצרת בצקת סביב מוצאו, הגורמת לחסימה של הסעיפים הקרובים לסעיף המקורי, וכך מתפשטת המחלה על פני המקטע.
תסמינים קליניים
רוב החולים הלוקים בסעיפים בכרכשת הם אי-תסמיניים. התסמינים הקליניים האופייניים הם:
- כאבי בטן - אלה ממוקמים בבטן השמאלית התחתונה. העוויתות חולפות לאחר כמה שעות או ימים. כאבים ממושכים נובעים מדלקת הצפק
- עצירות או שלשולים
- דימומים חלחולתיים - יכולים להיות כרוניים ולהתבטא באנמיה, או חריפים. 10%-6% מהחולים המנותחים בדחיפות עקב סעיפים של הכרכשת מנותחים בגלל דימומים חריפים
- חום, בחילות והקאות - בלוקים בדלקת הסעיף (Diverticulitis)
בבדיקת הבטן בחולים הלוקים במחלה סעיפית של המעי הגס אין ממצאים מיוחדים. בבדיקת הבטן בחולים הלוקים בסיבוכי המחלה ניתן למצוא רגישות ממוקמת ועדות לגירוי צפקי. במקצת החולים אפשר למשש גוש בבטן במיקום המתאים לסעיף הדלקתי (בטן שמאלית תחתונה בסעיפי המעי הסיגמואידי, בטן ימנית תחתונה בסעיפי המעי העיוור (צקום) וכו').
אבחנה
- חוקן בריום: בחולים בלא סיבוכים אפשר לראות סעיפים הבולטים מדופן הכרכשת. לאחר ההתרוקנות נשאר הבריום בסעיפים, והם בולטים בצילום הבטן (תצלום 11.6). בחולים הלוקים בדלקת, בחוקן בריום אפשר לראות עווית, בצקת של הדופן והדגמה של הסעיפים באזורים סמוכים. לפעמים קשה להבדיל מצב זה משאת של הכרכשת (תצלום 12.6). במחלה סעיפית אפשר לראות נגיעות של מקטע, עווית שלו וסעיפים במקומות אחרים.
- סיגמואידוסקופיה (תצפית המעי הסיגמואידי): מראה את פתחי הסעיפים או היצרויות של הכרכשת.
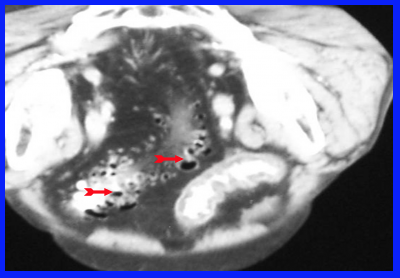
- טומוגרפיה ממוחשבת (CT) - מראה את הסעיפים עם בועות האוויר שבתוכם (תצלום 13.6) . בדלקת הסעיפים אפשר לראות כרכשת מעובה, ומורסות במקרה של התנקבות המוגבלת על-ידי האיברים שבסביבה. בחולים שהודגמו בהם מורסות, ניתן להחדיר מחט המונחית על-ידי טומוגרפיה ממוחשבת למורסה ולנקזה, ולאחר מכן להשאיר נקז להמשך הניקוז.
- על-שמע (אולטרה-סאונד): בדלקת הסעיפים מאפשר האולטרה-סאונד לראות את המעי הגס המעובה ואת המורסה, אם יש.
- ארטריוגרפיה (צילום כלי דם): אבחנתית במקרים של דימומים חריפים או כרוניים.
טיפול
בחולים תסמיניים או בחולים הלוקים בסיבוכי המחלה הסעיפית של הכרכשת הטיפול הוא שמרני:
- תרופתי - נוגדי עוויתות (Antispasmodics) ואנטיביוטיקה.
- תזונתי - מומלצת דיאטה רבת-שארית (עשירה בסיבים) עם קולואידים סופחי מים (הידרופיליים).
- תוך-ורידי - בחולים שאובחנו בהם סימנים צפקיים יש להפסיק את התזונה הפומית, להחדיר זונדה ולספק נוזלים ואנטיביוטיקה דרך הווריד.
התגובה לטיפול זה היא בדרך כלל חיובית. חולים המחלימים מהתקף ראשון צריכים להמשיך לקבל תרופות נוגדות התכווצות שרירים (אנטיספזמוטיות) במשך שבועות או אף חודשים, וכן תרופות אנטיביוטיות שאינן נספגות. רוב החולים מגיבים לטיפול שמרני ואינם זקוקים לניתוח, ואולם עליהם להמשיך בדיאטה רבת-שארית לכל אורך חייהם.
טיפול ניתוחי
כריתת הכרכשת הנגועה היא טיפול הבחירה ברוב החולים התסמיניים שאינם מגיבים לטיפול שמרני. סוג הכריתה תלוי במיקום הסעיפים. בעיקרון יש להוציא את כל הקטע המכיל סעיפים. ברוב החולים ניתן להסתפק בכריתת המעי הסיגמואידי שבו מצויים הסעיפים. לעיתים יש להרחיב את הכריתה למחצית הכרכשת השמאלית. לגבי הכרכשת הימנית ראה בפרק זה "סעיפי הכרכשת הימנית".
ההוריות לניתוח מתוכנן (אלקטיבי) הן: חולים עם התקפים חוזרים של דלקת הסעיף. ככל שגיל החולה צעיר יותר, כך מספר ההתקפים המהווה הוריה יחסית לניתוח קטן יותר. בחולים הצעירים מגיל 40 התקף שני מהווה הוריה. חולים עם דימומים חוזרים או אנמיה כרונית על רקע דימום איטי וקבוע מסעיפי הכרכשת. חולים המפתחים היצרות של הכרכשת על רקע של מחלה סעיפית.
ב-1966 הכניס Reilly לשימוש את שיטת כריתת השריר (מיוטומיה) האורכית בכרכשת, כדי להרחיב את המעי ולהרפות את הלחץ התוך-נהורי. בשיטה זו חותכים את השרירים לאורך הכרכשת במקטע הנגוע, בלי לפתוח את הרירית. ואולם מדובר בניתוח קשה מבחינה טכנית, וגדולה בו סכנת הסיבוכים עקב פגיעה לא-מכוונת ברירית. לפיכך, פעולה זו תתבצע רק בידיים מיומנות, ורק במקרים מתוכננים (אלקטיביים) בלא דלקת המעי. באחרונה הוחל בשימוש בשיטה דומה, אך קלה יותר לביצוע, והיא מיוטומיה רוחבית (Transverse taeniomyotomy). גם ניתוח זה מרפה את הלחץ בתוך הנהור ומונע התכווצויות טבעתיות, כמו הניתוח הקודם, אך סכנת ההתנקבות בו קטנה יותר.
סיבוכי מחלת הסעיפים של הכרכשת
- דלקת הסעיף (Diverticulitis)
- התנקבויות - 30%
- נצור - 15%
- חסימה - 10%
- דימומים - 10%
דלקת הסעיף - Diverticulitis
דלקת הסעיף (דיברטיקוליטיס - Diverticulitis) היא הסיבוך השכיח ביותר של מחלת הסעיף (דיברטיקולוזיס - Diverticulosis). שכיחותה ומספר הסעיפים עולים עם הגיל. הדלקת בסעיף נגרמת עקב חסימה של מוצא הסעיף על-ידי פקק צואה (Fecalith). הסעיף מפריש ריר ומתנפח. החיידקים מהכרכשת נודדים לתוך הסעיף החסום, מתרבים בו במהירות וגורמים להתפתחות דלקת. הדלקת בבסיס הסעיף גורמת לבצקת של הכרכשת באזור, זו גורמת לחסימה של פתחי סעיפים סמוכים, וכך מתפשטת הדלקת על פני מקטע שלם. הדלקת מהסעיף מתפשטת גם לשומן שמסביב לכרכשת ולאיברים סמוכים, לכן בתהליך הדלקתי אופיינית מעורבות של המעי הדק, השלפוחית ועוד.
תסמינים קליניים
תלונות החולים הן: כאבי בטן מתמידים בבטן השמאלית התחתונה, חום, עצירות, חוסר תיאבון ומתן שתן בתדירות גבוהה. בבדיקה ניתן למצוא רגישות ותנגודת בבטן התחתונה וגוש רגיש.
אבחנה
האבחנה היא בעיקרה קלינית.
ברקטוסקופיה (תצפית חלחולת) ייראו בצקת הרירית ואודם. במעבדה ניתן למצוא לויקוציטוזיס (ריבוי תאי דם לבנים) בולטת המאופיינת בסטייה שמאלה.
בחוקן בריום אפשר לראות היצרות של המקטע הנגוע, בצקת ואיבוד הצורה השקית (Saccular) של המעי.
בטומוגרפיה ממוחשבת אפשר לראות מקטע מוצר מעובה ורירית סמיכה, בצקת של שומן המזו.
טיפול
טיפול שמרני
הטיפול בחולים אלה הוא שמרני מעיקרו, וכולל מתן נוזלים דרך הווריד, זונדה, נוגדי כאבים (Analgesics) ואנטיביוטיקה רחבת טווח. במרבית החולים הללו אפשר לראות תגובה לטיפול בתוך 48 שעות. אם החולה אינו מגיב לטיפול - יש לנתחו.
70% מהחולים שהחלימו מאירוע של דלקת הסעיף לא יסבלו עוד מאירועים דומים. 50% מאלה שלקו בשני אירועים של דלקת הסעיף ילקו באירוע נוסף. לכן בעבור חולים שפקדו אותם כמה אירועים שטופלו שמרנית יש לתכנן ניתוח של כריתת קטע המעי הנגוע כעבור 6-4 שבועות.
טיפול כירורגי
15% מהלוקים בדלקת הסעיף זקוקים לטיפול כירורגי. 50% מאלה, מנותחים בגלל חוסר תגובה לטיפול השמרני. שאר החולים מנותחים עקב סיבוכי המחלה:
כריתת הכרכשת הנגועה היא הטיפול המרפא בחולים שאינם מגיבים לטיפול שמרני, ובהכנה מתאימה הסיכון בניתוח הוא מינימלי. מקובל לבצע את הניתוח בשלב אחד (כריתת המקטע ופיום קצות המעי). בדרך כלל, שכיחות הסיבוכים הקשורים בהשקה רבה יותר עקב בצקת המעי.
סיבוכי דלקת סעיפי הכרכשת ודלקת הצפק
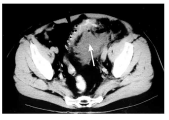
הטיפול בסיבוכי דלקת הסעיפים מסובך יותר. הסיבוכים השכיחים ביותר הם: דלקת הצפק ומורסות, הנובעות מדלקת בסעיף ומהתנקבותו. התנקבות הסעיף יכולה להיות חופשית, והיא יוצרת זיהום מפושט של חלל הצפק. אם התהליך מוגבל על-ידי הפדר (אומנטום) והאיברים הסמוכים, מתפתחת מורסה מקומית (תצלומים 13.6 ו-15.6). הופעת המורסה מלווה בדרך כלל בסימני אלח (Sepsis).
החולים מתלוננים על כאבי בטן עזים וקבועים בכל הבטן, מלווים לעתים בחום. בצילום בטן סקירה ובצילום החזה בעמידה אפשר לראות אוויר חופשי מתחת לסרעפות או אוויר בחלל האחור-צפקי. אי-מציאת אוויר חופשי אינה שוללת את האבחנה. במעבדה ניתן למצוא לויקוציטוזיס בולטת וחמצת מטבולית. בחולים הלוקים בדלקת צפק מפושטת חייבים לבצע פתיחת בטן, בדרך כלל בחתך אמצעי כדי לטפל מחד גיסא בנוזל המזוהם שנשפך לחלל הבטן ומאידך גיסא במקור הדלף.
טיפול
בחולים אלה יש אפשרות לבצע כמה סוגי ניתוחים:
- כריתת הקטע הנגוע וביצוע פיום מעי גס מסוג Divided colostomy, או ניתוח על-שם הרטמן ו-End colostomy. הקטע הרחיקני נסגר ונשאר בבטן.
- ניתוח שמרני יותר של ניקוז המורסה בעזרת נקז ו-Divided colostomy.
השקה ראשונית במצב זה מסוכנת, עקב הבצקת והדלקת של המעי, ולכן אינה מומלצת. בספרות, מרובים כיום הדיווחים הממליצים על הגישה הראשונה, מכיוון שהיא חוסכת שלב בניתוח ומקנה תוצאות טובות. בכל חולה יש להשאיר נקזים בחלל הצפק.
דלקת סעיפי הכרכשת ומורסות
אם סעיף מתנקב בעת תהליך דלקתי של הדיברטיקוליטיס, ואיברים סמוכים מגבילים את התהליך, הנוזל מנורתק באזור הסעיף, ולכן נוצרת מורסה. גודל המורסה שונה מחולה לחולה. החולים מספרים על כאבים בבטן שמאלית תחתונה, על חום ועל עצירות. בבדיקה ניתן למצוא מלאות או גוש בבטן שמאלית תחתונה ורגישות גבוהה מאוד. מורסה באגן אפשר למשש בבדיקה חלחולתית. במעבדה ניתן למצוא לויקוציטוזיס בולטת.
האבחנה היא בטומוגרפיה ממוחשבת או באולטרה-סאונד שבהם אפשר להדגים את המורסה ולראות את המעי המעובה, חסר המבנה השקי (סקולרי) (תצלומים 14.6ו- 15.6).
טיפול
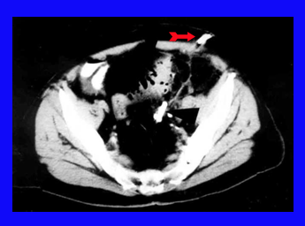
בחולים שהתפתחו בהם מורסות עקב התנקבות הסעיף הדרך המומלצת לניקוז היא בגישה מל-עורית (Percutaneous) בהנחיית טומוגרפיה ממוחשבת או אולטרה-סאונד. לאחר הניקוז יש להשאיר נקז במקום (תצלום 16.6). מורסות אגניות אפשר לנקז בגישה חלחולתית. בחולים שבהם הניקוז המל-עורי נכשל, צריך לנקז את המורסה בניתוח.
בחולים שנותחו עקב כישלון הטיפול השמרני יותר, או עקב אבחנה אחרת, יש לכרות את אזור ההתנקבות, לסגור את הגדם התחתון ולהוציא את הגדם העליון כקולוסטומיה על-שם Hartmann. חולים תסמיניים שנוקזו מל-עורית בהצלחה, והם סובלים מהישנות האירועים של דלקות או כאבי בטן יש לנתח באופן אלקטיבי, לכרות את הכרכשת המעובה ולבצע פיום ראשוני בין חלקי הכרכשת הבריאים.
דלקת הסעיף ונצורים של הכרכשת
הסיבוך השני בשכיחותו הוא הנצורים, הנוצרים על רקע של דלקת הסעיפים, הנדבקים אל איברים סמוכים ומתנקבים לתוכם. נצורים אלה עלולים לחדור לעור, לכיס השתן (Colovesical fistula), לנרתיק (Colovaginal fistula) או למעי הדק. חולים אלה מספרים על הפרשת צואה וגז בשתן (פקלאוריה (Fecaluria) ופנאומטוריה (Pneumaturia)) או דרך הנרתיק. כדי לברר את מיקום הנצורים יש לבצע חוקן בריום, ציסטוגרפיה (צילום כיס השתן) או פיסטולוגרפיה (צילום הנצור). לעתים, כשהנצור צר מאוד, אפשר להדגימו רק על-ידי פיסטולוגרפיה.
בחוקן בריום אפשר להדגים פחות מ-50% מהנצורים. בצילום כליה (Pyelography) ניתן לראות עוד פחות מהנצורים, וציסטוסקופיה מראה אודם ובצקת של הרירית באזור הנצור. קולונוסקופיה (תצפית מעי גס) חשובה בחולים הללו, מכיוון שהנצורים עלולים להיגרם גם על-ידי שאת ממארת של הכרכשת, אותה יש לשלול. טומוגרפיה ממוחשבת היא בדיקה טובה להדגים נצורים בין הכרכשת לבין איברים אחרים.
טיפול
הטיפול הראשוני בחולים שאובחנו בהם נצורים הוא טיפול באלח הנוצר או מניעתו על-ידי ניקוז המורסות. בחולים עם נצור לדרכי השתן הטיפול הוא צנרור השלפוחית כדי לאפשר ניקוז ראוי ומתמיד של השתן. בשלב החד כל החולים צריכים לקבל טיפול אנטיביוטי למשך שבועות. יש הממליצים על מתן הזנת-על, על מנוחה למעי ועל אנטיביוטיקה כדי לזרז את תהליך ההחלמה.
החולים שאובחנו בהם נצורים מהווים בעיה כירורגית קשה ואתגר למנתח. בכריתות פשוטות של הנצורים שכיחות ההישנות גבוהה, ולכן יש לבצע ניתוחים מסובכים יותר, כגון הכנסה של לולאת מעי דק בין הכרכשת לשלפוחית או לנרתיק, לאחר סגירת הנצור.
בחולים שבהם תהליך דלקתי קשה סביב אזור הנצור אין לבצע השקה ראשונית, והניתוח על-שם Hartmann הוא המועדף, ובכלל זה כריתת הנצור וסגירת הנקב באיבר שאליו חדר הנצור.
בחולים שבהם תהליך דלקתי חמור סביב אזור הנצור ואנטומיה שאינה ברורה אפשר לבצע קולוסטומיה להטיית הצואה ולהשלים את הניתוח במועד אחר.
ניתוח אחר שניתן לבצעו כשהנצור נמוך הוא Pull-through surgery (ניתוח פילוס), שבו נכרת הנצור, הרירית מהכרכשת הרחיקנית מקולפת, הכרכשת הקריבנית מוחדרת לכרכשת שבה קולפה הרירית, ורירית הכרכשת הקריבנית נתפרת לזו הרחיקנית, לאחר ששני הקטעים הוצאו דרך פי הטבעת.
שיטה אחרת היא ליצור לולאה של המעי הגס. החיבור בין שני קצות הלולאה הוא באזור הנצור. הגדם הקריבני של הכרכשת מתחבר לשיא הלולאה.
בספרות תוארו שיטות רבות לטיפול בנצורים הללו. ריבוי השיטות מעיד על הקושי הטכני שבתיקון זה.
דלקת הסעיף וחסימות הכרכשת
חסימות הן הסיבה ל-10% מניתוחי הסעיפים. במקצת הלוקים בדלקת חדה של הסעיף ניתן למצוא חסימה חדה של הכרכשת, החולפת בטיפול שמרני. במקצת החולים התהליך הלייפתי (פיברוטי), הנוצר לאחר תהליכים דלקתיים חוזרים, גורם להיצרות ולחסימה קבועה של הכרכשת. בחולים הסובלים מחסימה יש לבצע ניתוח דחוף, הכולל קולוסטומיה להורדת הלחץ (דקומפרסיה), ולעתים אף כריתת המקטע הנגוע. במועד אחר יש להשלים את הניתוח על-ידי כריתת המקטע, או בסגירת הקולוסטומיה בחולים שבהם המקטע נכרת בשלב הראשון. התמותה בעקבות מחלה זו עדיין גבוהה.
סעיפי הכרכשת ודימומים
הדימומים מתבטאים לעתים במתן צואה שחורה (שחרה - Melena) או בדם אדום כהה. במקצת החולים אפשר לאתר בעזרת רקטוסקופיה את מקור הדימום. אם הדימום רב, יש לבצע אנגיוגרפיה ברירנית, להדגמת מקור הדימום. אם מזהים באנגיוגרפיה את מקור הדימום, אפשר להזריק דרך צנתר האנגיוגרפיה חומרים, כגון Gelfoam, קרישי דם של החולה, Histoacryl, או סלילים הגורמים לשפעול מערכת הקרישה בכלי הדם המדמם, ולחסימתו על-ידי קריש דם. בדרך זו אפשר להפסיק את הדימום. חולים אלה, שבטיפול שמרני מפסיקים לדמם, ינותחו לכריתת מעי גס אלקטיבית. בקבוצה שאינה מפסיקה לדמם יש לבצע ניתוח דחוף.
אם מקור הדימום ידוע, יש לכרות בניתוח את הקטע הנגוע. אם אין מצליחים לאתר את המקור, יש לבצע כריתה תת-שלמה של הכרכשת ואילאופרוקטוסטומיה (Ileoproctostomy) או כריתה מורחבת של הכרכשת השמאלית (Extended left hemicolectomy).
ראו גם
- לנושא הקודם התפשלות הכרכשת - Intussusception
- לנושא הבא: נצור חלחולת-נרתיק - Rectovaginal fistula
- לתוכן העניינים של הפרק
- לתוכן העניינים של הספר
- לפרק הקודם: כירורגיה של התוספתן
- לפרק הבא: כירורגיה של התעלה האנלית
המידע שבדף זה נכתב על ידי ד"ר צבי קויפמן, מומחה בכירורגיה, מנהל היחידה לבריאות השד, מרכז רפואי מאיר, כפר סבא

כניסה
עקבו אחרינו בפייסבוק 




