קולטנים לאסטרוגן ולפרוגסטרון בסרטן השד - Estrogen and progesterone receptors in breast cancer
עקרונות בכירורגיה
מאת ד"ר צבי קויפמן
| עקרונות בכירורגיה | ||
|---|---|---|
| שם המחבר | ד"ר צבי קויפמן | |
| שם הפרק | כירורגיה של השד | |
קביעת רמת הקולטנים לאסטרוגנים ולפרוגסטרון נתקבלה בשנים האחרונות כהליך שגרתי בעל חשיבות פרוגנוסטית וטיפולית בסרטן השד.
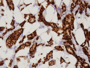
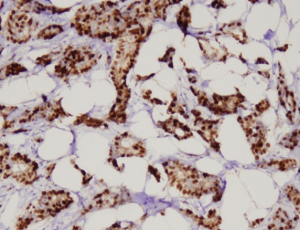
בסוף שנות ה-60 מצאו Jensen וחבריו כי שאתות של נשים, שהגיבו לטיפולים הורמונליים, מכילות קולטנים לאסטרוגנים בציטופלסמה. מאידך, בשאתות של נשים שלא הגיבו לטיפולים הורמונליים לא נמצאו קולטנים כאלה. רק באמצע שנות ה-70 נמצאו קולטנים לפרוגסטרון בתאי סרטן השד ונמצא קשר בין מציאותם לתגובה הקלינית להורמונים. את קיום הקולטנים ניתן לאבחן ע"י צביעות אימונו-היסטוכימיות מיוחדת לאותם קולטנים (תמונה 66.12).
ההורמונים הסטרואידיים נודדים בזרם הדם ופועלים רק על תאי מטרה, שהם בעלי קולטנים המסוגלים לזהות ולקשור את ההורמון הסגולי. קולטנים אלה נמצאים בריכוזים שונים בתאי המטרה בלבד.
ההורמונים עוברים על-ידי פיעפוע (דיפוזיה) את קרום התא. בקרום התא הסרטני נמצאים קולטנים לסטרואידים עם זיקה גבוהה וכושר קשירה רב. קולטנים אלה פועלים בתיאום עם קולטנים בציטוזול. הקולטן (שהוא חלבון) עובר פירוק חלקי והמכלול קולטן-אסטרוגן חודר לגרעין. המכלול הורמון-קולטן משפעל גנים סגוליים על הכרומוזומים הנקראים אתרים מפעילים (Effector sites). נוצר רנ"א שליח (Messenger RNA, mRNA) היוצר חלבונים סגוליים. אחד התוצרים של חשיפת תאי סרטן בעלי קולטנים חיוביים לאסטרוגן (+ER) לאסטרוגן הוא יצירת חלבון שהוא קולטן לפרוגסטרון.
כמחצית מהנשים בעלות קולטנים חיוביים לאסטרוגן יגיבו לטיפולים הורמונליים, בהשוואה ל-9% מהנשים בעלות קולטנים שליליים לאסטרוגן (-ER). ההסבר לכך הוא, כי אוכלוסיית תאי השאת היא הטרוגנית ומכילה תאים בעלי קולטנים חיוביים לאסטרוגן וקולטנים שליליים לאסטרוגן. סיבות נוספות לחוסר תגובה של חולות בעלות קולטנים חיוביים לאסטרוגן לטיפולים הורמונליים הן קיום פגמים במנגנון הקשירה מעבר לשלב הראשוני של חדירת ההורמון. קיימים וריאנטים של תאים המסוגלים לקשור הורמונים אסטרוגניים בציטופלסמה, אולם המכלול קולטן-הורמון אינו עובר לגרעין. עלולים להיות פגמים ברמה תוך-גרעינית, כגון הפרעה בשעתוק (Transcription) או בהתקה (Translocation). ייצור של קולטני פרוגסטרון כתגובה לגירוי של אסטרוגנים הוא ביטוי כוללני ליעילות המערכת, החל בקשירת אסטרוגנים וכלה בייצור החלבונים הסגוליים (כולל קולטני פרוגסטרון). 70%-50% משאתות השד מכילות קולטני אסטרוגן. בעשור האחרון נמצאה התאמה בין גיל החולה לבין מצב קולטני אסטרוגן. Clark וחבריו בדקו ב-2,977 חולות, הלוקות בסרטן השד, את מצב קולטני אסטרוגן וקולטני פרוגסטרון. הם מצאו מתאם חיובי בין גיל החולה ובין קולטנים חיוביים לאסטרוגן.
נשים מבוגרות נוטות להיות בעלות קולטנים חיוביים לאסטרוגן יותר מנשים צעירות. באשר לקולטני פרוגסטרון, לא נמצא קשר לגיל או לבלות. אמנם כאשר הושווה מצב קולטני פרוגסטרון בנשים בנות אותו גיל לפני או אחרי הבלות נמצא, כי בנשים לפני הבלות רמת קולטני פרוגסטרון גבוהה יותר. 70% מהנשים בגיל הבלות הן בעלות קולטנים חיוביים לאסטרוגן, לעומת 55% מנשים לפני הבלות. הרמה הנמוכה של קולטני אסטרוגן בנשים לפני הבלות נובעת כנראה מתפיסת הקולטנים על-ידי האסטרוגנים האנדוגניים, אולם ממצאים בתקופה האחרונה אינם מייחסים זאת לרוויה (Presaturation) אלא לפירוק (Processing). נמצא קשר הפוך בין קיום קולטנים חיוביים לאסטרוגן בשאת לבין משקל החולה.
בסיכום סדרות אחדות נמצא קשר בין דרגת ההתמיינות של השאת למצב הקולטנים. שאתות בשלות מכילות קולטנים חיוביים לאסטרוגן בתדירות גבוהה יותר מאשר קולטנים שליליים לאסטרוגן. לא נמצא קשר ברור בין מצב קולטני אסטרוגן לבין מספר הבלוטות הנגועות, גודל השאת ומיקומה והסוג המיקרוסקופי. כאשר נמדדים ערכים גבוהים של קולטני אסטרוגן בציטופלסמה וגם בגרעין, הסיכוי לתגובה גבוה יותר מאשר כאשר קיימים קולטני אסטרוגן רק בציטופלסמה.
מצב הקולטנים עשוי להיות שונה בין שתי שאתות שונות באותו שד. טיפול אנדוקריני עשוי להוריד את רמת הקולטנים מאחר שקיימת פגיעה שונה באוכלוסיות של קולטנים חיוביים לאסטרוגן וקולטנים שליליים לאסטרוגן. אוכלוסיית קולטנים חיוביים לאסטרוגן תקטן ואוכלוסיית קולטנים שליליים לאסטרוגן תגדל ובסופו של דבר תישאר אוכלוסיית תאי שאת בלתי רגישה להורמונים. לנוכחות קולטנים לפרוגסטרון חשיבות קלינית גדולה. שאתות בעלות קולטנים חיוביים לאסטרוגן או קולטנים חיוביים לפרוגסטרון מגיבות לטיפול הורמונלי ב-75% מהמקרים; שאתות בעלות קולטנים חיוביים לאסטרוגן וקולטנים שליליים לפרוגסטרון, או קולטנים שליליים לאסטרוגן וקולטנים חיוביים לפרוגסטרון מגיבות לטיפול הורמונלי ב-33% מהמקרים; ושאתות בעלות קולטנים שליליים לאסטרוגן וקולטנים שליליים לפרוגסטרון מגיבות לטיפול הורמונלי ב-9% מהמקרים בלבד.
ריכוז קולטנים חיוביים לאסטרוגן בבלוטות לימפה עשוי להיות גבוה יותר מאשר בשאת הראשונית. שאתות בעלות קולטנים חיוביים לאסטרוגן נוטות יותר לשלוח גרורות לעצמות ולריאות, בעוד שלאתרים אחרים אין בחירה מיוחדת. גרורות באתרים שונים תגבנה בצורה שונה לטיפולים הורמונליים בנוכחות קולטנים חיוביים לאסטרוגן.
קיים מתאם (קורלציה) טוב בין רמת קולטנים חיוביים לאסטרוגן בסרטן השד לקבלת תגובה לטיפול הורמונלי. רמת קולטנים חיוביים לאסטרוגן הגבוהה מ-100 פמטומול/מ"ג בשאת ראשונית או גרורתית תניב אצל 85%-75% מהחולות תגובה לטיפול הורמונלי. ברמות של 100-10 פמטומול/מ"ג יגיבו לטיפול ההורמונלי 50%-45% מהחולות. ברמה של 10 פמטומול/מ"ג ומטה יגיבו לטיפול ההורמונלי פחות מ-10% מהחולות.
מתברר, שאין הבדל בתגובה לכימותרפיה בין שאתות בעלות קולטנים חיוביים לאסטרוגן ושאתות בעלות קולטנים שליליים לאסטרוגן. בקרב חולות הנושאות שאתות בעלות קולטנים חיוביים לאסטרוגן קיימת נטייה פחותה להישנות המחלה, ומשך תקופת הרגיעה מהמחלה ארוך יותר ללא קשר לגיל, למצב המחזור, לגודל השאת ולמצב ההורמונלי. כמו-כן, חולות אשר נהנות מתקופת רגיעה ארוכה נוטות להגיב יותר לטיפולים הורמונליים מאשר חולות אשר מחלתן מתלקחת זמן קצר לאחר הטיפול הראשוני.
בחולות סרטן השד מדרגה II, שקיבלו טיפול כימי מסייע, נמצאו שני גורמים חשובים ביותר להארכת תקופת הרגיעה מהמחלה: פחות מ-3 בלוטות לימפה נגועות ורמת קולטני פרוגסטרון גבוהה מ-5 פמטומול/מ"ג חלבון. כמו-כן נמצא שההיוותרות בחיים ללא מחלה היתה גבוהה ומשמעותית יותר בקבוצת החולות בעלות הקולטנים חיוביים לאסטרוגן וקולטנים חיוביים לפרוגסטרון לעומת החולות בעלות הקולטנים חיוביים לאסטרוגן וקולטנים שליליים לפרוגסטרון.
ראו גם
- לנושא הקודם: שחזור השד - היבטים כירורגיים - Breast reconstruction - surgical aspects
- לנושא הבא: שאתות מסוג פילואידס - Phylloides tumor
- לתוכן העניינים של הפרק
- לתוכן העניינים של הספר
- לפרק הקודם: כירורגיה של הטחול
- לפרק הבא: בקעים
המידע שבדף זה נכתב על ידי ד"ר צבי קויפמן, מומחה בכירורגיה, מנהל היחידה לבריאות השד, מרכז רפואי מאיר, כפר סבא

כניסה
עקבו אחרינו בפייסבוק