שאתות מסוג פילואידס - Phylloides tumor
עקרונות בכירורגיה
מאת ד"ר צבי קויפמן
| עקרונות בכירורגיה | ||
|---|---|---|
| שם המחבר | ד"ר צבי קויפמן | |
| שם הפרק | כירורגיה של השד | |
שאת פילואידס הינה שאת פיברואפיתלאלית בלתי שכיחה של השד, שפירה בדרך כלל, המדורגת בין הפיברואדנומה והסרקומה. שאת זו מכילה מרכיבים מזנכימליים ואפיתליים. השאת מופיעה בגילים 50-40 שנה, אך תוארו מקרים שבהם החולות היו צעירות יותר. יש הטוענים, שגיל החולות תלוי בארצות מוצאן, ובסדרה שפורסמה ביפן 30% מהחולות היו בנות גיל 20 שנה ומטה. ברוב המקרים הופיעה השאת בשד אחד, ורק במקרים בודדים היתה המחלה דו-צדדית. ברוב החולות השאת גדלה במהירות והגיעה לגודל ניכר עוד לפני שהחולות הגיעו לרופא, כאשר פער הזמן מגילוי השאת ועד לטיפול הניתוחי נע בין שבועות עד שנים רבות.
הפילואידס מתפתחת כנראה בפיברואדנומה קודמת. מקום השאת בעיקר ברביע חיצוני עליון של השד, כשגודלה נע מ-1 ס"מ ועד 10 ס"מ ויותר. למרות שלשאת אין קופסית, חדירתה מוגבלת.
ברוב הסדרות מדווח על השתנות ממארת ב-30%-20% מהחולות. בשנים האחרונות דווח על מספר חולות שבהן נכרתה שאת שנראתה שפירה, אולם לאחר הטיפול הופיעה הישנות ממארת. ממצאים אלה תומכים בגישה שלמרות המבנה השפיר, דומה התנהגותה לזו של שאת ממארת. אחרים טוענים, שפילואידס בעלת מבנה היסטולוגי ממאיר יכולה להראות התנהגות ביולוגית שפירה. תוארו גם חולות בעלות פילואידס ממארת, שלאחר 7 שנים לא הראו פיזור גרורתי.
אולם, לפי סדרות אחרות, נמצא פיזור גרורתי במחצית מהחולות בעלות פילואידס ממארת. הסימנים הקליניים, גודל השאת או המבנה ההיסטולוגי שלה, אינם מעידים על הפוטנציאל הממאיר שלה. רק ב-12%-3% מהחולות בעלות פילואידס יתפתחו גרורות מרוחקות, בעיקר לריאות, לעצמות, ללב ולכבד. רוב הגרורות הן בעלות מרכיב מזנכימלי, כאשר המרכיב האפיתליאלי נדיר ביותר. רוב הפיזור הוא המטוגני ולעתים נדירות - לימפתי. הישנות מקומית של השאת נצפתה ב-30%-10% מהחולות, בעיקר בשאת שפירה שהפכה לממארת.
תסמינים קליניים
התסמינים הקליניים הינם:
- הופעת גוש בשד
- כאבים
- אודם מקומי
- הרחבת ורידי השד
- הגדלה פתאומית של השד או משיכת הפטמה
- לחלק מהחולות יש סיפור של הוצאת פיברואדנומה מאותו השד בעבר, במיוחד בחולות שבהן נמצאה מאוחר יותר שאת פילואידס ממארת
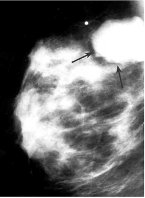
האבחנה מתבצעת על ידי ממוגרפיה (תצלום 36.12) ובדיקת על-שמע (אולטרה סאונד) של השד. הממצאים בשני בדיקות אלה דומים לממצאים של פיברואדנומות והאבחנה ביניהם היא רק על ידי הוצאת הגוש ובדיקת כל הגוש בפתולוגיה.
טיפול
הדעות לגבי הטיפול הכירורגי חלוקות. יש הטוענים שלפעולה הניתוחית אין השפעה על תוצאות הטיפול. ברוב הסדרות בוצעה כריתה מקומית של שאת שפירה וכריתה פשוטה או רדיקאלית של השד במקרים של שאתות ממאירות. יש המחמירים יותר ומבצעים כריתת שד פשוטה גם במקרים של שאת שפירה. סיכום העבודות מצביע על כך, ששיעור הישנות המחלה גבוה יותר בכריתה מקומית לעומת כריתת שד שלמה.
ראו גם
- לנושא הקודם: קולטנים לאסטרוגן ולפרוגסטרון בסרטן השד - Estrogen and progesterone receptors in breast cancer
- לנושא הבא: סרקומות של השד - Breast Sarcomas
- לתוכן העניינים של הפרק
- לתוכן העניינים של הספר
- לפרק הקודם: כירורגיה של הטחול
- לפרק הבא: בקעים
המידע שבדף זה נכתב על ידי ד"ר צבי קויפמן, מומחה בכירורגיה, מנהל היחידה לבריאות השד, מרכז רפואי מאיר, כפר סבא

כניסה
עקבו אחרינו בפייסבוק 