שאתות של דרכי המרה - Biliary tract tumors
עקרונות בכירורגיה
מאת ד"ר צבי קויפמן
| עקרונות בכירורגיה | ||
|---|---|---|
| שם המחבר | ד"ר צבי קויפמן | |
| שם הפרק | כירורגיה של כיס המרה ודרכי המרה | |
לערכים נוספים הקשורים לנושא זה, ראו את דף הפירושים – גידול של דרכי המרה
שאתות אלה נדירות ושכיחותן בנתיחות שלאחר המוות (אוטופסיות) היא 0.1-0.5%. הן שכיחות יותר בגברים, והקשר שלהן לאבני כיס המרה או לדרכי מרה בולט פחות מאשר בשאתות ממאירות של כיס המרה. מחלה זו קשורה לשתי מחלות אחרות:
- קוליטיס כיבית, שבה שכיחות השאתות הממאירות של דרכי המרה היא 0.4-1.4%, ואילו ב- 5% מהלוקים בקרצינומות של דרכי המרה החוץ-כבדיות ניתן למצוא קוליטיס כיבית.
- דלקת טרשתית של דרכי המרה (Sclerosing cholangitis) - הקשורה לשתי המחלות הללו.
בחולים אלה השאת הממארת מופיעה בגיל צעיר יותר. טיפול תרופתי או כריתה כירורגית קודמת של המחלה הראשונית אינם משנים את שכיחות הופעת השאתות בדרכי המרה. מבחינה פתולוגית מדובר לרוב בשאתות קטנות, נודולריות, קשות, החוסמות את צינורות המרה. השאתות גדלות לאט ואינן שולחות גרורות, אלא לעתים רחוקות. חדירה למערכת העצבים דווחה ב- 63% באחת הסדרות. רוב השאתות האלה הן אדנוקרצינומה אם כי מדווחים גם על אדנוקנטומה (Adenoacantoma) ועל קרצינומות של האפיתל השטוח. כמו-כן אפשר למצוא ליומיוסרקומות ומלנומות של צינורות המרה. לעתים קשה להבדיל בין שאתות ממאירות לבין היצרויות שפירות של הכולדוכוס. רוב השאתות ממוקמות בצינורות המרה הקריבניים.
אבחנה
הסיפור הקליני מתאים לצהבת חסימתית, מלווה לעתים בהגדלת הכבד וביתר-לחץ-דם שערי המתפתח בשלבים מאוחרים. הבדיקות הרנטגניות כוללות:
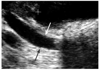
- אולטרה-סאונד של דרכי המרה (תצלום 49.8).
- EUS - של דרכי המרה. נראה הרחבה של דרכי המרה ואת הגוש החוסם.
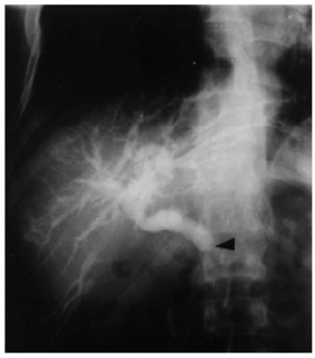
- PTC (Percutaneous transhepatic cholangiogram) – נראה חסימה בדרכי המרה ואת הגובה שלה בצינור המרה (תצלום 50.8).
- ERCP - מראה תמונה של חסימה בדרכי המרה ובציטולוגיה הנלקחת על ידי מברשת ניתן לראות תאים ממאירים (תצלומים 51.8 ו- 52.8).
- סריקה טומוגרפית ממוחשבת.
- MRCP היא בדיקה מצוינת לבירור גוש בצינורות המרה החוץ כבדים.
- ארטריוגרפיה ברירנית של הצליאק.
בעזרת הבדיקות רוב המקרים מאובחנים לפני הניתוח. ב- 60% מהחולים האלה אפשר לקבל דגימות מהמרה, לשלוח לציטולוגיה ולקבל אבחנה של תאים ממאירים. אפשרות אחרת היא לבצע FNA מהשאת על-ידי מחט המוחדרת לשאת ומונחית באולטרה-סאונד או בטומוגרפיה ממוחשבת.
טיפול
טיפול כירורגי
לפעמים האבחנה קשה גם בלפרוטומיה, בייחוד אם השאת נמצאת בשליש הקריבני. אם החלק הרחיקני חסום, החלק הקריבני מורחב, ואולם אם החלק הקריבני חסום, דרכי המרה וכיס המרה אינם מורחבים. בכל החולים יש לבצע כולאנגיוגרפיה תוך-ניתוחית, כדי להדגים את העץ המרתי.
בשלב הראשון של הניתוח אפשר לשחרר את התריסריון, הלבלב והאלמנטים בשער הכבד. כדי לאתר את השאת יש לבדוק את הכולדוכוס בכולדוסקופ. אפשר לנסות להחדיר זונדה לכולדוכוס כדי לגלות היצרות של הנהור. אם הוא חסום, יש לנסות להעביר צנתר אורטרי דרך החסימה כדי להדגים את הקטע מעבר לחסימה. באותו הזמן ניתן לקחת ביופסיות על-ידי קורטז' וציטולוגיה. בלוטות לימפה אזוריות מוגדלות מחייבות נטילת דגימה לאבחון היסטולוגי.
השאת גדלה אמנם לאט, אך טיפול מרפא הוא נדיר. לרוב, הטיפול הוא להקלת הצהבת בלבד. הטיפול הוא בהתאם למיקום השאת בדרכי המרה. החלוקה המקובלת היא של ביסמוט כפי שמופיעה באיור 26.8. לצורך תיאור הניתוחים השונים חילקנו את השאתות לאלה של השליש המקורב, האמצעי והמרוחק.
שאתות בשליש הקריבני של צינור המרה
בלקות בחלק הקריבני של דרכי המרה - משער הכבד ועד לכניסה של צינור כיס המרה המשותף - מבצעים כריתה של דרכי המרה והשקה בין לולאת מעי לדרכי מרה בכבד - Intrahepatic cholangiojejunostomy או בשער הכבד הפטיקוג'ג'ונוסטומיה (Hepaticojejunostomy) (איור 27.8).
בניתוח זה מביאים לולאת מעי בשיטת Roux en-Y אל שער הכבד ושם מעבירים צינורית מיוחדת רבת נקבים מצינורות הכבד דרך דרכי המרה החוצה מהכבד ודרך העור, ומבצעים השקה בין צינורות המרה למעי על התותבים שהוחדרו לתוכם. דרך התותב שיוצא אל העור מבצעים לאחר הניתוח שטיפות כדי למנוע סתימות בתותב.
בחולים שבהם השאת מוגבלת לצינור כבד אחד מבצעים כריתה של אונת כבד המנוקזת על-ידי אותו צינור וחיבור בין צינור הכבד של האונה הנותרת לבין המעי הדק על תותב בשיטת Roux en-Y (איור 28.8).
אם אין אפשרות לבצע כריתה בעת הניתוח, אפשר להעביר תותב קשיח (תותב על-שם קטל) בעל נקבים מרובים דרך השאת ודרך הכבד לעור. התותב מאפשר מעבר מרה דרך השאת. תותבים אלה אפשר להחדיר לפני ניתוח או לאחריו בדרך מלעורית כ- PTD (Percutaneous transhepatic drain) או דרך ERCP (איור 29.8).
ניסיונות טיפולים על-ידי החדרת חומרים רדיואקטיביים על מחטים לאזור השאת וטיפולים כימיים לא הוכחו כיעילים.
שאתות בשליש התיכון של צינור המרה
אם השאת ממוקמת בחלק שמתחת לכניסת הצינור לכיס המרה ועד לחלק החוצה את התריסריון (החלק הקריבני של צינור המרה המשותף), ניתן לכרות את השאת ולבצע השקה בין הגדם הנותר לבין התריסריון (כולדכודואודנוטומיה) או לבין לולאת מעי דק בשיטת Roux en-Y (כולדוכוגיגיונוסטומיה).
אם אין אפשרות לכרות את השאת אפשר לעקוף אותה באופן כירורגי על-ידי ביצוע השקה בין לולאת מעי לצינור המרה המשותף מעל החסימה (כולדוכוגיגיונוסטומיה) או בין לולאת מעי לכיס המרה (Cholecystojejunostomy) (איור 30.8).
אם אין אפשרות לבצע מעקף על השקה, אפשר להעביר צינור מרובה נקבים קשיח (תותב על-שם קטל) דרך השאת לתריסריון כנקז-T ובכך לאפשר ניקוז של המרה (איור 30.8). גם בחולים אלה ניתן להעביר תותבים דרך PTC או ERCP.
שאתות בשליש הרחיקני של צינור המרה
קטע זה של צינור המרה הוא הקטע המצוי מאחורי התריסריון ובראש הלבלב; כריתת השאת בקטע זה אפשרית רק עם כריתת הלבלב והתריסריון בניתוח על-שם Whipple, הכולל כריתה של צינור המרה לגובה המעבר מתחת לתריסריון, כריתת ראש הלבלב והאנטרום של הקיבה, וחיבורם מחדש של איברים אלו ללולאת מעי דק בשיטת Roux en-Y - כולדוכוגיגיונוסטומיה, פנקריאטיקוגיגיונוסטומיה, גסטרואנטרוסטומיה ואנטרו-אנטרוסטומיה (איור 31.8).
אם השאת מפושטת ואין אפשרות לכרות אותה בלא סיכון יתר, אפשר לעקוף אותה בדרך כירורגית על-ידי כולדוכוגיגיונוסטומיה או כולציסטוגיגיונוסטומיה, המאפשרת מעבר מרה למעי ומקלה על הצהבת.
גם בחולים אלה אפשר להעביר תותב כטיפול פליאטיבי בצהבת על-ידי PTC או ERCP.
פרוגנוזה
ניתוח כריתה אפשרי ב- 10% מהחולים בלבד. שיעור ההישרדות גבוה יותר מאשר בחולים בעלי שאתות של כיס המרה, ואולם רק מעטים שורדים חמש שנים.
ראו גם
- לנושא הקודם: שאתות של כיס המרה - Gallbladder tumors
- לנושא הבא: טיפול פולשני לא-כירורגי בחסימה ממארת של דרכי המרה
- לתוכן העניינים של הפרק
- לתוכן העניינים של הספר
- לפרק הקודם: כירורגיה של התעלה האנלית
- לפרק הבא: כירורגיה של הלבלב
המידע שבדף זה נכתב על ידי ד"ר צבי קויפמן, מומחה בכירורגיה, מנהל היחידה לבריאות השד, מרכז רפואי מאיר, כפר סבא

כניסה
עקבו אחרינו בפייסבוק 


