שאתות של כיס המרה - Gallbladder tumors
הופניתם מהדף שאתות של כיס המרה לדף הנוכחי.
עקרונות בכירורגיה
מאת ד"ר צבי קויפמן
| עקרונות בכירורגיה | ||
|---|---|---|
| שם המחבר | ד"ר צבי קויפמן | |
| שם הפרק | כירורגיה של כיס המרה ודרכי המרה | |
לערכים נוספים הקשורים לנושא זה, ראו את דף הפירושים – גידול של דרכי המרה
קרצינומה של כיס המרה היא שאת נדירה יחסית. המאפיינים של שאתות אלה הם:
- שכיחות יתר בנשים המבוגרות מ- 60 שנה.
- שכיחות של 0.3-2% מכיסי המרה הנכרתים.
- אבנים בכיס המרה נמצאו ב- 90% מהחולים שנותחו עקב השאת.
- בחולים עם אבנים שקטות שכיחותן של שאתות ממאירות היא 0.4-0.6%.
- מקצתן מופיעות בפוליפים.
- ב- 6-22% מהפוליפים הגדולים מ- 1 ס"מ נמצאת בראש הפוליפ קרצינומה מוגבלת לאתר (In situ).
- רוב השאתות ממוקמות בפונדוס של כיס המרה וחודרות לאונה הימנית של הכבד.
- נדיר לראות התפשטות צפקית או וסקולרית עם גרורות רחוקות.
- רוב השאתות הן מסוג אדנוקרצינומה, חלקן אדנואקנטומה (Adenoacantoma), קרצינומה של תאי קשקש (Squamous cell carcinoma) או קרצינומה אנפלסטית.
השכיחות של שאתות כיס המרה בלוקים באבני כיס מרה היא כה נמוכה, שכיום בלא תסמינים קליניים, היא אינה בבחינת הוריה לניתוח אבני כיס מרה.
אבחנה
רוב השאתות הממאירות מתגלות במקרה, בזמן כריתת כיס המרה (תמונה 4.8).
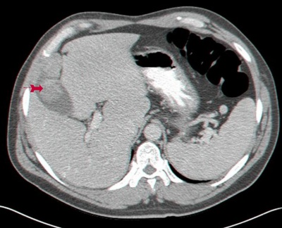
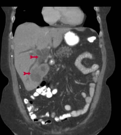
רק ב- 5-10% מהחולים מאובחנת השאת לפני הניתוח. ברוב החולים הלוקים בתסמינים קליניים יש סיפור המתאים לדלקת כרונית של כיס המרה. לעתים גוש בבטן ימנית עליונה, כאבי בטן, צהבת וירידה במשקל מביאים את החולה לבדיקה. החשד לקרצינומה של כיס המרה מתעורר כאשר מבצעים בדיקת אולטרה-סאונד של כיס המרה (תצלום 46.8)
או טומוגרפיה ממוחשבת. CT בטן יכול להדגים את השאת בכיס המרה (תצלום 47.8) באם היא פורצת לכבד (תצלום 48.8) או מערבת בלוטות (רגישות נמוכה).
- MRCP - מדגים את כיס המרה עם השאת שבו וכן מעורבות של דרכי המרה בתהליך השאתי.
- ERCP - מוסיף מידע רב על מעורבות צינורות המרה החוץ-כבדיים בתהליך.
טיפול
ברוב החולים, השאת אינה ניתנת לכריתה בזמן האבחנה עקב התפשטות מקומית. במקרים של שאתות קטנות, המתגלות במקרה, פוליפים או אדנוקרצינומה פפילרית קטנה, ניתן לכרות את השאת יחד עם כיס המרה. לכן, כל כיס מרה שנכרת יש לשלוח לאבחון פתולוגי. בלוקים בשאת גדולה ההיוותרות בחיים אינה תלויה בסוג הניתוח. בחולים בעלי שאתות קטנות ניתן לבצע ניתוחים יותר רדיקליים, כגון כריתת כיס המרה, ובהמשכה כריתת בלוטות הלימפה ומיטת כיס המרה. כריתת האונה הימנית של הכבד, כחלק מהטיפול בלוקים בשאתות של כיס המרה, ואף כריתה נרחבת של האונה הימנית (Extended right lobectomy), עשויים להועיל.
פרוגנוזה
באופן כללי, הפרוגנוזה במרבית חולים אלה היא גרועה. שיעור ההיוותרות בחיים לחמש שנים הוא 15%.
ראו גם
- לנושא הקודם: חסימת מעיים מאבני מרה - Gallstone ileus
- לנושא הבא: שאתות של דרכי המרה - Biliary tract tumors
- לתוכן העניינים של הפרק
- לתוכן העניינים של הספר
- לפרק הקודם: כירורגיה של התעלה האנלית
- לפרק הבא: כירורגיה של הלבלב
המידע שבדף זה נכתב על ידי ד"ר צבי קויפמן, מומחה בכירורגיה, מנהל היחידה לבריאות השד, מרכז רפואי מאיר, כפר סבא

כניסה
עקבו אחרינו בפייסבוק 