דלקת בכרכשת עם קרום מדומה - Pseudomembranous enterocolitis
הופניתם מהדף Pseudomembranous colitis לדף הנוכחי.
עקרונות בכירורגיה
מאת ד"ר צבי קויפמן
| עקרונות בכירורגיה | ||
|---|---|---|
| שם המחבר | ד"ר צבי קויפמן | |
| שם הפרק | כירורגיה של הכרכשת | |
לערכים נוספים הקשורים לנושא זה, ראו את דף הפירושים – קלוסטרידיום דיפיצילה
שכיחותה של דלקת כרכשת עם קרום מדומה (Pseudomembranous enterocolitis) עלתה בשנים האחרונות. עלייה זו יוחסה לשימוש הנרחב בתרופות אנטיביוטיות, ומשום כך הוטבע למחלה השם - דלקת בכרכשת הקשורה לאנטיביוטיקה (Antibiotic associated colitis).
המחלה תוארה בראשונה ב-1893 . הדיווחים הראשונים היו מנתיחות גופה. מסקנות הדיווחים הראשונים הללו לגבי הממצא ההיסטולוגי היו שהמחלה קשורה במצבי הלם. חוקרים אחרים קשרו את המחלה עם מצבי חסימה של הכרכשת עקב סרטן.
ב-1953 זיהו Terplan וחבריו סטפילוקוקים (Staphylococci) במשטחים מרירית הכרכשת של חולים בתסמונת זו. מסקנתם היתה שהסטפילוקוק הוא גורם המחלה. במשך השנים האחרונות תוארה המחלה יותר ויותר בסמיכות לשימוש בתרופות אנטיביוטיות.
ב-1977 הודגם קיומו של רעלן (Toxin) בחולי דלקת כרכשת עם קרום מדומה, שנוטרל על-ידי נוגד הרעלן (Antitoxin) של Clostridium sordellii, וב-1978 מצאו Bartlett וחבריו במחקרים קליניים, שהטוקסין נוצר על-ידי Clostridium difficile, וכיום נחשב חיידק זה כגורם למחלה. בעבר הועלו כמה תיאוריות שהסבירו את האטיולוגיה של דלקת כרכשת זו. התיאוריה המקובלת כיום היא שה-Clostridium difficile יוצר טוקסין ציטופתי בבעלי חיים ובבני אדם. תרופות המאיטות את תנועתיות המעי, כגון Atropine, Cocaine ואחרות, מגבירות את שכיחות המחלה.
תסמינים קליניים
למחלה טווח סימנים נרחב, החל בשלשול קל וכלה בתמונה סוערת של דלקת מעיים (Enterocolitis). בדרך כלל השלשול מלווה בתסמינים אלחיים, כגון חום ועלייה בספירה הלבנה המאופיינת בסטייה שמאלה. השלשול הוא בדרך כלל רירי-מוקואידי. במקצת החולים יש כאבי בטן והקאות. ב-25% מהחולים הסיבוך הזה מסתיים במוות. כל חולה לאחר ניתוח המטופל באנטיביוטיקה ומתחיל לשלשל חשוד כמפתח מחלה זו.
אבחנה
- בתרביות ובמשטחי צואה אפשר לזהות את הגורם הפתוגני, אם כי בדיקה זו אינה אבחנתית.
- בידוד הטוקסין מהפרשות המעי מהווה בדיקה בעלת אמינות גבוהה.
- ברקטוסקופיה (תצפית חלחולת) ובביופסיות תיראה התמונה האופיינית למחלה זו. הפגיעה כוללת נזק מקטעי (סגמנטרי) בכרכשת וכיסוי של קרומים על פני הרירית. בהיסטולוגיה אפשר לראות תהליך דלקתי ברירית המעי וכיסוי של רקמה נמקית מעליה (תצלום תמונה 9.6א).
- חוקן בריום
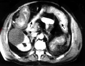
- טומוגרפיה ממוחשבת — מראה את הכרכשת הפגועה, התכייבויות והרס הרירית (תצלום 18.6).
טיפול
הטיפול בחולים אלה כולל הפסקת הטיפול האנטיביוטי, טיפול תסמיני, טיפול בהלם ובדמם וטיפול סגולי (ספציפי) ב-Vancomycin לווריד או ב-Metronidazole (Flagyl) דרך הפה המשיג תוצאות דומות לאלה של הטיפול ב-Vancomycin.
ניתוח שמור למקרים שבהם המחלה מסתבכת בהתנקבות הכרכשת, או שמצבו של החולה מחמיר למרות טיפול תומך תקיף. במצבים אלה נאלצים לנתח את החולה.
הטכניקות הכירורגיות שתוארו הן:
- כריתה תת-שלמה או שלמה של הכרכשת.
- פיום מסיט שלם של המעי הדק (Complete diversion ileostomy).
ראו גם
- לנושא הקודם דלקת הצפק עקב התנקבות הכרכשת - Large intestine perforation
- לנושא הבא: לימפוגרנולומה ונראום - היבטים כירורגיים - Lymphogranuloma venereum - surgical aspects
- לתוכן העניינים של הפרק
- לתוכן העניינים של הספר
- לפרק הקודם: כירורגיה של התוספתן
- לפרק הבא: כירורגיה של התעלה האנלית
המידע שבדף זה נכתב על ידי ד"ר צבי קויפמן, מומחה בכירורגיה, מנהל היחידה לבריאות השד, מרכז רפואי מאיר, כפר סבא

כניסה
עקבו אחרינו בפייסבוק 