פיזיולוגיה של כיס המרה ודרכי המרה - Gallbladder and biliary tract physiology
עקרונות בכירורגיה
מאת ד"ר צבי קויפמן
| עקרונות בכירורגיה | ||
|---|---|---|
| שם המחבר | ד"ר צבי קויפמן | |
| שם הפרק | כירורגיה של כיס המרה ודרכי המרה | |
המרה היא נוזל המכיל מים, מלחי מרה, צבעי מרה, כולסטרול, לציטינים וכמויות קטנות של חומצות שומן, חלבונים ואלקטרוליטים.
מלחי המרה מורכבים מגליצין או מטאורין בקוניוגציה עם Cholic acid או Chenodeoxycholic acid, הנוצרים מכולסטרול ונקשרים בהפטוציט.
שתי חומצות אחרות הנמצאות במרה הן Lithocholic acid ו-Deoxycholic acid, הנוצרות במעי עקב פעולת חיידקי המעי על חומצות המרה הראשוניות. כל חומצות המרה, למעט החומצה הליטוכולית, נספגות חזרה במערכת האנטרו-הפטית. הכמות הכללית של חומצות המרה בגוף היא 3-5 גרם. רק 200-600 מ"ג מהחומצות מופרשות בכל יום בצואה. כל שאר החומצות נספגות שוב במעי, והכמות שהופרשה בצואה מיוצרת מחדש בכבד. המעבר הפעיל של מלחי המרה בכבד הוא המווסת את נפח המרה המופרש. יצירת חומצות המרה מווסתת על-ידי מהירות חזרתן של החומצות לכבד.
מלחי המרה, הלציטינים, הכולסטרול והבילירובין מהווים 90% מהמרכיב המוצק של המרה. מלחי המרה והלציטינים הם המרכיבים העיקריים. צבעי המרה נמצאים לרוב בצורתם המסיסה, ובתוספת קטנה של אורובילינוגן. המרכיב הקטיוני של המרה דומה לזה של הנסיוב, ואילו המרכיב האניוני כולל יוני מימן וביקרבונט. ה- pH נע בין 6.0 ל- 8.0. האוסמולליות של המרה שווה לזו של הדם.
המרה משתתפת בתהליך ספיגת השומנים על-ידי תחלוב (אמולסיפיקציה) שלהם. היא מעורבת בתהליכי ספיגת הסידן, הברזל, הנחושת, הכולסטרול והוויטמינים מסיסי השומן. הגרד המופיע בלוקים בחסימה של דרכי המרה נובע ממשקעים של חומצות מרה המכילים קטיונים, כגון נתרן, אשלגן וסידן.
למרה תפקיד בשפעול מיצי הלבלב, והיא מספקת סביבה בסיסית לסתירת חומצת הקיבה המגיעה למעי. הכבד מייצר כ- 600-1,000 מ"ל של מיצי מרה ביום, שתכולתם היא 97% מים. מכיוון שהסוגר על-שם Oddi סגור, הלחץ בדרכי המרה מזרים את המרה לכיס המרה, ושם היא מתרכזת עד פי 10 מזו המיוצרת בכבד. הספיגה היא בעיקר של מים וכן של אלקטרוליטים, ובייחוד נתרן, כלור וביקרבונט. כיס המרה מוסיף למרה הפרשה מוקואידית סמיכה, והיא הסיבה למרה לבנה בחולים הלוקים בחסימה של צינור כיס המרה. תפקיד דרכי המרה אינו רק בהובלת מרה, אלא גם בהשתתפות פעילה בקביעת הרכבה של המרה על-ידי ספיגה של נתרן, אשלגן, מרה והפרשת מים ואלקטרוליטים לתוכה. דרכי המרה מפרישות סקרטין בכמות קטנה.
בהיעדר מזון בתריסריון, נאגרת המרה תחילה בדרכי המרה, ואז הלחץ בהן עולה ומגיע עד 30 ס"מ מים. הלחץ בכיס המרה בזמן מנוחה הוא 10 ס"מ מים, לכן המרה עוברת ברפלוקס לכיס המרה. כניסה של מזון לתריסריון גורמת להפרשת כולציסטוקינין על-ידי המעי, וזה מגרה את התכווצות כיס המרה ומרפה את הסוגר על-שם Oddi. הפנקרוזימין (Pancrozymine) והכולציסטוקינין מהווים מכלול זהה של הורמונים, הנקראים CCK-PZ, והדומים במבנם לגסטרין.
הגורמים להתכווצות כיס המרה הם:
- CCK-PZ
- פעילות העצב התועה
- שומנים וחלבונים (לסוכרים אין השפעה על התכווצות כיס המרה)
לאחר כריתת כיס המרה, שחרור המרה למעי תלוי רק במתח (טונוס) הסוגר על-שם Oddi. הכולציסטוקינין גורם אף הוא להגברת זרימתה של המרה על-ידי גירוי להפרשת יתר של מים ואלקטרוליטים בדרכי המרה. הסקריטין משפעל את פעילות הכולציסטוקינין על כיס המרה ועל הסוגר על-שם Oddi. גסטרין וגלוקגון במינון פרמקולוגי עשויים להשפיע על כיס המרה, אך הם אינם משפיעים במינון פיזיולוגי.
הכאב הנגרם במחלות כיס המרה נובע ממתיחת כיס המרה, והוא מלווה בבחילות ובהקאות. הכאב הוויסצרלי מועבר דרך סיבים סנסוריים אל המערכת הספלנכנית המתקשרת למקטעים (סגמטים) הטורקליים 7-10, המעצבבים גם את האפיגסטריום. כאבים ביליאריים הם עוויתיים לעומת הכאבים הקבועים של דלקות בכיס המרה, המלווים ברגישות בחומש (היפוכונדיום) הימני. הכאבים הסומטיים מוקרנים לזווית עצם השכם (הסקפולה), לרום הבטן, ודרך עצב הסרעפת (Phrenic nerve) לכתף הימנית.
משככי כאבים, כגון Morphine או Meperidine, גורמים להתכווצות של הסוגר על-שם Oddi, עלייה בלחץ המרה והחמרה בכאב. הרחבה של כיס המרה נגרמת באופן רפלקטורי על-ידי איסכמיה כלילית (קורונרית) או בזמן הפרעות קצב, וזה מסביר את הקשר שבין דלקות חדות של כיס המרה לבין מחלות לב.
תסמינים קליניים
האבחנה מבוססת על סיפור קליני, הכולל:
- כאבים המתוארים לרוב כעוויתיים ומקרינים לגב ולזווית עצם השכם
- צהבת חסימתית הכרוכה בצואה בהירה, בשתן כהה ובבילירובינמיה ישירה בעיקרה. בשתן נמצא בילירובין, אבל לא אורובילינוגן
- הפרעות דיספפטיות בעיכול. הדיספפסיה כוללת הרגשה של תפיחות הבטן, מלאות, בחילות, עצירות וחוסר סבילות למזון שומני
הסימנים הקליניים כוללים:
- צהבת
- צואה בהירה
- שתן כהה
- רגישות מעל אזור הכבד
- במחלות דלקתיות של כיס המרה ניתן למצוא רגישות ניכרת המלווה בנוקשות שרירי הבטן
- חום
- אם הסיבה לצהבת היא שאת ממאירה של הכולדוכוס, ניתן למצוא כיס מרה גדול שאפשר למששו והוא אינו רגיש - סימן על-שם קורבזיה
אבחנה
- בדיקת אולטרה-סאונד של כיס המרה (תצלום 1.8).
|
|
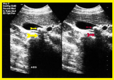
| תצלום 3.8: הרחבת צינור המרה המשותף, בסונר משמאל החיצים מצביעים על צינור המרה המורחב. | |
|
|
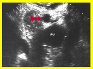
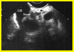
| תצלום 5.8: EUS - מראה מימין את צינור המרה המשותף בחתך (חץ) ותחתיו את הוריד הפורטלי.
משמאל כיס מרה עם אבן. | |
בדיקת האולטרה-סאונד היא מכשיר עזר חשוב באבחון הלוקים באבנים בכיס המרה, בצהבת או במצבים דלקתיים חריפים. אמינות הבדיקה היא גבוהה - 95%. בבדיקה זו מודגמות האבנים בכיס המרה כנקודות בהירות שמאחוריהן "צל אקוסטי" (Acoustic shadow) - אזור בלא החזרת קול (האבן חוסמת את הקול) (תצלום 1.8). אם הנבדק משנה תנוחה, האבן זזה, והדבר מודגם בבדיקה. אבנים בדרכי המרה ניתנות להדגמה ב- 20% מהמקרים. דרכי מרה מורחבות אפשר להדגים בלוקים בחסימה בדרכי המרה. בחולים אלה ההרחבה יכולה להיות של דרכי המרה החוץ ו\או התוך-כבדיות. (תצלום 2.8 ו- 3.8). נוזל סביב כיס המרה ודופן מעובה של כיס המרה מעידים על דלקת של כיס המרה (תצלום 4.8). אפשר לבצע בדיקת אולטרה-סאונד של דרכי המרה בזמן הניתוח ולאתר אבנים בדרכי המרה.
אולטרה-סאונד אנדוסקופי (EUS): ה-EUS הינה בדיקת US אנדוסקופית המבוצעת דרך אנדוסקופ בסמוך לאיבר הנבדק. גישה זו מאפשרת לראות את אנטומיה ופתולוגיה של דרכי המרה בצורה ברורה. הבדיקה מבוצעת כיום בכל חולה עם הרחבה של דרכי מרה או הפרעה בתפקודי כבד הרומזת לתהליך חסימתי בדרכי המרה (תצלום 5.8).
- צילום בטן סקירה מדגים:
- אבנים המכילות שיעור גבוה יחסית של סידן. אבנים אלה מודגמות ב- 15% מהחולים. במקרים נדירים, תימצא מרה שהיא דמויית חלב, הנקראת Milk calcium bile ונובעת מסיווג של הפסולת (Debris) בתוך כיס המרה. אבני כיס המרה המורכבות ממשקעים של סידן קרבונט גורמות לסתימת הציסטיקוס ולכן לדלקות של כיס המרה.
- אוויר בדרכי המרה ניתן לראות בצילום בטן סקירה אם יש קשר פתולוגי בין דרכי המרה למערכת העיכול.
- לעתים רחוקות אפשר לראות כיס מרה מלא בכיסי אוויר, בדומה לאמפיזמה, הנובע מהימצאות חיידקים יוצרי גז בכיס המרה.
- בצילום בטן סקירה אפשר לראות לפעמים כיב מרה שדופנותיו מסוידות, ולכן נקרא כיס מרה מסוג "פורצלן" (תצלום 6.8).
- אם האבן חודרת למעי הדק וגורמת לחסימתו, תיראה בצילומי בטן סקירה תמונה של פלסי אוויר-נוזל במעי הדק, ובמקצת החולים אפשר אף לראות את האבן במעי.
- מיפוי דרכי המרה על-ידי Hida או Dipa:
- המיפוי מאפשר הדגמה של כיס המרה ומעבר של החומר מהכבד לתריסריון. הזרקת החומר המסומן גורמת ל"צביעת" הכבד ולהדגמת חומר בכיס המרה ובתריסריון בתוך 15 דקות עד 4 שעות.
- אם החומר אינו ממלא את כיס המרה, מדובר בחסימה של הציסטיקוס (Cystic duct obstruction).
- אם החומר אינו מופיע בתריסריון גם לאחר 4 שעות, מדובר בחסימה בצינור המרה המשותף.
- אמינות השיטה היא 93%. יתרונה הגדול הוא בכך שניתן להדגים את דרכי המרה ברמות בילירובין גבוהות (Hida עד 7 מ"ג/אחוז; Dipa עד 20 מ"ג/אחוז).
|
|
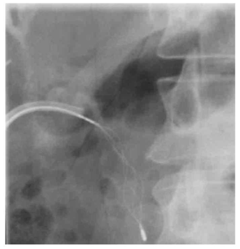
| תצלום 8.8: Percutanous trans-hepatic cholangiography (PTC) - תמונה שמאלית החץ מצביע על המחט והצנתר המוחדרים לדרכי המרה תמונה ימנית חץ מצביע על פגם בדרכי המרה G-כיס מרה 1- צינור מרה משותף. | |
- Percutaneus trans-hepatic cholangiography (PTC) (תצלום 8.8). בשיטה זו אפשר להדגים את דרכי המרה על-ידי ניקור מלעורי של הכבד. בניקור חודרים לכלי מרה בכבד ודרכו מזריקים חומר ניגוד לדרכי המרה ה"צובע" את העץ הביליארי. שיטה זו טובה בלוקים בערכי בילירובין גבוהים, שכן בהם אין לבצע את בדיקות הניגוד.
- בשיטה זו ניתן לבצע גם ניקוז קבוע של דרכי המרה על-ידי החדרת נקז לתוך דרכי המרה (PTD - percutaneus trans-hepatic drainage). התנאי להצלחת הבדיקה הוא דרכי מרה מורחבות, שאפשר לזהות בבדיקת אולטרה-סאונד של דרכי המרה (תמונה 9.8).
- בגישה זו אפשר גם לנקז את כיס המרה בחולים עם חסימות בצינור כיס המרה (איור 4.8) או לשלוף אבנים בעזרת מכשיר מיוחד ללכידת אבנים (Basket) (תצלום 10.8).
| תצלום 13.8: אבנים בדרכי המרה ב- ERCP. | |
| תצלום 16.8: ניקוז דרכי המרה. תמונה ימנית בעזרת צנתר תמונה שמאלית הכנסת תותב (סטנט) לדרכי המרה | |
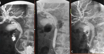
- בשיטה זו מחדירים אנדוסקופ דרך הפה לתריסריון, מזהים את הפפילה על-שם ואסר, ולתוכה מחדירים צנתר שדרכו מזריקים חומר ניגוד לדרכי המרה וללבלב. ההדגמה היא רנטגנית (תצלום 12.8- 11.8) וניתן לראות בה הרחבה של דרכי המרה, או אבנים (תצלום 13.8) או שאתות בדרכי המרה, או חסימות של דרכי המרה (תצלום 14.8). אפשר להדגים את כיס המרה והפתולוגיות שבתוכו.
- אם מודגמת אבן בדרכי המרה, אפשר לבצע בזמן הבדיקה:
- פפילוטומיה אנדוסקופית (Endoscopic papillotomy) - חיתוך של הפפילה לאורכה והרחבתה. הרחבה זו מאפשרת ניקוז טוב יותר של דרכי המרה, וכן היא מאפשרת לאבן שנתקעה במעבר הצר של הפפילה לעבור לתריסריון.
- שליפה של אבנים בעזרת מכשירים כגון Basket או ריסוק הגדולות שבהן ולאחר מכן שליפת הפירורים (תצלום 15.8).
- כשאין אפשרות לחדור לפפילה עקב סתימה שלה, אפשר בזמן ה- ERCP לבצע חתך מעל הפפילה לכולדוכוס (Precut), להחדיר את הצנתר דרכו וכך להדגים את דרכי המרה. אם יש חשד לשאת בדרכי המרה או בלבלב, אפשר בזמן ה- ERCP לגרד מהנגע במברשת מיוחדת חומר מהשאת ולשלוח אותו לאבחון ציטולוגי (Brush cytology).
- הכנסת נקז לדרכי המרה בחולים עם חסימה על מנת לנקז את דרכי המרה באופן זמני או קבוע (תצלום 16.8)
- הסיבוכים המדווחים לאחר פעולות בזמן ERCP הם:
- דלקת לבלב חדה.
- כולאנגיטיס - בייחוד אם אין מצליחים לשחרר את החסימה בדרכי המרה.
- הלם אלחי (Sepsis).
- דימום אחור-צפקי.
- כיסה מדומה של הלבלב (פסוידוציסטה).
- טומוגרפיה ממוחשבת (CT). מאפשרת הדגמה של כיס המרה (תצלום 17.8), הכולדוכוס והלבלב. בטומוגרפיה ממוחשבת מודגמות היטב אבנים בכיס המרה או בדרכי המרה. שאתות של כיס המרה, דרכי המרה והלבלב מודגמות היטב וכן התפשטות של תהליכים ממאירים לבלוטות הלימפה. אם מתגלה תהליך שאתי באחד מאיברים אלו, אפשר לבצע ביופסיית מחט עדיה (FNA) מודרך על-ידי טומוגרפיה ממוחשבת מהנגעים הללו ולקבל אבחנה ציטולוגית של הנגע.
| |
| תצלום 18.8: MRCP מדגים את העץ ביליארי והאנטומיה שלו. תצלום שמאלי מראה את האנטומיה של דרכי המרה והלבלב. תצלום ימני חץ מראה חסר בצינור המרה המשותף D - תריסריון G - כיס מרה. | |
- צילומי מערכת העיכול העליונה. מבוצעים כדי לשלול קיומן של מחלות אחרות, כגון כיב פפטי או בקע סרעפתי, שיכולים לחקות את תסמיני מחלות כיס המרה. הרחבת קשת התריסריון עלולה לרמז על שאתות של ראש הלבלב או הפפילה, אם נראית דחיקה של התריסריון בצורת הספרה 3 במהופך.
- לפרוסקופיה. מאפשרת לראות את כיס המרה, בייחוד בחולים שיש לגביהם חשד לתהליכים מפושטים תופסי מקום.
- ביופסיה מהכבד. אבחנת צהבת כוללת ביופסיה מהכבד, לשלילת כולנגיוסטזיס תוך-כבדית.
- כולדוכוסקופיה. בבדיקה זו משתמשים באנדוסקופ בעל קוטר זעיר המוחדר לכולדוכוס ודרכו ניתן לצפות בנגעים בכולדוכוס (אבנים ושאתות). לכולדוכוס אפשר להיכנס בזמן ניתוח כשפותחים את הכולדוכוס או דרך הציסטיקוס. אם משאירים נקז T בכולדוכוס, אפשרן להיכנס דרכו או דרך התעלה הנוצרת סביבו לכולדוכוס. בעזרת מכשירי העזר של הכולדוכוסקופ אפשר לשלוף ממנו אבנים או לבצע ביופסיות אם הממצא הוא שאתי.
בדיקות העזר המעבדתיות הן:
- פוספטאזה בסיסית (Alkaline phosphatase) מוגברת, ועלייה של 5-נוקלאוטידז בנסיוב, המעידים על חסימה של דרכי המרה.
- לעתים, ייראו עלייה בעמילאז וליפאז בדם ובשתן. יחס של יותר מ- 5.5 בין פינוי (Clearance) של הקריאטינין לעמילאז מצביע על דלקת בלבלב, בפער יחסים פחות מזה מדובר בדלקת לבלב תגובתית.
- משאיבות התוכן המרתי של התריסריון, לאחר גירוי להתכווצות כיס המרה, אפשר ללמוד על הליטוגניות שלו ולראות במיקרוסקופ קריסטלואידים, וכן לבצע בדיקות ציטולוגיות של המרה.
ראו גם
- לנושא הקודם: אנטומיה של כיס המרה ודרכי המרה - Gallbladder and biliary tract anatomy
- לנושא הבא: אבני כיס המרה - Gallbladder stones
- לתוכן העניינים של הפרק
- לתוכן העניינים של הספר
- לפרק הקודם: כירורגיה של התעלה האנלית
- לפרק הבא: כירורגיה של הלבלב
המידע שבדף זה נכתב על ידי ד"ר צבי קויפמן, מומחה בכירורגיה, מנהל היחידה לבריאות השד, מרכז רפואי מאיר, כפר סבא

כניסה
עקבו אחרינו בפייסבוק 

















