חבלות בדופן בית החזה
עקרונות בכירורגיה
מאת ד"ר צבי קויפמן
| עקרונות בכירורגיה | ||
|---|---|---|
| שם המחבר | ד"ר צבי קויפמן | |
| שם הפרק | חבלות | |
הפגיעה השכיחה ביותר בדופן בית החזה היא השברים בצלעות. השברים יכולים להיות בודדים או מרובים. השבר נגרם בדרך כלל על-ידי חבלה, אך לעיתים הוא יכול להיגרם גם על-ידי שיעול קשה. הנפגע מתלונן על כאבים חדים (דקירת סכין), המחריפים בעת תנועת בית החזה. מפאת הכאב מקטין החולה את תנועת הנשימה בניסיון לקבע את הצלעות בצד הפגוע. נשימתו הופכת להיות מהירה ושטחית. ישנה רגישות מעל לאזור השבר. לחץ חיצוני, המופעל על הצלע השבורה רחוק ממקום השבר, גורם לכאב חריף באזור השבר.
טיפול
השיטה הטובה ביותר לטיפול בשברים לא מסובכים בצלעות היא חסימה של העצב האינטרקוסטלי (Intercostal block) על-ידי הזרקת חומר הרדמה (מקבוצת הקוקאינים ארוכי הטווח), מתחת לצלע השבורה - מקום בו העצב עובר, וגם על-ידי הזרקה דומה לעצבים הבין-צלעיים מעל לשבר ומתחתיו (שתי צלעות). השפעת החומר היא למספר שעות, אך למרות זאת החולה זקוק להזרקות לעיתים רחוקות יותר (אחת ל-24 שעות עד 3 ימים). משך הריפוי הוא ארוך והכאבים יכולים להימשך חודשיים ויותר.
סיבוכים
שברים בצלעות 1 ו-2 הם ייחודיים, מכיוון שמדובר בצלעות בעלות קשת קטנה יחסית המוגנות על-ידי עצם הבריח, עצם השכמה ושרירי הכתף והגב. כדי לגרום לשבר בצלעות אלו יש צורך להפעיל כוח רב- עוצמת. ב-6% מהנפגעים עם שברים בצלעות 1–2 נמצא גם פגיעה בכלי דם גדולים. עקב עוצמת החבלה, נמצא גם: חבלה ריאתית, חזה דם, חזה אוויר ונזק למקלעת העצבים הברכיאלית.
שברים בעצם החזה (סטרנום) נגרמים על-ידי הפעלת כוח רב על עצם החזה. החבלה הקלאסית היא החבלה הנגרמת לנהג הרכב על ידי גלגל ההגה בתאונה חזיתית. הנהג שאינו חגור נזרק אל ההגה במהירות גבוהה וכל האנרגיה הקינטית נספגת בסטרנום ובבית החזה וכתוצאה מכך עצם החזה נשבר. נזק זה, מלווה לעיתים בנזק לאיברי המייצר ולריאות. פציעות נוספות נלוות הם: פציעות בטן, ראש, שברי מפרק הירך או נקעים בו, שברי מפרק הברך ונזקים לכלי הדם הפופליטאלים. השברים בסטרנום, יכולים להיות רוחביים או אורכיים ומרוסקים. שברים יכולים להיות מזוותים או עם קטע שקוע הלוחץ על איברי המייצר. שברים בעצם החזה יכולים להיות מלווים בחבלה לבבית ולכן דורשים השגחה. בדיקות א.ק.ג, יראו שינויים ב-62% מהחולים עם פגיעה לבבית. טרופונין ו-CPK MB הם בלתי ספציפיים. בדיקת אקו לב, היא בעלת סגוליות נמוכה. נפגעים עם שברים בעצם החזה וללא תסמינים מלבד כאב וללא חבלות נלוות אינם זקוקים לאשפוז, בעוד חולים עם חבלות נלוות זקוקים לאשפוז ביחידה לטיפול נמרץ.
שברים בעצם השכמה (סקפולה), הם נדירים יחסית ובדרך כלל מלווים בפגיעות נוספות כמו: חבלות ריאתיות ב-50%, חזה אוויר ב-15%, נזקים למקלעת העצבים הברכיאלית ופגיעה בכלי דם גדולים. שברים בעצם השכבה מעידים על חבלה בעוצמה גבוה המלווה בתמותה של-10% עקב הנזקים הנלווים.
הסיבוכים הקשורים בשברים בצלעות הם: תמט ריאה - הוא הסיבוך השכיח ביותר, במיוחד בחולים זקנים. הוא נובע מכך שהחולה אינו נושם עמוק עקב הכאב, אינו משתעל, וההפרשות המצטברות בעץ הברונכיאלי גורמות לפקקת של כלי הנשימה ולתמט ריאתי, שיכול להסתבך בדלקת ריאות, מאוחר יותר. פיזיותרפיה קפדנית בחולים אלה יכולה למנוע סיבוך זה.
חזה-אוויר - סיבוך זה נוצר כתוצאה מחבלה לריאה על-ידי קצה צלע שבורה, הגורמת קרע בריאה ודליפת אוויר. הקרע יכול להיות קטן, ולגרום לחזה-אוויר קטן שאינו דורש ניקוז, או לקרע גדול יותר הדורש ניקוז, או לעיתים נדירות אף התערבות כירורגית לסגירת הדלף.
Flail chest - מונח זה מבטא חוסר יציבות של בית החזה, הנגרם על- ידי שבר כפול בצלע אחת או במספר צלעות. בדרך כלל השברים הם קדמיים.
לעיתים הפרדה קוסטוכונדרלית דו-צדדית, או שברים בסטרנום נותנים תמונה דומה. מצב זה מתבטא מבחינה קלינית בתנועה פרדוקסלית של בית החזה: בזמן נשימה בית החזה באזור הנגוע שוקע ובזמן נשיפה הוא בולט. בזמן שאיפת האוויר הלחץ השלילי בבית החזה גובר ומושך את קטע הצלעות שבין השברים - שאין לו נקודות אחיזה - פנימה, ומונע את אוורור בית החזה. בשאיפה, כאשר הלחץ בבית החזה עולה, הסגמנט השבור נדחף החוצה ובולט על פני בית החזה (איור 7.16).
חבלה זו לא תמיד מאובחנת בשעות הראשונות לאחר החבלה. במשך השעות שלאחר החבלה, ובמיוחד אם השברים מלווים בחבלה ריאתית, הקומפליאנס של הריאה יורד, ולכן על מנת שהריאה תתפשט דרוש יותר לחץ שלילי בבית החזה בזמן שאיפה, וכתוצאה מכך התמונה הקלינית של Flail chests שלא בלטה קודם - נראית עתה בבירור (איור 7.16 ). עקב האוורור הלקוי, חולים אלה מפתחים היפוקסמיה, דלף ריאתי גובר, היפרקרביה והפרעות בניקוז ההפרשות.
האבחנה של Flail chest היא קלינית ורנטגנית. בצילום חזה, ניתן לראות שברים בשני מקומות באותה הצלע במספר צלעות (תצלום 9.16). ב-CT חזה ניתן לראות תמונה דומה.
הטיפול חייב לאפשר לחולים אוורור יעיל וניקוז הפרשות. במקרים קלים די בחסימת העצבים הבין-צלעיים (Intercostal block) ובמתן אנלגטיקה. במקרים חמורים יותר אפשר לטפל על-ידי החדרת צנתר אפידורלי מעל גובה השברים ולהזריק מינונים קטנים של מורפיום דרכו, ובכך למנוע את הכאב הכרוך בנשימה, ולאפשר אוורור טוב יותר של הריאה. אם פעולה זו אינה יעילה, או מצב החולה קשה עם חבלות נלוות אחרות, יש לטפל בחולה על-ידי הנשמה מלאכותית בלחץ חיובי במשך 10 ימים ויותר, עד השגת יציבות של בית החזה.
פגיעה באברי הבטן - בחבלות בצלעות תחתונות 7–12, עקב עוצמת החבלה, יכול גם להיגרם נזק לאברי הבטן המכוסים על-ידי צלעות אלה. האיברים הנפגעים ביותר הם: הטחול, הכבד והכליות. לכן, בכל החולים עם שברים או חבלה בבית החזה התחתון יש לבצע בדיקת US בטן מהירה לוודא שאין נוזל בבטן (FAST).
חזה-דם Hemothorax
דם בחלל הצדר (pleura) נקרא המוטורקס או חזה-דם (איור 8.16-א). חזה-דם יכול להיגרם עקב פציעה חודרת או קהה. הסיבה השכיחה לחזה-דם היא דימום מעורק אינטרקוסטלי. הדימום נחשב למיקטי (מינימלי) כאשר כמות הדם היא עד 350 סמ"ק, דימום בינוני - עד 1500 סמ"ק, ודימום רב - יותר מ-1500 סמ"ק. לאחר ניקוז ראשוני של חזה-דם, נודעת חשיבות רבה לקצב הדימום. כאשר קצב הדימום הוא יותר מ-200 סמ"ק לשעה יש להתערב באופן כירורגי, על מנת להפסיק את הדימום. לעיתים קרובות החבלה מעורבת וכוללת חזה- אוויר וחזה-דם גם יחד (Pneumohemothorax).
אבחנה
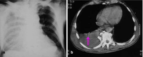
מבחינה קלינית חזה-דם מאופיין על-ידי החלשת קולות הנשימה, ועמימות בניקוש. בצילום חזה ניתן לראות עכירות המופיעה תחילה בבסיס הריאה ואחר כך גוברת והולכת. בשכיבה העכירות מתפשטת על פני כל הריאה, ובישיבה ניתן לראות פלס נוזל בחלק התחתון של הריאה (תמונה 10.16). ממצאים אלה נראים בבירור ב-CT חזה (תצלום 11.16).
טיפול
הטיפול בחזה-דם כולל החדרת נקז רחב לבית החזה, ושאיבה מתמדת של התוכן. ברוב החולים הדימום פוסק באופן עצמוני ולכן ב-85% מהחולים טיפול זה מספיק. אם הדימום ממשיך, או קצב הדימום הוא יותר מ-100–200 סמ"ק לשעה, יש לבצע טורקוטומיה ולקשור את כלי הדם המדמם. ב-15%-25% מהחולים מקור הדימום הוא בריאות, בלב, בפריקרד או בכלי הדם הגדולים. דימום זה דורש התערבות כירורגית והתייחסות בהתאם.
חזה-אוויר (Pneumothorax)
חזה-אוויר מתבטא בנוכחות של אוויר בין עלי הצדר. מקור האוויר יכול להיות בריאות או מאוויר החודר מבחוץ דרך פצע בבית החזה. חזה-אוויר יכול להיגרם על-ידי קרע בריאה, פצע חודר בדופן בית החזה, או חבלה קהה. לאחר חבלה חודרת ל-80% מהחולים יש בנוסף חזה-דם.
חזה-אוויר בלחץ (Tension pneumothorax) נובע ממכניזם של מסתם, המאפשר כניסת אוויר לבית החזה, אולם אינו מאפשר את פליטתו. כתוצאה מכך הלחץ בתוך בית החזה עולה, וזה גורם לתמט של הריאה ולדחיקה של המיצר לצד הנגדי. במקביל, עליית הלחץ בבית החזה גורמת ללחץ על הוורידים הגדולים של בית החזה ומקטינה את ההחזר הוורידי. אם התהליך נמשך, הלחץ בבית החזה עולה על הלחץ בוורידים וגורם לחסימתם ולהפסקת ההחזר הוורידי ללב. מצב זה גורם להלם ולמוות של החולה, אם אינו מטופל באופן מיידי.
אבחנה
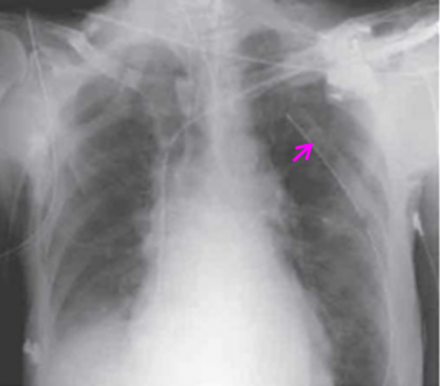
בהאזנה מעל הריאות ניתן לשמוע כניסת אוויר מופחתת, נשימה ברונכיאלית בצד הנפגע, ובניקוש - טימפניזם. בצילום חזה ניתן לראות תמט ריאה עם גבול ריאה המרוחק מדופן בית החזה (תצלום 12.16) המיצר ללא סטיה וגובה הסרעפות שווה, כמו כן ניתן למצוא אמפיזמה תת-עורית (תצלום 13.16). ממצאים אלה נראים ברור יותר ב-CT חזה.
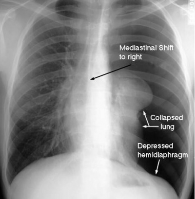
בצילום חזה של נפגע עם חזה אוויר בלחץ נראה בנוסף לסמני חזה אוויר גם דחיקה של המייצר לכיוון הנגדי וגם דחיקה של הסרעפת כלפי מטה (תצלום 14.16).
טיפול
דרגת החזה אוויר נקבעת כאחוז מתוך חלל בית החזה שאינו מלא בריאה. חזה אוויר עד 20% אינו דורש ניקוז אלא השגחה ומעקב על ידי צילום חזה חוזר לוודא שהחזה האוויר לא גדל. מעל 20% יש להחדיר צנתר לניקוז החזה.
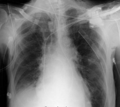
בחזה-אוויר הנובע מקרע של הריאה בלבד ללא פגיעה בבית החזה יש לטפל על-ידי ניקוזו בעזרת נקז המחובר לשסתום חד-כיווני או שקצהו מונח בבקבוק מלא מים ונמצא מתחת למים (Under water seal). כאשר לחולה חזה-אוויר בלבד מחדירים את הנקז ברווח הבין-צלעי ה-2 בקו האמצע בריחי. כאשר לחולה חזה-אוויר משולב בחזה-דם מחדירים את הנקז ברווח הבין-צלעי ה-4 בקו האמצע אקסילרי. הטיפול בחולים עם חזה-אוויר בלחץ הוא ביצוע מיידי של טורקוצינטזיס, על מנת לשחרר את הלחץ בבית החזה ולמנוע מוות. בחולה עם חזה-אוויר לאחר חבלה מחדירים את הנקז ברווח הבין-צלעי הרביעי (תצלום 15.16).
פצע חודר מאפשר כניסת אוויר לתוך בית החזה ובריחת אוויר מתוכו, ולכן אינו מאפשר התפתחות לחץ שלילי בבית החזה, ומונע על-ידי כך את אוורור הריאה. הפצע נקרא גם פצע יניקה. אם הפתח בדופן קטן מקוטר הטרכאה נשאר החולה במצב יציב. אולם אם גודל הפתח בדופן החזה גדול מקוטר הטרכאה, גדולה כמות האוויר החודרת לבית החזה מזו הנשאפת, ולכן נוצר תמט של הריאה והאוויר הנשאף נכנס לריאה בצד שלא נפגע. בעת נשיפה זורם האוויר מהריאה התקינה וממלא את הריאה הפגועה, כך ששחלוף האוויר בריאה הוא דל ביותר. הפצוע נכנס מהר מאוד לקוצר נשימה ולציאנוזיס. אבחון הפציעה הוא קל. ברוב החולים ניתן לשמוע כניסת אוויר לחלל הצדר ופליטתו מחלל הצדר דרך הפצע. הטיפול בחולים עם פצע חודר בחזה חייב להיות מיידי. תחילה, על-ידי סגירה הרמטית של הפצע באמצעות חבישה מתאימה, ולאחר מכן על-ידי החדרת נקז לבית החזה וחיבורו לבקבוק המכיל מים, כאשר קצה הצינור המנקז נמצא מתחת למפלס המים, או חיבורו לשסתום חד כיווני על-שם הימליך. לאחר מכן יש לבצע הטריה של שולי הפצע ולסוגרו.
עקרונות הכנסת הנקז לניקוז חזה אוויר-דם
- הנקז מוחדר ברווח הבין-צלעי הרביעי בקו האמצעי של בית השחי (איור 9.16).
- הנקז יוכנס תמיד בסמוך לגבול העליון של הצלע התחתונה, על מנת להימנע מפגיעה בכלי הדם הבין צלעיים העוברים מתחת לצלע (איור 10.16)
- יש להקפיד בזמן החדרת הנקז, שכל החורים שבנקז יימצאו בבית החזה ולא מחוצה לו. חורים המצויים מחוץ לבית החזה יגרמו לחזה-אוויר פתוח. חורים המצויים בדופן יגרמו לאמפיזמה תת-עורית. יש להחדיר את הנקז לפחות 5–7 ס"מ מעבר לחור הקריבני
- יש לקבוע את הנקז לדופן החזה על-ידי תפר חזק בעור. הנקז מחובר לבקבוק מים מיוחד (Under water seal), הסגור הרמטית ומכיל בראשו 2 צינורות (איור 11.10- 12.16). האחד, אליו מתחבר הנקז, מצוי מתחת לפני המים, והשני, הקצר, מצוי מעל לפני המים. בעת הנשיפה יוצא האוויר החופשי מחלל הצדר דרך הנקז וממשיך דרך הצינורית הארוכה אל המים ומשם דרך הצינורית הקצרה החוצה. בעת שאיפה, האוויר אינו חודר לבית החזה מכיוון שהמים בבקבוק חוסמים את מעבר האוויר. בזמן השאיפה המים בצינורית הארוכה עולים בהתאם ללחץ השלילי המתפתח בבית החזה. תנועת המים בצינורית מצביעה על כך שמיקום הנקז הוא בבית החזה.
| |
| איור 11.10: מערכת ה- under water seal המחוברת לנקז החזי ומאפשרת ריקון חד כווני של חלל הצדר | |
|---|---|
- ניתן להגביר את שאיבת האוויר החופשי על-ידי חיבור הצינורית הקצרה למשאבת ואקום, כאשר לחץ השאיבה אינה עולה על 20–25 ס"מ מים.
ראו גם
- לנושא הקודם חבלות בחזה
- לנושא הבא: חבלות בריאה - Pulmonary contusion
- לתוכן העניינים של הפרק
- לתוכן העניינים של הספר
- לפרק הקודם: כירורגיה של המערכת הוורידית
- לפרק הבא: הלם
המידע שבדף זה נכתב על ידי ד"ר צבי קויפמן - מומחה בכירורגיה, מנהל היחידה לבריאות השד מרכז רפואי מאיר, כפר סבא

כניסה
עקבו אחרינו בפייסבוק 

