חבלות בריאה - Pulmonary contusion
עקרונות בכירורגיה
מאת ד"ר צבי קויפמן
| עקרונות בכירורגיה | ||
|---|---|---|
| שם המחבר | ד"ר צבי קויפמן | |
| שם הפרק | חבלות | |
לערכים נוספים הקשורים לנושא זה, ראו את דף הפירושים – חבלות
חבלות בריאה שכיחות ב-75% מהחולים עם חבלות קהות של בית החזה, המלוות בשברים. ל-35% מהחולים הללו יש גם חבלות בלב. רוב הקרעים בריאה, הנובעים מחבלות חודרות, מלווים בחזה אוויר-דם. רוב הקרעים הללו לא גורמים לדימום, או לבריחת אוויר מתמשכת, עקב תמט מקומי של הריאה.
הקרעים בבועיות האוויר גורמים לשטף-דם בתוכן, לחסימת נתיבי האוויר הקטנים ולאטלקטזות ריאתיות. כאשר החולה לא משתעל היטב ההפרשות מצטברות והאלסטיות של הריאה קטנה. הקטנה באלסטיות הריאה גורמת לעלייה בתנגודת כלי הדם הריאתיים ולעלייה בעבודת הנשימה, ואלו גורמים להפרעות בשחלוף הגזים, ירידה ב-PO2 ועלייה ב-PCO2.
קרעים של הטרכאה והברונכוס נובעים לרוב מחבלות קהות המוחצות את העץ הברונכיאלי בין הסטרנום לעמוד השדרה, כפי שמתרחש בחבלות הגה לדוגמה. הנפגעים העיקריים הם הטרכאה הרחיקנית והברונכוסים. פציעות חודרות יכולות לפגוע בכל מקום.
אבחנה
מבחינה קלינית החולה מספר על:
- כיח דמי
- כאבים בחזה
- חוסר מנוחה ודיספנאה - "רעב לאוויר"
בבדיקה ניתן למצוא:
- טכיפנאה
- טכיקרדיה
- ציאנוזיס
- התמונה הקלינית בחולים עם קרעים של הטרכאה והברונכוסים מתבטאת ב
- חזה-אוויר
- אמפיזמה תת-עורית. הנפחת התת-עורית יכולה להיות חריפה כאשר יש בריחת אוויר מסיבית
- אוויר במיצר
- פליטת כיח דמי
- בפציעות חודרות ניתן לראות יותר דימום מסיבי
- בחבלות קהות התמונה לא תמיד חדה, ולפעמים מופיעה לאחר מספר ימים בצורת אטלקטזה גדולה בריאה, והאבחנה תתבצע על ידי טרכאו ברונכוסקופיה
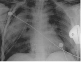
התמונה הרנטגנית מופיעה רק 12–24 שעות לאחר החבלה. בחלק מהחולים בצילום חזה ניתן לראות עכירות מוקדית המתפשטת עד קבלת "ריאה לבנה" (White lung) (תצלום 16.16). יש לעקוב אחר חולים אלה. המטומה ריאתית ניתן לראות בצילום חזה כממצא עכור בעל גבולות לא חדים, אשר הופך במשך מספר ימים עד שבועיים לעכירות מוגדרת, לפעמים תוך יצירת כיסית אשר נרפאת ללא טיפול מיוחד.
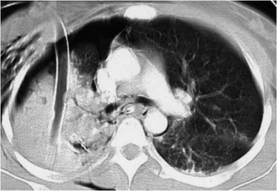
CT חזה היא בדיקה רגישה לחבלות ריאה ומראה שינויים כבר בשלבים מוקדמים ולכן ניתן גם להעריך את מידת הנזק לריאה ולעקוב אחר שינויים בריאה לטובה או לרעה (תצלום 17.16).
חשוב לעקוב לעיתים קרובות אחר השינויים בערכי האסטרופ של החולים; ירידה בערכי ב- PO2 עלייה ב- PCO2 ועלייה ב- A-a)Do2), מעידים על החמרה במצב האי-ספיקה הנשימתית של החולים.
טיפול
בחולים עם חבלה ריאתית חשוב למנוע טיפול-יתר בנוזלים. חולים המפתחים את תסמונת המצוקה הנשימתית של המבוגר (ARDS) יש להנשים בלחץ חיובי סוף נשיפתי (PEEP). יש לבקר את מתן הנוזלים על ידי צנתר Swan ganz, אם משתמשים בלחץ חיובי גבוה, או על ידי C.V.P על מנת למנוע העמסת נוזלים. 15% מחולים אלה נפטרים למרות הטיפול.
בחולים עם חבלה בטרכיאה או בברונכוסים הטיפול הוא כירורגי. יש לבצע טורקוטומיה אמצע-סטרנלית ולתפור את הקרע. אם יש ריסוק של קטע מהטרכאה או הברונכוס יש לבצע כריתה של הקטע ופיום קצה לקצה בין הקצוות הנותרים. אם לא ניתן לקרב את הקצוות יש להכניס ביניהם תותב.
ראו גם
- לנושא הקודם חבלות בדופן בית החזה
- לנושא הבא: חבלות בדרכי האוויר הגדולות - Large airways contusions
- לתוכן העניינים של הפרק
- לתוכן העניינים של הספר
- לפרק הקודם: כירורגיה של המערכת הוורידית
- לפרק הבא: הלם
המידע שבדף זה נכתב על ידי ד"ר צבי קויפמן - מומחה בכירורגיה, מנהל היחידה לבריאות השד מרכז רפואי מאיר, כפר סבא

כניסה
עקבו אחרינו בפייסבוק 