ספינגומיאלינאז חומצי - Acid sphingomyelinase
הופניתם מהדף Acid sphingomyelinase לדף הנוכחי.
| מדריך בדיקות מעבדה | |
| ספינגומיאלינאז חומצי | |
|---|---|
| Acid sphingomyelinase | |
| מעבדה | כימיה בדם |
| תחום | זיהוי מחלת Niemann-Pick |
| טווח ערכים תקין | כאשר הבדיקה מתבצעת בלויקוציטים פעילות האנזים גדולה מ-0.32 nmol/hour/mg protein. |
| יוצר הערך | פרופ' בן-עמי סלע |
הגן המקודד לאנזים acid sphingomyelinase (ASM)
הגן SMPD1 הוא באורך של בערך 5kb, והרצף המקודד מחולק בין שישה exons. אקסון 2 גדול באופן יוצא דופן ומקודד ל-258 חומצות אמינו, או ל-44% של פפטיד האנזים ASM. האזור הרגולטורי של הגן SMPD1 עשיר ב-GC, ומכיל אלמנטים פרומוטרים, כולל אזורי הקישור של SP1 TATA, CAAT, NF1 ו-APL. האנזים ASM או בשמו הסיסטמטי sphingomyelin phosphodiesterase מבקע ספינגומיאלין ליצירת ceramide ו-phosphorylcholine.
מידע קליני
מחלת Niemann-Pick (להלן NPD) מסוגים A, B ו-C היא קבוצת מפגעי אגירה ליזוזומליים, המשפיעה על המטבוליזם של ליפידים ספציפיים בתאים. NPD type A ו-NPD type B נגרמות על ידי חסר האנזים sphingomyelinase, הגורם לאגירה ניכרת של ספינגומיאלין וכולסטרול בכבד, בטחול, בריאות, וברמה נמוכה יותר גם במוח. NPD type A חמור יותר מאשר type B, ומאופיין על ידי הופעה מוקדמת של בעיות אכילה, דיסטרופיה, צהבת עיקשת, התפתחות של כבד וטחול מוגדלים, הדרדרות נוירולוגית, חרשות ועיוורון ובסופו של תהליך מוות בגיל 3 שנים. מחלת NPD type B מוגבלת לתסמינים ויסצרליים עם הישרדות לשנות הבגרות. מספר מטופלים תוארו עם פנוטיפים ביניים. אופיינית למחלה הופעה של תאי קצף גדולים עמוסים בליפידים. בערך ב-50% מהמקרים ניתן לזהות במאקולה cherry-red spots. האנזים sphingomyelinase מקודד על ידי הגן SMPD1 .
השכיחות של 2 הצורות של NPD במקובץ מוערכת כמקרה אחד לכל 250,000. הורשת המחלה היא אוטוזומלית-רצסיבית והיא נגרמת על ידי וריאנטים בגן SMPD1. למרות שיש שכיחות מקרים גבוהה יותר בקרב יהודים-אשכנזים, שני סוגי המחלה הם פּן-אתניים. באלה עם NPD על 2 סוגיו, מוצאים רמה מוגברת של lyso-sphingomyelin (להלן LSM) ושל lyso-sphingomyelin 509, בשילוב עם רמות מוגברות באופן פוטנציאלי של (cholestane-3 β, 5 α, 6 β-triol (COT, או של ketocholesterol-7 (KC-7).
NPD type C (להלן NPD-C) נגרם על ידי פגם בתנועתיות של כולסטרול בתאים, מה שמביא לאגירה מתקדמת באנדוזומים/ליזוזומים של כולסטרול שלא עבר אסטריפיקציה. NPC נחשבת למחלת אגירת ליפידים עם הופעה בטווח גילים מגוון מינקות עד בגרות, והיא גם מאופיינת על ידי מגוון תסמינים קליניים. ברוב המקרים של NPD-C, האבחון בשנות הילדות עם תסמינים כגון שיגשון (ataxia), דיסטוניה, הדרדרות הולכת ומחמירה בדיבור, פרכוסים ואי היכולת להניע את גלגל העיניים בכיוון אנכי (vertical supranuclear gaze palsy). בתינוקות עם NPC כבד וטחול מוגדלים וכשל נשימתי יכולים להופיע או שלא להופיע. באלה ללא מחלת כבד או ריאות, עלולה להופיע היפוטוניה עם פיגור התפתחותי. בבוגרים עם הופעה מאוחרת של NPP-C, התסמינים מתקדמים באיטיות, והם כוללים בעיקר מחלה פסיכיאטרית. הרגישות והספציפיות של מדידת רמת ASM לצורך זיהוי NPD-C, היא 75% ו-89%, בהתאמה.
השכיחות של NPD-C היא 1 ל-120,000-150,000 לידות-חי. מחלה מסוג C נגרמת על ידי וריאנטים בגנים NPC1 או NPC2. ברוב אלה עם NPD-C מוצאים רמות גבוהות של oxysterol (cholestane-3 β, 5 α, 6 β-triol). כן ניתן למצוא באלה עם NPD-C רמות מוגברות של lyso-sphingomyelin 509 ושל ketocholesterol-7. האבחון של NPD-C יכול לעבור אישור על ידי הדגמה של פגיעה באסטריפיקציה של כולסטרול, על ידי צביעת filipin חיובית של פיברובלסטים בתרבית, או על ידי אנליזה גנטית של הגנים NPD-C1 ו- NPD-C2. רמת הסף העליונה של cholestane-3-β,5-α,6-β-triol שווה או נמוכה מ-0.800nmol/mL, וזו של lyso-sphingomyelin שווה או נמוכה מ-0.100nmol/mL (Patterson וחב' ב-Gene Rev משנת 2017).
אבחון מחלת Niemann Pick
חסר האנזים ASM נבדק באופן מסורתי בשני הסוגים של המחלה: NPD-A המתאפיין על ידי תקופה קצרה של התפתחות נורמלית המלווה על ידי שלב נוירו-ניווני חריף ומוות בגיל מאוד צעיר; NPD-B שהוא סוג המחלה שאינו נוירופתי. עם זאת, צורות ביניים של שני סוגי מחלה אלה מתרחשות כהמשך של ממצאים נוירולוגיים גם באלה השורדים את שנות הילדות. יש לחשוד במחלה מסוג A בילדים או תינוקות בהם מופיעים התסמינים הקליניים של כבד וטחול מוגדלים, פיגור התפתחותי, עדות למחלת ריאות אינטרסטיציאלית בצילום חזה, ו-cherry-red maculae. לעומת זאת יש לחשוד ב-NPD-B בנבדקים עם כבד וטחול מוגדלים, מחלת ריאות אינטרסטיציאלית, היפר-ליפידמיה ותרומבוציטופניה.
אבחון על סמך בדיקות סקר יילודים המתבצעות ביילודים 48 שעות לאחר הלידה. בדיקות סקר אלה כוללות ארבעה מפגעים של אגירה ליזוזומלית, הכוללים גם NPD-A ו-NPD-B. הפעילות של האנזים ASM נמדדת בטיפות דם מיובשות על כרטיסי Guthrie, תוך שימוש בשיטת סריקה מהירה הידועה כ-multiplex tandem MS. מדידת הפעילות של ASM היא האמצעי הקובע לקביעת חסר שלו, ואין לקבוע חסר זה על סמך הממצאים הקליניים. ההתייחסות לחסר ASM, היא כאשר רמת הפעילות של ASM קטנה מ-10% מרמת האנזים באנשים בריאים, בלימפוציטים של הדם ההיקפי או בפיברובלסטים בתרבית.
הבירור המולקולרי כולל בדיקת "גן בודד" וכן שימוש ב-multigene panel. בירור זה כולל אנליזת רצף של הגן SMPD1, ואם לא מזוהה וריאנט פתוגני יש לשקול ביצוע gene-targeted deletion/duplication analysis. ב-NPD-A, שלושה וריאנטים p.Arg498Leu, p.Leu304Pro ו-p.Phe333SerfsTer52, מהווים בערך 90% מהאללים הפתוגניים באוכלוסייה אשכנזית-יהודית. ב-NPD-B, הווריאנט p.Arg610del, מהווה כמעט 90% מהאללים הפתוגניים מהאוכלוסייה במדינות המגרב בצפון אפריקה, כ-10% מהאוכלוסייה באי Grand Canaria (Fernández-Burriel וחב' ב-Clin Genet משנת 2003), ובערך 20-30% מהווריאנטים הפתולוגיים בארצות הברית.
צורת NPD-A עם הופעה מוקדמת של תסמינים חמורים
Hepatosplenomegaly: התסמין המוקדם ברוב הילדים עם NPD-A, הוא כבד וטחול מוגדלים שלא מתגלה בדרך כלל עד גיל 3 חודשים (McGovern וחב' ב-J Pediatr משנת 2006). ממצאים לא-נוירולוגיים כוללים בעיות אכילה, פיגור בשגשוג, תלונות גסטרו-אנטרליות כגון עצירות, שלשולים והקאות, זיהומים נשנים של הריאות, רמות מוגברות עיקשות של הטרנס-אמינאזות, ונטייה לרגזנות. ה-hepatosplenomegaly מחמירה עם הזמן, עד הגדלה מסיבית של הכבד והטחול.
מחלה פולמונרית
בילדים פגועים יש ראיות של מחלת ריאות אינטרסטיציאלית בצילום חזה. וזאת בגלל אגירה של ספינגומיאלין במקרופאגים פולמונריים. קביעת רמה נמוכה של pO2 בדם עורקי מופיעה בשלב מחלה מאוחר יותר. זיהומים ריאתיים תכופים שכיחים, וכשל נשימתי עלול לגרום למוות (Mendelson וחב' ב-Radiology משנת 2006 ו-Minai וחב' ב-Respir Med משנת 2000).
ממצאים אופתלמולוגיים
בחינת ה-fundus מגלה שינויים ברשתית בעת האבחון של רוב הילדים עם NPD. הצטברות ליפידים בתאי הגנגליון ברשתית נראית כטבעת לבנה של נוירונים עמוסים בליפידים סביב הגומה המרכזית של הרשתית (fovea), ויוצרים כעין הילה בהירה. ה-cherry-red spot הקלאסי עלולה לא להיראות בשלבים המוקדמים של המחלה, אך הוא מופיע עם הזמן (McGovern וחב' ב- Ophthalmology משנת 2004).
תסמינים נוירולוגיים
תופעות נוירולוגיות יכולות לכלול מעורבוּת של המוחון, הבאה לביטוי בהופעת ניסטגמוס (Obenberger וחב' ב-Diagnostic Neuroradiol משנת 1999), מעורבות אקסטרה-פירמידלית, ירידה ביכולת האינטלקטואלית, ומפגעים פסיכיאטריים. בסקירה של 64 חולים עם NPD-B נמצא ש-19 מתוכם (30%) סבלו מאי-סדירוּת נוירולוגית (Wasserstein וחב' ב-J Pediatr משנת 2006). מתוך 19 הנבדקים עם בעיה נוירולוגית, 14 נבדקים סבלו ממפגעים קלים שלא החמירו, וחמשת הנותרים סבלו ממצאים גלובליים ומחמירים כגון נוירופתיה היקפית ואי-סדירויות של הרשתית, כאשר התסמינים מופיעים בגיל שבין 2–7 שנים. בחמשת הנבדקים האחרונים התגלה וריאנט פתוגני עם המוטציה p.Gln294Lys.
הבחינה הנוירולוגית יכולה להימצא תקינה עם הופעת התסמינים פרט להיפוטוניה קלה, הממשיכה להתגבר במשך הזמן עם איבוד של רפלקסים של גיד עמוק מוגזם (deep tendon reflexes). תפקוד עצבי הראש נותר תקין. ההתפתחות הפסיכו-מוטורית אינה מתקדמת מעבר לגיל 12 חודשים, ומיומנויות שונות אובדות בשל כך בהדרגה. הפגיעה הנוירולוגית מחמירה ורוב הילדים עם NPD-A נפטרים לפני גיל 3 שנים.
פגיעות בגדילה
גדילה בלתי-נורמלית ועיכוב של הבשלה שלדית, שכיחים בילדים ובמתבגרים ויכולים לבוא לביטוי בקומה נמוכה. במחקר אחד ה-Z score הממוצע לגובה ולמשקל נמצא 1.29- ו-0.75-, בהתאמה, וגיל השלד בילדים מתחת גיל 18, פיגר בממוצע ב-2.5 שנים (Wasserstein וחב' ב-J Pediatr משנת 2003). קומה נמוכה ומשקל ירוד כרוכים בגיל מפגר של השלד ובריכוזים נמוכים של IGF-1. חסר בצפיפות העצם מתגלה בבדיקת dual-energy x-ray absorptiometry (DEXA) .
היפר-ליפידמיה
רמות נמוכות בנסיוב של כולסטרול-HDL, שכיחות בחולים עם NPD-B (על פי McGovern וחב' ב-J Pediatr משנת 2004). ברוב אלה עם HDL נמוך מוצאים גם היפר-טריגליצרידמיה ורמות מוגברות של LDL, כאשר אי-סדירות זו בפרופיל הלפידים ניכרת כבר בגיל צעיר ביותר. מחלת עורקים כליליים בגיל צעיר, שזוהתה בחלק מהמבוגרים עם NPD-B קשורה על פי הסברה לדיסליפידמיה.
צורת NPD-B עם הופעה מאוחרת יותר של תסמינים
בצורת NPD-B של המחלה התסמינים מתונים יותר, ומופיעים בגיל מתקדם יותר. התסמינים הראשונים ב-NPD-B הם Hepatosplenomegaly, החמרה של פרופיל הליפידים האתרוגניים, דעיכה הדרגתית של התפקוד הריאתי, osteopenia ותפקוד תקין של הכבד. ב-NPD-B ההתבטאות הנוירולוגית של המחלה עלולה להתפתח מאוחר יותר, וכן תיתכן הישרדות לגיל הבגרות.
Hepatosplenomegaly
כבד מוגדל שכיח. לרבים מאלה עם NPD-B רמות מוגברות של טרנסאמינאזות בדם, ובחלקם מוצאים פיברוזיס או שחמת בכבד (cirrhosis) (Thurberg וחב' ב-Am J Surg Pathol משנת 2012).
Osteopenia
מעורבוּת שלדית שכיחה ב-NPD-B. במחקר של Wasserstein וחב' ב-J Inherit Metab Dis משנת 2013, נמצאו ערכי Z score של עמוד השדרה המותני בתחום שבין 0.061 ל-4.879-. ברוב המבוגרים עם NPD-B מוצאים osteopenia או osteoporosis באזור שלדי אחד או יותר על פי הדרוג של WHO. כמו כן היו דיווחים על שברי עצם בחולים אלה.
קורלציות גנוטיפיות-פנוטיפיות
המתאם הגנוטיפי-פנוטיפי העקבי ביותר בחסר האנזים ASM. בא לביטוי במהלך קליני מתון יותר באלה שהם הומוזיגוטיים לווריאנט הפתוגני p.Arg610del. בניגוד לאלה עם וריאנטים פתוגניים אחרים, מטופלים הומוזיגוטיים ל- p.Arg610del הם בדרך כלל בעלי קומה ומשקל תקינים, עם hepatosplenomegaly פחות בולטת, עם עיכוב מופחת של גיל העצם, ועם רמה נורמלית של IGF-1. פרופילים לא-נורמליים של ליפידים בדם מופיעים בכל הגנוטיפים, כולל בזה עם הווריאנט הפתוגני p.Arg610del. יש מספר ראיות לכך שהווריאנטים הפתוגניים p.Leu139Pro, p.Ala198Pro ו-p.Arg476Trp גורמים לצורות פחות חמורות של NPD-B.
הווריאנטים הפתוגניים p.His423Tyr ו- p.Lys578Asn הם השכיחים ביותר בסעודיה, והם גורמים להופעה מוקדמת וחמורה של המחלה. הווריאנט הפתוגני p.Gln294Lys המזוהה עם הופעה מאוחרת יותר של תסמינים נוירופתיים, שכיח יותר בחולים בצ'כיה ובסלובקיה ( Pavlů-Pereira et al וחב' ב-J Inherit Metab Dis משנת 2005). למרות שמקובל ששכיחות NPD היא 1 ל-250,000, סריקה שבוצעה בצ'ילה לגילוי וריאנטים פתוגניים בקרב 1,691 אנשים בריאים, מצאה שכיחות של 1:106 הטרוזיגוטים ל-p.Ala359Asp, מה שמנבא שכיחות מחלה של 1 ל-44,960 איש (Acuña וחב' ב-Eur J Hum Genet משנת 2016).
וריאנטים פתוגניים הגורמים לצורה עצבית-ניוונית חמורה יותר של NPD-A שכיחים יותר בקרב יהודים-אשכנזים, בהם שלושת הוריאנטים הפתוגניים, p.Arg498Leu, p.Leu304Pro ו-p.Phe333SerfsTer52, שהם בעלי שכיחות מקובצת של נשאוּת בתחום שבין 1:80 ל-1:100.
בדיקות קדם-לידתיות
אבחון קדם-לידתי (prenatal) בהריונות עם סיכון של 25% ל-NPD ניתנות לביצוע על ידי מדידת פעילות האנזים באמניוציטים בתרבית, המושגים על ידי אמניוצנטזה המתבצעת בין השבועות 15–18 של ההיריון, או על ידי דגימה של סיסי שליה המתבצעת לרוב בין השבועות 10–12 להיריון.
וריאנטים שפירים
שני וריאנטים שפירים שכיחים גורמים להתמרות של חומצות אמינו בקודונים 322 ו-506. האללים השכיחים הם Thr322 ו-Gly506 עם שכיחויות של 0.6 ו-0.8, בהתאמה, ואילו האללים הפחות שכיחים הם Ile322 ו-Arg506. בנוסף לווריאנטים שפירים אלה, מספר החזרות של alanine/leucine בתוך האזור של ה-signal peptide ב-ASM, הוא פולימורפי.
וריאנטים פתוגניים
למעלה מ-100 וריאנטים פתוגניים הגורמים לחסר האנזים ASM זוהו ופורסמו (Simonaro וחב' ב- Am J Hum Genet משנת 2002, ו-Schuchman וחב' ב-J Inherit Metab Dis משנת 2007), כולל מוטציות missense, nonsense ו-frameshift, כמו גם שמט אחד של in-frame three-nucleotide הגורמים להרחקה של חומצת אמינו אחת מהפוליפפטיד של האנזים ASM. תואר גם אתר יחיד של שינוי על ידי splice. שלושה וריאנטים פתוגנים שכיחים האחראיים ליותר מ-90% מהאללים הנגועים במוטציות בחולים יהודים-אשכנזים עם NPDA. שניים מווריאנטים הללו, p.Arg498Leu, ו-p.Leu304Pro, והווריאנט השלישי p.Phe333SerfsTer52, נגרמים משמט (deletion) של נוקלאוטיד בודד הגורם ל- frameshift ולהחדרה של stop בקודון 385, בתחום ה- ASM open reading frame. בניגוד ליהודים אשכנזים, כל אדם עם NPD-A באוכלוסיות אחרות יש וריאנטים פתוגנים ייחודיים בגן SMPD1.
באלה עם NPD-B, אחד הווריאנטים הפתוגניים השכיחים ביותר הוא p.Arg610del, הנמצא לעיתים קרובות במאובחנים עם NPD-B ממוצא המגרב בצפון אפריקה (מרוקו, תוניסיה ואלג'יריה), בהם וריאנט זה אחראי לכמעט 90% מהאללים הפגועים. בארצות הברית, p.Arg610del אחראי בערך ל־20-30% מהאללים הפגועים שמוצאים באלה עם NPD-B.
דוגמאות נבחרות של וריאנטים פתוגניים של הגן SMPD1
| השינוי בחומצת אמינו באנזים | השינוי בנוקלאוטיד DNA |
|---|---|
| p.Gly508Arg | c.1522G>C |
| p.Leu139Pro | c.416T>C |
| p.Ala198Pro | c.592G>C |
| p.Gln294Lys | c.874C>A |
| p.Ala359Asp | c.1076C>A |
| p.His423Tyr | c.1267C>T |
| p.Arg476Trp | c.1426C>T |
| p.Arg498Leu | c.1493G>T |
| p.Lys578Asn | c.1734G> |
אינטרפרטציה
עליה ברמת cholestane-3-β, 5α, 6-β-triol מצביעה בסבירות גבוהה על מקרים של NPD-type C. עליה ברמת lyso-sphingomyelin מצביעה בסבירות גבוהה על NPD-type A או על NPD-type B. עליה ברמת lyso-sphingomyelin 509 מרמזת על אפשרות של כל אחד משלושת הסוגים של NPD.
בדיקות נוספות שיש לבצע במסגרת בירור NPD
- ספירת דם כללית, בה ניתן לזהות pancytopenia שניונית לטחול מוגדל בחולים עם NPD
- כימיה של הדם, בה צפוי למצוא רמות טרנס-אמינאזה מוגברות
- רמת כולסטרול-רמה מופחתת של HDL בחולים עם NPD-B. ברוב החולים נמצא רמות מוגברות של סך-כולסטרול, ושל LDL
- רמת טריגליצרידים-ברוב החולים עם NPD-B ורמה נמוכה של HDL מוצאים hypertriglyceridemia
- צילום חזה מגלה הסננה אופיינית רטיקולו-נודולרית, אפילו בחולים ללא סימנים ריאתיים. תיתכן מציאות בריאות של קשרירים מסויידים
- גיל העצמות בחולים עם סוגי A ו-B של NPD יכול לפגר בשנתיים וחצי אחרי הגיל הכרונולוגי
בחינת תפקודי ריאות: באופן אופייני מוצאים ירידה בדיפוזיית החמצן, מחלת ריאות מוגבלת, וירידה ביכולת לבצע פעילות גופנית בעצימות גבוהה. בדיקת אקו, עשויה לגלות אי תפקוד של מסתמים במטופלים עם מחלת מסתמי הלב, ואי תפקוד של שריר הלב במטופלים עם מחלת לב כלילית.
פעילות האנזים ASM היא המדד המאשר/פוסל אפשרות של NPD, כאשר הפעילות נמדדת בכדוריות-דם לבנות בדם ההיקפי, או בפיברובלטים בתרבית.
אנליזה של מוטציות
אנליזה של 4 מוטציות שכיחות ב-SMPD1 זמינה במעבדות קליניות. שלוש מוטציות של סוג A של המחלה (L302P, R496L ו-fsP330) מנבאות את חומרת הצורה האינפנטילית של המחלה באוכלוסייה של יהודים-אשכנזים. מוטציה שכיחה באלל של צורת B של המחלה, deltaR608, קשורה במחלה מתונה לא-נוירופתית של המחלה. במטופלים עם המוטציה Gln294Lys הקשורה לצורת B של המחלה, מוצאים ממצאים נוירולוגיים ההולכים ומתקדמים (Wasserstein וחב' ב-J Pediatr משנת 2006).
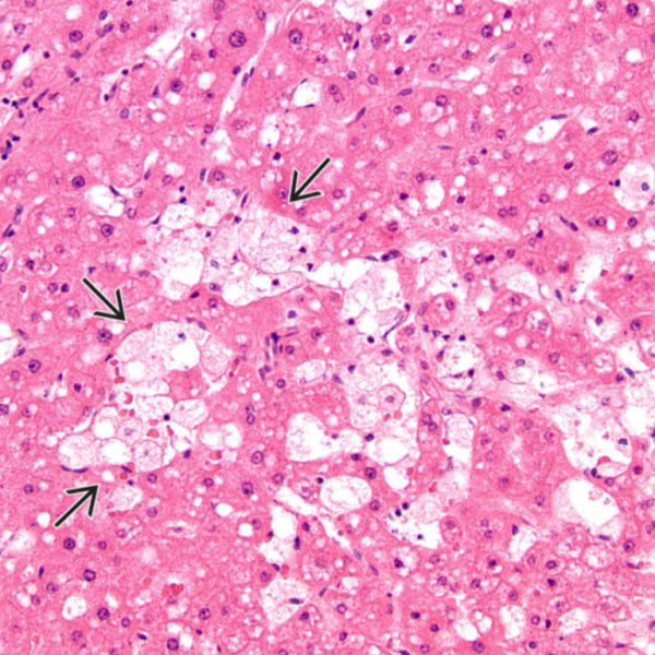
ממצאים היסטולוגיים
הממצא הפתולוגי הבולט בסוגי A ו-B של NPD הוא תא הקצף העמוס בליפידים בבחינת תאי מח עצם. תאי קצף אלה יכולים להיות מובדלים מיד מתאי Gaucher על ידי מאפיינים היסטולוגיים והיסטו-כימיים שונים אינם בהכרח מזוהים עם NPD באופן בלעדי, שכן הם מופיעים גם במחלת Wolman, במחלת אגירה של כולסטרול-אסטר, ב-lipoprotein lipase deficiency, ב-NPD type C, ובחלק מהחולים עם GM1 gangliosidosis type 2. בחינת מח עצם אינה נחוצה לאבחון NPD.
הוראות לביצוע הבדיקה
מדידת פעילות האנזים ASM בלימפוציטים היקפיים או בפיברובלסטים בתרבית
בהשוואה לביקורת של אנשים בריאים, בחולים עם NPD רמת האנזים נמוכה מ-10% מזו באוכלוסייה בריאה (van Diggelen וחב' ב- J Inherit Metab Dis משנת 2005). פרטים עם וריאנט פתוגני מסוג p.Gln294Lys של הגן SMPD1 יכולים להימצא עם פעילות אנזים נורמלית אם משתמשים במצע מלאכותי (Harzer וחב' ב-Neuropediatrics משנת 2003).
בדיקת דם יבש בכרטיסי Guthrie
בדיקה זו טובה לאבחון NPD מסוגים A, B ו-C, ואינה יעילה לזיהוי נשאי המחלה. דם שנלקח מיידית צריך להיות מוטבע על כרטיס פילטר (T493), ואילו דם הנלקח לאחר המוות צריך להיות מוטבע על כרטיס פילטר (T525). ניירות פילטר נוספים שניתן להשתמש בהם הם מסוג Ahlstrom 226 וכן Munktell filter paper. יש להטביע 2 טיפות דם בעיגולים המסומנים על גבי נייר הפילטר. יש לתת לדם זמן של 3 שעות לפחות להתייבש על גבי הנייר בטמפרטורת החדר כשהנייר מונח על השולחן בצורה אופקית. אין לחשוף את הנייר לחום או אור השמש. אין לערום ניירות פילטר מוטבעות עם דם רטוב זו על גבי זו. יש לשמור את הניירות במקום אפל ויבש.
בדיקת פעילות ASM בלויקוציטים
משמשת לאבחון אפשרי של מחלת NP מסוגים A ו-B. בדיקה זו אינה מומלצת לזיהוי נשאים בגלל הטווח הרחב של פעילויות האנזים הנצפה בנשאים ובאלה שאינם נשאים. יש ליטול דם במבחנת ספירת-דם (פקק סגלגל, EDTA) או במחנת ציטראט (פקק תכלת), או במבחנת הפארין (פקק ירוק). אין לסרכז ויש לשלוח את הדם למעבדה במבחנה המקורית כדם מלא. יש לשמור את המבחנה בקירור, והיא צריכה להגיע מקוררת למעבדה לא יאוחר מ-96 שעות לאחר נטילת הדם. יש לפסול את הדגימה אם היא מאוד המוליטית. דגימה מקוררת יציבה למשך 96 שעות, ואילו דגימה בטמפרטורת החדר יציבה למשך 72 שעות. הבדיקה המתבצעת בשיטת Liquid Chromatography-Tandem Mass Spectrometry (LC-MS/MS), עלולה לתת תוצאה false-positive אם דגימות דם עברו עיבוד יומיים או אף יותר מכך לאחר נטילת הדם (Elliott וחב' ב-Mol Genet Metab משנת 2016).
ראו גם
- חזרה לדף מדריך בדיקות מעבדה
- בדיקות מעבדה - אבחון מחלות אגירה
- בדיקות מעבדה - אבחון מחלות ומפגעים מטבוליים-גנטיים
- בדיקות מעבדה - אבחון תסמנות גנטיות
המידע שבדף זה נכתב על ידי פרופ' בן-עמי סלע, המכון לכימיה פתולוגית, מרכז רפואי שיבא, תל-שומר;
החוג לגנטיקה מולקולארית וביוכימיה, פקולטה לרפואה, אוניברסיטת תל-אביב (יוצר הערך)

כניסה
עקבו אחרינו בפייסבוק