קרעים בסרעפת - Diaphragmatic rupture
עקרונות בכירורגיה
מאת ד"ר צבי קויפמן
| עקרונות בכירורגיה | ||
|---|---|---|
| שם המחבר | ד"ר צבי קויפמן | |
| שם הפרק | חבלות | |
חבלות חודרות מהוות את הסיבה העיקרית לקרעים בסרעפת. רק 1 מכל 4 קרעים בסרעפת נגרם על-ידי חבלה קהה. קרעים בסרעפת אינם נרפאים ספונטנית ולכן יש צורך לאבחן את הקרע ולתקנו באופן כירורגי, על מנת למנוע התפתחות של בקע סרעפתי. רוב החולים עם קרעים בסרעפת סובלים גם מנזקים נוספים באברי הבטן או החזה. 25% מהם מגיעים למתקני אשפוז במצב של הלם.
פתופיזיולוגיה
פגיעה ישירה בסרעפת יכולה לקרות בעקבות חבלה חודרת של סכין, פצע ירייה, או שברי צלעות, או מחבלה קהה, הנגרמת לרוב בתאונות דרכים, בנפילות מגובה ובפצעי מעיכה. ההתפלגות בין שני סוגי הפגיעה (חודרת או קהה) משתנה בהתאם לאזור שבו פועל המרכז המדווח על פציעה זו וכן בהתאם להרכב הסוציו-אקונומי של האוכלוסייה השייכת לאותו מרכז.
מנגנון הפגיעה המוצע ברוב המקרים של חבלה קהה הוא שינוי פתאומי בהפרשי הלחצים בחלל התוך-בטני ובבית-החזה, כאשר הסרעפת המפרידה בין שני חללים אלה סופגת את מפל הלחץ הנוצר כתוצאה מכך. חוקרים העלו את ההשערה, שאזור הקרע מתאים לנקודות האיחוי של הסרעפת בתקופת העוברות.
סוג הפציעה משפיע על מיקום וגודל הפגיעה בסרעפת. פגיעות הנגרמות על-ידי סכין מופיעות יותר בצד שמאל, משום שבדרך כלל התוקף מופיע מלפנים ומשתמש ביד ימין. פציעות הנגרמות מכלי ירייה תפגענה בצורה שווה בשני הצדדים: בחבלות קהות מעורבות הצד השמאלי של הסרעפת רבה במידה ניכרת לעומת צד ימין. ההסבר המקובל לכך נעוץ בהגנה שמספק הכבד לצידה הימני של הסרעפת וספיגתה את השינויים הפתאומיים בלחץ, אשר כפי שהוזכר לעיל, הם היוצרים את הקרעים בסרעפת.
במקרים של חבלה חודרנית לא שכיח למצוא בשלב הראשוני הרניאציה של איברים מחלל הבטן אל תוך בית החזה, זאת משום שהנזק שנגרם קטן בדרך כלל בהיקפו. לעומת זאת, ניתן לצפות שפצועים, שנפגעו בסרעפת במנגנון של חבלה קהה, יופיעו לעיתים קרובות יותר עם חדירת תוכן הבטן, כגון אומנטום, קיבה, כרכשת או מעי דק אל בית החזה.
רוב הפצועים אשר נפגעים בחבלה קהה ילקו בפגיעה רב-מערכתית עם שכיחות גבוהה לחבלות בראש, בשלד ובאיברים תוך-בטניים אחרים.
תסמינים קליניים
הסימנים הקליניים המרמזים על קרע אפשרי בסרעפת הם:
- רגישות בטנית
- קוצר נשימה
- כאבים בכתף
- הפחתת קולות הנשימה באותו הצד
- חום
קביעת האבחנה הקדם-ניתוחית של קרע בסרעפת קשה לעיתים. כאשר מדובר בקרע עקב חבלה חודרת, נקבעת בדרך כלל האבחנה על-פי ההסתמנות הקלינית ובהסתמך על מקום החדירה וכיוון הפציעה. לעומת זאת, חבלות קהות אמורות להוות אתגר אבחוני. התסמינים והסימנים השכיחים ביותר של השלב החד הם כאב בחזה וקושי בנשימה. הסימן השכיח בבדיקה הגופנית הוא כניסת אוויר מופחתת בצד בית החזה הפגוע. האבחנה המבדלת העיקרית לגבי הסתמנות קלינית זו היא פנוימוטורקס או המוטורקס בבית החזה. החדרת נקז חזי בין-צלעי חיונית במקרה האחרון, אולם עלולה להיות הרת-אסון, כשמדובר בקרע בסרעפת עם חדירת תוכן הבטן לבית החזה, בעיקר כאשר הנקז מוכנס תוך שימוש במחדר.
לעיתים קרובות גורמות פגיעות אחרות למיסוך סימני הפגיעה בסרעפת ולהחמצת האבחנה בשלב הקדם-ניתוחי. איחור באבחנה של פגיעה זו מדווח בפרסומים רבים ומגיע עד למעלה מ-60% מהנפגעים. האבחנה במקרים כאלו יכולה להיקבע חודשים ואף שנים לאחר הפציעה. ההסתמנות הקלינית בשלב הכרוני היא: קשיי נשימה, זיהומים ריאתיים חוזרים, אירועים נשנים של כאב בבטן העליונה, המחקים מצבים חולניים אחרים, כמו מחלה עיכולית, אבני מרירה וכדי, עד למצבים קיצוניים של Strangulation של המעי שעבר הצטנקות (כליאה) ונמק בבקע.
אבחנה
המפתח לאבחנה מוקדמת הוא דרגת חשד גבוהה לגבי כל נפגע מחבלה קהה או מחבלה חודרת בבית החזה התחתון (מתחת לצלע שלישית) ובבטן העליונה.
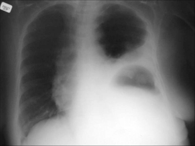
צילום בית החזה המבוצע כחלק מהערכת הפצוע הרב-מערכתי, יכול לספק מספר רמזים לגבי נוכחות קרע של הסרעפת: טשטוש גבולות הסרעפת, הרמת הסרעפת, בועות גז, או פלסי אוויר-נוזל, המצויים בצד בית החזה הפגוע, לחץ על הריאה בצד הנפגע עם הסטת המיצר לצד הנגדי (תצלום 19.16).
צילום חזה לאחר מתן חומר ניגוד יכול להראות מעי בחלל הצדר הדוחק את הריאה (תצלום 20.16). יש לזכור, שצילום בית החזה יכול להיות מפורש כתקין, או להדגים ממצאים שאינם ייחודיים לקרע בסרעפת (לדוגמה המוטורקס) בנפגעים רבים. ב-30% מהחולים צילום החזה תקין.
החדרת צנתר לקיבה, מהווה פעולה אבחונית וטיפולית. הצנתר מנקז את הקיבה ומפחית את הלחץ בבית החזה ונוכחותו בצילום בית חזה מעל הסרעפת מהווה הוכחה חותכת לקרע חבלתי בסרעפת. שיטה אבחונית נוספת היא על-ידי יצירת פנוימופריטונאום. בשיטה זו מוחדר אוויר בכמות של 500 מיליליטר דרך הצנתר בדיקור לשם אבחון חלל הצפק. הופעת אוויר שלא היה לפני כן בחלל הצפק, מאשרת אבחנת קרע בסרעפת.
קיימים חילוקי דעות לגבי יעילות שטיפת חלל בטן אבחונית. בדיקת אולטרה-סאונד, סריקה ממוחשבת וצילומים לאחר בליעת חומר ניגוד מאשרים את האבחנה.
טיפול
הטיפול בקרעים בסרעפת הוא כירורגי. הגישה היא בדרך כלל בטנית, עקב השיעור הגבוה של חבלות בטניות נלוות בפציעות מסוג זה. רוב הקרעים מתרחשים בצד השמאלי של הסרעפת, מכיוון שבצד הימני הכבד מגן על הסרעפת בפני חבלה קהה. לאחר פתיחת הבטן וזיהוי הקרע תופרים את הסרעפת בתפרים שאינם נספגים (תמונות).
| תמונה 5.16: קרע בסרעפת ותפירתה. עליון ימין רואים את הקרע, עליון משמאל חשיפת הקרע. תחתון תפירת הקרע | |
|---|---|
הגישה לבקע כרוני, המתגלה ועובר תיקון חודש או יותר לאחר הפציעה, תהיה בחתך חזי עקב ההידבקויות הקשות העלולות להיווצר בין האבר הבטני לריאה או לצדר הפריאטלי. החתך החזי מאפשר שחרור שק הבקע ותוכנו ותיקון הפגם בסרעפת, תוך מתן חשיפה טובה ובטוחה יותר במצבים כאלה.
ראו גם
- לנושא הקודם קרעים של ה-Thoracic duct
- לנושא הבא: חבלות בטניות
- לתוכן העניינים של הפרק
- לתוכן העניינים של הספר
- לפרק הקודם: כירורגיה של המערכת הוורידית
- לפרק הבא: הלם
המידע שבדף זה נכתב על ידי ד"ר צבי קויפמן - מומחה בכירורגיה, מנהל היחידה לבריאות השד מרכז רפואי מאיר, כפר סבא

כניסה
עקבו אחרינו בפייסבוק